Medlem i

12 years 10 months
Indholdselementer
Billede
Sidebar placering
Venstrestillet
Billede
Sidebar placering
Venstrestillet
Billede
Sidebar placering
Venstrestillet
Billede
Sidebar placering
Venstrestillet


Gastrointestinale stromale tumorer (GIST) er sjældne, gastrointestinale, mesenkymale tumorer, der er karakteriseret ved ekspression af en receptor med tyrosinkinaseaktivitet, kaldet c-kit. Et nyt lægemiddel, imatinib, er en potent hæmmer af en undergruppe af tyrosinkinasefamilien omfattende BCR-ABL, platelet-derived growth factor og c-kit. Imatinib repræsenterer den første systemiske behandling med en klinisk effekt hos patienter med metastaserende, inoperable GIST, der notorisk er behandlingsrefraktære over for kemo- og stråleterapi. I de første fase I- og fase II-undersøgelser er der opnået partielt respons hos henholdsvis 53% og 59% af patienterne.

GIST: definition og karakteristika

Gastrointestinale stromale tumorer (GIST) er sjældne tumorer, der udvikles fra forstadier til bindevævsceller i gastrointestinalkanalen [1]. Opgørelser fra Finland har vist en incidens på 30-50 tilfælde af benigne GIST og 3-4 tilfælde af maligne GIST per mio. indbyggere [2]. GIST opstår hyppigst i 5.-6. dekade. De er oftest lokaliseret i ventriklen (50-65%), dernæst i tyndtarmen (30-35%) og mindre hyppigt i colon/rectum, mens lokalisation i esophagus er sjælden [2, 3].

Det kliniske udtryk afhænger af lokalisationen og tumorstørrelsen. De fleste patienter med GIST præsenterer sig med mavesmerter. Tumorer i ventriklen eller tyndtarmen kan debutere med hæmatemese, mens de første symptomer ved tumorer i colon/rectum kan være et ændret afføringsmønster og/eller blødning. En del patienter er asymptomatiske, og GIST findes tilfældigt under operationer for andre lidelser i ca. 30% af tilfældene. Kirurgi har hidtil været det eneste behandlingstilbud til patienter med GIST. Ved metastaserende og inoperable GIST har prognosen været dårlig, idet GIST har vist sig at være udtalt resistente over for såvel kemo- som radioterapi. Den gennemsnitlige overlevelsestid for patienter med maligne GIST er anslået til 31 måneder (95% CI: 19,8-42,0 måneder) [4].

Sidebar placering
Venstrestillet
Billede
Sidebar placering
Venstrestillet



Patologi

Oprindeligt blev udtrykket GIST anvendt som en bred betegnelse omfattende alle mesenkymale tumorer i gastrointestinalkanalen inklusive ægte leiomyomer, leiomyosarkomer og Schwannoma. I den seneste forskning er det imidlertid vist, at GIST udgør en selvstændig enhed med unikke histologiske, immunofænotypiske og molekylærgenetiske træk, som adskiller dem fra de leiomyomatøse tumorer.

Makroskopisk er der tale om nodulære tumorer, der udgår fra tarmvæggen. De kan blive monstrøse i størrelse; de største over 10 cm i største diameter.

Mikroskopisk (Fig. 1 ) består tumorerne af spindelceller (70%) eller epiteloide celler (30%) med en heterogen morfologi, der gør dem vanskelige at adskille fra de leiomyomatøse tumorer. Tumorerne kan både være udifferentierede, udvise neural differentiering eller differentiering til glat muskulatur, hvilket indicerer, at GIST muligvis udvikles fra multipotente stamceller [5].

Malignitetsgraden af GIST er ofte svær at afgøre. De vigtigste prognostiske faktorer er tumorstørrelsen og mitotisk aktivitet sammenholdt med den anatomiske lokalisation [6]. Internationalt anbefales der resektion af alle GIST, idet deres fremtidige vækstmønster er uforudsigeligt med et betydeligt malignt potentiale.

