Medlem i

13 years 1 month
Indholdselementer

Emfysematøs pyelonefritis (EPN) ses ofte hos patienter med diabetes mellitus, mens iskæmisk kolitis (IC) har ikke en bekræftet direkte sammenhæng med diabetes mellitus. Vi beskriver en samtidig forekomst
af EPN og IC hos en 51-årig kvinde med diabetes mellitus.

SYGEHISTORIE

En 51-årig kvinde med diabetes mellitus type 2 blev indlagt på hospitalet med nedsat bevidsthed, nedsat appetit, kulderystelser og abdominalsmerter, der var tiltaget gennem fire dage. Hun havde været i behandling for diabetes type 2 og hypertension gennem ti år. Hendes blodtryk var 80/40 mmHg ved indlæggelsen. Laboratorieundersøgelser viste leukocytniveau på 23,2 × 109/l, blodsukkerniveau på 21,4 mmol/l og hæmoglobinniveau på ca. 7,8 mmol/l. Bloddyrkning viste vækst af Escherichia coli.

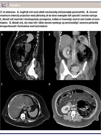
En CT med intravenøs kontrast i kombineret venøs fase og udskillelsesfase på indlæggelsesdagen afslørede en cystisk struktur (ca. 16,8 cm i største længde) i venstre nyreloge, den havde lidt randopladning og blev tolket som værende nyren med massivt væskeindhold og luftvæskespejl, hvilket tydede på diagnosen EPN (Figur 1). Derudover viste CT’en en mistænkelig tæt relation mellem colon descendens og den cystiske struktur samt luft i de portomesenteriske vener. Der blev ikke fundet tegn på stenose eller obstruktion af de mesenteriske arterier eller vener.

Patienten gennemgik primært venstresidig nefrektomi på grund af EPN og efterfølgende venstresidig hæmikolektomi for IC, som var blevet påvist ved en kolonoskopi.

Den patologiske undersøgelse afslørede nyrevæv med ektatisk nyrebækken, kronisk inflammatorisk infiltration, abscesdannelse og tydelig arteriosklerose.
I den resekterede colon påvistes iskæmisk nekrose. Patienten blev udskrevet efter ca. to måneders indlæggelse.

Sidebar placering
Venstrestillet
Billede
Sidebar placering
Venstrestillet

DISKUSSION

EPN er en akut alvorlig nekrotiserende renal infektion med forekomst af luft i det renale parenkym,
nyrebækkenet eller det omgivende væv forårsaget af patogene iltdannende bakterier (hvoraf de mest almindelige er E. coli). Diabetes mellitus er den mest almindelige associerede faktor. Op til 95% af patienter med EPN har underliggende dårligt reguleret diabetes mellitus [1].

IC er den hyppigste form for tarmiskæmi og menes oftest at opstå i venstre colonhalvdel tæt på milten. Generelt kan enhver tilstand eller faktor, der reducerer colonperfusionen, forårsage IC [2].

Der findes ikke studier, hvor man har bekræftet en direkte sammenhæng mellem diabetes og IC. Der forefindes blot nogle kasuistikker om tilfælde af IC hos diabetiske patienter [3, 4].

Samtidig manifestation af EPN og IC hos diabetikere er ikke beskrevet i litteraturen. Der er beskrevet en case med xantogranulomatøs pyelonefritis kompliceret af IC hos en 50-årig kvinde, som ikke havde diabetes. Det blev konkluderet, at manglende blodforsyning til colon transversus og descendens skyldtes, at den cystiske proces komprimerede karrene og dermed var årsag til IC [5].

I vores sygehistorie må det antages, at perifer vaskulær lidelse på grund af diabetes og hypertension i kombination med trykket fra den cystiske proces i retroperitoneum samtidig med komplikationer i forbindelse med septisk shock ligesom hypoperfusion har været med til at forårsage IC.

Sygehistorien understreger vigtigheden af i den daglige kliniske praksis at være opmærksom på muligheden for samtidig manifestation af EPN og IC hos patienter med diabetes.

Korrespondance: Rezvan Rezaei Ranjbar Sardari, Vandtårnsvænget 15,
6400 Sønderborg. E-mail: rezvan2400@hotmail.com

Antaget: 4. juni 2013

Publiceret på Ugeskriftet.dk: 5. august 2013

Interessekonflikter: ingen.

Sidebar placering
Venstrestillet
Article type
Journal
Magazine
Section
References

<h2>LITTERATUR</h2>
<ol type="d">
<li><p>Ubee SS, McGlynn L, Fordham M. Emphysematous pyelonephritis. BJU Int 2011;107:1474-8. </p></li>
<li><p>Glauser PM, Wermuth P, Cathomas G et al. Ischemic colitis: clinical presentation, localization in relation to risk factors, and long-term results. World J Surg 2011;<br>35:2549-54.</p></li>
<li><p>Spotnitz WD, van Natta FC, Bashist B et al. Localized ischemic colitis in a young woman with diabetes. Dis Colon Rectum 1984;27:481-4.</p></li>
<li><p>Karayiannakis AJ, Bolanaki H, Kouklakis G et al. Ischemic colitis of the left colon in a diabetic patient. Case Rep Gastroenterol 2011;5:239-45.</p></li>
<li><p>Su YJ, Lai YC, Chou CY et al. Ischemic colitis secondary to xanthogranulomatous pyelonephritis. Int J Infect Dis 2009;13:e89-91.</p></li>
</ol>

Woodwing Id
48768
Fil
Conflict of interest
English title
Ischaemic colitis secondary to emphysematous pyelonephritis
English summary

Emphysematous pyelonephritis is an acute severe necrotizing infection of the renal parenchyma and its surrounding tissues and up to 95% of the patients have diabetes. We describe a concurrent manifestation of emphysematous pyelonephritis and ischaemic colitis in a 51-year-old diabetic woman and conclude that the colitis was due to pressure from a large retroperitoneal mass and sepsis complications combined with underlying peripheral vascular disease because of diabetes mellitus and hypertension.

Authors workplaces

1) Radiologisk Center, Sygehus Sønderjylland, Sønderborg
2) Radiologisk Center, Sygehus Sønderjylland, Aabenraa

Ugeskr Læger 2015;177:V03130177

Bib ref
Ugeskr Læger 2015;177:V03130177
Article number
V03130177
Authors

Rezvan Rezaei Ranjbar Sardari1 & Henrik Struckmann2

0 likes