Medlem i

12 years 10 months
Indholdselementer

Lægemiddelinduceret lungesygdom involverer som oftest lungeparenkymet (bronkier, alveoler, interstitium, kar og nerver), men kan også afficere mediastinum og pleura [1]. Der er identificeret mere end 380 lægemidler med association til udvikling af lungeforandringer [2]. I takt med udviklingen af nye lægemidler vil prævalensen af lægemiddelinduceret interstitiel lungesygdom, såkaldt medikamentel pneumonitis, formentlig være stigende.

Lungesymptomer sekundært til medikamentel pneumonitis kan optræde akut, subakut eller kronisk. Nogle patienter kan ved akut lungepåvirkning have symptomer på akut respiratorisk distress-syndrom og være respirationstruede.

Lamotrigin anvendes til behandling af forskellige former for epilepsi og som profylakse mod depressive episoder ved bipolar affektiv sindslidelse. Lamotrigin metaboliseres i leveren med en halveringstid på 25-30 timer.

Der er tidligere beskrevet et enkelt tilfælde med subakut medikamentel pneumonitis ved tillæg af lamitrogin til behandling med valproat [3].

SYGEHISTORIE

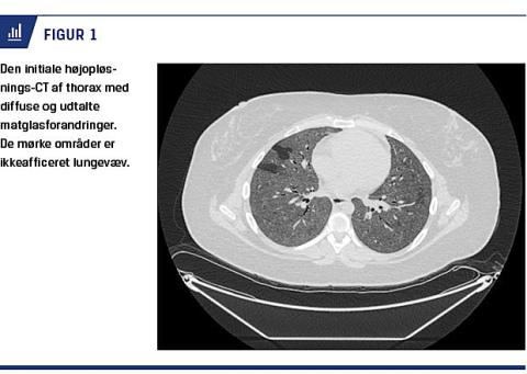
En 28-årig kvinde blev indlagt med akut forværring af dyspnø, der langsomt var progredieret året op til indlæggelsen. Patienten var gennem mange år blevet behandlet med lamotrigin for skizofreni. Røntgen af thorax og efterfølgende højopløsnings(HR)-CT viste bilaterale matglasforandringer (Figur 1), der umiddelbart blev tolket som værende forenelige med eksogen allergisk alveolitis som følge af mulig eksponering for skimmelsvamp, om end patienten ikke havde forhøjede præcipiterende antistoffer over for skimmelsvampe.
Patienten havde initialt en perifer saturation på 97% i hvile og nedsat diffusionskapacitet til 55%, men normal ventilationskapacitet.

Sidebar placering
Venstrestillet
Billede
Sidebar placering
Venstrestillet

Der blev påbegyndt prednisolonbehandling, som blev aftrappet over seks måneder, hvorpå dyspnøen
aftog. To måneder efter ophøret med prednisolonbehandlingen recidiverede dyspnøen på trods af boligskift. Diffusionskapaciteten var faldet til 33%. Patienten blev herefter udredt med bronkoskopi, hvor der ved bronkial alveolær lavage sås et forhøjet total celletal på 31 mio., udtalt lymfocytær inflammation på 59%, ingen eosinofili, normal CD4-CD8-ratio på 1,0 og ingen mikroskopifund af svampehyfer eller vækst af skimmelsvamp. I transbronkiale biopsier blev der fundet enkelte små granulomer. Det samlede billede var således ikke i overensstemmelse med eksogen allergisk alveolitis, hvor man ved bronkial alveolær lavage forventer en udtalt lymfocytær inflammation men en meget lav CD4-CD8-ratio.

Pga. tidligere bivirkninger af prednisolonbehandling ønskede patienten ikke denne på ny. I stedet udførtes fornyet HRCT med fund af forværrede matglasforandringer, der samlet forklarede patientens tiltagende dyspnø. Man udbad sig en second opinion fra et andet lungemedicinsk ambulatorium, hvor der ved en body-pletysmografi blev påvist en svært nedsat forceret vitalkapacitet (FVC) og en diffusionskapacitet på hhv. 50% og 15% af forventet samt en perifer saturation uden ilt på 83%. En seksminuttersgangtest med 3 l O2/min afslørede en nedsat gangdistance på 200 m med signifikant desaturation fra 98% til 79%. Ved en lungescintigrafi blev der dokumenteret bilaterale, perifere
lungeembolier, hvorfor der blev påbegyndt antikoagulationsbehandling. Da patienten i løbet af kort tid fik stigende iltbehov til 5 l O2/min, fik man mistanke om, at der forelå pulmonal hypertension. Dette blev udelukket ved ekkokardiografi suppleret med højresidig hjertekaterisation.

