Medlem i

12 years 10 months
Indholdselementer

Venøs luftemboli (VLE) er en kendt komplikation i forbindelse med traumer og mange kirurgiske, diagnostiske og terapeutiske procedurer. Små iatrogene VLE ved CT med i.v. givet kontrast (CeCT) er hyppige og er oftest asymptomatiske. Her beskrives et tilfælde af iatrogen VLE opstået under CeCT, hvor der blev indgivet 100 ml atmosfærisk luft i.v. i stedet for kontrastvæske. Patienten fik symptomer på VLE med klinisk hjertestop, men overlevede og blev udskrevet i sin habitualtilstand fem dage efter skanningen.

SYGEHISTORIE

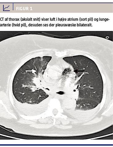
En 55-årig kvinde med dissemineret ovariecancer blev indlagt febril og dyspnøisk. Hun fik foretaget CeCT af thorax og abdomen, for at man kunne vurdere, om det var tiltagende vækst af metastaser, der var årsag til hendes symptomer. 100 ml kontrastvæske (iomeprol 350 mg/ml) blev injiceret med en motorsprøjte gennem højre vena cubiti. Umiddelbart efter kontrastindgiften blev patienten urolig, klagede over dyspnø og blev snart ukontaktbar, respirations- og pulsløs. På mistanke om anafylaksi udløst af kontrastvæsken blev der givet 0,3 mg adrenalin intramuskulært, hvorefter patienten genvandt bevidstheden. Hun var konfus, havde lav iltmætning (85-93%) og hyperventilerede. Hun fik 100% ilt på ventilationsmaske, hvorefter de vitale værdier normaliseredes. På fortsat mistanke om en allergisk reaktion blev der givet 2 mg clemastin i.v. Ved akut gennemgang af skanningsbillederne sås der luft i højre overarmsvener, hjertet, a. pulmonalis og ud i de små lungearterier bilateralt (Figur 1). Patienten blev lagt i Trendelenburgs leje med let venstredrejning (Durants manøvre), men dette udløste stort ubehag, og hun blev igen lejret på ryggen. Hun var fortsat stabil, men mere dyspnøisk end før skanningen og blev derfor
behandlet med ilt på en Hudsonmaske, bronkodilaterende midler og glykokortikoid. Et ekg viste
sinusrytme, og der var ingen tegn på iskæmi. En
ekkokardiografi viste normale forhold. En arteriegastest, taget på et tidligt tidspunkt i forløbet, viste let hyperkapni og hypoksi. Der blev ikke fundet indikation for hyperbar oxygenbehandling. Da patienten skønnedes at være stabil, blev hun tilbageflyttet til stamafsnittet. Fem dage efter den utilsigtede hændelse, blev hun udskrevet i habitual tilstand uden kliniske tegn på følger efter VLE.

Sidebar placering
Venstrestillet
Billede
Sidebar placering
Venstrestillet

En efterfølgende kerneårsagsanalyse viste, at baggrunden for hændelsen var en insufficient kobling mellem motorsprøjten og slangen med kontrastvæske. Dette havde medført indsugning af 100 ml atmosfærisk luft, som blev injiceret i patienten.

DISKUSSION

VLE i forbindelse med i.v. kontrastindgift kan opstå på flere måder. I et retrospektivt studie med 677 patienter har man påvist asymptomatisk VLE hos 5,5% efter anlæggelse af venflon og hos 11,7% efter CeCT [1]. Det vil formodentlig sige, at selve venflonanlæggelsen, gennemskylning af venflon, sammenkoblingen med motorsprøjten og luftbobler i kontrastvæsken [2] alle er trin, der potentielt kan give VLE. Tallene indikerer, at iatrogen VLE i forbindelse med CeCT underdiagnosticeres, dels fordi thorax ikke altid medskannes, og dels fordi patienterne ofte ikke har nogen symptomer [1, 3].

