Medlem i

13 years 1 month
Indholdselementer

Q-feber er en zoonose, som forårsages af Coxiella burnetti, der især findes hos kvæg. Smitten til mennesker er primært luftbåren, og personer med erhvervsmæssig kontakt med kvæg er i øget risiko for smitte. Sygdommen hos mennesket er oftest asymptomatisk eller med influenzalignende symptomer med varierende grader af atypisk pneumoni. Q-feber behandles med doxycyclin, fluorokinoloner eller makrolider [1].

Allergisk alveolitis (AA) er en interstitiel, granulomatøs lungesygdom, som forårsages af en immunologisk betinget inflammation sekundært til gentagen inhalation af organisk støv. Sygdommen ses bl.a. efter inhalation af Saccharopolyspora rectivirgula, der findes i muggent hø og kan give tærskerlunger. De akutte og subakutte former af AA giver typisk feber, hoste, dyspnø og influenzalignende symptomer, mens symptomerne ved den kroniske form ofte er domineret af træthed og vægttab. Der er dog tale om en glidende overgang mellem de tre former. Den primære behandling er at undgå eksposition for det udløsende antigen. Svære tilfælde behandles med prednisolon [2].

Vi beskriver her det første tilfælde med forekomst af begge sygdomme samtidigt hos en patient.

SYGEHISTORIE

En 52-årig ikkerygende, tidligere rask landmand var ved egen læge blevet behandlet på mistanke om pneumoni. I løbet af de efterfølgende måneder tilkom der træthed, åndenød og et utilsigtet vægttab på 22 kg. En røntgenoptagelse af thorax viste småplettede infiltrater, og patienten blev henvist til udredning på et lokalt sygehus.

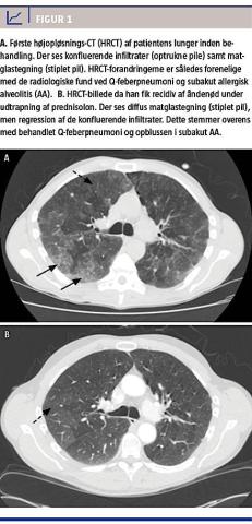
En højopløsnings-CT (HRCT) af lungerne viste smånodulære forandringer, multiple konfluerende infiltrater samt matglastegning. En udvidet lungefunktionsundersøgelse viste en restriktivt nedsat lungefunktion med en diffusionskapacitet på 60% af det forventede.

Patienten blev indlagt og behandlet med antibiotika og prednisolon obs. Q-feber, atypisk pneumoni og AA. Mistanken om akut Q-feber blev bestyrket
ved påvisning af forhøjet C. burnetti-immunglobulin G fase 2-titer og sidenhen bekræftet ved en firfolds
titerstigning [1].

Patientens lungefunktion, vægt og HRCT normaliseredes på behandlingen. Under udtrapning af prednisolon fik han imidlertid recidiv af åndenøden. En ny HRCT viste områder med diffust udbredt matglastegning, men regression af de konfluerende infiltrater. Supplerende transbronkiale biopsier (TBB) viste lymfocytær inflammation og nonnekrotiserende granulomer, hvilket var fuldt foreneligt med diagnosen subakut AA [2].

Det viste sig, at han var udsat for muggent hø på sin landejendom. Han afhændede høet, og prednisolondosis blev øget, hvorefter hans lungefunktion og HRCT blev normale, og han kunne ganske langsomt udtrappes af prednisolonbehandlingen igen.

DISKUSSION

I denne sygehistorie beskrives en patient med to samtidige, sjældne, landbrugsrelaterede sygdomme: Q-feberpneumoni og subakut AA. Symptomerne på de to sygdomme er ens, fraset vægttabet, men de radiologiske og histologiske fund er forskellige. Sandsynligheden for at få begge sygdomme samtidigt må anses for at være uhyre beskeden, da der forekommer ca. 50 nye tilfælde af AA og ca. otte nye tilfælde af Q-feber årligt i Danmark [4, 5]. De typiske CT-fund ved Q-feber er multilobulære infiltrater [3], mens der ved subakut AA ses matglastegning og dårligt definerede noduli [2].

