Medlem i

12 years 10 months
Indholdselementer

I denne sygehistorie beskrives en gigantisk tumor i thorax hos en 63-årig mand, som blev indlagt med dyspnø. Der var tale om et lavt differentieret liposarkom, som i modsætning til andre liposarkomer ikke indeholder makroskopisk fedt [1]. Der er i den engelsksprogede litteratur kun rapporteret om 14 tilfælde af primære liposarkomer i lungerne [2].

SYGEHISTORIE

En 63-årig tidligere rask mand af filippinsk herkomst blev indlagt pga. tiltagende dyspnø, tør hoste, smerter i højre side af thorax, et mindre vægttab og nattesved.

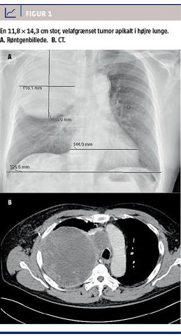
Objektivt fandt man, at han havde svækkede respirationslyde på højre side. Paraklinisk fandt man let forhøjet C-reaktivt protein, let leukocytose med overvægt af eosinofile granulocytter og normale levertal. Ved en CT blev der påvist en stor, velafgrænset, cystisk tumor med en inhomogen opladning apikalt i højre lunge (Figur 1). Desuden var der cystiske lymfeknuder i mediastinum samt cystiske processer i venstre binyre og nyrehilus. Med baggrund i skanningsfundene og hans rejseanamnese blev mistanken om infektion med Echinococcus rejst. Patienten blev testet for Echinococcus-antistoffer og var positiv for E. multicularis, men ikke for E. granulosus. Man påbegyndte behandling med albendazol og planlagde torakotomi med resektion af cysten.

Sidebar placering
Venstrestillet
Billede
Sidebar placering
Venstrestillet

Kort efter blev patienten genindlagt med forværring af dyspnøen og nyopstået hæshed. En ny CT viste, at cysten var vokset, og at der var forskydning af cor og mediastinum mod venstre. Der var ikke udført biopsi på et tidligere tidspunkt pga. risikoen for spredning af E. multicularis. Der blev hurtigt foretaget operation, og man fandt en infiltrativ voksende tumor. Det patologiske svar fra Statens Serum Institut (SSI) var lavt differentieret liposarkom med metastaser til de hilære lymfeknuder. En lungebiopsi blev ligeledes sendt til SSI, hvor der ved polymerasekædereaktion (PCR) blev påvist nonhumant eukaryot-DNA. Ved en efterfølgende sekventering af PCR-produktet påvistes der Balantidium coli. DNA fra lungebiopsien blev ydermere testet for E. multicularis-DNA, men testen var negativ. Efterforløbet blev kompliceret med infektion, pleuraleffusion og almen svækkelse, hvilket til sidst førte til døden.

DISKUSSION

Lavt differentieret liposarkom er en malign fedtvævstumor, som er vanskelig at diagnosticere, da den viser sig anderledes end andre liposarkomer og dermed let mistolkes som en ikkemalign tilstand. Lavt differentieret liposarkom forekommer hyppigst i 40-60-årsalderen og ses som en solid, velafgrænset, hypodens, inhomogen proces uden makroskopisk fedt. Primær lavt differentieret liposarkom ses yderst sjældent i lungerne [1-3]. Patienten i denne sygehistorie havde cancersuspekte symptomer, og ved CT blev der påvist en velafgrænset, inhomogen proces, som dog var cystisk af udseende.

