Medlem i

12 years 10 months
Indholdselementer
Billede
Sidebar placering
Venstrestillet
Billede
Sidebar placering
Venstrestillet
Billede
Sidebar placering
Venstrestillet
Billede
Sidebar placering
Venstrestillet


Som det største referencecenter for gastroenteropankreatiske (GEP) neuroendokrine tumorer (NET) i Danmark får vi ofte henvendelse fra lokalsygehuse ved tilfældigt fund af karcinoide tumorer (CAT) eller gobletcelle-karcinoide tumorer (GCCAT) i appendix, der er diagnosticeret i forbindelse med appendektomi. Derfor finder vi det aktuelt at beskrive de seneste retningslinjer for behandling og kontrol af patienter med disse tumorer. Retningslinjerne er overvejende baseret på internationale oversigts- og konsensusartikler.

Sidebar placering
Venstrestillet
Billede
Sidebar placering
Venstrestillet



Epidemiologi

GEP-NET er sjældne med en incidens på 1-4/100.000 pr. år. Heraf udgør NET i appendix 20-30% med en incidens på 0,2-0,3/100.000 pr. år [1, 2]. I den amerikanske database Surveillance, Epidemiology, and End Results (SEER) er incidensen angivet til 0,06/100.00 pr. år, idet kun maligne appendix-NET registreres [3, 4].

Appendix-CAT udgør over 50% af alle appendixneoplasmer og diagnosticeres i 0,3-0,9% af alle appendektomier [2, 5, 6]. De ses hyppigst hos kvinder (2-3:1), hvor de ofte forekommer i en tidligere alder end hos mænd, selv om spændvidden er stor (15-50 år). I SEER-databasen diagnosticeres flertallet af de maligne CAT hos patienter over 30-års-alderen [3, 4]. Prævalensen i autopsistudier er 8/100.000 [6].

GCCAT (adenokarcinoider, blandede eksokrine-endokrine karcinomer) optræder med en incidens på 0,05/100.000 pr. år og ses oftest hos patienter i 50-års-alderen [3, 4]. Ifølge SEER-databasen er der ingen kønsforskel [3, 4], hvilket er i modsætning til en ratio på 2:1 i opgørelser fra Mayo-klinikken [7]. Kønsforskellen kan formentlig relateres til patientregistrering, idet der i Mayo-klinikkens materiale (57 patienter over 20 år) indgik ca. 50% kvindelige patienter med metastaser til ovarierne, mens der i SEER-databasen kun forekom fjernmetastaser hos 12% af patienterne [4].

Patologi

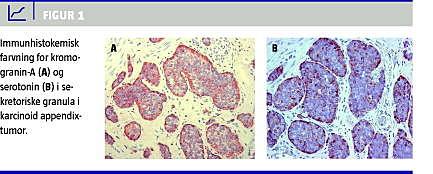
Omkring 75% af CAT er lokaliseret i apex, 15% i midtappendix og 10% ved basis. Ca. 70% er < 1 cm, 20% er 1-2 cm, og 10% er > 2 cm. Næsten alle er solitære, uden gennemvækst til mesoappendix og veldifferentierede tilhørende World Health Organization (WHO)-2000-klassifikation 1 (benigne-lavmaligne tumorer). Tumorerne er positive for de generelle neuroendokrine markører kromogranin-A (CgA), synaptofysin og oftest for serotonin (Figur 1 ). Under 10% har spredning til regionale lymfeknuder, og mindre end 2% har fjernmetastaser til retroperitoneum eller lever [2, 6]. For de maligne CAT findes spredning til regionale lymfeknuder og fjernmetastaser hos henholdsvis 30% og 10% [4]. Regionale lymfeknudemetastaser findes hos mindre end 1% af patienterne, hvis tumor er under 2 cm og uden invasion af mesoappendix. Ved tumorer større end 2 cm med indvækst i mesoappendix findes regionale lymfeknudemetastaser hos 30% [4]. Proliferationsindeks vurderet ud fra Ki-67-indeks eller mitoseindeks er som regel henholdsvis mindre end 2% eller mindre end to celler pr. 20 mm2 [5]. På basis af WHO-2000-klassifikationen er der af European Neuroendocrine Tumor Society (ENETS) udarbejdet en tumor-nodus-metastase (TNM)-klassifikation for NET, herunder appendixkarcinoider (Tabel 1 ) [8].

