Medlem i

12 years 11 months
Indholdselementer

Det estimeres, at ca. 16.000 personer i Danmark har kronisk hepatitis C (KHC), hvoraf ca. halvdelen er diagnosticeret [1]. Infektion med hepatitis C-virus (HCV) bliver kronisk hos ca. 65% af de smittede, og

af disse får 10-40% levercirrose, hovedparten i løbet af årtier, med en årlig risiko på 1-5% for udvikling af kræft i leveren, hepatocellulært karcinom (HCC) [2]. Jo senere KHC-diagnosen stilles, jo større er risikoen for fremskreden leversygdom, og jo vanskeligere er infektionen at behandle succesfuldt. I USA ses en øget opmærksomhed på screening for KHC af personer, der er født i baby boomer-perioden 1945-1965 [3].

 

SYGEHISTORIER

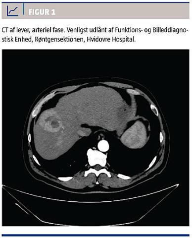
I. En 59-årig tidligere rask mand fik pneumoni, og forløbet var mere langtrukket end forventeligt, hvorfor patienten hos egen læge blev udredt med et bredt panel af blodprøver. Disse viste forhøjede levertal og efterfølgende positiv HCV-RNA. I hospitalsregi stillede man diagnosen KHC på baggrund af en positiv HCV-RNA og et intravenøst stofmisbrug mellem 1971 og 1985. Patienten havde siden da været stoffri, men huskede symptomer (gulsot og kitfarvet fæces), der er forenelige med akut hepatitis i 1970’erne. Alfaføtoprotein (AFP)-koncentrationen var 78 mikrogram/l (normalt < 14 mikrogram/l) og alaninaminotrans-

ferase (ALAT)-niveauet var 153 E/l (normalt 10-70 E/l) på henvisningstidspunktet. På grund af den forhøjede AFP-koncentration blev patienten henvist til trefaset CT af abdomen, hvorved man fandt tre malignitetssuspekte processer, der var forenelige med HCC (Figur 1).

Sidebar placering
Venstrestillet
Billede
Sidebar placering
Venstrestillet

 

Patienten var pga. af tumorernes udbredelse ikke kandidat til kirurgisk resektion, men blev tilbudt transarteriel kemoembolisering (TACE), hvilket han imidlertid ikke var interesseret i. Han overgik derefter til opfølgning uden behandling.

 

II. En 61-årig mand fik i forbindelse med udredning på grund af hævelser og føleforstyrrelser i begge ben konstateret forhøjede levertal hos egen læge og blev efterfølgende diagnosticeret med KHC i hospitalsregi. Han havde aldrig injiceret stoffer, var ikke tatoveret og havde ikke haft seksuel kontakt med personer med kendt leversygdom. Som barn havde han fået foretaget appendektomi, tonsillektomi og polypektomi, alt sammen på danske hospitaler. Det konkluderedes, at han mest sandsynligt var blevet smittet ved en blodtransfusion i forbindelse med et af de ovennævnte kirurgiske indgreb.

Objektivt sås let hepatomegali og flere spider-nævi på thorax. ALAT-niveauet var 126 E/l, og AFP-koncentrationen var 54 mikrogram/l. En ultralyd-skanning af leveren afslørede steatotisk udseende leverparenkym samt fem malignsuspekte processer, og en trefaset CT af abdomen bekræftede diagnosen HCC. Efter fire TACE-behandlinger efterfulgt af fem måneders behandling med sorafenib var der igen progression, hvorfor patienten overgik til palliativ behandling og gik ad mortem.

 

DISKUSSION

Sygehistorierne er eksempler, hvor tidligere diagnostik og behandling af KHC sandsynligvis kunne have forbedret overlevelsen. Begge patienter blev pga. forhøjede levertal diagnosticeret med KHC og samtidig HCC uden udsigt til kurativ behandling.

Både danske og amerikanske undersøgelser viser en høj grad af underdiagnosticering af KHC [1, 3]. Sundhedsstyrelsen anbefaler fortsat screening af personer med høj risiko for HCV-infektion [4].

