Medlem i

12 years 10 months
Indholdselementer
Billede
Sidebar placering
Venstrestillet


Bronkogene cyster er medfødte og dannes ved en abnorm knopskydning af det trakeobronkiale træ i første trimester. Der er i litteraturen beskrevet bronkogene cyster cervikalt, abdominalt og selv intrakutant på skalpen. Den hyppigste lokalisation er i thorax, med to tredjedele i mediastinum og en tredjedel i lungeparenkymet. Cysten diagnosticeres oftest i den tidlige barndom pga. persisterende luftvejssymptomer - pneumonier, stridor, hoste, dyspnø - der medfører røntgen af thorax eller computertomografi (CT). Hos voksne er bronkogene cyster et sjældent og oftest tilfældigt fund, sekundær inficering er usædvanlig [1, 2]. Inden for et halvt år er fire patienter blevet opereret pga. inficerede bronkogene cyster. Vi præsenterer her to af sygehistorierne.

SYGEHISTORIER

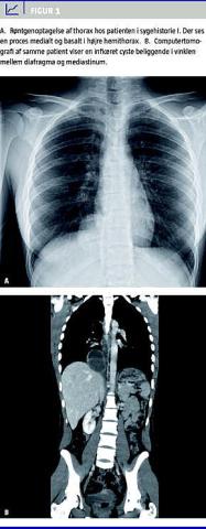
I. En 19 år gammel kvinde blev indlagt på et lokalsygehus pga. smerter i epigastriet, febrilia og dyspnø. Patienten var to år tidligere blevet indlagt med samme symptomer. En eksplorativ laparoskopi, der blev foretaget på mistanke om appendicitis, viste normale forhold. En CT, der blev foretaget ved genindlæggelsen, viste inficeret cyste/absces i mediastinum klos på diafragma ( Figur 1 ). Patienten blev overflyttet til en thoraxkirurgisk afdeling og opereret akut. Ved torakotomi fandt man en stor pusfyldt cyste på 6 cm i diameter indkilet i det nedre lungeligament klos på diafagma og øsofagus. Cysten blev fjernet in toto. Histologisk undersøgelse viste inficeret bronkogen cyste.

II. En 62 år gammel mand blev udredt med CT og bronkoskopi på et lokalsygehus pga. recidiverende pneumonier gennem tre år. Patienten havde en cyste foran carina, der komprimerede venstre hovedbronchus. Ved elektiv torakotomi fandt man en 3 × 2 × 2 cm stor pusfyldt cyste indkilet mellem venstre a. pulmonalis, venstre hovedbronchus, trachea og arcus aorta. Pga. beliggenheden og adhærenser blev cysten spaltet og partielt excideret. Histologisk undersøgelse viste en inficeret bronkogen cyste.

BRONKOGENE CYSTER

En bronkogen cyste er oftest unilokulær, indeholder klar væske og er beklædt med pseudolagdelt cylinderepitel med cilier. I cystevæggen ses bruskøer og mukøse kirtler. Evt. symptomer er afhængige af den anatomiske lokalisation, der igen er afhængig af det embryologiske stadie ved knopskydningen. På en røntgenoptagelse af thorax ses den som en kavitet, men den kan være skjult i et breddeøget mediastinum. Da cysten oftest er asymptomatisk, kendes den sande incidens ikke. Asymptomatiske cyster kan blive symptomatiske ved at vokse, blive inficeret eller undergå malign transformation. Bronkogene cyster giver hyppigst respiratoriske symptomer, men symptomerne kan ligne andre akutte tilstande, f.eks. akut abdomen som hos patienten i sygehistorie I, akut myokardieinfarkt og trykpneumothorax. Hvis det er muligt, tilstræbes der komplet excision, da der er beskrevet enkelte tilfælde af recidiv, omend det er ekstremt sjældent [3, 4]. En bronkogen cyste, der har været asymptomatisk i decennier, kan pludselig blive symptomatisk ved vækst eller infektion som hos patienten i sygehistorie II.

DISKUSSION

Symptomatiske cyster bør fjernes. Generelt anbefales fjernelse af asymptomatiske cyster for at sikre diagnosen og hindre fremtidige komplikationer, men konservativ behandling kan overvejes ved betydende komorbiditet eller høj operativ risiko. Det er ofte muligt at fjerne bronkogene cyster - især asymptomatiske - ved torakoskopi og derved minimere det operative traume. Kirmani et al fandt i en gennemgang af litteraturen, at op til 45% (31 ud af 74) af tilfældigt opdagede bronkogene cyster bliver symptomatiske, og at der fandtes maligne celler i 0,7% af de fjernede cyster. De konkluderede, at konservativ behandling er acceptabel med tæt klinisk kontrol [5].

En inficeret bronkogen cyste er en sjælden, men mulig diagnose ved recidiverende luftvejsinfektioner eller andre uafklarede infektioner med smerter i thorax. Fund af bronkogene cyster bør altid konfereres med en thoraxkirurgisk afdeling.

src="/LF/images_ufl/ufl_bla.gif">
Eva Bjerre Søndergaard, Thoraxkirurgisk Klinik, Rigshospitalet, Blegdamsvej 9, 2100 København Ø. E-mail: evabjerre@live.dk

ANTAGET: 10. oktober 2011

FØRST PÅ NETTET: 12. december 2011

INTERESSEKONFLIKTER: Forfatternes ICMJE-formularer er tilgængelige sammen med artiklen på Ugeskriftet.dk



Sidebar placering
Venstrestillet
Article type
Journal
Magazine
Section
References

<ol class="Litt-list">
<li>De Giacomo T, Diso D, Anile M et al. Thoracoscopic resection of mediastinal bronchogenic cysts in adults. Eur J Cardiothorac Surg 2009;36:357-9.</li>
<li>Moz U, Gamba P, Pignatelli U et al. Bronchogenic cysts of the neck: a rare localization and review of the literature. Acta Otorhinolaryngol Ital 2009;29:36-40.</li>
<li>Tarpy SP, Kornfeld H, Moroz K et al. Unusual presentation of a large tension bronchogenic cyst in an adult. Thorax 1993;48:951-2.</li>
<li>Efthymiou CA, Kefaloyannis EM, Thorpe JA. Massive bronchogenic cyst mimicking ischaemic chest pain. Eur J Cardiothorac Surg 2008;34:1260-1.</li>
<li>Kirmani B, Kirmani B, Sogliani F. Should asymptomatic bronchogenic cysts in adults be treated conservatively or with surgery? Interact Cardiovasc Thorac Surg 2010;11:649-59.</li>
</ol>

Woodwing Id
250312
Fil
Conflict of interest
Bib ref
Ugeskr Læger 2012;174(19):1312-1313
Authors

Eva Bjerre Søndergaard1, Dyre Kleive2 & Mette Siemsen1 1) Thoraxkirurgisk Klinik, Rigshospitalet2) Kirurgisk Avdeling, Bærum Sygehus, Norge

0 likes