Immunohistokemi spiller en afgørende rolle for identifikationen af GIST: GIST er ofte positiv for det hæmatopoetiske stamcelleantigen, CD34 (70-80%) [7]. Derudover udtrykker cellerne i GIST en vækstfaktorreceptor med tyrosinkinaseaktivitet, kaldet c-kit, der kan detekteres ved immunohistokemisk farvning for CD117 (Fig. 2 ). Dette er det mest specifikke, diagnostiske kriterium for GIST, da næsten 100% af tumorerne er positive for c-kit [8]. C-kit-positivitet i sig selv er dog ikke diagnostisk for GIST, idet c-kit også udtrykkes i f.eks. malignt melanom, neuroblastom, seminom, småcellet lungecancer, visse andre sarkomer samt ovarie- og brystcancer. Derimod er de leiomyomatøse tumorer immunohistokemisk negative for c-kit og kraftigt positive for actin og/eller desmin, mens GIST er negativ for disse. Modsat Schwannoma er GIST samtidig negativ for neuromarkøren S-100. En GIST defineres således i dag som en c-kit-positiv, stromal tumor, der ofte er positiv for CD34, negativ (eller kun fokal positiv) for actin, desmin og S-100, og hvor klinik og morfologi er forenelig med GIST. Interstitielle Cajal-celler (ICC), der danner et muskulært, autonomt pacemakersystem i tarmvæggen og kontrollerer tarmens motilitet, er også fundet positive for c-kit, hvorfor man har foreslået slægtskab mellem ICC og GIST [9].

Molekylærbiologi

Tyrosinkinaser spiller en afgørende rolle i transduktionen af biokemiske signaler, der er vigtige for reguleringen af cellens vækst, proliferation og funktion. CD117 er c-kit-receptoren, en transmembran vækstfaktorreceptor med tyrosinkinaseaktivitet. Liganden for c-kit-receptoren er stamcelle-faktoren (SCF) [10]. Selve c-kit-receptoren er produktet af proto-onkogenet c-kit, der sidder på kromosom 4q11-12. Formentlig er det mutationer i c-kit, der spiller en hovedrolle i patogenesen til GIST [11]. Under normale forhold danner to molekyler c-kit en dimer ved at binde to molekyler SCF, hvilket fører til aktivering af den intracellulære tyrosinkinase (Fig. 3 ). Tyrosin i c-kitautofosforyleres, og c-kit associeres med substrater, som overfører signaler til celleproliferation og -differentiering. Opstår der mutationer i proto-onkogenet c-kit, vil den muterede c-kit-receptor ofte ændre funktion og blive »konstitutivt aktiveret«, hvilket betyder, at tyrosinkinasen aktiveres uden tilstedeværelse af ligand. Dette fører til dysreguleret celledifferentiering og -proliferation, hvorved der induceres en malign transformation af cellerne [11]. I GIST finder man hyppigt disse konstitutivt aktiverende mutationer i exon 11 (eller sjældnere exon 9 og 13) i c-kit-genet. Mutationerne findes fortrinsvis i maligne GIST, men det er ikke eneste mekanisme, der er relateret til malignitet [12]. Det er formentlig den muterede c-kit, der giver anledning til følsomhed for behandling med imatinib.

Udvikling af imatinib

Kronisk myeloid leukæmi (CML) er karakteriseret ved myeloid leu kocytose samt Philadelphiakromosomet, som er til stede hos 95% af patienterne. Philadelphiakromosomet opstår ved en reciprok translokation mellem kromosom 9 og 22, hvilket fører til dannelsen af fusionsgenet BCR-ABL på kromosom 22. Dette gen koder for et BCR-ABL-fusionsprotein, der har forøget tyrosinkinaseaktivitet og dermed afgørende betydning for de leukæmiske cellers ukontrollable proliferation.

