Medlem i

13 years 1 month
Indholdselementer

Iskæmisk kolitis er en sjælden og potentielt livstruende tilstand, som opstår på grund af nedsat blodtilførsel til tarmen, ofte af arteriosklerotisk årsag. Vi beskriver et tilfælde af iskæmisk kolitis uden trombo-
embolisk årsag, hvor patienten forudgående var blevet behandlet med loperamid.

SYGEHISTORIE

En 62-årig tidligere sund og rask mand blev indlagt akut med et halvt døgn varende kraftige mavesmerter og turvis forværring. Han havde halvanden uge inden indlæggelsen haft en uges varende kraftige diarréer, hvorfor egen læge ordinerede loperamid efter gældende forskrifter. Under få dages behandling aftog symptomerne, og patienten fik god klinisk bedring, inden han blev indlagt akut med nedenstående symptomer.

Ved indlæggelsen var han akut smertepåvirket med diffust ømt abdomen. Paraklinisk fandtes leukocytose (leukocytkoncentration: 20,6 × 109/l) med neutrofil overvægt, men normalt C-reaktivt protein-niveau. Øvrige parametre ses i Tabel 1.

Sidebar placering
Venstrestillet
Billede
Sidebar placering
Venstrestillet

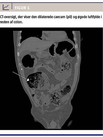
En CT-tomskanning viste distal koprostase med tegn på colon ileus og dilateret tarm fra colon descendens til caecum (Figur 1).

Tyndtarmen havde normal kaliber uden fortykket tarmvæg. En koloskopi mislykkedes efter ca. 20 cm pga. dårlig oversigt, hårde fækalier og divertikelfyldt tarm. Patientens kliniske tilstand var nu, ca. seks timer efter indlæggelsen, forværret, og man fandt et forhøjet S-laktatniveau på 8,6 mmol/l og gik derfor direkte videre med akut eksplorativ laparotomi. Her fandt man colon nekrotisk i hele det dillaterede stykke, og de terminale 80 cm af ileum var så vaskulært påvirket, at begge måtte receseres. Colon sigmoideum var udtamponeret med hård fæces; der var ingen tegn på divertikulitis.

Sidebar placering
Venstrestillet
Billede
Sidebar placering
Venstrestillet

Efter 14 dages indlæggelse blev patienten udskrevet i velbefindende.

Ved den efterfølgende undersøgelse af resektatet blev der både i colon og den terminale ileum fundet iskæmi og nekrose af tarmvæggen, flere steder transmuralt. Der blev ikke fundet tromber i karrene i tarmvæggen eller i det tilhørende krøs hverken centralt
eller distalt – hvilket bestyrkede mistanken om loperamid som agens for nekrosen.

DISKUSSION

Iskæmi af tarmen opstår pga. nedsat eller aflukket blodforsyning til det pågældende område. Ud over
de oplagte årsager som tromber og arteriosklerose kan bl.a. langvarig hård træning, dehydrering og
toksiner fra bakterier være udløsende faktorer [1].

Loperamid er godkendt til behandling af akut og kronisk diarré. Det binder til opiatreceptoren i tarmvæggen, hvorved frigørelsen af acetylkolin og prostaglandiner hæmmes, så den propulsive peristaltik
reduceres, og den intestinale transittid forøges. Derudover øger loperamid tonus i analsfinkteren og reducerer derigennem ligeledes inkontinensen [4].

Ved gennemgang af litteraturen er der kun fundet beskrivelse af meget få tilfælde af samme karakter som i denne sygehistorie, og alle er opstået efter kortvarig behandling med loperamid. I FDA’s registre er der indrapporteret 22 tilfælde af iskæmisk kolitis i USA alle med formodet baggrund i behandling med loperamid [3].

