Medlem i

12 years 10 months
Indholdselementer

Immunglobulin (Ig) G4-relateret sygdom (IgG4-RS) er en sjælden, potentielt systemisk sygdom af ukendt ætiologi. De forskellige organmanifestationer deler en karakteristisk histopatologi, serologi og klinik [1]. Kendskab til IgG4-RS er vigtig, da den ofte er en differentialdiagnose til maligne og andre autoimmune tilstande. I oktober 2011 blev der på et internationalt symposium i Boston opnået enighed om at benævne sygdommen IgG4-RS, men adskillige andre betegnelser har været anvendt tidligere, f. eks. IgG4-syndrome, IgG4-related sclerosing disease, hyper-IgG4 disease og systemic IgG4-related plasmacytic syndrome [2]. I artiklen beskrives kort IgG4-RS’s kliniske, parakliniske og patologiske karakteristika samt sygdommens behandling og prognose.

EPIDEMIOLOGI

Et præcist overblik over incidensen og prævalensen af IgG4-RS mangler stadig, men der er tale om en sjælden sygdom. Der er især rapporteret om tilfælde af IgG4-RS i Sydøstasien, Japan, USA og Europa [3, 4]. Hos 114 patienter med IgG4-RS var gennemsnitsalderen 62 år (spændvidde: 42-79 år) [4]. I alle grupperne var der dominans af mænd (75-86%), bortset fra hos patienter med primær manifestation af IgG4-RS i hoved- og halsregionen, hvor der var en næsten ligelig kønsfordeling (48% mænd).

PATOGENESE

Patogenesen af IgG4-RS er endnu ikke klarlagt. Tilstanden opfattes af forskellige årsager som en autoimmun sygdom, muligvis med en allergisk komponent [5]. Formodningen om en mulig autoimmun genese af den IgG4-relaterede type 1-autoimmun pankreatitis (AIP) støttes af, at man i et japansk studie har påvist association med en specifik major histocompatibility complex-klasse II-antigengenotype [6]. Koncentrationen af antinukleære antistoffer og autoantistoffer mod laktoferrin, reumafaktor og kulsyreanhydrase II er forhøjet hos en mindre undergruppe [6]. Der er også rapporteret om aflejring af immunkomplekser i pancreas, nyrer og visse andre organer, men det er uvist, om det er et primært eller et sekundært fænomen [7, 8]. IgG4 spiller formentlig en rolle i udviklingen af tolerans over for visse allergener, især i forbindelse med infektiøse agens, og visse allergener inducerer et IgG4-respons, endda uden induktion af IgE [5]. Et specifikt autoantigent target er endnu ikke identificeret, og det er ikke klart, om IgG4-antistoffer i sig selv er sygdomsfremkaldende [5]. Hypoteser, hvor man overvejer en allergisk komponent ved udviklingen af IgG4-RS, er også baseret på en opregulering af Th2-cytokiner i de afficerede væv og forhøjet koncentration af S-IgE [5]. Desuden har man påvist en øget prævalens af allergisk rinitis og asthma bronchiale hos patienter med IgG4-RS, og op til 40% af patienterne med IgG4-RS har perifer eosinofili [5].

KLINIK

IgG4-RS kan involvere et eller flere organer med subakut udvikling af en hævelse, f.eks. en pseudotumor i orbita, nyrerne eller lungerne med en diffus organforstørrelse eller vægfortykkelse [1]. Patienter med den IgG4-relaterede type 1-AIP har ofte en tumordannelse i eller en diffus omfangsøgning af pancreas, hvilket medfører obstruktion af ductus choledochus med smertefri gulsot. Ekstrapankreatisk manifestation af IgG4-RS rapporteres hos 20% og hos helt op til 81% ved type 1-AIP [9, 10]. I et dansk studie havde 40% af 20 patienter med den IgG4-relaterede type 1-AIP ekstrapankreatiske organmanifestationer, hvoraf den hyppigste var IgG4-relateret skleroserende kolangitis hos 30%. Lymfadenopati og lungeinvolvering sås hos 10%, mens IgG4-relateret sialadenitis, IgG4-relateret tubulointerstitiel nefritis og IgG4-relateret kronisk perisplenitis (manifestation af IgG4-RS subkapsulært i milten) sås hos 5% [11]. Spytkirtelinvolvering og skleroserende kolangitis hører til de hyppigst rapporterede ekstrapankreatiske manifestationer [12, 13]. IgG4-relateret sialadenitis er oftest unilateral og lokaliseret til glandula submandibularis. Den kan være associeret med involvering af tårekirtlen, hvilket betegnes som Mikulicz’ sygdom. Lymfadenopati forekommer ofte, enten lokoregionalt som en uspecifik lymfeknudeforstørrelse, systemisk eller som primær manifestation af IgG4-RS [14]. IgG4-relateret lungesygdom kan debutere med en rumopfyldende proces og hævelse af de regionale lymfeknuder, men hyppigt ses også tør hoste efterfulgt af åndenød og feber [15]. IgG4-relateret hudsygdom medfører især erytematøst hududslæt med små papler, men kan også manifestere sig med psoriasislignende plaques [16]. Visse manifestationer kræver akut behandling, f.eks. IgG4-relateret pakymeningitis, som kan medføre øget intrakranialt tryk [17]. De forskellige organmanifestationer af IgG4-RS og deres nomenklatur ses i Figur 1 [2].