Ud fra kendskabet til patogenesen ved CML, er der udviklet en selektiv, syntetisk tyrosinkinaseinhibitor under navnet »signal transduction inhibitor 571« (STI571) eller imatinib, der administreres peroralt som tabletter. Imatinib er en potent hæmmer af en undergruppe af tyrosinkinasefamilien, der både omfatter BCR-ABL, PDGF (platelet-derived growth factor) og c-kit. Imatinib har en betydelig, klinisk effekt på patienter med interferon-resistent CML i kronisk fase [13, 14].

Sidebar placering
Venstrestillet
Billede
Sidebar placering
Venstrestillet



Imatinib og GIST

Da imatinib vides at blokere tyrosinkinasen c-kit, var der forhåbninger om, at imatinib kunne have effekt ved GIST. In vitro-undersøgelser viste, at imatinib hæmmer 50% af c-kit ved 100 nmol/l, hvilket svarer til den koncentration, der kræves for at hæmme BCR-ABL [15]. I april 2001 publicerede Joensuu et al den første kasuistik, der dokumenterede et objektivt respons efter administration af imatinib til en patient med metastaserende GIST [16], og de første større, kliniske undersøgelser blev præsenteret på American Society of Clinical Oncology (ASCO)'s årsmøde i maj 2001.

Van Oosterom et al fremlagde resultaterne af en European Organization for Research and Treatment of Cancer (EORTC) fase I-undersøgelse af imatinib til 40 patienter, hvoraf 36 havde GIST [17]. Patienterne blev behandlet med imatinib i doser på 400 mg × 1 dagl., 300 mg 2 × dagl., 400 mg 2 × dagl. eller 500 mg 2 × dagl. Fem ud af otte patienter, som modtog 500 mg 2 × dagl., udviklede dosislimiterende toksicitet (DLT) i form af behandlingsrefraktær kvalme, opkastninger, ødem og udslæt, mens behandling med 400 mg imatinib 2 × dagl. blev tålt godt. Bivirkningerne ved denne dosis var milde til moderate og bestod af eksantem, perifere- og periorbitale ødemer, diaré, kvalme samt opkastninger. Femogtyve ud af 36 patienter med GIST responderede på behandlingen på alle dosisniveauer. Nitten patienter opnåede partielt respons (PR), og seks havde ubekræftet PR eller 20-29% tumorreduktion (RECIST-kriterier) [18]. Syv patienter havde ingen forandringer, no change (NC), og hos fire var der progredierende sygdom (PD). Et eventuelt behandlingsrespons kunne hos flere patienter forudsiges tidligt ved hjælp af fluorodeoxyglukose-positronemissionstomografi (FDG-PET): Et fald i FDG-optagelsen efter kun en uges behandling med imatinib, korrelerede tæt med det objektive respons, der først var målbart uger til måneder senere ved anvendelse af CT.

Ved samme ASCO-møde blev amerikanske erfaringer fra en fase II-undersøgelse præsenteret [19]. I alt 145 patienter med inoperabel eller metastaserende GIST blev randomiseret til enten 400 mg eller 600 mg imatinib dagl. Patienter, som progredierede på 400 mg dagl., fortsatte med 600 mg dagl. Alle patienter var evaluerbare for toksicitet, mens kun 86 var evaluerbare for behandlingseffekt (min. tre måneders opfølgning). Heraf havde 50 patienter (59%) partielt respons (PR), 22 (26%) NC, og 11 patienter (13%) PD. Ingen patienter havde endnu progredieret efter opnåelse af et objektivt, partielt respons, og den mediane overlevelse var endnu ikke nået. Bivirkningerne svarede til profilen i den europæiske undersøgelse. Mutationsstatus var blevet opgjort hos 72 patienter (49%): 86% udtrykte c-kit-mutationer, hvoraf mutationer i exon 11 var hyppigst (71%). Herefter havde man korreleret mutationsstatus med det kliniske respons; patienter med mutationer i exon 11 havde en højere sandsynlighed for at respondere på imatinib end patienter med vildtype c-kit (partiel responsrate hhv. 78% og 29%, p = 0,0117).

