Medlem i

12 years 10 months
Indholdselementer
Billede
Sidebar placering
Venstrestillet
Billede
Sidebar placering
Venstrestillet
Billede
Sidebar placering
Venstrestillet
Billede
Sidebar placering
Venstrestillet


Introduktion: Larynxfrakturer som følge af stump vold er sjældne. Det skønnes derfor vigtigt, at der er konsensus omkring diagnostik og behandling.

Materiale og metoder: Retrospektiv journalgennemgang i perioden 2000-2007. Der er registreret køn, alder, tid fra traume til første lægekontakt, tid fra traume til operation, resultat af computer-tomografi (CT) af larynx, resultat af præ- og postoperativ videostroboskopi, resultat af vurdering af stemmekvalitet præ- og postoperativt, operationsmetode samt status ved seneste opfølgning.

Resultater: Der blev fundet seks mænd i alderen 23-54, og én kvinde på 24. Alle havde larynxtraume i moderat til svær grad, og alle på nær én behøvede kirurgisk intervention. Tre blev behandlet med indsættelse af titaniumnet/ miniplates. Af de seks opererede fik fire god/acceptabel stemme, én fik recurrensparese og kom ikke til followup mens én endnu ikke er færdigbehandlet talepædagogisk.

Konklusion: Patienterne skal primært vurderes for hæshed, smerter i larynxskelettet, afoni, asymmetri eller subkutant emfysem i relation til larynx. Der skal udføres akut CT. Ved dislokeret fraktur skal patienten opereres - helst inden for 48 timer. Man skal sikre sig en stabil fraktur, hvor titaniumnet eller miniplates kan anvendes med fordel.

I dansk litteratur er der kun fundet et studie omhandlende larynxtraumer opstået ved stump vold inden for de sidste 35 år, og ingen af de 72 implicerede havde fået konstateret fraktur på larynxskelettet (Wennerberg & Bonding 1982) [1]. I litteraturen angives hyppigheden af larynxtraumer til mellem 1 pr. 5.000 til 1 pr. 137.000 skadestuebesøg [2]. Der foreligger ikke incidenstal for larynxfrakturer opstået efter stump vold, men disse frakturer er meget sjældne. Vi finder det derfor af inter-esse at beskrive de tilfælde, som er set og behandlet på klinikken inden for perioden 2000-2007, idet der er behov for konsensus om håndteringen af larynxfrakturer, da den primære vurdering og tidsrummet fra traume til behandling angives at være altafgørende for behandlingsresultatet. De vigtigste faktorer i håndteringen af larynxtraumer er hurtig diagnose og udredning med computertomografi (CT) og videostroboskopi med henblik på at fastslå, om operativ behandling er påkrævet.

Materiale og metoder

Retrospektiv gennemgang af Rigshospitalets database fra år 2000-2007 ved søgning på diagnosekoder for »contusio laryngis« og »fractura laryngis«. Der blev fundet syv tilfælde af stump vold med fraktur af larynxskelettet til følge. For hver patient er registreret køn, alder, tid fra traume til første lægekontakt, tid fra traume til operation, resultat af CT af larynx, resultat af præ- og postoperativ videostroboskopi, resultat af vurdering af stemmekvalitet præ- og postoperativt, operationsmetode samt status ved seneste opfølgning.

Resultater

De demografiske oplysninger for hver enkelt patient ses i Tabel 1 . Der indgik seks mænd i alderen 23-54 år (medianalder: 27,5 år) og én kvinde på 24 år. De blev alle primært set af læge én time til fire dage fra traumet og behandlet operativt inden for én til ti dage i de seks tilfælde, hvor operation var nødvendig.

De særlige problemer, der er identificeret ved journalgennemgangen, illustreres af følgende tre cases.

Case 2

26-årig mand blev henvist fra lokalt sygehus med mistanke om larynxfraktur pådraget i nævekamp fire dage tidligere. CT viste et subkutant emfysem på halsen omkring larynxskelettet, men ingen tydelig dislokerede frakturer. Patienten var dog afonisk, og der blev ved videostroboskopi observeret tydelig asymmetri af stemmebånd, således at det ene lå ind over det andet. Patienten blev opereret to dage senere, hvor man fandt cartilago thyroidea fraktureret flere steder med to løse fragmina. Rekonstruktion blev gennemført med ikkeabsorberbar sutur med efterfølgende tilfredsstillende anatomisk position af larynxbrusken. Efter fem måneder havde patienten en god stemme, men trættedes hurtigt, og havde nogen luftspild. På mistanke om at frakturen var skredet tilbage til den præoperative position blev der udført ny rekonstruktion - denne gang med titaniumnet som stabilisator og med ikkeabsorberbar sutur (Figur 1 ). Dette hjalp imidlertid ikke patienten, idet den højre stemmelæbe fortsat var forkortet pga. dislokation mellem cartilago thyroidea og cartilago cricoidea, hvilket ikke kunne ændres pga. arvævsdannelse.

