Medlem i

12 years 10 months
Indholdselementer
Billede
Sidebar placering
Venstrestillet


Under influenza A (H1N1)-pandemien i 2009/2010 udpegede man gravide som en gruppe med høj risiko for alvorlige influenzarelaterede komplikationer og tilbød dem vaccination [1]. Efterfølgende internationale opgørelser har også vist øget risiko for perinatal morbiditet og mortalitet i forbindelse med maternel infektion [2].

Influenza A cirkulerede fortsat som sæsoninfluenza i 2010/2011 og blev igen i 2011/2012 medtaget i den vaccine, der tilbydes i Danmark [3].

Der foreligger ingen danske opgørelser over forekomsten hos gravide, men her beskrives et tilfælde af kompliceret influenza A hos en dansk gravid i andet trimester.

SYGEHISTORIE

En 27-årig para 0 blev indlagt ved gestationsalder (GA) 25 uger + 0 dage efter ti dages febrilia, produktiv hoste, opkastninger og makroskopisk hæmaturi. Patienten havde et body mass index på 28 kg/m 2 , var tidligere rask, ikkeryger, tog ikke medicin og var ikke influenzavaccineret. Forud for indlæggelsen var hun blevet behandlet med benzylpenicillin og azithromycin, men der havde ikke været nogen effekt af behandlingen.

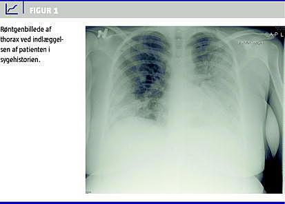
Ved indlæggelsen var hendes blodtryk 116/63 mmHg, pulsen 125 slag/minut, temperaturen 39,1 °C, respirationsfrekvensen 25 indåndinger/minut og iltmætningen 88%. Der var et leukocytniveau på 7,1 mia./l, og det C-reaktive protein-niveau var på 98 mg/l. En røntgenundersøgelse af thorax viste bilaterale pneumoniske infiltrater (Figur 1 ).

Patienten blev sat i behandling med cefuroxim og oseltamivir, men på tredje indlæggelsesdøgn fik hun symptomer på dyb venøs trombose i højre underekstremitet, hvilket blev bekræftet ved ultralyd (UL)-skanning, og hun kom i behandling med lavmolekylærvægtheparin.

Pga. stigende infektionstal og øget iltbehov blev hun efter fire døgn overflyttet til en infektionsmedicinsk afdeling med landsdelsfunktion. Der var normal fosterhjertelyd registreret med Doptone. Polymerase-kædereaktionstest af ekspektoratet var positiv for influenza A (H1N1), mens øvrige antigentitre og dyrkninger alle var negative eller uden vækst. Hendes kliniske tilstand bedredes gradvist, og behovet for ilttilskud faldt.

Ved GA 26 uger + 1 dag registrerede hun mindre liv. UL-skanning viste et foster med normal tilvækst, men patologisk flow i a. umbilicalis (flowklasse II). Der blev givet betamethason mhp. lungemodning. En UL-skanning næste dag viste yderligere forringet flow i a. umbilicalis (flowklasse IIIb), og det blev besluttet at foretage akut sectio. Man forløste en dreng med fødselsvægt 850 g (-14%) og apgarscore 2/1, 5/8. Barnet blev indlagt på neonatalafsnit, intuberet, behandlet med lungesurfaktant og sat i profylaktisk antibiotikabehandling. Podning for influenza A var negativ. Neonatal-perioden forløb ukompliceret.

Patienten overgik til peroral warfarin, og en trombofiliudredning seks måneder efter fødslen viste let nedsat protein C og S, hvilket formentlig kan tilskrives fortsat warfarinbehandling.

Placenta var uden tegn på inflammation med tromber eller intra- og retroplacentære hæmatomer.

DISKUSSION

I det danske fødselsregister var der i 2009-2011 registreret 38 gravide med influenza A; hos ingen førte det til letal udgang.

Gravide har øget risiko for især respiratoriske komplikationer ved influenza A og en næsten fire gange øget risiko for indlæggelse i forhold til baggrundsbefolkningen [1, 4].

Den vertikale transmission er lav, men maternel infektion er forbundet med øget risiko for lav fødselsvægt, præterm fødsel og dødfødsel [2].