Sidebar placering
Venstrestillet
Billede
Sidebar placering
Venstrestillet



Danske erfaringer

I Danmark har man siden maj 2001 kunnet anvende imatinib til patienter med GIST. I alt syv patienter er blevet behandlet på Rigshospitalet. Behandlingen gives desuden på Århus Kommunehospital og på Amtssygehuset i Herlev. Hovedparten af patienterne indgår i EORTC-undersøgelser, hvorfor resultaterne på landsplan ikke er opgjort.

Sygehistorie

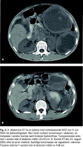
En 43-årig mand fik i februar 2001 fjernet en 30 × 35 cm stor cystisk tumor fra fundus ventriculi. Operationen var makro- og mikroskopisk radikal. Patologien viste GIST, og patienten blev henvist til onkologisk afdeling på H:S Rigshospitalet. En kontrol-CT af abdomen i marts 2001 viste normale forhold. Primo juli 2001 blev patienten indlagt akut i dårlig almentilstand med mavesmerter, besværet vandladning og sparsom afføring gennem en uge. Klinisk var der store palpable tumormasser i hele abdomen. CT af abdomen viste multiple tumormasser, heriblandt en tumor anteriort i venstre side af abdomen målende 12 × 10 cm. Der var fri væske i relation til leveren, en metastasesuspekt proces i venstre leverlap samt bilateral hydronefrose (Fig. 4A ). En oversigt over abdomen viste subileus pga. afklemmende tumormasser. Patienten fik anlagt bilaterale nefrostomikatetre og blev den 5. juli 2001 sat i behandling med imatinib 400 mg × 2 dagl. p.o. I løbet af de næste uger blev patientens almentilstand bedre, og han blev smertefri. Ved kontrol CT ultimo august 2001 var levermetastasen samt samtlige cystiske tumormasser i abdomen alle regredieret i størrelse. Tumoren anteriort i venstre side af abdomen målte nu 7 × 8 cm (Fig. 4B ). Bivirkningerne bestod af lette, perifere ødemer, der svandt på diuretisk behandling med Spiron (spironolacton) og Furix (furosid). I september 2001 fik patienten seponeret begge nefrostomikatetre. En CT i november 2001 viste fortsat regression af tumormasserne. I januar 2002 begyndte patienten atter at få tyngdefornemmelse i abdomen. CT af abdomen bekræftede mistanken om progression med vækst af de to største tumorprocesser og tilkomst af betydelige mængder ascites. Behandlingen med imatinib blev seponeret.

Diskussion

Imatinib repræsenterer første systemiske behandling med en lovende effekt hos patienter med avanceret GIST. Ved ovennævnte studier fandt man partielt respons (PR) hos 53% af patienterne ved fase I-undersøgelsen [17] samt hos 59% i fase II-undersøgelsen [19]. Bivirkningerne var beskedne og bestod af ødemtendens, eksantem, diaré, kvalme og opkastninger.

Indtil videre er anbefalet dosis 400 mg imatinib × 2 dagl. [17], men det vides endnu ikke, om denne dosis er bedre end 400 mg × 1 dagl. Om en egentlig dosis-respons-sammenhæng eksisterer, må afvente resultaterne fra fase III-undersøgelser med inklusion af et større patientantal. På nuværende tidspunkt har både den europæiske og den amerikanske fase III-undersøgelse, der sammenligner 400 mg vs. 800 mg imatinib dagl., rekrutteret alle patienter og er lukket.

Der foreligger endnu ikke publicerede data vedrørende tid til progression under behandlingen, mediane overlevelsestider eller bivirkninger på længere sigt. Der er derfor fortsat behov for opfølgning af disse patienter i kontrollerede, kliniske undersøgelser. De foreløbige undersøgelser har alle inkluderet patienter med fremskreden sygdom, hvorfor man ligeledes bør påbegynde kontrollerede, kliniske undersøgelser af imatinib som adjuverende terapi til patienter efter radikal resektion af GIS-tumorer med høj risiko for metastasering.