Det er i et studie tidligere påvist, at loperamid ikke har en direkte påvirkning af bloodflowet til tarmen [2], og mekanismen bag udviklingen af tarmiskæmi i forbindelse med loperamidbehandling er da heller ikke klarlagt i detaljer. Man har en formodning om, at den opnåede øgede transittid gennem tarmen sammen med en distal koprostase giver intraluminal ophobning af væske med mulighed for bakteriel overvækst og udvikling af toksiner. Toksinerne har en skadelig effekt på tarmmucosa og sammen med en udtynding af væggen pga. stræk/distension muliggøres en bakteriel invasion, som i sidste ende er medvirkende til udviklingen af iskæmi og nekrose i den afficerede tarm [1].

Der er fra producentens side gjort opmærksom på, at behandling med loperamid er kontraindiceret ved kendt underliggende inflammatorisk tarmsygdom pga. risikoen for udvikling af bl.a. ileus og toksisk megacolon. Desuden anføres det, at behandlingen er symptomatisk, og at fund af en underliggende årsag skal behandles [4].

Intet af ovenstående havde hjulpet patienten i sygehistorien, da han ikke havde nogen forhistorie med inflammatorisk tarmsygdom og ikke, ud over diarréen, forudgående havde haft symptomer fra mave-tarm-systemet.

Patienten havde desuden ikke tidligere haft arteriosklerose, og da han hverken klinisk eller paraklinisk (Tabel 1) var konstateret dehydreret ved indlæggelsen, sås der umiddelbart bort fra disse som udløsende faktorer.

Der er derfor med baggrund i ovenstående diskussion mistanke om, at loperamid var den mest sandsynlige udløsende faktor i udviklingen af patientens nekrotiske tarm. Dette tilfælde er indrapporteret som bivirkning.

Korrespondance: Mikkel Bak Gulstad, Lindesnæsvej 1, 8200 Aarhus N.
E-mail: bakgulstad@youmail.com

Antaget: 4. juni 2013

Publiceret på Ugeskriftet.dk: 12. august 2013

Interessekonflikter: ingen.

Taksigelse: Stig Bjørn Ladefoged takkes for ide til artiklen.

Sidebar placering
Venstrestillet
Article type
Journal
Magazine
Section
References

<h2>
<h2>Litteratur</h2>
<ol type="d">
<li><p>Olm M, Gonzalez FJ. Necrotising colitis with perforation in diarrhoic patients treated with loperamide. Eur J Clin Pharmacol 1991;40:415-6.</p></li>
<li><p>Kamm MA, Jordan CC. Pharmacological modulation of gut mucosal and large vessel blood flow. Aliment Pharmacol Ther 2007;25:693-702.</p></li>
<li><p>FDA’s Adverse Event Reporting System (FAERS). www.drugcite.com/indi/<br&gt;?q=LOPERAMIDE&amp;s=&amp;a=&amp;i=COLITIS+ISCHAEMIC (6. mar 2013).</p></li>
<li><p>Produktresumé for Imodium. www.produktresume.dk/docushare/dsweb/<br>ApplySimpleSearch/Collection-10 (6. mar 2013).</p></li>
</ol>
</h2>

Woodwing Id
48743
Fil
Conflict of interest
English title
Ischaemic colitis after loperamide treatment
English summary

Ischaemic colitis is a potentially mortal illness which usually arises from decreased mesenteric blood flow. Loperamide is used in the treatment of both acute and chronic diarrhoea. We present a case of a 62-year-old man with no history of abdo&shy;minal illness who was admitted with a distended and sore abdomen. Ten days prior to admission he was treated with loperamide. Because of his severe condition he had an emergency laparotomy which showed a necrotic colon and terminal ileum &ndash; both were resected. No thromboembolic cause was found and we therefore suggest loperamide as an inducing factor.

Authors workplaces

Kirurgisk Afdeling, Horsens Sygehus

Ugeskr Læger 2015;177:V05130295

Bib ref
Ugeskr Læger 2015;177:V05130295
Article number
V05130295
Authors

Mikkel Bak Gulstad & Henrik Thomsen

0 likes