Medlem i

12 years 10 months
Indholdselementer
Billede
Sidebar placering
Venstrestillet

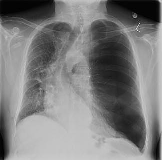
En 64-årig mand vågnede med åndenød og en skarp smerte tværs over brystet natten efter en glad aften i Cirkusrevyen. Patienten var læbecyanotisk, dyspnøisk og havde forlænget expirium. Ved ankomsten til sygehuset var saturationen 90% uden ilt, og blodtrykket var 190/90 mmHg. Et elektrokardiogram viste sinustakykardi med frekvens 103. Der blev fundet høje »pulmonale« p-takker, men normal hjerteakse. Der var ingen tegn på iskæmi eller belastning. Ved stetoskopi var der fravær af respirationslyd på venstre thoraxhalvdel og nedsat thoraxbevægelighed. Ved en røntgenundersøgelse af thorax afslørede man en stor pneumothorax på venstre side, hvilket medførte svær deviation af cor og øvrige midtlinjestrukturer. Patienten blev behandlet med akut pleuradrænanlæggelse.

Patienten var tidligere kardiopulmonært rask fraset en mangeårig, mild, kronisk obstruktiv lungesygdom, som aldrig havde været indlæggelseskrævende. Han havde ikke været udsat for traumer. Det må antages, at patientens trykpneumothorax var udløst af et af aftenens mange voldsomme latteranfald.

Dorthe Bach Andreasen,Medicinsk Afdeling, Roskilde Sygehus, Sygehus Nord

Lene T. Kirkeby, Organkirurgisk Afdeling, Roskilde Sygehus, Sygehus Nord

Daniel El Fassi, Hæmatologisk/onkologisk Afdeling, Roskilde Sygehus, Sygehus Nord E-mail: fassi@dadlnet.dk

Sidebar placering
Venstrestillet
Article type
Journal
Magazine
Section
Woodwing Id
240889
Fil
Bib ref
Ugeskr Læger 2010;172(50):
0 likes