Case 3

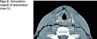
29-årig mand henvistes fra egen læge på mistanke om larynxtraume. Patienten havde to dage tidligere været udsat for et enhånds kværkegreb og havde efterfølgende både hæshed, ændret stemme og smerter svarende til larynxskelettet. CT af halsen viste en fraktur af venstre cartilago thyroidea samt en kompensatorisk distortion af aryregionen (Figur 2 ). Rekonstruktion ved operation blev udført med absorberbar sutur hen over et stabiliserende titaniumnet igennem små borehuller i cartilago thyroidea, og man opnåede både symmetri og stabilitet af larynxskelettet. Ved postoperativ followup efter én uge, tre måneder og seks måneder havde patienten normal stemme ved stemmeanalysen og fuldstændig symmetriske forhold i endolarynx verificeret ved vidoeostroboskopi. Patienten havde dog nogle gener fra det implanterede titaniumnet ved hoveddrejning.

Case 5

55-årig mand efter hængningsforsøg i suicidalt øjemed hen-vistes til Øre-næse-hals-kirurgisk Klinik på Rigshospitalet på grund af CT-verificeret fraktur af larynxskelettet. Patienten, som primært var blevet sederet og intuberet, blev direkte laryngoskoperet, hvor man fandt at den »hævelse«, man så på CT-billedet, i virkeligheden var sejt sekret eller pus. Patienten blev derfor ikke umiddelbart trakeotomeret, og da man ved yder ligere inspektion af CT-billederne fandt, at frakturen af cartilago thyroidea var udislokeret, ekstuberede og vækkede man i stedet patienten og konstaterede en initialt hæs stemme, som dog hurtigt normaliseredes ved efterfølgende stemmeanalyse. Da videostroboskopi viste normale forhold i endo-larynx, blev patienten behandlet konservativt.

Diskussion

Generelt vil den vigtigste faktor for larynxtraumer være luftvejshåndteringen [3]. Larynxtraumer kan opdeles i fem grupper afhængig af grad og udbredelse af skade på de laryngeale strukturer: mild, moderat, svær, omfattende og kritisk skade [4, 5]. Larynxfrakturer efter stumpe traumer findes ofte i grupperne mild til svær skade, hvor intubation sædvanligvis ikke er nødvendig. Vore syv patienter hører til i gruppe 2 og 3, hvor to af patienterne primært blev intuberet. Ved CT er det afgørende at få slået fast, om der foreligger en larynxfraktur, som er udislokeret (gruppe 2) (case 5) eller dislokeret (gruppe 3) (øvrige cases), hvor der i sidst nævnte tilfælde er indikation for reposition.

I et studie med 77 patienter fandt man, at der ved konservativ behandling kunne opnås en 100% god stemmefunktion for de udislokerede minimale frakturer. Ved de dislokerede frakturer havde 87% af patienterne excellent voice recovery, når de blev opereret inden for 24 timer mod 67% ved operation inden for 2-7 dage [6, 7]. Dette er i tråd med et studie, der omhandler tidlig arvævsdannelse i bruskhelingen, som kompromiterer helingen i god stilling, hvis man venter med reposition til efter 48 timer [8]. Hvis det er indiceret at operere, finder flere studier at anvendelse af miniplates og wiretubes er mere stabilt end sutur alene [9, 10, 11]. I vores materiale (case 1 og 2) ser vi, at suturer alene har en tendens til at skride efter nogen tid (Figur 3 ), hvorimod indsættelse af titaniumnet fungerer stabiliserende, men kan genere den overliggende hud. I case 6, hvor frakturen lå parallelt med forkanten af et fremspringende adamsæble, var frakturen oplagt stabil blot med suturering, mens suturering i case 7, hvor der var tale om en kvindelig larynx med buet larynxskelet, oplagt ikke var stabil og måtte erstattes peroperativt af fiksering med miniplates. I en undersøgelse fra 2003 har man vurderet brugen af absorberbare net (polylactic acid copolymer ) og fundet brugen nyttig, men ikke gennemprøvet, da der kun indgik tre patienter i undersøgelsen [2]. Der er risiko for recurrensparese, og i en af vore cases var dette tilfældet efter operation (case 4). Det er derfor vigtigt at sikre indikationen inden evt. operation, så man undgår at påføre patienten unødige sequelae (illustreret ved case 5).

