Medlem i

13 years 1 month
Indholdselementer
Billede
Sidebar placering
Venstrestillet


Rotavirus er den hyppigste årsag til diaré hos børn < 5 år og er oftest godartet [1]. 70-80% af tilfældene er relateret til isoton dehydrering. Komplikationer som hypernatriæmisk dehydrering og neurologiske symptomer er sjældne [2, 3].

Sygehistorier

I. En otte måneder gammel pige havde haft tre døgn varende diaré og opkastninger. Ifølge forældrene havde hun været tørstig og drukket store mængder vand, saft og revolyt. Pigen blev ukontaktbar ca. seks timer før indlæggelsen. Ved ankomsten var hun komatøs, bleg, dårlig perfunderet og nakke-ryg-stiv. Temperaturen var på 41,9°C, blodtrykket var på 145/109 mmHg og pulsen 185-230/min. Blodprøver viste da pH: 6,73 kPa, standard base excess -23,7 mM, pCO2 9,3 kPa, pO2 5,5 kPa. Natrium > 160 mM. Normal C-reaktivt protein.

Pigen blev behandlet med intravenøst givet ampicillin, gentamycin, glukose 5%, NaHCO3 , isoton NaCl og albumin. Hun fik i forløbet asystoli og blev genoplivet, intuberet og tilsluttet en respirator.

Mikrobiologi: negativt resultat af bloddyrkning. Lumbalpunktur blev ikke udført. Fæces blev fundet rota-virus-antigen-positiv ved en enzyme-linked immunosorbent assay (ELISA).

Der blev foretaget akut CT af cerebrum: Udvisket grå/hvid substans occipitalt (billederne gav mistanke om iskæmi).

Pigen fik uræmi og blev overflyttet til H:S Rigshospitalet til dialyse. Hun døde efter fire døgn med cerebral iskæmi.

II. En 11/2-årig dreng blev indlagt efter to døgn varende diaré, og 4-5 daglige opkastninger. Temperaturen var på 39,7°C. Ved indlæggelsen var han klinisk normohydreret og med normale væsketal (Hgb 9,1mM, Na 143 mM, K 3,7 mM, kreatinin 41 mM, karbamid 5,1 mM). C-reaktivt protein blev målt til 53 mg/l. Ved stuegang næste dag havde han drukket revolyt og saft (100 ml/time, vægt 10 kg), haft ti små afføringer og havde ikke haft nogen opkastninger. Diurese: 150 ml/6 timer. Drengen blev skønnet at være 10% dehydreret (hallonerede øjne, takykardi 180, nedsat hudturgor) og observeret under peroral rehydrering.

Drengen fik efter tre timer cirkulatorisk kollaps. Han havde umåleligt lavt blodtryk, cyanose og begyndende respiratorisk udtrætning, hvorfor han blev intuberet og siden tilsluttet en respirator. Han var somnolent med venstresidig ekstremitetsparalyse og pupildifferens.

Der blev taget akutte blodprøver, der viste: pH 7,1 kPa, SBE -13,9 mM, pCO2 3,71 kPa. Natrium 156-162 mM. Øvrige prøver viste normale forhold. Spinalvæsken havde let forhøjet protein (0,64 g/l), men var ellers normal.

Drengen fik intravenøst givet albumin (150 ml), isoton NaCl (500 ml/2 t, herefter 800 ml pr. 6 t), ampicillin, genta-mycin og acyclovir.

Mikrobiologi: Spinalvæsken viste negativ polymerase-
kædereaktion for herpes simplex og enterovirus. Negativ bloddyrkning og virustitre. Fæces blev fundet rota-virus-antigen-positiv ved ELISA.

Resultatet af EEG var svært abnormt, med lavfrekvent aktivitet, hvilket tydede på encefalopati/encefalitis. En akut CT af cerebrum viste normale forhold.

Efter to døgn sås dissemineret intravaskulær koagulation (international normalised ratio (INR) 2,6, aktiveret partiel tromboplastintid 32 s, D-dimer > 18,0 mg/l, AT3 40%, trombocytter 115 mia. pr. l), forhøjede levertal (laktatdehydrogenase 30.000 U pr. l, alaninaminotransferase 5.827 U pr. l, S-ammonium 95 μ M, albumin 363 μ M) og forhøjet creatininkinase (9.000 U pr. l).

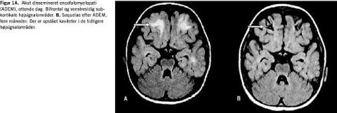
En MR-skanning af cerebrum (dag otte) viste akut disse-mineret encefalomyelitis (ADEM) (Figur 1A ).

Drengen fik methylprednisolon (2 mg/kg) givet intravenøst i tre dage, herefter prednisolon i fire uger.

Der var klinisk bedring i løbet af to uger og normale forhold ved neurologiske undersøgelser efter seks måneder og 12 måneder.

