Medlem i

13 years 1 month
Indholdselementer

Traumatisk øsofagusperforation er en meget alvorlig tilstand, som afhængig af symptomer og varighed kan behandles konservativt, med dræn, med stent eller operativt. Der er høj morbiditet og mortalitet ca. 20%. Øsofagusvæggen er i lighed med resten af gastrointestinalkanalen opbygget af et lag mucosa, et lag submucosa, to muskellag og adventitia. Øsofagus har ingen serosabeklædning.

Ved perforation forekommer der oftest mediastinitis med mediastinal ansamling. Denne tilstand medfører symptomer, der ikke altid forbindes med sygdom i gastrointestinalkanalen, og dermed forsinkes diagnosen ofte. Det kan være synkesmerter, brystsmerter, øget respirationsfrekvens, stridor, febrilia, lavt blodtryk, takykardi, smerter i hals eller nakke og subkutant emfysem. Macklers triade består af opkastninger, brystsmerter og subkutant emfysem og bør lede mistanken i retning af øsofagusperforation. Vi beskriver her en sygehistorie med øsofagusperforation, der var forårsaget af en tandbørste.

SYGEHISTORIE

En halvandetårig pige, som var rask og normalt udviklet, blev fundet grædende med en tandbørste i munden. Efter nogle timer fik hun synkebesvær, febrilia og stødende respiration. Hun blev tilset af en øre-næse-hals-læge, der fandt sugilation foran venstre tonsil. Larynx var normal, men oro-rhinopharynx var sekretfyldt. På grund af tiltagende påvirket almentilstand blev hun overflyttet til pædiatrisk vurdering. Pulsen var på dette tidspunkt 200 slag pr. min, respirationsfrekvensen 56 åndedrag pr. min og temperaturen 40,4 °C. Iltmætningen var 90% i liggende og 95% i siddende stilling, og hun havde let cyanose. I første omgang blev det kliniske billede tolket som purulent øvre luftvejsinfektion. Tilstanden bedredes umiddelbart på i.v. antibiotika og adrenalininhalationer. Røntgen af thorax viste upåfaldende forhold i mediastinum.

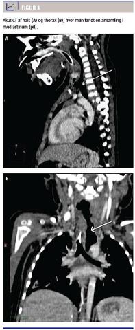
Efter to døgn var der klinisk forværring med hævelse på forsiden af halsen og mistanke om subkutant emfysem, en stigning i C-reaktivt proteinniveauet til 256 mg/l og et leukocytniveau på 27 × 109/l. Der blev foretaget akut CT af hals og thorax, hvor man fandt en ansamling i mediastinum (Figur 1). Ved efterfølgende endoskopi fandt man perforation lige ved indgangen til øsofagus og ned på venstre side, med adgang til en fibrinbelagt, luftfyldt kavitet i media-
stinum. Der blev anlagt ernæringssonde og nasokavitært dræn til sug, og intet per os. De følgende dage bedredes den kliniske tilstand, og infektionstallene blev normaliseret. En afsluttende CT viste en fuldstændig regredieret kavitet i mediastinum. Pigen blev udskrevet til hjemmet i tiltagende trivsel efter 43 dages indlæggelse.

Sidebar placering
Venstrestillet
Billede
Sidebar placering
Venstrestillet

DISKUSSION

Øsofagusperforation er oftest iatrogen (60%) – opstået efter anlæggelse af en nasogastrisk sonde, intubering eller dilatation af en striktur. Mindre hyppigt er spontan perforation, Boerhaaves syndrom, der oftest opstår på baggrund af voldsomme opkastninger. Perforationsrisikoen ved diagnostisk endoskopi er ca. 0,03%.