Ætiologien søgtes identificeret ved grundig medicingennemgang. Det viste sig, at patienten gennem flere år havde været i behandling med quetiapin, der kan medføre interstitielle lungeforandringer af typen nonspecifik pneumonitis, og lamotrigin, der er beskrevet at kunne forårsage akut og subakut pneumonitis [3].

Efter en multidisiciplinær konference med tilstedeværelse af lokale psykiatere, der stillede sig tvivlende over for den psykiatriske diagnose, forsøgte man at aftrappe lamotrigin fuldstændigt.

Ved en ambulant kontrol to måneder senere var FVC steget til 77% af den forventede værdi, og diffusionskapaciteten var steget til 28% af det forventede.

Efter yderligere to måneder var patienten udtrappet af al psykofarmaka og ilttilskud og begyndt at gå til zumba. Paraklinisk var FVC normaliseret og diffusionskapaciteten yderligere steget til 57%, ligesom en ny seksminuttersgangtest uden ilt viste fordoblet gangdistance med vedvarende normal saturation på 94-98%. Efter yderligere seks måneder var diffusionskapaciteten steget til 77% (Figur 2).

Sidebar placering
Venstrestillet
Billede
Sidebar placering
Venstrestillet

DISKUSSION

Interstitielle lungeforandringer ved medikamentel pneumonitis kan opstå akut og subakut [3]. Hvis man ved HRCT finder radiologiske forandringer som matglastegning vil der være indikation for supplerende bronkoskopi med bronkial alveolær lavage og evt. transbronkiale biopsier samt vurdering af lungefunktionen inklusive måling af diffusionskapacitet.

En evt. udløsende årsag til eksogen allergisk alveolitis kræver en systematisk gennemgang af mulige eksponeringer, og anamnestisk afklaring heraf er fundamental [4].

Som denne sygehistorie vidner om, skal eksogen allergisk alveolitis som følge af medicineksponering overvejes, hvorfor der anbefales en grundig gennemgang af igangværende medicinering. Ved tvivl kan opslag i databasen www.pneumotox.com være en god hjælp [5].

Korrespondance: Helle Dall Madsen. E-mail: helle.madsen3@rsyd.dk

Antaget: 20. september 2016

Publiceret på Ugeskriftet.dk: 12. december 2016

Interessekonflikter:

Taksigelse: Radiologisk Afdeling, Odense Universitetshospital, takkes for venligt udlån af højopløsnings-CT-billeder.

Sidebar placering
Venstrestillet
Article type
Journal
Magazine
Section
References

<h2>Litteratur </h2>
<ol type="d">
<li><p>Schwaiblmair M, Behr W, Haeckel T et al. Drug induced interstitiel lung disease. Open Respir Med J 2012;6:63-74.</p></li>
<li><p>Prasad R, Gupta P, Singh A et al. Drug induced pulmonary parenchymal disease. Drug Discov Ther 2014;8:232-7.</p></li>
<li><p>Saravanan N, Otaiku OM, Namushi RN. Interstitiel pneumonitis during lamotrigine therapy. Br J Clin Pharmacol 2005;60:666-7.</p></li>
<li><p>Authried G, Andersen A, Sherson DL. En lille fugl med alvorlige konsekvenser. Ugeskr Læger 2011;173:3195-6.</p></li>
<li><p>Clark G, Camus P, Frey JG. Drug induced lung disease in general practice. Rev Med Suisse 2005;1:1549-54. </p></li>
</ol>

Woodwing Id
83893
Fil
Conflict of interest
English title
Lamotrigine-induced pneumonitis
English summary

A 28-year-old woman diagnosed with schizophrenia was admitted to hospital due to progressing dyspnoea for months. At admission, she was oxygen&ndash;dependent, and a high-resolution computed tomography revealed ground glass opacities. She had no obvious exposures besides having been treated with lamotrigine for several years. A psychiatrist doubted the diagnosis, and the lamotrigine treatment was tapered. After some months, she became clinically stable without further need of oxygen. Lamotrigine can cause pneumonitis, and this side effect should be suspected in patients who are being treated with lamotrigine and presenting with progressive dyspnoea. Crucial treatment is to remove the exposure.

Authors workplaces

Lungemedicinsk Afdeling J, Odense Universitetshospital

Ugeskr Læger 2016;178:V03160202

Bib ref
Ugeskr Læger 2016;178:V03160202
Article number
V03160202
Authors

Helle Dall Madsen & Jesper Rømhild Davidsen

0 likes