GCCAT er hyppigst lokaliseret til midtappendix, og ca. 50% er større end 2 cm med gennemvækst til mesoappendix [3, 4]. De er oftest kun delvist positive for CgA og synaptofysin og sjældent for serotonin. Proliferationsindeks kan ved dissemineret sygdom være højt, men er ved sygdom, der er lokaliseret til appendix, oftest mindre end 5%.

Omkring 20% af alle GCCAT findes hos patienter, der er mistænkt for ovariecancer. Dette skyldes, at GCCAT, der er udgået fra appendix, primært metastaserer til ovarier og peritoneum (karcinomatose) og således minder om og mistolkes som spredning fra en primær ovariecancer [9, 10]. Metastaser til leveren ses sjældent, men har i så fald et mere malignt forløb og et højere proliferationsindeks (Ki-67 oftest > 20%).

Det er uvist, om de små GCCAT, der tilfældigt bliver fundet i appendix, med tiden vil undergå en mere malign transformation og sprede sig som anført ovenfor.

Det er vigtigt ved den patologiske undersøgelse af såvel CAT som GCCAT i appendix at registrere lokalisation, størrelse, indvækst i mesoappendix, angioinvasion og proliferationsindeks mhp. den videre behandling, opfølgning og prognose [2, 5, 6]. Det er uafklaret, om invasion af lymfebaner og nerver har prognostisk betydning for appendix-CAT [5, 6], men dette bør medtages i den patologiske beskrivelse.

Symptomer

Neuroendokrine tumorer i appendix er oftest asymptomatiske og opdages tilfældigt ved den patologiske undersøgelse af resektionspræparatet efter appendektomi. CAT er associeret med appendicitis, men er sjældent udløsende årsag, da de pga. deres oftest apikale lokalisation ikke giver anledning til okklusion. Derimod kan GCCAT, der hyppigt er lokaliseret til midtappendix, forårsage appendicitis pga. okklusion af lumen. Metastaserende GCCAT opdages i forbindelse med udredning og kirurgi for udfyldning i bækkenet på mistanke om ovariecancer, men den histologiske diagnose stilles først ved den efterfølgende patologiske undersøgelse.

Hormonrelaterede symptomer ses aldrig ved GCCAT, men kan forekomme ved CAT med udbredt levermetastasering (karcinoidsyndrom).

Sidebar placering
Venstrestillet
Billede
Sidebar placering
Venstrestillet



Præoperativ diagnostik

For CAT er dette kun aktuelt i de ganske få tilfælde af histologisk verificerede, symptomgivende metastaserende CAT. Her bør der foretages bestemmelse af plasma-CgA og 5-hydroxyendoleddikesyre (5-HIAA) i døgnurin samt billeddiagnostik med computertomografi (CT) og octreotidscintigrafi. Metastaserende GCCAT bør følge samme udredning som for ovariecancer, idet en specifik præoperativ diagnose ikke er afgørende for det efterfølgende operative indgreb.

Kirurgisk behandling af karcinoide tumorer og gobletcelle-karcinoide tumorer

Da lokaliserede tumorer oftest først opdages ved den efterfølgende patologiske undersøgelse, er den primære behandling vanligvis appendektomi.

