Medlem i

13 years 1 month
Indholdselementer

Spontan intrakraniel hypotension (SIH) er en sjælden sekundær hovedpinesygdom, som kan være vanskelig at diagnosticere pga. variabel præsentation. Sygdommen forårsages af udsivning af cerebrospinalvæske (CSV) via en meningeal lækage, hvilket medfører hypotension. Da den potentielt kan helbredes, er det afgørende at få stillet diagnosen, da patienterne ellers kan få kronisk invaliderende hovedpine og livsfarlige komplikationer. Nedenfor præsenteres et klassisk patientforløb, og udfordringerne i forbindelse med diagnostik af SIH belyses.

SYGEHISTORIE

En 62-årig tidligere rask kvinde fik fire uger før indlæggelse subakut bilateral nakkesmerte og stivhed i nakken. Smerterne tiltog hurtigt over 2-3 timer og gik derefter gradvis over i en svær, holocefal dunkende hovedpine. Smerterne var stillingsafhængige med remission i liggende stilling og recidiv i oprejst stilling og ved fysisk belastning. I ugen op til indlæggelsen var hun sygemeldt og sengeliggende det meste af tiden. Smerterne var ledsaget af kvalme, lysfølsomhed og bilateral susende tinnitus. Hun erindrede ikke at have været udsat for et nyligt traume.

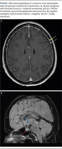
Den neurologiske undersøgelse, hendes almentilstand, ekg, vitalparametre og blodprøvesvar var upåfaldende. CT af hjernen viste bilaterale smalle, subdurale ansamlinger uden tegn på friske blødningskomponenter. MR-skanning af hjernen og rygmarven med intravenøs kontrast viste nedsynkning af mesencefalon og hjernestammen (sagging, pontomesencefal vinkel reduceret til 45 grader), en lidt fyldig hypofyse, diffust fortykkede og kontrastopladende pachymeninx intrakranielt (Figur 1) og intraspinalt samt et let øget epiduralrum torakalt. Hun blev på mistanke om SIH behandlet med lumbal epidural blood patch (EBP) med eklatant effekt.

Sidebar placering
Venstrestillet
Billede
Sidebar placering
Venstrestillet

Efter fem måneder var hun fortsat hovedpinefri, men havde fået et mildt tilbagefald af nakkesmerter og tinnitus. Hun fik tilbudt endnu en lumbal EBP, som var uden effekt. Kontrol-MR-skanning af hjernen og rygmarven viste remission uden radiologiske tegn på SIH. Efter ti måneder var hovedpinen forsat remitteret, nakkesmerter og tinnitus var markant aftagende, og patienten havde genoptaget arbejdet fire dage om ugen med planlagt fuldtidsarbejde to uger senere.

DISKUSSION

Patienten i sygehistorien opfyldte diagnosekriterierne (Tabel 1) for hovedpine pga. SIH. Kriterierne vurderes at være af høj specificitet, men lav sensitivitet, idet symptomerne kan være meget varierende [2, 3]. Den subakutte debut med stillingsafhængig hovedpine og de klassiske forandringer på MR-skanning hos en ellers rask kvinde uden neurologiske udfald eller tegn på en underliggende sygdom som postural ortostatisk takykardi syndrom, cervikogen hovedpine, idiopatisk intrakraniel hypertension, kraniocervikal instabilitet, nyopstået persisterende daglig hovedpine, kronisk migræne, spændingshovedpine, pakymeningitis, sarkoidose, morbus Wegener, durale metastaser og Arnold-Chiari-syndrom taler for SIH. Hovedpinen er ofte ortostatisk, men den ortostatiske komponent kan mangle eller remittere.

Sidebar placering
Venstrestillet
Billede
Sidebar placering
Venstrestillet

Andre klassiske symptomer er nakkesmerter, tinnitus, kvalme, lysfølsomhed og ændret hørelse, men mange flere, f.eks. tordenskraldshovedpine, sløret syn, dobbeltsyn og bevidsthedspåvirkning, er beskrevet [4]. Symptomerne kan være recidiverende eller vedvarende.