En MR-skanning af cerebrum (fem måneder) viste ADEM-sequelae (Figur 1B ).

Diskussion

Ved rotavirus diaré udvikles hypernatriæmi oftest langsomt. De gastrointestinale tab har Na-koncentrationer under plasmaniveau, og da natrium ikke penetrerer cellemembraner frit, vil ekstracellulærvæske og plasmavolumen længe være stabil, mens der opstår en intracellulær dehydrering. Patienterne drikker rigeligt, har få symptomer på dehydrering og går i shock sent i sygdomsforløbet [3].

Vores patienter havde rotavirusinfektion med svær hypernatriæmisk dehydrering og neurologiske symptomer.

Patient 1 var ved ankomsten moribund og symptomerne med kramper og cirkulatorisk svigt var forenelige med hypernatriæmisk dehydrering.

Patient 2 fik cirkulatorisk kollaps, somnolens og halvsidig lammelse, givetvis pga. hypernatriæmisk dehydrering. Siden tilkom lever- og muskelenzymforhøjelse og tegn på DIC, formentlig på grund af cirkulationssvigt og hypoksi.

Det akutte cirkulatoriske kollaps trods tilsyneladende sufficient oral rehydrering kunne indikere for sent opstartet intravenøs rehydrering.

Han havde tegn på svær encefalopati. Ved en MR-skanning af cerebrum fandtes typiske ADEM-forandringer. Spi-nalvæsken viste forhøjet protein, der kan ses ved cerebrale
læsioner både ved hypernatriæmi og ved ADEM. Encefalitis, encefalopati og Reyes syndrom efter rotavirusinfektion er velbeskrevet [1]. Schumacher et al [1] fandt, at 2% af børn med rotavirusinfektion havde centralnervesystem (CNS)-symptomer, og Koshiniemi et al [4] fandt, at op til 5% af encefalitistilfælde hos børn var forårsaget af rotavirus. Rotavirus er for nylig beskrevet at kunne udløse ADEM, som er en immunmedieret tilstand med multifokal demyelinisering i CNS, der bl.a. kan udløses af infektiøse agens [5].

Vi beskriver et klassisk tilfælde af ADEM i forbindelse med rotavirus gastroenterit, og de neurologiske symptomer accentueres muligvis af den svære hypernatriæmiske dehydrering.

Konklusion

Rotavirus gastroenteritis er oftest godartet, men kan hos mindre børn være en potentielt alvorlig tilstand.


Summary

Hypernatraemia and neurological complications in rotavirus enteritis

Ugeskr Læger 2005;167:409-410

We present two cases of rotavirus enteritis. Both patients had severe signs of hypernatraemia. In one patient, a cerebral MRI showed ADEM. The other patient had severe generalized seizures and died of renal failure. Rotavirus enteritis is a potentially severe condition in infants.

Korrespondance: Pernille Raasthøj Mathiesen, Søagerparken 102, DK-2670 Greve.
E-mail: Permat@dadlnet.dk

Antaget: 14. juni 2004

Interessekonflikter: Ingen angivet


Taksigelser: Tak til Elisabeth Skriver, Amtssygehuset i Glostrup, Røntgenafdelingen, for billedfremstilling og -beskrivelse.




Sidebar placering
Venstrestillet
Article type
Journal
Magazine
Section
References

<ol class="Litt-list">
<li>Schumacher RF, Forster J. The CNS symptoms of rotavirus infections under the age of two. Klin Paediatr 1999;211:61-4.</li>
<li>Jacobsen J, Bohn D. Severe hypernatremic dehydration and hyperkalemia in an infant with gastroenteritis secondary to rotavirus. Ann Emerg Med 1993; 22:1630-2.</li>
<li>Ho L, Bradford JB. Hypernatremic dehydration and rotavirus enteritis. Clin Pediatr 1995;34:440-1.</li>
<li>Koskiniemi M, Korppi M, Mustonen K et al. Study group: Epidemiology of encephalitis in children. Eur J Pediatr 1997;156:541-5.</li>
<li>Murthy SN, Faden HS, Cohen ME. Acute disseminated encephalomyelitis in children. Pediatr 2002;110:e21.</li>
</ol>

Woodwing Id
269965
Fil
English summary

Summary Hypernatraemia and neurological complications in rotavirus enteritis Ugeskr L&aelig;ger 2005;167:409-410 We present two cases of rotavirus enteritis. Both patients had severe signs of hypernatraemia. In one patient, a cerebral MRI showed ADEM. The other patient had severe generalized seizures and died of renal failure. Rotavirus enteritis is a potentially severe condition in infants.

Bib ref
Ugeskr Læger 2005;167(04):409-410
Authors

1. reservelæge Pernille Raasthøj Mathiesen & afdelingslæge Jesper Andersen Amtssygehuset i Glostrup, Pædiatrisk Afdeling

0 likes
Read time
5