Sidebar placering
Venstrestillet
Billede
Sidebar placering
Venstrestillet

HISTOLOGI

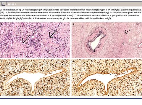
De for IgG4-RS karakteristiske histologiske forandringer blev initialt beskrevet hos patienter med type 1-AIP og kan iagttages i fire former både i resektater og grovnålsbiopsier: 1) diffus lymfoplasmacellulær inflammation: en kraftig infiltration af lymfocytter og plasmaceller i vævet, 2) storiform fibrose: en cellerig, lidt hvirvlet, »måtteagtig« fibrose, nærmere betegnet »storiform« fibrose (Figur 2A). Ved denne type af fibrose ses et vogn- eller møllehjulsagtigt arrangement af fibroblaster, myofibroblaster og fibrotiske strøg,
3) obliterativ flebitis: en inflammation i det pågældende organs venoler og veneforgreninger (Figur 2B). Inflammationen medfører først stenosering og senere en fibrøs obliteration af lumen, og 4) IgG4-
positivitet: et kraftigt øget antal af IgG4-positive
plasmaceller (Figur 2C) i vævet. For at undgå overdiagnosticering af IgG4-RS, da infiltration med IgG4-positive plasmaceller også kan ses ved mange andre tilstande, er det vigtigt at anvende en grænseværdi for koncentrationen af IgG4-positive plasmaceller samt at beregne forholdet mellem koncentrationen af IgG4- og IgG-positive plasmaceller (IgG4-IgG-ratio) (Figur 2C og Figur 2D) [18, 19]. Man har defineret forskellige grænseværdier og ratioer for de fleste organer [18]. En grænseværdi på 50 IgG4-positive celler pr. synsfelt ved stor forstørrelse og en ratio på mere end 40% er en tommelfingerregel, som dog stadig indebærer en risiko for at overdiagnosticere, hvis man ikke tager hensyn til organspecifikke retningslinjer [18].

Sidebar placering
Venstrestillet
Billede
Sidebar placering
Venstrestillet

Hvis ikke alle histologiske kriterier er til stede, er det ikke udelukket, at patienten alligevel kan have IgG4-RS, da den endelige diagnose også afhænger af klinikken, billeddiagnostikken og koncentrationen af S-IgG4. Histologiske forandringer, som ikke er karakteristiske for IgG4-RS og derfor taler imod denne diagnose, er bl.a. infiltration med neutrofile granulocytter, nekrose, granulomer og flerkernede kæmpeceller [18].

PARAKLINIK

De fleste patienter med IgG4-RS har forhøjet koncentration af S-IgG4, men frekvensen af IgG4-positivitet varierer en del, afhængigt af hvilken population der undersøges. Generelt er der en tendens til en højere sensitivitet i Sydøstasien, mens der er en lidt lavere sensitivitet i USA og Europa [10-12, 20, 21]. Generelt er S-IgG4-koncentration > 1,35 g/l en velegnet grænseværdi for diagnosen IgG4-RS. Med denne grænseværdi rapporteres der fra Japan om en sensitivitet på 97,0% og en specificitet på 79,6% [22]. Sensitiviteten afhænger bl.a. af, om koncentrationen af S-IgG4 måles forud for eller efter påbegyndt behandling.

I et netop publiceret studie fandt man en sensitivitet af S-IgG4 for diagnosen IgG4-RS på 90%, men en relativt lav specificitet på 60% og en positiv prædiktiv værdi på kun 34% [23].