C-kit-mutationer er hyppige ved GIST [11, 12]. Selve mutationstypen og lokalisationen af denne spiller sandsynligvis en rolle for tumorens malignitetsgrad samt behandlingseffekten af imatinib. Ifølge Blanke et al havde patienter med mutation i exon 11 en langt højere responsrate på imatinib end patienter med andre mutationer eller vildtype c-kit [19].

Som beskrevet af van Oosterom et al, kan man ved FDG-PET forudsige et evt. respons på imatinib, meget før der opstår signifikante ændringer på CT. Kun en uge efter behandlingsstart afslører kontrol-PET et tydeligt fald i FDG-optagelsen hos responderende patienter [17]. Allerede efter 24 timers imatinibterapi kan der på PET ses ændringer i tumor. Dette vidner om, at imatinib forårsager hurtige, metaboliske ændringer i tumorcellerne, hvilket nu udforskes intenst.

Fremtidsperspektiver

Imatinib er det første medikament, som specifikt hæmmer produktet af en konstitutivt aktiverende mutation, der er afgørende for udviklingen af GIST. De første kliniske undersøgelser har vist, at imatinib er yderst virksomt ved denne cancerform, men der er behov for længere tids opfølgning, før den endelige betydning af imatinib er klarlagt. Samtidig forsøger man nu at identificere andre tumortyper, hvor en dysregulering af c-kit spiller en fremtrædende rolle i patogenesen, og hvor behandling med imatinib potentielt kunne tænkes at have tumorreducerende virkning.

Som det er tilfældet ved avanceret CML, og som illustreret ved ovennævnte kasuistik, vil en del patienter med GIST udvikle resistens over for imatinib under behandlingen. Ved CML har man identificeret en række resistensmekanismer, der menes at omfatte BCR-ABL-gen-amplifikationer eller mutationer, hvilket forårsager reaktivering af BCR-ABL-signal-transduktionen trods fortsat behandling med imatinib [20]. Denne viden har skabt nye udfordringer med forsøg på at bestemme resistensmekanismerne og omgå disse hos den enkelte patient, f.eks. ved at øge imatinibdosissen eller ved at udvikle specifikke inhibitorer mod de mutante former af BCR-ABL.

Udviklingen af imatinib repræsenterer et gennembrud i behandlingen af GIST og CML og har givet fornyet håb om, at det i nær fremtid vil lykkes at udvikle flere virksomme farmaka, der er rettet mod specifikke, molekylære abnormaliteter hos patienter med maligne sygdomme.


Jeanett Borregaard Larsen, Tordenskjoldsgade 34 A, DK-1055 København K.
E-mail: borregaard@dk2net.dk

Antaget den 12. december 2002.

H:S Rigshospitalet, Finsencentret, Onkologisk Klinik.






Sidebar placering
Venstrestillet
Article type
Journal
Magazine
Section
References

