Medlem i

12 years 10 months
Indholdselementer
Billede
Sidebar placering
Venstrestillet


Neisseria meningitidis er den næsthyppigste årsag til purulent meningitis i Danmark. I 2010 blev der anmeldt 73 tilfælde af meningokoksygdom, hvoraf 39 var meningitis [1].

Perikarditis som følge af meningokoksygdom er sjælden med en incidens på 3-19% og ses hyppigst hos patienter med serogruppe C, men er også beskrevet hos patienter med andre serogrupper [2].

Finkelstein et al definerede i 1997 tre forskellige kategorier inden for meningokokmedieret perikarditis i henhold til patofysiologi: purulent perikarditis som et led i dissimineret meningokoksygdom (DMP), primær meningokokperikarditis (PMP) og immunmedieret reaktiv perikarditis ved meningokoksygdom (IRP) [3].

SYGEHISTORIE

En 21-årig mand blev indlagt med nakke-ryg-stivhed og subfebrilia efter et døgns anamnese med hovedpine og opkastninger. Der var ingen petekkier. Ambulancelægen påbegyndte behandling med 10 mg dexametason, 4 g ceftriaxon og 5 mio. IE benzylpenicillin givet intravenøst på mistanke om meningitis. Niveauet af B-leukocytter var 31,7 × 109/l og C-reaktivt protein (CRP) 521 mg/l.

Cerebrospinalvæsken (CSV) havde et leukocytniveau på 33.000 × 106/l med overvægt af granulocytter (96%), spinalglukoseniveauet var 0 mmol/ml, og proteinniveauet var 4,3 g/ml. Mikroskopi af CSV viste gramnegative diplokokker. Både dyrkning af CSV og bloddyrkninger gav negativt resultat, men polymerasekædereaktion (PCR) for N. meningitidis gruppe C i CSV var positiv.

Patienten blev behandlet med benzylpenicillin 18 mio. IE daglig i syv dage og dexametason 40 mg daglig i fire dage for meningokokmeningitis.

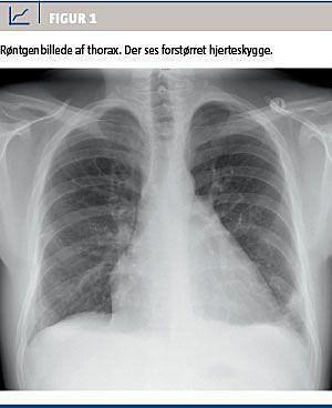
På 11.-dagen fik patienten feber og dyspnø. Blodtrykket var normalt. B-leukocytniveauet var 14,9 × 109/l, og CRP var 266 mg/l. Elektrokardiografi viste sinustakykardi. Patienten var på daværende tidspunkt i behandling med cefuroxim 4,5 g dagligt for pneumoni. Røntgen af thorax viste bilaterale infiltrater og forstørret hjerteskygge Figur 1. En efterfølgende ekkokardiografi viste perikardieekssudat med komprimeret højre ventrikel.

Der blev foretaget perikardiecentese og dræneret serøs, blodig væske. Samme dag fik han desuden hævet højre ankelled og venstre knæled. Begge led blev punkteret.

To dage senere fik patienten igen tiltagende dyspnø og sinustakykardi, og en fornyet ekkokardiografi viste gendannet perikardieekssudat. Perikardiecentese blev gentaget med udtømning af yderligere 1 l serøs væske. I tilslutning hertil blev der på røntgen af thorax fundet pleuraeffusion, som blev dræneret. Antibiotikabehandlingen blev ændret til ceftriaxon 4 g dagligt.

Mikroskopi af perikardieekssudat, pleuraekssudat og ledvæske viste adskillelige granulocytter, men ingen bakterier. Dyrkning og PCR for bakterielt DNA var negativ.

På grund af det recidiverende perikardieekssudat og samtidig pleuritis og artritis under antibiotisk behandling blev patienten sat i behandling med højdosissteroid, hvorpå symptomerne forsvandt prompte. Han blev fulgt ambulant, og der var ingen tegn til recidiv eller neurologiske sequelae. Få uger efter udskrivelsen genoptog han sit studie.

DISKUSSION

DMP og IRP ved meningokokmeningitis kan være svære at skelne fra hinanden. De hyppigste symptomer er feber, brystsmerter og åndenød. DMP forekommer oftest inden for den første uge. IRP vil typisk forekomme på 6.-16. dagen. IRP opstår hyppigt samtidig med andre foci såsom pleuritis og artritis. DMP og PMP behandles med antibiotika og drænage, hvorimod IRP behandles med salicylat og kortikosteroid. PMP bør overvejes hos patienter med perikarditis og neutrofil leukocytose, også i fravær af meningiale symptomer [3, 4].