BILLEDDIAGNOSTIK

I pancreas er en pølseagtig forstørrelse sammen med en såkaldt peripankreatisk halo ved kontrastforstærket CT karakteristisk for den IgG4-relaterede type 1-AIP (Figur 3). En lokaliseret eller diffus organforstørrelse kan i mange tilfælde ses med både konventionel røntgenundersøgelse, kontrast-CT, MR- og
ultralydskanning. Billeddiagnostikken bør dog suppleres med grovnålsbiopsier for bedre at kunne skelne maligne fra IgG4-relaterede eller andre benigne læsioner [18]. IgG4-relateret periaortitis er ved CT karakteriseret ved en ensartet vægfortykkelse og signalforstærkelse i den sene fase efter kontrast. CT med kontrast af thorax og abdomen inklusive det lille bækken anbefales mht. andre, eventuelle synkront
involverede organer. Der kan også være behov for yderligere billediagnostik, især ved mistanke om involvering af orbitale strukturer. Her kan PET-CT bidrage til vurdering af sygdommens udbredelse [24].

Sidebar placering
Venstrestillet
Billede
Sidebar placering
Venstrestillet

DIAGNOSE

Den endelige diagnose af IgG4-RS er baseret på:
1) de ovenfor anførte karakteristiske histopatologiske fund i grovnålsbiopsimateriale eller resektater kombineret med 2) et forhøjet S-IgG4-niveau og 3) klinisk eller billeddiagnostisk påvisning af en forstørrelse af eller vægfortykkelse i et eller flere organer. Allerede diagnosticeret IgG4-RS i andre organer kan anvendes som supplerende kriterium [18]. Da ikke alle patienter både har et forhøjet S-IgG4-niveau og alle fire histologiske forandringer, har man udviklet diagnostiske guidelines (Tabel 1). Desuden findes der for nogle af manifestationerne yderligere organspecifikke kriterier, såsom en diffus forsnævring af hovedpancreasgangen påvist ved endoskopisk retrograd pankreatikografi for diagnosen type 1-AIP eller aflejringer af IgG4, IgG og komplement langs basalmembranen på nyrebiopsier ved IgG4-relateret tubulointerstitiel nefritis [26, 27].

Sidebar placering
Venstrestillet
Billede
Sidebar placering
Venstrestillet

BEHANDLING

De fleste patienter responderer på behandling med steroider inden for nogle uger, typisk med symptomatisk bedring, reduktion i tumorstørrelse og/eller organforstørrelse, forbedring i organfunktion og ofte et fald i S-IgG4-niveau [1]. Det kan dog være nødvendigt med behandling over et par måneder, før symptomerne svinder, og nogle patienter får tilbagefald, mens andre kun opnår en lille eller slet ingen effekt af denne behandling. Ved manglende respons bør anden diagnose, herunder malignitet, overvejes og udelukkes. Et dårligt respons kan muligvis skyldes meget fremskredne fibrotiske forandringer, men dette er endnu ikke helt afklaret. Et »responderindeks« til en mere objektiv vurdering og registrering af sygdomsforløbet er foreslået [28]. Det anbefales at påbegynde behandlingen med tablet prednisolon i en dosis på 40 mg/dag. Respons ses ofte inden for 2-4 uger. Når der klinisk kan påvises et signifikant respons, kan dosis gradvis nedtrappes over 2-3 måneder, alt efter hvor godt patienten responderer, med det formål at opnå en fuldstændig udtrapning [1]. Patienter, som ikke responderer eller er afhængige af vedligeholdelsesdosis (som regel 5-10 mg/dag), kan skifte til azathioprin. Typisk vedligeholdelsesdosis er 2 mg/kg/dag [1, 11, 21]. Også andre immunosuppressiva, f.eks. mycophenolatmofetil, methotrexat og rituximab, har været anvendt med god effekt [1].

PROGNOSE

På længere sigt kan type 1-AIP medføre sekundær diabetes mellitus og eksokrin pancreasinsufficiens, IgG4-relateret skleroserende kolangitis og IgG4-relateret leversygdom kan munde ud i leverfibrose og endda levercirrose, og IgG4-relateret tubulointerstitiel nefritis kan medføre moderat eller svær kronisk nyreinsufficiens [21]. De fleste data om langtidsprognosen stammer fra patienter med den IgG4-relaterede type 1-AIP og tyder på en muligvis let øget malignitetsrisiko. Der er rapporteret om flere typer af lymfom både i Japan og Nordamerika [14]. Maligne sygdomme rapporteres hos 10,4-14% [12, 29, 30].

