Medlem i

12 years 10 months
Indholdselementer

Begrebet kunstig intelligens eller artificialintelligence (AI) har på kort tid erobret en fremtrædende plads i vores bevidsthed. Maskinlæring, dyb læring og neurale netværk nævnes i sammenhæng med næsten alle brancher med teknologi, inklusive sundhedsvæsenet. Teknologien startede i 1940’erne med Pitts&McCullochs forslag om en computermodel baseret på den måde, hvorpå neuronerne i menneskehjernen udveksler information [1]. Back-propagation fra 1986 revolutionerede de neurale netværk ved at lære af egne fejl [2], og i 1989 kunne AI-metoden læse håndskrevne tal, hvilket senere blev brugt til automatisk at læse checks [3]. AI’s potentiale gik op for mange, da IBM's Deep Blue slog verdensmesteren i skak,Garry Kasparov, i 1997 [4].

Sidebar placering
Venstrestillet
Fakta

Hovedbudskaber

  • Der er et stigende antal undersøgelser, men mangel på læger med ekspertviden.
  • Der gives eksempler på automatisering, diagnostik, samt forbedret billedkvalitet ved hjælp af kunstig intelligens (AI).
  • AI kan agere beslutningsstøtte, forbedre kvaliteten af undersøgelserne og frigøre lægen til vigtigere opgaver.
Ombryd tekst
0
Brødtekst

Hovedbudskaber

  • Der er et stigende antal undersøgelser, men mangel på læger med ekspertviden.
  • Der gives eksempler på automatisering, diagnostik, samt forbedret billedkvalitet ved hjælp af kunstig intelligens (AI).
  • AI kan agere beslutningsstøtte, forbedre kvaliteten af undersøgelserne og frigøre lægen til vigtigere opgaver.

AI i alt fra selvkørende biler og personlige assistenter i telefonerne til spamfilteret i e-mail [5] er ikke resultatet af et enkelt kvantespring, men mange års forskning analogt med Thomas Kuhns beskrivelse af andre forskningsmæssige paradigmeskift [6]. Grundlaget for AI-væksten har været bedre matematiske algoritmer og stærkere grafikkort i computerne, hvilket tilsammen har gjort det muligt »at tygge sig igennem« store mængder big data.ImageNet [7] er en database, der blev lanceret i 2009 og nu indeholder 14 mio. annoterede billeder. Dette har katalyseret væksten i brug af AI til billedbeskrivelse.

KUNSTIG INTELLIGENS TIL DET MEDICINSKE OMRÅDE

Det stigende pres på sundhedssektoren kalder på nye smarte løsninger, og med AI er man ved at transformere sundhedssektoren på en række områder. Antallet af publikationer om AI på PubMed er steget fra 100-200 årligt i 2005-2012 til 3.500 i 2019 allerede i august. Kina vil være verdens førende nation inden for AI, og de store landes aktivitet på området er karakteriseret som »the new space race of nations« [8]. Der er et stort potentiale i at udnytte vores unikke måde at opsamle strukturerede sundhedsdata på i Danmark ved hjælp af big data, både til kohorteanalyser af sammenhænge mellem sygdommes ætiologi, patogenese og behandling samt til egentlig personlig medicin til den enkelte patient. Med AI og den danske nationale strategi for personlig medicin og det nye Nationale Genom Center kan dette område blive meget betydeligt.

AI som beslutningsværktøj f.eks. på intensivafdelinger er et andet område i vækst [9], ligesom AI også kan bruges til effektivisering af arbejdsgange og patientforløb og til taletiltekst-oversættelse samt automatisk analyse af f.eks. vævsprøver [10].

KUNSTIG INTELLIGENS TIL KLINISK BILLEDDIAGNOSTIK

AI til billedbehandling er i vækst internationalt [11], og Facebook, Google, Amazon og IBM er med. Efter initiale skuffelser med IBM Watson og de delvist skrinlagte satsninger inden for stråleterapi og radiologi er andre områder udviklet positivt. Algoritmer, der er lige så gode som speciallæger, kunne f.eks. inden for dermatologi diagnosticere hudsygdomme med samme som eller bedre præcision end 21 dermatologer vedr. 20 sygdomme [12]. Googles DeepMind samarbejder med flere øjenklinikker om automatisk diagnose og henvisning af patienter med øjensygdomme, når de er undersøgt med opticalcoherence tomografi ud fra AI-algoritmer, der er udviklet på Moorfields Eye Hospital i London [13], hvor algoritmen kunne matche eller overgå eksperterne.IDx Technologies blev i 2018 det første firma i USA med et Food and Drug Administration (FDA)-godkendt autonomt diagnosesystem til diabetesrelaterede øjensygdomme [14].