Der er i litteraturen beskrevet dyrkningsnegativ meningokokperikarditis, men her har efterfølgende PCR for bakteriel DNA af perikardievæsken været positiv for N. meningitidis, hvilket understreger vigtigheden af denne analyse for at skelne purulent og immunmedieret perikarditis i tvivlstilfælde, hvor dyrkningen af perikardievæsken er negativ [5].

I denne sygehistorie blev perikarditis opdaget på 11.-dagen fra behandlingsstart, den antibiotiske behandling havde ingen effekt, og perikardieekssudatet recidiverede. PCR for bakteriel DNA af perikardievæsken var negativ, og der var eklatant effekt af steroidbehandlingen. Man må således konkludere, at der var tale om IRP.

I tilfælde med meningokoksygdom og udvikling af hæmodynamiske problemer og eller kardiomegali set på røntgenoptagelser af på thorax, skal ekkokardiografi altid overvejes, idet problemet kan være hæmodynamisk betydende perikardieeffusion. Behandlingen afhænger herefter af, om der er tale om en bakteriologisk eller immunmedieret perikarditis.



KORRESPONDANCE: Janne Fuglsang Hansen, Infektionsmedicinsk Afdeling, Odense Universitetshospital, Sdr. Boulevard 29, 5000 Odense C. E-mail: janne_f_h@hotmail.com

ANTAGET: 26. juni 2012

FØRST PÅ NETTET: 26. november 2012

INTERESSEKONFLIKTER: Hent PDF


Summary

Janne Fuglsang Hansen & Isik Somuncu Johansen:

Immune-mediated pericarditis in a patient with meningococcal meningitis

Ugeskr Laeger 2013;175:967-968



Extrameningial manifestations in patients with meningococcal meningitis are rare. One of these manifestations is immune-mediated or purulent pericarditis. We present a case where a patient with meningococcal meningitis developed pericarditis on the 11th days after admission. A pericardial puncture was performed but the pericardial fluid regenerated after two days despite antibiotic treatment. The pericardial fluid showed no bacterial growth and PCR for bacterial DNA was negative. Subsequent steroid treatment proved to be effective, indicating a case of immune-mediated pericarditis.





  1. Statens Serum Institut. Meningokoksygdom 2010. EPI-nyt, uge 37, 2011.

  2. Sandra NRS, Falcão MD, Tsutsui JM et al. The role of echocardiography in diagnosis and management of isolated meningococcal pericarditis. Echocardiography 2007;24:263-6.

  3. Finkelstein Y, Adler Y, Nussinovich M et al. A new classification for pericariditis associated with meningococcal infection. Eur J Pediatr 1997;156:585-8.

  4. Zeidan A, Tariq S, Faltas B et al. A case of primary meningococcal pericarditis caused by Neisseria meningitidis serotype Y with rapid evolution into cardiac tamponade. J Gen Intern Med 2008;23:1532-5.

  5. de Souza AL, Salgado MM, Alkmin MGA et al. Purulent pericarditis caused by Neisseria meningitidis serogroup C and confirmed through polymerase chain reaction. Scand J Infect Dis 2006:38:143-5.




Sidebar placering
Venstrestillet
Article type
Journal
Magazine
Section
Woodwing Id
273339
Fil
Conflict of interest
English summary

Summary Janne Fuglsang Hansen & Isik Somuncu Johansen: Immune-mediated pericarditis in a patient 
with meningococcal meningitis Ugeskr Laeger 2013;175:967-968 Extrameningial manifestations in patients with meningococcal meningitis are rare. One of these manifestations is immune-mediated or purulent pericarditis. We present a case where a patient with meningococcal meningitis developed pericarditis on the 11th days after admission. A pericardial puncture was performed but the pericardial fluid regenerated after two days despite antibiotic treatment. The pericardial fluid showed no bacterial growth and PCR for bacterial DNA was negative. Subsequent steroid treatment proved to be effective, indicating a case of immune-mediated pericarditis.

Bib ref
Ugeskr Læger 2013;175(14):967-968
Authors

Janne Fuglsang Hansen & Isik Somuncu Johansen Infektionsmedicinsk Afdeling Q, Odense Universitetshospital

0 likes
Read time
5