Sidebar placering
Venstrestillet
Billede
Sidebar placering
Venstrestillet

KONKLUSION

IgG4-RS er en nyligt defineret potentielt systemisk sygdom, der er karakteriseret ved forhøjet niveau af S-IgG4, karakteristiske histologiske forandringer, herunder infiltration med et øget antal IgG4-positive celler, og et positivt respons på behandling med steroider. Diagnosen stilles ud fra kombinationen af histologi, serologi, billeddiagnostik og klinisk undersøgelse. Sygdommen er sjælden, men det er vigtigt at både klinikere, patologer og radiologer kender den, da den indgår i differentialdiagnosen af maligne og andre autoimmune sygdomme. Ætiologien og langtidsprognosen er stadig utilstrækkeligt belyst.

Korrespondance: Sönke Detlefsen, Afdeling for Klinisk Patologi, Odense
Universitetshospital, Winsløwparken 15, 5000 Odense C.
E-mail: sonke.detlefsen@rsyd.dk

Antaget: 23. januar 2015

Publiceret på Ugeskriftet.dk: 6. april 2015

Interessekonflikter:

Taksigelser: Andreas Erstling takkes for udfærdigelse af Figur 1.

Sidebar placering
Venstrestillet
Article type
Journal
Magazine
Section
References