Ved at lade algoritmerne overtage trivielle arbejdsopgaver frigøres lægen til andre opgaver. Indtegning af raske organer ved planlægning af stråleterapi er allerede blevet et kommercielt produkt [15]). Foreløbig kan algoritmerne ikke erstatte lægen, men komme med et bud på en løsning, som lægen kan tilpasse eller godkende og således spare tid. AI kan måske også hjælpe, så man ikke overser fund i billederne [16].

KUNSTIG INTELLIGENS TIL NUKLEARMEDICIN

AI til nuklearmedicinsk billeddiagnostik kan give bedre billeder, hurtigere arbejdsgange og lavere stråledosis til patienter og personale.

PET/MR er en nyere skanningsmodalitet med Nordens første installation på Rigshospitalet i 2011. PET/CT-skannere har høj diagnostisk sikkerhed, men PET/MR-skannerne kan være bedre til diagnostik af hjernesygdom m.m. Desværre skal man bruge CT til at korrigere PET-billederne for fotoners absorption i væv og knogler, og det kan man ikke med MR. Vi har derfor udviklet en AI-metode, som kan generere CT-lignende data fra MR-sekvenser til korrektion af PET-data og med en fejl i præcisionen på under 1% [17] (Figur 1). Systemet er implementeret i klinisk praksis til brug hos patienter med demens, så de undgår en ekstra CT, hvilket giver kortere undersøgelsestid og effektiviseringsgevinst med bedre patientkomfort og mindre stråledosis.

Sidebar placering
Venstrestillet
Billede
Sidebar placering
Venstrestillet

AI til reduktion af støj i billeddata betyder kortere skanningstid og lavere stråledosis for patienterne. AI udviklet på baggrund af en stor mængde patientdata med højt signal og simulerede data med lavt signal har lært det neurale netværk at identificere støjen, som herefter fjernes. Til hjerteundersøgelser har vi i et mindre studie påvist, at billedernes kliniske kvalitet kan bibeholdes trods en dosisreduktion på 99% [18] (Figur 2).

Sidebar placering
Venstrestillet
Billede
Sidebar placering
Venstrestillet

Patienter med Hodgkinslymfom behandles ofte med stråleterapi under fuldt åndedrætshold, hvorved den øgede luftmængde i lungerne bidrager til at spare kritisk væv (lunger, hjerte og kar) for ekstra stråling [19], samtidig med at tumorvæv ikke bliver påvirket af åndedrætsbevægelser. Patienterne PET/CT-skannes normalt mange gange med holdt monitoreret åndedræt, men med AI-teknikken, der er udviklet som et masterprojekt fra DTU og KU af civilingeniør Mathias Gæde [20], kan proceduren reduceres til en enkelt skanning a 20 sekunders varighed (Figur 3).

Sidebar placering
Venstrestillet
Billede
Sidebar placering
Venstrestillet

PET-traceren PE2I benyttes til diagnostik af Parkinsons sygdom [21], da patienterne har reduceret optagelse i striatum på hjerne PET-billeder. Med AI er der udviklet et fuldautomatisk system til analyse af PE2I-billederne, hvor resultatet er en rapport, som via digital imaging and communications in medicine sendes sammen med beskrivelsen af undersøgelsen. AI-algoritmen tegner striatum fra billeddata, og det tager otte sekunder at generere rapporten, som dettidligere tog lægen en halv time at lave manuelt. Systemet er i klinisk rutine og benyttes på Bispebjerg Hospital og Rigshospitalet.

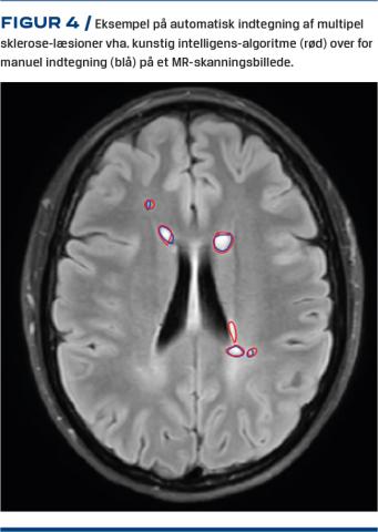
AI som beslutningsstøtte ved klinisk billeddiagnostik er under udvikling mange steder til brug ved mammografi, røntgenoptagelser af thorax samt muskel-og skeletundersøgelser i et stort EU-projekt ledet fra Bispebjerg Hospital. MR-skanning anvendes til udredning og monitorering af multipel sklerose, der manifesterer sig som små hvide læsioner på MR-skanningsbilleder. Antal og volumen af læsioner på MR-skanningsbillederne er centralt for monitorering af patienterne, som følges over år med gentagne skanninger, og man indtegner ofte disse læsioner på billederne – et arbejde, som er langsommeligt og omstændeligt. Mange arbejder med AI til automatisk løsning af denne opgave, men en metode er endnu ikke indført klinisk. Ved den internationale konference Challenge MICCAI 2017 søgte man at lave den bedst mulige algoritme til indtegning af disse læsioner på et kendt dataset [22]. Vi valgte den vindende algoritme [23], og i et masterprojekt fra DTU og KU har civilingeniør Amalie Hindsholm udviklet AI til at matche speciallægers indtegninger [24] (Figur 4). Efter en prospektiv evaluering er målet at indføre metoden som rutine.