Vi har ikke fundet beskrivelser af den bagvedliggende patologi, men scenariet i sygehistorien eksemplificerer en sandsynlig årsagssammenhæng, idet graviditet og svær infektion er associeret til øget risiko for trombose. Fosteret havde normal vægt efter GA, men påvirket flow i a. umbilicalis. Det stemmer med resultaterne fra andre studier, hvor man har fundet en øget perinatal mortalitet og morbiditet ved infektion med influenza A, mens der ikke er beskrevet øget hyppighed af væksthæmning hos fosteret [1, 2]. Således kan man forestille sig, at den øgede trombosetendens også har været årsag til akut indsættende placentainsufficiens og dermed påvirket flow i a. umbilicalis. Vi har ikke fundet andre studier, hvor man beskriver, om infektion med influenza A er forbundet med trombose i placenta.

Det er af både maternelle og føtale hensyn ønskeligt at forebygge influenza A hos gravide, og Sund-hedsstyrelsen anbefaler, at alle gravide i andet og tredje trimester vaccineres, hvilket sygehistorien illustrerer fornuften i. Eksemplet viser også vigtigheden af, at tværfagligt samarbejde etableres tidligt i sygdomsforløbet mhp. relevant fosterovervågning.

Influenza A hos gravide behandles med oseltamivir 75 mg 2 dagligt i fem dage. Behandlingen bør indledes inden for 48 timer, men der er effekt ved behandlingsstart op til fire døgn efter symptomdebut [1]

src="/LF/images_ufl/ufl_bla.gif">
Anne Schjødt Ersbøll, Gynækologisk og Obstetrisk Klinik, Rigshospitalet, Blegdamsvej 9, 2100 København Ø. E-mail: anneersboell@gmail.com

ANTAGET: 14. juni 2012

INTERESSEKONFLIKTER: Forfatternes ICMJE-formularer er tilgængelige sammen med artiklen på Ugeskriftet.dk

TAKSIGELSE: Peter Skinhøj takkes for journaloplysninger og gennemlæsning af artiklen. Tage Lysbo Svendsen takkes for gennemlæsning af artiklen. Torben Palner takkes for billedmateriale. Steen Rasmussen takkes for registerudtræk fra Fødselsregistret.


  1. Mosby LG, Rasmussen SA, Jamieson DJ. 2009 Pandemic in fluenza A (H1N1) in pregnancy: a systematic review of the literature. Am J Obstet Gynecol 2011;204(suppl 1):S1-3.
  2. Pierce M, Kurinczuk JJ, Spark P et al. Perinatal outcomes after maternal 2009/H1N1 infection: national cohort study. BMJ 2011;342:d3214.
  3. www.ssi.dk/Aktuelt/Nyhedsbreve/EPI-NYT/2011/Uge%2039%20-%202011.aspx (9. okt 2011).
  4. Jamieson DJ, Honein MA, Rasmussen SA et al. H1N1 2009 influenza virus infection during pregnancy in the USA. Lancet 2009;374:451-8.


Sidebar placering
Venstrestillet
Article type
Journal
Magazine
Section
References

<ol class="Litt-list">
<li>Mosby LG, Rasmussen SA, Jamieson DJ. 2009 Pandemic influenza A (H1N1) in pregnancy: a systematic review of the literature. Am J Obstet Gynecol 2011;204(suppl 1):S1-3.</li>
<li>Pierce M, Kurinczuk JJ, Spark P et al. Perinatal outcomes after maternal 2009/H1N1 infection: national cohort study. BMJ 2011;342:d3214.</li>
<li>www.ssi.dk/Aktuelt/Nyhedsbreve/EPI-NYT/2011/Uge%2039%20-%202011.aspx (9. okt 2011).</li>
<li>Jamieson DJ, Honein MA, Rasmussen SA et al. H1N1 2009 influenza virus infection during pregnancy in the USA. Lancet 2009;374:451-8.</li>
</ol>

Woodwing Id
242420
Fil
Conflict of interest
Bib ref
Ugeskr Læger 2012;174(47):2920-2921
Authors

Anne Schjødt Ersbøll1, Anne Brun Hesselvig2, Morten Hedegaard1 & Lone Krebs3 1) Gynækologisk og Obstetrisk Klinik, Rigshospitalet 2) Infektionsmedicinsk Klinik, Rigshospitalet 3) Gynækologisk-?Obstetrisk Afdeling, Holbæk Sygehus

0 likes