Medlem i

12 years 10 months
Indholdselementer
Billede
Sidebar placering
Venstrestillet


Knæledsluksation er en sjælden tilstand, incidensen er mellem 0,02 og 0,2% af alle ortopædkirurgiske skader [1, 2]. Den reelle incidens kendes ikke, da et ukendt antal knæledsluksationer reponeres spontant. Skadesmekanismen bag knæledsluksation er oftest et højenergitraume f.eks. færdselsulykker (57%) eller lavenergitraume såsom sportsaktivitet (32%) og fald (10%) [2]. Skadesmekanismen hænger meget sammen med omfanget af ligamentær skade. Inddelingen af knæledsluksationer kan enten gøres anatomisk - gennem en beskrivelse af tibias stilling i forhold til femur (Kennedy ) eller ved en beskrivelse af ligamentære og associerede skader (Schenck ) [2].

Patienten med knæledsluksation har stærke smerter, benet er hævet, og knæet er fejlstillet [3]. En spontant reponeret knæledsluksation skal mistænkes, når der er løshed af to eller flere ligamenter samt -relevant traume [1]. De associerede skader ved knæledsluksation er meget vigtige at diagnosticere. Skade på arteria poplitea er ekstremitetstruende. Arteria poplitea kan beskadiges i forskelligt omfang, fra en intimaskade til total overrivning. Incidensen af karskade ligger på 19% for alle skader, men for højenergiskader vil incidensen være op mod 65% [2]. Nervus peroneus beskadiges i 20% af alle knæledsluksationer. Frakturer af enten tibia eller femur ses i 16% af tilfældene [1, 2]. Associerede skader omfatter læsion af ligamentum patella (2%), bruskskade (29%) og meniskskader (31%). 87% udvikler knæledsartrose [4].

Sygehistorie

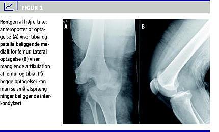
En 55-årig kvinde holdt stigen for sin mand under havearbejde. Manden mistede fodfæstet, faldt ned af stigen og landede ovenpå patientens højre knæ. Patienten fik straks stærke smerter i højre knæ, der også »sad underligt«. Patienten indbragtes af Falck med benet lejret på en bunke tæpper. Ved ankomsten konstaterede man en fejlstilling af højre knæ, denne tolkedes i første omgang som en patellaluksation. Ved palpation af knæet konstaterede man, at det var lukseret. De perifere neurovaskulære forhold fandtes -intakte, og patienten blev sendt til røntgenundersøgelse. Røntgen af højre knæ viste medial knæleds-luksation med en lille avulsion beliggende interkondylært (Figur 1 ). Patienten blev indlagt og fik i fuld anæstesi foretaget reposition af knæet. Ved undersøgelse i fuld anæstesi fandtes mistanke om læsion af det laterale kollaterale ligament (LCL), forreste korsbånd (ACL) og det bagerste korsbånd (PCL). Efter reposition var de perifere neurovaskulære forhold normale. Der blev anlagt en gipsskinne med knæet i 30°-fleksion. Arteria poplitea blev fulgt løbende for eventuel intimaskade. Næste dag blev patienten overflyttet til en afdeling, der er specialiseret i behandling af flerligamentskader. Der blev foretaget en magnetisk resonans-skanning, som viste ruptur af LCL og popliteussenen i det proksimale hæfte, total ruptur af ACL og PCL, partiel fascia lata-ruptur og partiel afrivning af det mediale kollaterale ligament proksimalt. Patienten fik 14 dage efter skaden indtraf foretaget rekonstruktion af ACL og PCL, LCL og popliteussenen blev reinsereret, og defekten i fascia lata blev sutureret. Postoperativt fik patienten anlagt en låst hængselbandage, som gradvist blev låst op. Patienten fik specialiseret genoptræning.

Diskussion

Ved knæledsluksationer er det vigtigt at foretage grundig undersøgelse for perifere neurovaskulære forhold. Undersøgelsen skal indeholde palpation og bilateral sammenligning af puls i arteria tibialis posterior og i arterialis dorsalis pedis. Kapillærfylde, hudfarve og temperatur samt sensibilitet sammenlignes bilateralt [3]. Konventionelle røntgenbilleder i to plan tages på mistanke om knæledsluksation, og associerede frakturer kan dermed diagnosticeres.

Knæledsluksation er en potentiel ekstremitetstruende tilstand. Ved overset karskade kan incidensen af amputation være så høj som 86% [1]. Det er vigtigt, hurtigt at erkende tilstanden, undersøge og nøjagtigt beskrive de perifere neurovaskulære forhold. Gentagne undersøgelser de efterfølgende dage anbefales, da en intimaskade i arteria poplitea kan præsentere sig flere dage efter traumet.

Der er ikke enighed om, hvorvidt man skal lave angiografi [2, 3]. I det danske referenceprogram for ligamentskader i knæet [5] anbefales angiografi, hvis blodforsyningen distalt for knæet er påvirket.

Alle operationer af flerligamentskader gennemføres på et sygehus med specialiseret funktion [5].

Knæledsluksationer skal erkendes og reponeres hurtigst muligt, perifere neurovaskulære forhold beskrives og følges tæt.


Henrik Vilsner , Radiologisk Afdeling, Slagelse Sygehus, 4200 Slagelse. E-mail: vilsner@hotmail.com

Antaget: 14. december 2009

Først på Nettet: 29. marts 2010

Interessekonflikter: Ingen

Taksigelser: Reservelæge Michael B. Andersen , Radiologisk Afdeling, Holbæk Sygehus, takkes for udlån af røntgenbilleder. Uddannelsesansvarlig overlæge Thomas Andersen Schmidt , Akutafdelingen, Holbæk Sygehus, takkes for hjælp til korrekturlæsning. Ledende overlæge Søren Wistisen Rasmussen , Akutafdelingen, Holbæk Sygehus, takkes for hjælp til korrekturlæsning.



Sidebar placering
Venstrestillet
Article type
Journal
Magazine
Section
References

<ol class="Litt-list">
<li>Rihn JA, Cha PS, Groff YJ et al. The acutely dislocated knee: evaluation and management. J Am Acad Orthop Surg 2004;12:334-6.</li>
<li>Robertson A, Nutton RW, Keating JF. Dislocation of the knee. J Bone Joint Surg [Br] 2006;88-b:706-11.</li>
<li>Henrichs A. A review of knee dislocations. J Athl Train 2004;39:365-9.</li>
<li>Engebretsen L, Risberg MA, Robertson B et al. Outcome after knee dislocation: a 2-9 years follow-up of 85 consecutive patients. Knee Surg Sports Traumatol Arthroc 2009;17:1013-26.</li>
<li>Dansk Selskab for Artroskopisk Kirurgi og Sportstraumatologi (SAKS). Referenceprogram for ligamentskader i knæet. København: SAKS, 2006.</li>
</ol>

Woodwing Id
248040
Fil
Bib ref
Ugeskr Læger 2010;172(27):2042-2043
Authors

1. reservelæge Henrik Vilsner Holbæk Sygehus, Akutafdelingen

0 likes