<h2>LITTERATUR</h2>
<ol type="d">
<li><p>Stone JH, Zen Y, Deshpande V. IgG4-related disease. N Engl J Med 2012;366:539-51.</p></li>
<li><p>Stone JH, Khosroshahi A, Deshpande V et al. Recommendations for the nomenclature of IgG4-related disease and its individual organ system manifestations. Arthritis Rheum 2012;64:3061-7.</p></li>
<li><p>Masaki Y, Dong L, Kurose N et al. Proposal for a new clinical entity, IgG4-positive multiorgan lymphoproliferative syndrome: analysis of 64 cases of IgG4-related disorders. Ann Rheum Dis 2009;68:1310-5.</p></li>
<li><p>Zen Y, Nakanuma Y. IgG4-related disease: a cross-sectional study of 114 cases. Am J Surg Pathol 2010;34:1812-9.</p></li>
<li><p>Morselli-Labate AM, Pezzilli R. Usefulness of serum IgG4 in the diagnosis and follow up of autoimmune pancreatitis: a systematic literature review and meta-analysis. J Gastroenterol Hepatol 2009;24:15-36.</p></li>
<li><p>Okazaki K, Uchida K, Ohana M et al. Autoimmune-related pancreatitis is associated with autoantibodies and a Th1/Th2-type cellular immune response. Gastroenterology 2000;118:573-81.</p></li>
<li><p>Deshpande V, Chicano S, Finkelberg D et al. Autoimmune pancreatitis: a systemic immune complex mediated disease. Am J Surg Pathol 2006;30:1537-45.</p></li>
<li><p>Detlefsen S, Bräsen JH, Zamboni G et al. Deposition of complement C3c, immunoglobulin (Ig)G4 and IgG at the basement membrane of pancreatic ducts and acini in autoimmune pancreatitis. Histopathology 2010;57:825-35.</p></li>
<li><p>Kamisawa T, Kim MH, Liao WC et al. Clinical characteristics of 327 Asian patients with autoimmune pancreatitis based on Asian diagnostic criteria. Pancreas 2011;40:200-5.</p></li>
<li><p>Maire F, Le BY, Rebours V et al. Outcome of patients with type 1 or 2 autoimmune pancreatitis. Am J Gastroenterol 2011;106:151-6.</p></li>
<li><p>Detlefsen S, Mortensen MB, Pless TK et al. Laparoscopic and percutaneous core needle biopsy play a central role for the diagnosis of <br>autoimmune pancreatitis in a single-center study from Denmark. Pancreas 2015;44:845-58.</p></li>
<li><p>Detlefsen S, Zamboni G, Frulloni L et al. Clinical features and relapse rates after surgery in type 1 autoimmune pancreatitis differ from type 2. Pancreatology 2012;12:276-83.</p></li>
<li><p>Sah RP, Chari ST, Pannala R et al. Differences in clinical profile and relapse rate of type 1 versus type 2 autoimmune pancreatitis. Gastroenterology 2010;139:140-8.</p></li>
<li><p>Cheuk W, Chan JK. IgG4-related sclerosing disease: a critical appraisal of an evolving clinicopathologic entity. Adv Anat Pathol 2010;17:303-32.</p></li>
<li><p>Hui P, Mattman A, Wilcox PG et al. Immunoglobulin G4-related lung disease: a disease with many different faces. Can Respir J 2013;20:335-8.</p></li>
<li><p>Tokura Y, Yagi H, Yanaguchi H et al. IgG4-related skin disease. Br J <br>Dermatol 2014;171:959-67.</p></li>
<li><p>Wallace ZS, Carruthers MN, Khosroshahi A et al. IgG4-related disease and hypertrophic pachymeningitis. Medicine (Baltimore) 2013;92:206-16.</p></li>
<li><p>Deshpande V, Zen Y, Chan JK et al. Consensus statement on the pathology of IgG4-related disease. Mod Pathol 2012;25:1181-92.</p></li>
<li><p>Strehl JD, Hartmann A, Agaimy A. Numerous IgG4-positive plasma cells are ubiquitous in diverse localised non-specific chronic inflammatory conditions and need to be distinguished from IgG4-related systemic disorders. J Clin Pathol 2011;64:237-43.</p></li>
<li><p>Hart PA, Kamisawa T, Brugge WR et al. Long-term outcomes of autoimmune pan-creatitis: a multicentre, international analysis. Gut 2013;<br>62:1771-6.</p></li>
<li><p>Huggett MT, Culver EL, Kumar M et al. Type 1 autoimmune pancreatitis and IgG4-related sclerosing cholangitis is associated with extrapancreatic organ failure, malignancy, and mortality in a prospective UK cohort. Am J Gastroenterol 2014;109:1675-83.</p></li>
<li><p>Masaki Y, Kurose N, Yamamoto M et al. Cutoff values of serum IgG4 and histopathological IgG4+ plasma cells for diagnosis of patients with IgG4-related disease. Int J Rheumatol 2012;2012:580814.</p></li>
<li><p>Carruthers MN, Khosroshahi A, Augustin T et al. The diagnostic utility of serum IgG4 concentrations in IgG4-related disease. Ann Rheum Dis 2015;74:14-8.</p></li>
<li><p>Horger M, Lamprecht HG, Bares R et al. Systemic IgG4-related sclerosing disease: spectrum of imaging findings and differential diagnosis. Am J Roentgenol 2012;199:276-82.</p></li>
<li><p>Yamamoto M, Takahashi H, Shinomura Y. Mechanisms and assessment of IgG4-related disease: lessons for the rheumatologist. Nat Rev Rheumatol 2014;10:148-59.</p></li>
<li><p>Raissian Y, Nasr SH, Larsen CP et al. Diagnosis of IgG4-related tubulointerstitial nephritis. J Am Soc Nephrol 2011;22:1343-52.</p></li>
<li><p>Shimosegawa T, Chari ST, Frulloni L et al. International consensus diagnostic criteria for autoimmune pancreatitis: guidelines of the International Association of Pan-creatology. Pancreas 2011;40:352-8.</p></li>
<li><p>Carruthers MN, Stone JH, Deshpande V et al. Development of an IgG4-RD responder index. Int J Rheumatol 2012;2012:259408.</p></li>
<li><p>Shiokawa M, Kodama Y, Yoshimura K et al. Risk of cancer in patients with autoimmune pancreatitis. Am J Gastroenterol 2013;108:610-7.</p></li>
<li><p>Yamamoto M, Takahashi H, Tabeya T et al. Risk of malignancies in IgG4-related disease. Mod Rheumatol 2012;22:414-8.</p></li>
</ol>

Woodwing Id
52755
Fil
Conflict of interest
English title
IgG4-related disease is a rare differential diagnosis of malignant and autoimmune diseases
English summary

Immunoglobulin G4-related disease (IgG4-RD) is an inflammatory and fibrotic disease with the potential to produce diffuse enlargement, massforming lesions or stenoses in a wide range of organs. Elevation of serum IgG4 concentration and high levels of IgG4-positive cells in the inflamed tissue are common denominators. Type 1 autoimmune pancreatitis is one of the main manifestations, and its recognition preceded the definition of IgG4-RD as a novel clinical entity. The aetiology, pathophysiology, epidemiology and clinical long-term outcome of IgG4-RD are not fully elucidated. Steroids are effective in most patients, sometimes combined with other anti-inflammatory drugs.

Authors workplaces

Afdeling for Klinisk Patologi, Odense Universitetshospital

Ugeskr Læger 2015;177:V09140507

Bib ref
Ugeskr Læger 2015;177:V09140507
Article number
V09140507
Authors

Anders Storgaard & Sönke Detlefsen

0 likes