Hos 80-90% af patienterne er denne behandling tilstrækkelig (Tabel 2 og Figur 2 ). Udvidet behandling med efterfølgende højresidig hemikolektomi afhænger af tumorstørrelse, lokalisation, indvækst i mesoappendix eller karinvasion, regional lymfeknudemetastasering og proliferationsindeks (Tabel 1, Tabel 2 og Figur 2). Invasion i lymfebaner og nerver indicerer ikke i sig selv udvidet operation [1, 2, 5, 6].

Behandling af lokaliserede GCCAT efter primær appendektomi har traditionelt været højresidig hemikolektomi (Tabel 2 og Figur 2). Det er anført, at appendektomi er tilstrækkelig ved tumorer < 1 cm. Erfaringsgrundlaget savnes dog. Enkelte har foreslået, at der hos kvinder udføres højresidig hemikolektomi, salpingo-ooforektomi og omentektomi ved GCCAT, der er lokaliseret til appendix. Dette kan umiddelbart ikke anbefales, da den udviklingsmæssige sammenhæng mellem lokaliseret tumor i appendix og dissemineret sygdom ikke er afklaret, og da et sådant ekstensivt indgreb ikke mindst hos yngre kvinder er mutilerende. Desværre er denne ekstensive behandling antydet som kirurgisk behandlingsvalg i ENETS' seneste konsensus [2], men er ikke anbefalet i andre opgørelser [1, 5-7, 10], hvor det anføres, at højresidig hemikolektomi er sufficient behandling ved GCCAT, der er lokaliseret til appendix.

Metastaserende GCCAT bør altid behandles, som var der tale om ovariecancer, dvs. med så udbredt resektion af tumor og metastaser som muligt inklusive højresidig hemikolektomi [5]. Resektionen er desværre sjældent radikal.

Medicinsk behandling af metastaserede karcinoide tumorer og gobletcelle-karcinoide tumorer

Metastaserede appendix-CAT har næsten altid et lavt proliferationsindeks, hvorfor de bør behandles med interferon-alfa og ved endokrine symptomer med somatostatinanaloger. Hvis tumorer og metastaser er positive ved octreotidscintigrafi, er radionuklidbehandling med lutetium- eller yttriummærkede somatostatinanaloger en mulighed.

Behandling af metastaserede GCCAT har traditionelt været baseret på 5-fluorouracil. I dag gives behandling som ved kolorektale adenokarcinomer, dvs. førstelinjebehandling med capecitabin og oxaliplatin. Da GCCAT er negative ved octreotidscintigrafi, er radionuklidbehandling ikke anvendelig.

Overlevelse

Femårsoverlevelsen for benigne CAT er 100%, for maligne CAT 94% eller 83% for henholdsvis lokaliseret eller regional sygdom. Den tilsvarende femårsoverlevelse for GCCAT er 86% eller 74%. Ved fjernmetastaser er femårsoverlevelsen for CAT og GCCAT reduceret til henholdsvis 31% og 18% [4].

Kontrol

Hos patienter med CAT < 2 cm, R0-resektion og uden metastaser eller gennemvækst til mesoappendix tilrådes bestemmelse af plasma-CgA og evt. 5-HIAA i døgnurin efter 3-6 måneder (Tabel 1, Tabel 2 og Figur 2). Er værdierne normale, kan patienten afsluttes [2].

Hos de øvrige patienter (Tabel 1, Tabel 2 og Figur 2) bør der udføres kontrol efter tre, seks og 12 måneder og derefter halv- til helårligt med bestemmelse af plasma-CgA, døgnurin for 5-HIAA ledsaget af billeddiagnostiske undersøgelser (CT og/eller octreotidscintigrafi) - dog med større intervaller [1, 2]. Kontrollen bør være livslang, da recidiv kan forekomme op til 20 år efter.

Da patienter med maligne CAT har en øget incidens af andre cancerformer - hyppigst kolorektal cancer - bør der ved gastrointestinale symptomer udføres koloskopi eller CT-kolografi på liberal indikation [2].

Alle patienter med GCCAT - også de radikalt opererede - bør følges livslangt med plasma-CA 125, -CEA og -CA 19-9 ledsaget af CT med intervaller som anført ovenfor.