Transøsofagal ekkokardiografi og transsternal ekkokardiografi med Doppler-teknik er de mest sensitive metoder til diagnosticering af VLE og bruges blandt andet til diagnostik perioperativt [4]. CT er mindre sensitiv og er afhængig af patientens lejring samt tiden mellem luftindgift og skanning. I sygehistorien blev der indgivet en relativt stor mængde luft, og skanningen var udført, da patienten fik symptomer, hvorfor det var nærliggende at bruge denne modalitet til diagnostik. Der er i litteraturen ikke beskrevet dødsfald som følge af VLE i forbindelse med CeCT. I denne sygehistorie observeredes kortvarigt klinisk hjertestop. Det anslås, at mortaliteten ved symptomatisk VLE er så høj som 21% [5]. Den dødelige luftmængde ved VLE estimeres til at være 100-300 ml [1].

I denne sygehistorie beskrives en utilsigtet hændelse, hvor luft blev injiceret i stedet for kontrastvæske, og patienten fik en symptomatisk VLE. Der er efterfølgende udarbejdet nye retningslinjer på afdelingen for administration af trykinfusion med henblik på at forebygge lignende tilfælde.

Vi håber, at denne kasuistik vil skærpe opmærksomheden på riskoen for VLE, da der på empirisk basis opleves en stigning i forekomsten af ved brug af motorsprøjter til injektion af kontrastvæske.

Korrespondance: Mette Lønstrup Harving, Blegdamsvej 24, 3., 2200
København N. E-mail: mettelh@gmail.com

Antaget: 17. juli 2013

PUBLICERET PÅ UGESKRIFTET.DK: 7. oktober 2013

Interessekonflikter: ingen.

Sidebar placering
Venstrestillet
Article type
Journal
Magazine
Section
References

<h2>Litteratur</h2>
<ol type="d">
<li><p>Groell R, Schaffler GJ, Rienmueller R et al. Vascular air embolism: location, frequency, and cause on electron–beam CT studies of the chest. Radiology 1997;<br>202:459-62.</p></li>
<li><p>Pham KL, Cohen AJ. Iatrogenic venous air embolism during contrast enhanced computed tomography: a report of two cases. Emerg Radiol 2003;10:147-51.</p></li>
<li><p>Price DB, Nardi P, Teitcher J. Venous air embolism as a complication of pressure injection of contrast media: CT findings. J Comput Assist Tomogr 1987;11:<br>294-5.</p></li>
<li><p>Pahnon SC, Moore LE, Lundberg J et al. Venous air embolism: a review. J Clin Anest 1997;9:251-7.</p></li>
<li><p>Bessereau J, Genotelle N, Chabbaut C et al. Long-term outcome of iatrogenic <br>gasembolism. Intens Care Med 2010;36:1180-7.</p></li>
</ol>

Woodwing Id
45720
Fil
Conflict of interest
English title
Iatrogenic venous air embolism after unintentional injection of atmospheric air during computed tomography
English summary

Venous air embolism (VAE) is a well-known complication to trauma and various surgical, diagnostic and therapeutically procedures. Small iatrogenic VAE during contrast-enhanced computed tomography (CeCT) are frequent and often asymptomatic. We present a case of iatrogenic VAE during CeCT, where the patient instead of contrast had 100 ml of atmospheric air injected intravenously. The patient developed symptoms of VAE with clinical cardiac arrest, but survived and was discharged without any clinical evidence of embolic sequelae five days after the tomography.

Authors workplaces

1) Billeddiagnostisk Afdeling, Roskilde Sygehus
2) Anæstesiologisk Afdeling, Roskilde Sygehus

Ugeskr Læger 2014;176:V06130407

Bib ref
Ugeskr Læger 2014;176:V06130407
Article number
V06130407
Authors

Mette Lønstrup Harving1, Astrid Lyager2 & Hanne Randi Sandstrøm1

0 likes