Medlem i

12 years 10 months
Indholdselementer
Billede
Sidebar placering
Venstrestillet

Koriokarcinom ses i 1/20.000-40.000 graviditeter. Sygdommen præsenterer sig typisk med symptomgivende metastaser. Symptomerne er ofte voldsomme og kan omfatte vaginal blødning, pulmonale symptomer som dyspnø eller hoste og cerebrale symptomer i form af kramper eller intrakranielle blødninger. Tilfældigt fund af intraplacentært koriokarcinom uden tegn på disseminering til mor eller barn er kun beskrevet ganske få gange, siden det første gang blev beskrevet af Driscoll i 1963 [1].

Sygehistorie

En 47-årig syvendegangsfødende somalisk kvinde med en gestationsalder på 35 uger + fire dage henvendte sig på fødegangen, da hun havde mærket mindre liv gennem tre dage og desuden havde abdominalsmerter. Ved ankomsten fandtes normal hjertelyd, dog viste kardiotokografi et præterminalt mønster, hvorfor der blev foretaget akut sectio caesarea. Der blev forløst en slap og bleg pige, der fik Apgar-scoren 0/1,4/5. pH var efter en time 6,87, base excess var 16,9. Paraklinisk fandtes hæmoglobin på 1,0 (mmol/l), hvorfor barnet blev optransfunderet. Pigen blev intuberet og overflyttet til Rigshospitalets Neonatalafdeling og rettede sig.

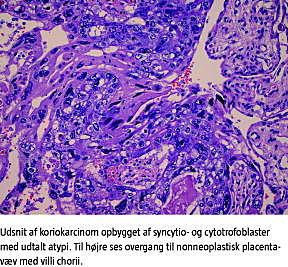
Placenta fandtes forstørret, ødematøs og bleg og målte 25,0 × 22,0 × 3,5 cm. Der fandtes normal navlesnor med tre kar og central incerering. Den føtale og maternelle overflade var upåfaldende. Ved mikroskopi fandtes imidlertid flere intraplacentære hæmatomer samt et område med koriokarcinom (der målte 3,0 × 3,0 cm). Tumorvævet var opbyget af cytotrofoblast og syncytiotrofoblast og fandtes med områdevise nekroser og hæmoragi. Tumoren strakte sig ned til den maternelle overflade med gennemvækst af decidua basalis.

Både mor og barn er efterfølgende henvist til onkologisk udredning og undersøgt med serum-choriongonadotropin (hCG), thoraxrøntgen, ultralyd af det lille bækken og computertomografi af lunger og abdomen. Alle undersøgelser er fundet normale uden tegn til disseminering af tumor.

Mater havde et serum-hCG-niveau på 510 IE/l (< 10 IE/l) og alfa-føtoprotein på 413 IE/l (< 14 kU/l) tre uger post partum. Begge parametre var normaliseret en måned senere. Både mor og barn har nu været gennem etårskontrol uden tegn på sygdomsrecidiv.

Patienter med koriokarcinom opdeles efter International Federation of Gynecology and Obstetrics ' (FIGO's) scoringssystem i lav- og højrisikogrupper [2]. Sygdommen er følsom for kemoterapi, og i Danmark behandles alle patienter uanset risikogruppe initialt med peroral methotrexat, eventuelt i kombination med actinomycin [3]. Ved behandlingsresistens skiftes der til mere intensive kombinationsregimer. I udlandet behandles både lav- og højrisikopatienter typisk med mere intensive regimer [4].

Diskussion

Koriokarcinom er en sjælden diagnose, som ofte stilles, når patienten får symptomer ante eller post partum. Der er tidligere beskrevet enkelte tilfældige fund af intraplacentært koriokarcinom (også kaldet koriokarcinom in situ) [1]. Det intraplacentære koriokarcinom er ofte beskrevet makroskopisk som et lille, lyst gulligt område ikke uligt placentære infarkter [5], hvorfor den korrekte incidens muligvis er højere end hidtil antaget. Intraplacentære koriokarcinomer kan medføre føtomaternel blødning og resultere i løsning af placenta, hydrops foetalis, foetus mortuus eller anæmisk barn, som beskrevet i vores sygehistorie [5]. I det aktuelle tilfælde er mor efterfølgende blevet testet for føtalt hæmoglobin, noget som har bekræftet mistanken om føtomaternel blødning som årsag til barnets svære anæmi. I tilfælde som ovenfornævnte og i tilfælde, hvor der findes infarktlignende områder i placenta, kunne man overveje, om der rutinemæssigt skulle udføres histologisk undersøgelse af placenta.


Ditte Josefine Rørne , Islands Brygge 15, 1. tv., 2300 København S. E-mail: ditterorne@gmail.com

Antaget: 26. oktober 2009

Først på nettet: 5. april 2010

Interessekonflikter: Ingen

Taksigelse: Overlæge Marianne Lidang , Patologiafdelingen, Herlev Hospital, takkes for det histologiske billede.


Sidebar placering
Venstrestillet
Article type
Journal
Magazine
Section
References

<ol class="Litt-list">
<li>Driscoll Shirley G. Choriocarcinoma: An ``incidental finding`` within a term placenta. Obstet Gynecol 1963;21:96-101.</li>
<li>Kohorn EI. Dynamic staging and risk factor scoring for gestational trophoblastic disease. Int J Gynecol Cancer 2007;17:1124-30.</li>
<li>DSOGs kliniske guideline, trofoblastsygdomme. http://www.dsog.dk/files/mola.pdf (20. december 2009).</li>
<li>Morgan JM, Lurain JR. Gestational trophoblastic neoplasia: an update. Curr Oncol Rep 2008;10:497-504.</li>
<li>Jianping Lui. Intraplacental choriocarcinoma in a term placenta with both maternal and infantile metastasis: A case report and review of the literature. Gyn Incol 2006;103:1147-51.</li>
</ol>

Woodwing Id
256776
Fil
English summary

Summary Intraplacental choriocarcinoma Ugeskr L&aelig;ger 2010;172(40):2769-2770 Choriocarcinoma is found in 1/20,000-40,000 pregnancies. The disease typically presents with symptomatic metastases. We present a case of incidentally discovered intraplacental choriocarcinoma. A gravida 7 at 35 + 4 weeks' gestation presented because of abdominal pain and decreased foetal movement. An acute Caesarian was performed with the delivery of a hypotonic, anaemic girl with an Apgar score of 0/1. Choriocarcinoma typically presents as yellow areas, resembling intraplacental infarction. Consequently, the incidence is probably higher than presumed.

Bib ref
Ugeskr Læger 2010;172(40):2769-2770
Authors

Ditte Josefine Rørne 1 & Benny Kirschner 2 1) Herlev Hospital, Gynækologisk-Obstetrisk Afdeling, og 2) Holbæk Sygehus, Gynækologisk-Obsteterisk Afdeling

0 likes
Read time
4