Det er vigtigt for prognosen at stille diagnosen øsofagusperforation i tide. Der ses en fordobling af mortaliteten efter 24 timer og igen efter 72 timer [1]. Mistanken om øsofagusperforation bør foranledige udredning med CT med peroral og i.v. kontrast samt akut gastroskopi. Undersøgelserne bør gentages, hvis der fortsat er klinisk mistanke efter initiale negative billeddiagnostiske fund. Øsofagusperforation kan behandles konservativt eller kirurgisk. De kirurgiske behandlingsmuligheder er direkte lukning af defekten eller primær resektion af perforationsstedet med rekonstruktion. Hvis dette ikke skønnes forsvarligt, kan der foretages blindlukning af øsofagus med anlæggelse af en spytfistel på halsen og senere rekonstruktion med ventrikel- eller coloninterponat. De konservative behandlingsmuligheder består af endoskopisk lukning af defekten med endoclips eller anlæggelse af en selvekspanderende stent [1-3]. Alle patienter bør behandles med bredspektret antibiotika, aflastes med nasogastrisk sonde og intet tilført per os. Endvidere sikres drænage af ansamlinger ved behov.

Det primære er at diagnosticere en øsofagusperforation, dernæst at skelne mellem de patienter, der bør behandles kirurgisk, og de patienter, der bør behandles konservativt. Den relativt sjældne forekomst af øsofagusperforation og den komplicerede behandling, som indebærer et multidisciplinært samarbejde (af specialister inden for kirurgisk gastroenterologi, thoraxkirurgi, otorhinolaryngologi og anæstesi), gør, at håndtering af disse patienter bør foretages på de få centre, hvor alle specialer er repræsenteret [4].

Korrespondance: Marianne Vinbæk, Kirurgisk Gastroenterologisk Afdeling L, Aarhus Universitetshospital, Nørrebrogade 44, 8000 Aarhus C.
E-mail: marianne.vinbaek@auh.rm.dk

Antaget: 3. december 2013

Publiceret på Ugeskriftet.dk: 10. marts 2014

Interessekonflikter: Forfatternes ICMJE-formularer er tilgængelige sammen med artiklen på Ugeskriftet.dk

Taksigelse: Jens Erik Nielsen, Afdeling R, Aarhus Universitetshiospital, takkes for CT–billedet.

Sidebar placering
Venstrestillet
Article type
Journal
Magazine
Section
References

<h2>Litteratur</h2>
<ol type="d">
<li><p>Biancari F, D’Andrea V, Paone R et al. Current treatment and outcome of esophageal perforations in adults: systematic review and meta-analysis of 75 studies. World J Surg 2013;37:1051-9.</p></li>
<li><p>Hermansson M, Johansson J, Gudbjartsson T et al. Esophageal perforation in South of Sweden: results of surgical treatment in 125 consecutive patients. BMC Surg 2010;10:31.</p></li>
<li><p>Lindenmann J, Matzi V, Neuboeck N et al. Management of esophageal perforation in 120 consecutive patients: clinical impact of a structured treatment algorithm. J Gastrointest Surg 2013;17:1036-47.</p></li>
<li><p>Vogel SB, Rout WR, MartinTD et al. Esophageal perforation in adults: aggressive, conservative treatment lowers morbidity and mortality. Ann Surg 2005;241:1016-21.</p></li>
</ol>

Woodwing Id
27386
Fil
Conflict of interest
English title
Conservative treatment of oesophageal perforation in a child caused by a toothbrush
English summary

Traumatic perforation of the oesophagus is a condition with high morbidity and mortality. We report a case of a one-year-old girl with traumatic oesophageal perforation caused by a fall with a toothbrush. She underwent a conservative regimen consisting of drainage of the mediastinum by a naso-cavitary drain, antibiotics and a feeding tube. No sign of mediastinitis was found on a follow-up computed tomography 19 days later, and she was discharged in good condition.

Authors workplaces

Kirurgisk Gastroenterologisk Afdeling L, Aarhus Universitetshospital

Ugeskr Læger 2014;176:V05130338

Bib ref
Ugeskr Læger 2014;176:V05130338
Article number
V05130338
Authors

Marianne Vinbæk & Thorbjørn Sommer

0 likes