Ved HRCT fandtes forandringer, som var forenelige med begge sygdomme, om end matglastegning er et uspecifikt fund (Figur 1A). Samtlige forandringer svandt efter behandling med antibiotika og prednisolon. Da patienten fik recidiv pga. fortsat eksponering for muggent hø, viste HRCT matglastegning bilateralt (Figur 1B).

Sidebar placering
Venstrestillet
Billede
Sidebar placering
Venstrestillet

TBB fra patienter med subakut AA viser typisk nonnekrotiserende granulomer og lymfocytær inflammation [2], mens TBB ved Q-feber typisk viser intracellulære bakterier i de alveolære makrofager [1]. Der findes ingen danske tal for incidensen af hverken Q-feber eller AA. Incidensen i Europa af Q-feber er 0,15 pr. 100.000 personår. Incidensen har været stigende i 2008/2009 pga. udbrud i Holland, men er nu faldende igen [4]. Incidensen af AA blandt svenske landmænd er 20 pr. 100.000 personår, og blandt den generelle befolkning i England er den en pr. 100.000 personår. Incidensen ser ud til at have været stabil siden 1990’erne [5].

Samtidig optræden af både AA og Q-feber er ikke tidligere beskrevet. Sygehistorien understreger vigtigheden af en god erhvervsanamnese.

Selvom både AA og Q-feber er sjældne sygdomme, er de vigtige differentialdiagnoser hos patienter, som har tilknytning til landbruget og ikke responderer på almindelig pneumonibehandling.

Korrespondance: Monica Etler Nielsen, Lungemedicinsk Afdeling, Aarhus
Universitetshospital, Nørrebrogade 44, 8000 Aarhus C.
E-mail: monica_etler@hotmail.com

Antaget: 11. marts 2015

Publiceret på Ugeskriftet.dk: 22. juni 2015

Interessekonflikter: ingen.

Sidebar placering
Venstrestillet
Article type
Journal
Magazine
Section
References

<h2>LITTERATUR</h2>
<ol type="d">
<li><p>Marrie TJ. Q fever pneumonia. Infec Dis Clin N Am 2010;24:27-41.</p></li>
<li><p>Selman M, Pardo A, King TE Jr. Hypersensitivity pneumonitis – insights in diagnosis and pathobiology. Am J Resp Crit Care Med 2012;186:314-24. </p></li>
<li><p>Voloudaki AE, Kofteridis DP, Tritou JN et al. Q fever pneumonia: CT findings. Radiology 2000;215:880-3. </p></li>
<li><p>European Centre for Disease Prevention and Control (ECDC). Annual epidemiological report.– Emerging and vector borne diseases 2014. www.ecdc.europa.eu/en/publications/Publications/emerging-vector-borne-d… (22. feb 2015).</p></li>
<li><p>Solaymani-Dodaran M, West J, Smith C et al. Extrinsic allergic alveolitis: incidence and mortality in the general population. QJM 2007;100:233-7.</p></li>
</ol>

Woodwing Id
56934
Fil
Conflict of interest
English title
Prolonged disease in a farmer with simultaneous Q fever pneumonia and subacute hypersensitivity pneumonitis
English summary

This case report describes the first incident of a patient with simultaneous occurrence of Q fever pneumonia and subacute hypersensitivity pneumonitis (HP). The 52-year-old patient was from his occupation as a farmer exposed to agents causing both diseases. Except for a weight loss in subacute/chronic incidents of HP the symptoms of Q fever and HP are similar. However, differences in CT findings and histopathology make it possible to differentiate between the two diseases. This report highlights the importance of a thorough occupational history.

Authors workplaces

Lungemedicinsk Afdeling, Aarhus Universitetshospital

Ugeskr Læger 2015;177:V12140758

Bib ref
Ugeskr Læger 2015;177:V12140758
Article number
V12140758
Authors

Monica Etler Nielsen, Ole Hilberg & Elisabeth Bendstrup

0 likes