Behandling for KHC har hidtil kun helbredt 50-80% af patienterne [2], men med introduktionen af nyere og bedre behandlingsregimer, som lanceres i 2014, er det særlig relevant at diagnosticere KHC så tidligt som muligt, således at flest mulige patienter kan tilbydes kurativ behandling, og dermed nedsætte risikoen for cirrose og HCC.

Pga. den ofte langsomme progression af KHC til cirrose og trods introduktion af bedre behandlingsmuligheder forventes der i den vestlige verden en stigning i incidensen af HCC forårsaget af KHC i de kommende år [2]. Dette skyldes især, at mange patienter er blevet smittet med HCV for mange år siden ved i.v.-misbrug, som er den hyppigste smittemåde i Danmark (ca. 60%) (Tabel 1) [5].

Sidebar placering
Venstrestillet
Billede
Sidebar placering
Venstrestillet

Sygehistorierne understreger relevansen af på vid indikation at screene for KHC hos voksne med forhøjede levertal. Ligeledes illustrerer sygehistorierne, at avanceret HCC kan være til stede på diagnosetidspunktet for KHC, hvor infektionen er pådraget for mange år siden, uden at patienten i den mellemliggende periode har haft symptomer. Det er derfor særdeles relevant at afdække risici for HCV-infektion og altid foretage udredning af patienter med forhøjede levertal.

 

 

Korrespondance: Sofie Hallager, Infektionsmedicinsk Afdeling, Afsnit 144,

Hvidovre Hospital, Kettegård Allé 30, 2650 Hvidovre.

E-mail: sofie.hallager@gmail.com

Antaget: 30. april 2014

Publiceret på Ugeskriftet.dk: 11. august 2014

Interessekonflikter:

Sidebar placering
Venstrestillet
Article type
Journal
Magazine
Section
References

<h2>Litteratur</h2>
<ol type="d">
<li><p>Christensen P, Hay G, Jepsen P et al. Hepatitis C prevalence in Denmark – an estimate based on multiple national registers. BMC Infect Dis 2012;12:178. </p></li>
<li><p>Craxì A, Pawlotsky J-M, Wedemeyer H. EASL clinical practice guidelines: management of hepatitis C virus infection. J Hepatol 2011;55:245-64. </p></li>
<li><p>Smith BD, Morgan RL, Beckett GA et al. Recommendations for the identification of chronic hepatitis C virus infection among persons born during 1945-1965. MMWR Recomm Rep 2012;61:1-32. </p></li>
<li><p>Vejledning om HIV (human immundefekt virus), hepatitis B og C virus: forebyggelse af blodbåren i smitte, diagnostik og håndtering i sundhedsvæsnet og på andre arbejdspladser. København: Sundhedsstyrelsen, 2013. </p></li>
<li><p>Weis N. Den Danske Database for Hepatitis B og C. Årsrapport 2005-2009. http://kea.au.dk/download/arsrapport_DANHEP_v_31052011_412.pdf; 2005 (13. jun 2014).</p></li>
</ol>

Woodwing Id
49719
Fil
Conflict of interest
English title
Chronic hepatitis C presenting with a diagnosis of hepatocellular carcinoma
English summary

Chronic hepatitis C (CHC) affects around 16,000 individuals in Denmark of whom about 50% are diagnosed. In the presence of CHC and cirrhosis the annual risk of hepatocellular carcinoma (HCC) is 1-5%. We report on two patients who presented with disseminated HCC at the time of CHC diagnosis. At the time of diagnosis only non-curative treatment was available. An earlier diagnosis of CHC could potentially have led to a cure and prevention of HCC.

Authors workplaces

1) Infektionsmedicinsk Afdeling, Hvidovre Hospital
2) Institut for Klinisk Medicin, Det Sundhedsvidenskabelige Fakultet, Københavns Universitet

Ugeskr Læger 2014;176:V02140131

Bib ref
Ugeskr Læger 2015;177:V02140131
Authors

Sofie Hallager1 & Nina Weis1, 2

0 likes