<ol class="Litt-list">
<li>Miettinen M, Sarlomo-Rikala M, Lasota J. Gastrointestinal stromal tumors: recent advances in understanding of their biology. Hum Pathol 1999;30: 1213-20.</li>
<li>Miettinen M, Sarlomo-Rikala M, Lasota J. Gastrointestinal stromal tumours. Ann Chir Gynaecol 1998;87:278-81.</li>
<li>Lehnert T. Gastrointestinal sarcoma (GIST) - a review of surgical management. Ann Chir Gynaecol 1998;87:297-305.</li>
<li>Plaat BEC, Hollema H, Molenaar WM et al. Soft tissue leiomyosarcomas and malignant gastrointestinal stromal tumors: differences in clinical outcome and expression of multidrug resistance proteins. J Clin Oncol 2000;18: 3211-20.</li>
<li>Miettinen M, Lasota J. Gastrointestinal stromal tumors - definition, clinical, histological, immunohistochemical, and molecular genetic features and differential diagnosis. Virchows Arch 2000;438:1-12.</li>
<li>Berman J, O'Leary TJ. Gastrointestinal stromal tumor workshop. Human Pathol 2000;32:578-82.</li>
<li>Miettinen M, Virolainen M, Sarloma-Rikala M. Gastrointestinal stromal tumors - value of CD34 antigen in their identification and separation from true leiomyomas and schwannomas. Am J Surg Pathol 1995;19:207-16.</li>
<li>Sarlomo-Rikala M, Kovatich AJ, Barusevicius A et al. CD117: a sensitive marker for gastrointestinal stromal tumors that is more specific than CD34. Mod Pathol 1998;11:728-34.</li>
<li>Kindblom LG, Remotti HE, Aldenborg F et al. Gastrointestinal pacemaker cell tumor (GIPACT): gastrointestinal stromal tumors show phenotypic characteristics of the interstitial cells of Cajal. Am J Pathol 1998;152:1259-69.</li>
<li>Zsebo KM, Williams DA, Geissler EN et al. Stem cell factor is encoded at the S1 locus of the mouse and is ligand for the c-kit tyrosine kinase receptor. Cell 1990;63:213-24.</li>
<li>Hirota S, Isozaki K, Moriyama Y et al. Gain-of-function mutations of c-kit in human gastrointestinal stromal tumors. Science 1998;279:577-80.</li>
<li>Lasota J, Jasinski M, Sarlomo-Rikala M et al. Mutations in exon 11 of c-kit occur preferentially in malignant versus benign gastrointestinal stromal tumors and do not occur in leiomyomas or leiomyosarcomas. Am J Pathol 1999;154:53-60.</li>
<li>Druker BJ, Talpaz M, Resta DJ et al. Efficacy and safety of a specific inhibitor of the BCR-ABL tyrosine kinase in chronic myeloid leukemia. N Engl J Med 2001;344:1031-7.</li>
<li>Dufva IH, Birgens H. Ny målrettet molekylær cancerbehandling ved kronisk myeloid leukæmi og gastrointestinal stromal tumor. Ugeskr Læger 2001;163:4759-60.</li>
<li>Buchdunger E, Cioffi CL, Law N et al. Abl protein-tyrosine kinase inhibitor STI571 inhibits in vitro signal transduction mediated by c-kit and platelet-derived growth factor receptors. J Pharm Exp Ther 2000;295:139-45.</li>
<li>Joensuu H, Roberts PJ, Sarlomo-Rikala M et al. Effect of the tyrosine kinase inhibitor STI571 in a patient with a metastatic gastrointestinal stromal tumor. N Engl J Med 2001;344:1052-6.</li>
<li>Van Oosterom AT, Judson I, Verweij J et al. Safety and efficacy of imatinib (STI571) in metastatic gastrointestinal stromal tumours: a phase I study. Lancet 2001;358:1421-3.</li>
<li>Therasse P, Arbuck SG, Eisenhauer EA et al. New guidelines to evaluate the response to treatment in solid tumors. J Natl Cancer Inst 2000;92:205-16.</li>
<li>Blanke CD, von Mehren M, Joensuu H et al. Evaluation of the safety and efficacy of an oral molecularly-targeted therapy, STI571, in patients with unresectable or metastatic gastrointestinal stromal tumors (GISTs) expressing c-kit (CD117). Proc Am Soc Clin Oncol 2001;20:1A.</li>
<li>Gorre ME, Mohammed M, Ellwood K et al. Clinical resistance to STI571 cancer therapy caused by BCR-ABL gene mutation or amplification. Science 2001;293:876-80.</li>
</ol>

Woodwing Id
250254
Fil
Bib ref
Ugeskr Læger 2003;165(37):3503-7.
Authors

Jeanett Borregaard Larsen

0 likes