Sidebar placering
Venstrestillet
Billede
Sidebar placering
Venstrestillet

AI til bedre billeddiagnostik kan benyttes til: 1) logistik for dagsprogrammer og patientforløb på afdelingerne, 2) skanningsprotokoller og billedbehandling med bedre billeder, kortere skanningstid og lavere stråledosis, 3) beslutningsstøtte med forslag til indtegninger af f.eks. tumorer, 4) beslutningsstøtte med diagnoseforslag og 5) færdig beskrivelse af undersøgelse med diagnose.

Der foreligger pålidelige AI-algoritmer for punkterne 1-4, hvorimod 5 stadig udestår, bortset fra eksempler som screening af øjenbaggrund og dermatologi [12,13].

FRA FORSKNING TIL ANVENDELSE

Kunstige neurale netværk adskiller sig fra menneskelige ved, at der løbende kan ske en optimering, og de kan lære mere, når flere data kommer til. FDA i USA er i en proces, hvor den traditionelle FDA-godkendelse af »Software as medicaldevices« er under revision til »Software as a medicaldevicepre-specifications«, dvs. hvor markedsgodkendelsen kobles op på en specifikation af metoden med en tilknyttet godkendt ændring af netværket under hensyntagen til patientrisiko og implementering af »goodmachine learning practice« [25]. I Danmark bør tilsvarende godkendelser udvikles.

Området kræver tværdisciplinære forskningsgrupper med tilknyttede læger, fysikere, ingeniører og dataloger, hvor den tekniske viden udspringer af de datalogiske fag og idégenerering samt klinisk evaluering fra den sundhedsfaglige kontekst. Læger og personer med natur- og tekniskvidenskabelige kompetencer må samarbejde i dialog for at skabe synergi.

Der er ikke noget hokuspokus ved AI, og hvis de sædvanlige spilleregler for etik, datasikkerhed, publikationer, korrekte og repræsentative data og almindelig ordentlighed og metode følges, kan AI blive en stor hjælp i fremtidens sundhedsvæsen,så det bliver nemmere, billigere og bedre.Frygt for, at AI skal stjæle opgaver fra læger, der arbejder med billedbeskrivelse i radiologi, klinisk fysiologi og nuklearmedicin eller radioterapi, har været nævnt i internationale rapporter [26], men i Danmark er der allerede nu et voksende antal undersøgelser og dertil mangel på læger med ekspertviden. AI til at afhjælpe ubalancen er derfor velkommen, og teknikken skal udvikles i tværdisciplinære team med natur-og tekniskvidenskabelig datalogisk kompetence.



KORRESPONDANCE: Liselotte Højgaard. E-mail: lottepet@rh.dk
ANTAGET: 25. februar 2020
PUBLICERET PÅ UGESKRIFTET.DK: 23. marts 2020
INTERESSEKONFLIKTER: Forfatternes ICMJE-formularer er tilgængelige sammen med artiklen på Ugeskriftet.dk
LITTERATUR: Findes i artiklen på Ugeskriftet.dk

Sidebar placering
Venstrestillet
Article type
Journal
Magazine
Section
References

Litteratur

  1. McCulloch WS, Pitts W. A logical calculus of the ideas immanent in nervous activity. The Bulletin of Mathematical Biophysics 1943;5:115-33.

  2. Rumelhart DE, Hinton GE, Williams RJ. Learning representations by back-propagating errors. Cognitive Modeling 1988;5:1.

  3. LeCun Y, Boser B, Denker JS et al. Backpropagation applied to handwritten zip code recognition. Neural Computation 1989;1:541-51.

  4. https://www.washingtonexaminer.com/weekly-standard/be-afraid-9802 (3. sep 2019).

  5. Goh KL, Singh AK, Lim KH. Multilayer perceptrons neural network based web spam detection application. In2013 IEEE China Summit and International Conference on Signal and Information 6. jul 2013:636-40.