På grund af den lille patientgruppe bør opfølgende behandling og kontrol centraliseres på få centre i Danmark, som har speciel interesse, ekspertise og erfaring inden for området.


Ulrich Knigge , Kirurgisk Klink C, Rigshospitalet, 2100 København Ø. E-mail: ulrich.knigge@rh.regionh.dk

Antaget: 29. maj 2009

Først på nettet: 21. december 2009

Interessekonflikter: Ingen






Sidebar placering
Venstrestillet
Article type
Journal
Magazine
Section
References

<ol class="Litt-list">
<li>Oberg K, Astrup L, Eriksson B et al. Guidelines for the management of gastroenteropancreatic neuroendocrine tumours (including bronchopulmonary and thymic neoplasms). Part I-general overview. Acta Oncol 2004;43:617-25.</li>
<li>Plockinger U, Couvelard A, Falconi M et al. Consensus guidelines for the management of patients with digestive neuroendocrine tumours: well-differentiated tumour/carcinoma of the appendix and goblet cell carcinoma. Neuroendocrinology 2008;87:20-30.</li>
<li>McCusker ME, Cote TR, Clegg LX et al. Primary malignant neoplasms of the appendix: a population-based study from the surveillance, epidemiology and end-results program, 1973-1998. Cancer 2002;94:3307-12.</li>
<li>McGory ML, Maggard MA, Kang H et al. Malignancies of the appendix: beyond case series reports. Dis Colon Rectum 2005;48:2264-71.</li>
<li>Goede AC, Caplin ME, Winslet MC. Carcinoid tumour of the appendix. Br J Surg 2003;90:1317-22.</li>
<li>Stinner B, Rothmund M. Neuroendocrine tumours (carcinoids) of the appendix. Best Pract Res Clin Gastroenterol 2005;19:729-38.</li>
<li>Pham TH, Wolff B, Abraham SC et al. Surgical and chemotherapy treatment outcomes of goblet cell carcinoid: a tertiary cancer center experience. Ann Surg Oncol 2006;13:370-6.</li>
<li>Rindi G, Kloppel G, Couvelard A et al. TNM staging of midgut and hindgut (neuro) endocrine tumors: a consensus proposal including a grading system. Virchows Arch 2007;451:757-62.</li>
<li>Hristov AC, Young RH, Vang R et al. Ovarian metastases of appendiceal tumors with goblet cell carcinoidlike and signet ring cell patterns: a report of 30 cases. Am J Surg Pathol 2007;31:1502-11.</li>
<li>Tang LH, Shia J, Soslow RA et al. Pathologic classification and clinical behavior of the spectrum of goblet cell carcinoid tumors of the appendix. Am J Surg Pathol 2008;32:1429-43.</li>
</ol>

Woodwing Id
266906
Fil
English summary

Summary Appendicial carcinoid tumors and goblet cell carcinoids Ugeskr L&aelig;ger 2010;172(22):1678-1681 Appendicial carcinoid tumors (CAT) and goblet cell carcinoids (GCCAT) are rare. Most are asymptomatic and found after appendectomy. Metastases to regional nodes are seen in 10% of CATs larger than two cm. Ovarial or peritoneal metastases are seen in 20% of all GCCATs. Further surgical treatments are shown in Tables. Non-resectable CAT are treated with interferon-alpha, somatostatin analogs or radionuclids. Non-resectable GCCATs are treated like colo-rectal cancer. Patients with CAT larger than two cm, involvement of mesoappendix or metastases and all GCCAT should be followed life-long.

Bib ref
Ugeskr Læger 2010;172(22):1678-1681
Authors

Overlæge Ulrich Knigge & overlæge Carsten Palnæs Hansen Rigshospitalet, Kirurgisk Klinik C, og Københavns Universitet, Det Sundhedsvidenskabelige Fakultet

0 likes
Read time
8