Medlem i

13 years 1 month
Indholdselementer
Billede
Sidebar placering
Venstrestillet


Hymen imperforatus (HI) er en medfødt lidelse, som oftest er asymptomatisk indtil puberteten, hvor det manglende afløb af menstruationsblod vil give symptomer. Her beskrives et tilfælde, hvor symptomerne opstod atypisk i forbindelse med et mindre traume.

Sygehistorie

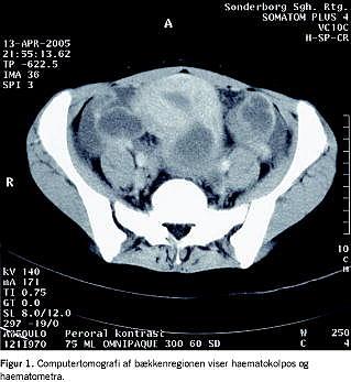
En 14-årig, tidligere rask pige henvistes akut af en vagtlæge til en kirurgisk afdeling på mistanke om nyrelæsion. Pigen var fire dage forinden faldet på sengekanten, hvor hun slog halebenet. Den følgende dag fik hun smerter i epigastriet og højre flanke. Smerterne tiltog betydeligt over de næste dage på trods af analgetisk behandling, hvorfor pigen opsøgte vagtlægen. Denne konstaterede mikrohæmaturi og fandt patienten smertepåvirket og klamtsvedende. Ved indlæggelsen klagede pigen foruden smerter over kvalme. Der var normal afføring. Ingen dysuri eller opkastning. Pigen havde ikke haft menarche. Objektivt fandtes hun febril, 38,8° C. Hun var diffust øm i abdomen og over begge nyreloger, og man bemærkede en palpapel udfyldning over symfysen. Der var veludviklede mammae og normal kvindelig pubesbehåring. C-reaktivt protein var 202 mg/l, leukocytter 9,3 × 10 9 /l, serumkreatinin 71 mmol/l. På mistanke om organlæsion som årsag til symptombilledet blev der foretaget akut computertomografi (CT) af abdomen. Denne udførtes med peroral og intravenøs kontrast med leveren i portokaval fase og viste massiv haematometra og haematokolpos, venstresidig hydronefrose og hydroureter samt en mindre væskeansamling intraperitonealt (Figur 1 ). På mistanke om HI overførtes pigen herefter til en gynækologisk afdeling, hvor man ved inspektion bekræftede diagnosen. På grund af den perorale kontrast, valgte man ikke at operere akut og foretog i stedet en lille incision i hymen, hvorved der udtømtes 500 ml gammelt blod. Man påbegyndte antibiotisk behandling, og pigen blev opereret dagen efter i fuld anæstesi, hvor introitus dilateredes til tre fingre. Podning fra vagina samt dyrkning af blod og urin var uden vækst. Pigen blev udskrevet afebril og velbefindende to døgn efter. Ved ambulant kontrol tre måneder senere var hun velbefindende og havde fået regelmæssige menstruationer. Ved en abdominal ultralydskanning (UL) fandtes normale forhold i genitalia interna.

Diskussion

Hymen er en rest af mesodermalt deriveret væv og udgør adskillelsen mellem den endodermalt deriverede og mesodermalt deriverede del af vagina [1, 2]. Ved HI kan mucokolpos undertiden ses allerede ved fødslen [3, 4]. Opgjort i udenlandske undersøgelser forekommer HI hos 1:2.000-3.000 [3]. Anomalien optræder mest sporadisk, men man har også haft mistanke om en genetisk årsag [1, 3]. Klinisk findes primær amenoré hos piger, hvor man ud fra de sekundære kønskarakterer ville vurdere, at de var postpubertale [1, 4]. Symptomerne er derudover korreleret til hindret afløb af menstruationsblod, idet blodet først ophobes i vagina, og siden i uterus og salpinges eventuelt med haemoperitoneum.

Abdominale smerter ses hos alle og kan eventuelt have et cyklisk præg. Det opstasede blod ses som en abdominal udfyldning, der kan give anledning til obstipation eller urinretention, som er debutsymptom i over halvdelen af tilfældene. Undertiden ses der andre urologiske symptomer i form af dysuri og hyppig vandladning. Ødem af eller neurologiske symptomer fra underekstremiteterne er beskrevet [1, 2, 4]. Diagnosen stilles klinisk ved inspektion af introitus vaginae, hvor HI vil vise sig som en frembuling af hymen mellem labia. Ved UL af nedre abdomen vil der kunne ses væske i eller uden for genitalia interna, som ses dilaterede på grund af det opstasede blod [1, 4].

Andre årsager til haematokolpos er transverselt vaginalt septum, der dog er forbundet med andre anomalier eller vaginal atresi [5].

Behandlingen af HI er simpel incision eller partiel hymenektomi i universel anæstesi. Ambulant kontrol anbefales med henblik på menstruations- og vandladningsforhold og eventuelt UL, hvis der fortsat er symptomer.

Komplikationer kan bestå i nedsat fertilitet, dels grundet adhæsioner eller ødelagt ciliefunktion i tuba udløst af hæmatosalpinx, dels grundet endometriose forårsaget af retrograd blødning. Ved langvarig hydronefrose kan der ses nyrepåvirkning [1, 3, 4].

Konklusion

I det omtalte tilfælde søgte patienten læge efter et mindre traume, hvorfor man i udredningen fokuserede på at søge en sammenhæng mellem dette traume og symptomerne.

Man bør være opmærksom på HI hos yngre kvinder med abdominalsymptomer, sekundære kønskarakteristika og primær amenoré. Diagnosen er let at stille, og behandlingen er simpel og kurativ.


Marie Josée Zareh Lausten-Thomsen , Ramsherred 5, 1., DK-6200 Aabenraa. E-mail: josee@dadlnet.dk

Antaget: 8. oktober 2005

Interessekonflikter: Ingen angivet

Taksigelse: Overlæge Frank Kronenberg, Røntgenafdelingen, Sønderborg Sygehus, takkes for supervision.



Sidebar placering
Venstrestillet
Article type
Journal
Magazine
Section
References

<ol class="Litt-list">
<li>Nisanian AC. Hematocolpometra presenting as urinary retention. J Reprod Med 1993;38:57-60.</li>
<li>Chircop R. A case of retention of urine and haematocolpometra. Eur J Emerg Med 2003;10:244-5.</li>
<li>Loscalzo IL, Catapano M, Loscalzo J et al. Imperforate hymen with bilateral hydronephrosis: an unusual emergency department diagnosis. J Emerg Med 1995;13:337-9.</li>
<li>Johansen JK, Larsen UR. Hymen imperforatus: en let, men overset diagnose. Ugeskr Læger 1998;160:5948-9.</li>
<li>Blask AR, Sanders RC, Rock JA. Obstructed uterovaginal anomalies: demonstration with sonography. Part II. Teenagers. Radiology 1991;17984-8.</li>
</ol>

Woodwing Id
241841
Fil
Bib ref
Ugeskr Læger 2007;169(6):523-4
Authors

Reservelæge Marie Josée Zareh Lausten-Thomsen & overlæge Helle Mogensen Sønderborg Sygehus, Røntgenafdelingen og Gynækologisk Afdeling

0 likes