  6. Kuhn TS. The structure of scientific revolutions. University of Chicago Press, 2012.

  7. Deng J, Dong W, Socher R et al. Imagenet: a large-scale hierarchical image database. In2009 IEEE conference on computer vision and pattern recognition 20. jun 2009:248-55.

  8. Horowitz M, Kania EB, Allen GC et al. Strategic competition in an era of artificial intelligence. Center for New American Security, 2018.

  9. Poulsen AG. Snart rykker kunstig intelligens ind på intensiv. Ugeskr Læger 2019;181:1388-91.

  10. Jiang F, Jiang Y, Zhi H et al. Artificial intelligence in healthcare: past, present and future. Stroke Vasc Neurol 2017;2:230-43.

  11. Langlotz CP, Allen B, Erickson BJ et al. A roadmap for foundational research on artificial intelligence in medical imaging: From the 2018 NIH/RSNA/ACR/The Academy Workshop. Radiology 2019;291:781-91.

  12. Esteva A, Kuprel B, Novoa RA et al. Dermatologist-level classification of skin cancer with deep neural networks. Nature 2017;542:115.

  13. De Fauw J, Ledsam JR, Romera-Paredes B et al. Clinically applicable deep learning for diagnosis and referral in retinal disease. Nat Med 2018;24:1342.

  14. https://www.fda.gov/news-events/press-announcements/fda-permits-marketing-artificial-intelligence-based-device-detect-certain-diabetes-related-eye (3. sep 2019).

  15. https://mirada-medical.com/radiationoncology/dlc-expert/ (3. sep 2019).

  16. Shin HC, Roth HR, Gao M et al. Deep convolutional neural networks for computer-aided detection: CNN architectures, dataset characteristics and transfer learning. IEEE Trans Med Imaging 2016;35:1285-98.

  17. Ladefoged CN, Marner L, Hindsholm A et al. Deep learning based attenuation correction of PET/MRI in pediatric brain tumor patients: evaluation in a clinical setting. Front Neurosci 2018,12:1005.

  18. Ladefoged C, Hasbak P, Hansen J et al. 2019. Low-dose PET reconstruction using deep learning: application to cardiac imaged with FDG. J Nuclear Med 2019;60(suppl 1):573.

  19. Petersen PM, Aznar MC, Berthelsen AK et al. Prospective phase II trial of image-guided radiotherapy in Hodgkin lymphoma: benefit of deep inspiration breath-hold. Acta Oncol 2015;54:60-6.

  20. https://findit.dtu.dk/en/catalog/2451139201 (3. sep 2019).

  21. Jakobson MS, Axelsson J, Jonasson L et al. Dopamine transporter imaging with [18F]FE-PE2I PET and [123I]FP-CIT SPECT-a clinical comparison. EJNMMI Res 2018;8:100

  22. Kuijf HJ, Casamitjana A, Collins DL et al. Standardized assessment of automatic segmentation of white matter hyperintensities; results of the wmh segmentation challenge. IEEE Trans Med Imaging 2019;38:2556-68.

  23. Li H, Jiang G, Zhang J et al. Fully convolutional network ensembles for white matter hyperintensities segmentation in MR images. Neuroimage 2018;183:650-65.

  24. https://findit.dtu.dk/en/catalog/2452634717 (3. sep 2019).

  25. www.regulations.gov, Docket No. FDA-2019-N-1185 (3. sep 2019).

  26. Langlotz C. Will artificial intelligence replace radiologists? Radiology 2019;1:e190058.

Woodwing Id
14733
Conflict of interest
English title
Artificial intelligence for diagnostic imaging
English summary

Claes Nøhr Ladefoged, Flemming Littrup Andersen, & Liselotte Højgaard

Ugeskr Læger 2020;182:V10190563

Artificial intelligence (AI) is a computer-based system, which in diagnostic imaging can improve patient flow, optimise image processing, shorten scan time, reduce radiation dose and be used as decision aid in image interpretation. In this review, we argue that AI algorithms should be based on evidence with initial hypothesis, then a choice of algorithm and development with training on the initial data set; afterwards the algorithms should be tested on a new representative dataset, and finally it should be tested in a prospective study. If the AI is evidence-based and can solve a task better or cheaper than the usual methodology, it can be implemented.

Authors workplaces

Klinik for Klinisk Fysiologi, Nuklearmedicin & PET, Rigshospitalet

Ugeskr Læger 2020;182:V10190563

Bib ref
UgeskrLæger 2020;182: V10190563
Article number
V10190563
Authors

Claes Nøhr Ladefoged, Flemming Littrup Andersen, & Liselotte Højgaard

0 likes