Medlem i

12 years 10 months
Indholdselementer

Isoleret galdeblæreagenesi uden biliær atresi er en sjælden, medfødt misdannelse med en anslået prævalens på 0,007-0,13% [1]. Tilstanden blev første gang beskrevet i 1701 og er internationalt kendt, men er ikke tidligere beskrevet i Danmark. Tilstanden ses hyppigere hos kvinder end hos mænd (3:1-ratio) og debuterer oftest i 20-30-årsalderen [2].

Galdeblæren og leveren udvikles fra en leverdivertikel, som i midten af den tredje gestationsuge afgår
fra fortarmen. Helt distalt vokser den ind i septum transversum og bliver til leveren. Den proksimale del smalner til og bliver til ductus choledochus, hvorfra
anlægget til galdeblæren og ductus cysticus afgår [3]. Manglende udvikling af denne galdeblæreknop fører til galdeblæreagenesi og ductus choledochus-ektasi, da galdeblæreknoppen samtidig synes at fungere som reservoir. Tilstanden er associeret med andre misdannelser, oftest i form af urogenitale, gastrointestinale og kardiovaskulære malformationer [2]. Klinisk ses der tre grupper patienter: asymptomatiske (35%), symptomatiske (50%) og patienter, som har andre svære misdannelser og ikke overlever den perinatale periode (15%) [4]. Symptomerne er smerter i højre øvre kvadrant, kvalme, opkastninger, dyspepsi og/eller ikterus. Årsagen til symptomerne kan være samtidig choledocolithiasis, som ses hos 25-60% af de symptomatiske patienter [4].

SYGEHISTORIE

En 16-årig dreng, som i øvrigt var sund og rask, blev henvist ambulant til en kirurgisk afdeling pga. recidiverende smerteanfald i højre øvre kvadrant. Smerterne var beskrevet som kolikagtige, dog uden sikker postprandial relation. Anamnestisk var der ikke beskrevet ikterus; ej heller ekskretmisfarvning. Ved en objektiv undersøgelse fandt man, at patienten var udviklet alderssvarende både fysisk og mentalt (højde: 175 cm, vægt: 54 kg). Abdomen blev beskrevet som fladt og blødt med direkte ømhed under højre kurvatur, dog uden peritoneal reaktion eller palpable udfyldninger. Patienten havde fået foretaget UL-skanning af øvre
abdomen i privat regi, hvorved der var påvist atrofisk galdeblære, som indeholdt et enkelt konkrement, og ductus choledochus-ektasi, som målte 10 mm. Hans leverparametre inklusive bilirubinkoncentrationen var upåfaldende. På denne baggrund blev han indstillet til elektiv laparoskopisk kolecystektomi.

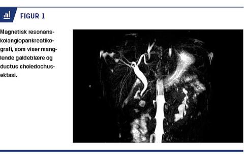
Få uger efter blev han indlagt akut pga. forværring af smerterne. Fornyede biokemiske undersøgelser viste fortsat upåfaldende resultater, og der blev målt følgende værdier: leukocytter: 6,9 mia./l; C-reaktivt protein < 3 mg/l; bilirubin: 10 μmol/l; alaninaminotransferase: 71 E/l og basisk fosfatase: 102 E/l. Der var normale vitale parametre. Pga. den tidligere beskrevne ductus choledochus-ektasi blev der foretaget en ny UL-skanning. Denne rejste mistanke om manglende galdeblære, hvilket blev bekræftet ved en efterfølgende magnetisk resonans-kolangiopankreatikografi (MRCP) (Figur 1). Herudover fandt man hesteskonyre samt vena cava inferior lokaliseret til venstre for aorta abdominalis. For at udelukke iskæmi som følge af afklemte kar pga. abnorm beliggenhed, blev udredningen suppleret med CT-angiografi, som blandt andet viste normalt kalibrerede mesenterielkar. Under indlæggelsen blev der også foretaget gastroskopi, som viste makroskopisk normale forhold. Patientens smerter remitterede under indlæggelsen, og han blev udskrevet til
ambulant kontrol. Seks uger senere var han fortsat i velbefindende.

Sidebar placering
Venstrestillet
Billede
Sidebar placering
Venstrestillet

DISKUSSION

Galdeblæreagenesi uden samtidig biliær atresi er som anført en sjælden tilstand. Den udgør en differentialdiagnostisk udfordring, og de fleste tilfælde bliver
opdaget peroperativt if. publikationer [5].
Kasi et al foreslår i sin artikel et simpelt flow-chart (Figur 2):
I tilfælde af manglende eller atrofisk galdeblære ved primær UL-skanning skal der foretages supplerende billeddiagnostik, fortrinsvis MRCP [2]. Dette er især vigtigt hos unge patienter, hvor prævalensen af galdestenssygdom ikke er særlig høj sammenlignet med hos baggrundsbefolkningen. Generelt skal invasive indgreb så vidt muligt undgås. Symptomatisk behandling består af blandning af analgetika og/eller antikolinergika (hyoscinbutylbromid, hyoscyamin, mebeverin), men evidensen er lav. I tilfælde af, at der samtidig er tegn til kolestase eller cholelithiasis, skal der foretages endoskopisk retrograd kolangiopankreatikografi og sfinkterotomi mhp. at sikre tilstrækkeligt afløb af galde.

Sidebar placering
Venstrestillet
Billede
Sidebar placering
Venstrestillet

Korrespondance: Bojan Kovacevic.
E-mail: bojan.kovacevic.02@regionh.dk

Antaget: 9. august 2016

Publiceret på Ugeskriftet.dk: 6. februar 2017

Interessekonflikter:

Sidebar placering
Venstrestillet
Article type
Journal
Magazine
Section
References

<h2>LITTERATUR</h2>
<ol type="d">
<li><p>Faure JP, Doucet C, Scepi M et al. Abnormalities of the gallbladder, clinical effects. Surg Radiol Anat 2008;30:285-90.</p></li>
<li><p>Kasi PM, Ramirez R, Rogal SS. Gallbladder agenesis. Case Rep Gastroenterol 2011;5:654-62.</p></li>
<li><p>Blechschmidt CM. Agenesis of the gallbladder-borderline-case of normality? Anat Anz 1982;151:281-5.</p></li>
<li><p>Cañizares D, Arrobas V. Agenesis of the gallbladder: a case report. <br>Gastroenterol Hepatol 2014;37:24-7.</p></li>
<li><p>Ambe P, Weber SA. Gallbladder agenesis, a rare congenital disorder. Dtsch Med Wochenschr 2012;137:937-9.</p></li>
</ol>

Woodwing Id
88622
Fil
Conflict of interest
English title
Isolated gallbladder agenesis without biliary atresia in a 16-year-old boy
English summary

We present a case of a 16-year-old male patient with recurrent abdominal pain in the upper right quadrant, signed up for elective laparoscopic cholecystectomy due to a single gallstone seen on preoperative abdominal ultrasound. Because of dilatation of the common bile duct subsequent magnetic resonance cholangiopancreatography was performed, and surprisingly, the gallbladder was found missing. The operation was therefore cancelled. Even though gallbladder agenesis is a rare condition, it still represents a diagnostic challenge as most cases are found peropera&shy;tively, and the patients undergo unnecessary surgery.

Authors workplaces

1) Gastroenheden, Kirurgisk Sektion, Herlev Hospital
2) Børneafdelingen, Herlev Hospital

Ugeskr Læger 2017;179:V04160260

Bib ref
Ugeskr Læger 2017;179:V04160260
Article number
V04160260
Authors

Bojan Kovacevic1, Laura Sophie Mössinger2 & Thomas Boel1

0 likes