Larynxfrakturer er sjældne, og som anført fandt man ingen frakturer i et tidligere dansk materiale af 72 stumpe larynxtraumer [1]. Dette kan skyldes, at CT ikke var tilgængelig på daværende tidspunkt. Da man har set, at selv et uheldigt, relativt lille traume kan forårsage larynxfrakturer [12], er det vigtigt at være opmærksom på de kliniske tegn såsom hæshed, smerter i larynxskelettet, afoni, asymmetri eller subkutant emfysem i relation til larynx og på denne baggrund udføre akut CT. I vort materiale ventede fire patienter dog 2-4 dage før de primært henvendte sig til læge.

Konklusion

Primært sikres frie luftveje. Hvis det efter CT og evt. videostroboskopi findes, at patienten hører til gruppe 3 eller højere, bør patienten hurtigst muligt overflyttes til specialafdeling mhp. operation. Om nødvendigt kan patienten overflyttes intuberet. For at opnå et optimalt resultat bør patienten opereres inden for 48 timer, fortrinsvis med brug af miniplates eller net/wiretube, der er stabiliseret med suturer.

Med en så lille incidens bør den operative behandling af larynxfrakturer centraliseres for at sikre optimal behandling og udnyttelse af den sparsomme erfaring i håndteringen af disse.


Kristianna Mey, Øre, Næse, Hals og Hoved/halskirurgisk Klinik C0832, Hillerød Sygehus, DK-3400 Hillerød.E-mail: meymorch@privat.dk

Antaget: 10. marts 2008

Interessekonflikter: Ingen






Sidebar placering
Venstrestillet
Article type
Journal
Magazine
Section
References

<ol class="Litt-list">
<li>Wennerberg A, Bonding P: Stump vold mod halsens forside. Ugeskr læger 1982;144/22:1600-39.</li>
<li>Sasaki CT, Marotta JC, Lowlicht RA et al. Efficacy of resorbable plates for reduction and stabilization of laryngeal fractures. Ann Otol Rhinol Laryngol 2003;112:745-50.</li>
<li>Schaefer SD. The acute management of external laryngeal trauma. A 27-year experience. Arch Otolaryngol Head Neck Surgery 1992;118:598-604.</li>
<li>Lee WT, Elishar R, Elishar I: Acute external laryngotracheal trauma: Diagnosis and management. ENT Journal 2006;85;3:179-84.</li>
<li>Butler AP, Wood BP, O'Rourke AK et al. Acute external laryngeal trauma: Experience with 112 patients. Ann Otol Rhinol Laryngol 2005;114:361-8.</li>
<li>Bent III JP, Silver JR, Porubsky ES. Acute laryngeal trauma: A review of 77 patients. Otolaryngol Head Neck Surg 1993;109:441-9.</li>
<li>Bent III JP, Porubsky ES. The management of blunt fractures of the thyroid cartilage. Otolaryngol Head Neck Surg 1994;110:195-202.</li>
<li>Silver FH, Glashold AI. Cartilage wound healing. Otolaryngol Clin North America 1995;28:847-64.</li>
<li>Pou AM, Shoemaker DL, Carrau RL et al. Repair of laryngeal fractures using adaptation plates. Head &amp; Neck 1998;707-13.</li>
<li>Lykins CL, Pinczower EF: The comparative strength of laryngeal fracture fix-ation. Am J Otolaryngol. 1998;19:158-62.</li>
<li>Mello-Filho FV, Carrau RL: The management of laryngeal fractures using <span class="Br"><br></span> internal fixation. Laryngoscope 2000;110:2143-6.</li>
<li>Nerurkar N, Tandon S, Zodpe P et al. Thyroid cartilage fracture - an unusual presentation. Arch Otolaryngol Head Neck Surgery 2005;131:262-5.</li>
</ol>

Woodwing Id
250847
Fil
Bib ref
Ugeskr Læger 2008;170(41):3243-3246
Authors

Reservelæge Kristianna Mey & overlæge Niels Rasmussen Rigshospitalet, Øre-næse-halskirurgisk Klinik

0 likes