Diagnosen lavt differentieret liposarkom blev i dette tilfælde forsinket af mistanken om E. multicularis-infektion, som er en af de alvorligste ormeinfektioner hos mennesker. E. multicularis forårsager
multilokulær, alveolær ekinokokkose og vokser ekspansivt og infiltrativt. Læsionernes udseende og sygdomsforløbet minder om cancer, og i 90% af tilfældene er leveren afficeret. Diagnosen hviler på serologi og billeddiagnostik. På CT ses processen uregelmæssigt afgrænset med heterogene, hypodense områder ofte med cyster og forkalkninger. Den foretrukne behandling er kirurgisk fjernelse. Albendazol gør cysten mindre, men har sjældent en kurativ effekt [4]. Patienten i sygehistorien boede i Danmark, men havde tilbragt to måneder i Filippinerne, hvor han kunne have pådraget sig smitten. Ved CT’en blev der ikke påvist cyster i leveren, cysten i lungen var ikke multilokulær, og de karakteristiske forkalkninger var ikke blevet beskrevet. Paraklinisk var der ingen leverpåvirkning, men der var et forhøjet niveau af eosinofile granulocytter. Ved CT’en sås en cystisk proces med inhomogen opladning og ikke mindst var det serologiske svar positivt for E. multicularis. På grund af det serologiske svar var E. granulosus, som er den mest udbredte form for bændelorm, ikke en af differentialdiagnoserne. E. granulosus danner en mere solid, unilokuær, afgrænset cyste, påvirker lungerne hyppigere end E. multicularis og ligner mere forholdene på den beskrevne CT. Patienten havde antistoffer mod E. multicularis, men ikke mod E. multicularis-DNA i lungebiopsien, derimod havde han DNA for B. coli. B. coli er en stor protozo, som yderst sjældent er patogen hos mennesker. Der er beskrevet ganske få tilfælde med involvering af lungerne [5]. Man vurderede, at fund af B. coli var uden betydning for det nuværende sygdomsbillede.

Kasuistikken er skrevet for at minde om, at lavt differentierede liposarkomer kan være vanskelige at diagnosticere, da de i modsætning til andre liposarkomer ikke indeholder makroskopisk fedt.Udredningen kan blive forsinket og billedet sløret af en række differentialdiagnostiske overvejelser på trods af assistance fra flere medicinske og kirurgiske specialer.

KORRESPONDANCE: Monija Mrgan, Akut Medicinsk Afdeling, Sydvestjysk Sygehus, Finsensgade 35, 6700 Esbjerg. E-mail: momrg@hotmail.com

ANTAGET: 18. marts 2013

Publiceret på Ugeskriftet.dk: 22. juli 2013

INTERESSEKONFLIKTER:

Sidebar placering
Venstrestillet
Article type
Journal
Magazine
Section
References

<h2>LITTERATUR</h2>
<ol type="d">
<li><p>Tateishi U, Haseawa T, Beppu Y et al. Primary dedifferentiated liposarcoma of the retroperitoneum: prognostic significance of computed tomography and magnetic resonance imaging features. J Comput Assist Tomogr 2003;27:799-804.</p></li>
<li><p>Son C, Choi PJ, Roh MS. Primary pulmonary myxoid liposarcoma with translocation t(12;16)(q13;p11) in a young femal patient: a brief case report. Korean J Pathol 2012;46:392-4.</p></li>
<li><p>Engel LE, Mynster T. Hurtigt voksende liposarkom i retroperitoneum. Ugeskr Læger 2008,170:3149-50.</p></li>
<li><p>Chermak BV, Unsinn KM, Gotwald T et al. Echinococcus multilocularis revisited. AJR Am J Roentgeol 2001;176:1207-12.</p></li>
<li><p>Sharma S, Harding G. Necrotizing lung infection caused by the protozoan Balantidium coli. Can J Infect Dis 2003;14: 163-6.</p></li>
</ol>

Woodwing Id
41151
Fil
Conflict of interest
English title
Liposarcoma in the lung misinterpreted as an infection of Echinococcus multicularis
English summary

Primary liposarcoma of the lung is an extremely rare disease. Only 14 cases have been reported in the literature in English. Liposarcoma is not sensitive to chemotherapy or radiotherapy. Surgical resection is considered the only therapeutic option. We present a case of a giant liposarcoma occupying two thirds of the right thoracic cavity.

Authors workplaces

1) Akut Medicinsk Afdeling, Sydvestjysk Sygehus, Esbjerg
2) Medicinsk Afdeling, Sygehus Lillebælt, Fredericia Sygehus

Ugeskr Læger 2014;176:V01130061

Bib ref
Ugeskr Læger 2014;176:V01130061
Article number
V01130061
Authors

Monija Mrgan1 & Dorte Rytter2

0 likes