Klassiske fund på cerebral MR-skanning er sagging, diffust pakymeningeal kontrastopladning, hygromer, subdurale hæmatomer, forstørret hypofyse og prominente sinus, men fundene er ikke altid til stede [4]. Hos patienten i sygehistorien blev der ikke gennemført lumbalpunktur, da det ikke er påkrævet for diagnosekriterierne, men behæftet med risiko for forværring af SIH samt diagnostisk usikkerhed, idet åbningstrykket ikke sjældent er normalt [3, 5].

Patienten blev behandlet med lumbal EBP. Succesraten angives at være 30-70%. Proceduren er teknisk nem og kræver ikke invasiv diagnostik (f.eks. myelografi) til lokalisering af lækagen [3], f.eks. pga. dural rift (pga. mindre traume, degenerativ diskforandringer, ossøst spor [3]), svaghed i dural sac (dural defekt/meningeal divertikel/bindevævssygdom), eller CSV-venøs fistel. Idet der var markant effekt af EBP, var der ikke behov for at eskalere med invasiv diagnostik, målrettet EBP eller kirurgisk lækagebehandling [3].

Et begrænset antal patienter med SIH kan behandles konservativ (sengeleje, koffein, gabapentin, theophyllin, hydrocortison).

Sygehistorien illustrer betydningen af kendskab til denne sjældne sygdom, som tit kan behandles.



Korrespondance Dagmar Beier. E-mail: dagmar.beier@rsyd.dk
Antaget 24. marts 2021
Publiceret på ugeskriftet.dk 17. maj 2021
Interessekonflikter Der er anført potentielle interessekonflikter. Forfatternes ICMJE-formularer er tilgængelige sammen med artiklen på ugeskriftet.dk
Taksigelser Nina Szomlaiski, Neurologisk Afdeling, Odense Universitet, takkes for korrekturlæsning samt sproglige og grammatiske rettelser.
Referencer findes i artiklen publiceret på ugeskriftet.dk
Artikelreference Ugeskr Læger 2021;183:V01210065

Sidebar placering
Venstrestillet
Article type
Journal
Magazine
Section
References

Referencer

  1. Headache Classification Committee of the International Headache Society (IHS). The International Classification of Headache Disorders, 3rd ed. Cephalalgia 2018;38:1-211.

  2. Schievink WI, Maya MM, Moster F et al. Frequency of spontaneous intracranial hypotension in emergency department. J Headache Pain 2007;8:325-8.

  3. Kranz PG, Malinzak MD, Amrhein TJ, Gray L. Update on the diagnosis and treatment of spontaneous intracranial hypotension. Curr Pain Headache Rep 2017;21:37.

  4. Schievink WI. Spontaneous spinal cerebrospinal fluid leaks and intracranial hypotension. JAMA 2006;295:2286-96.

  5. Mokri B, Hunter SF, Atkinson JL, Piepgras DG. Orthostatic headaches caused by CSF leak but with normal CSF pressures. Neurology 1998;51:786-90.

Woodwing Id
46971
Fil
Conflict of interest
English title
Chronic headache caused by spontaneous intracranial hypotension
English summary

Sanaz Shoja Gharehbagh, Nina TTN Nguyen & Dagmar Beier

Ugeskr Læger 2021;183:V01210065

Spontaneous intracranial hypotension (SIH) is a secondary headache disorder due to leakage of cerebrospinal fluid without a history of dural trauma. If not diagnosed in time, patients may develop invalidating headaches or even life-threatening complications. SIH diagnosis can be challenging as the presentation of the disease may vary significantly. In this case report of a classic course of disease in a 62-year-old woman, we illustrate challenges according to the diagnosis emphasising the importance to consider SIH as a differential diagnosis in cases of orthostatic but also atypical chronic headache.

Authors workplaces

1) Neurologisk Afdeling, Odense Universitetshospital, 2) Radiologisk Afdeling, Odense Universitetshospital

Ugeskr Læger 2021;183:V01210065

Bib ref
UgeskrLæger 2021;183:V01210065
Article number
V01210065
Authors

Sanaz Shoja Gharehbagh1, Nina TTN Nguyen2 & Dagmar Beier1

0 likes