Medlem i

12 years 10 months
Indholdselementer

Menstruationskoppen har vundet indpas i mange lande verden over. Koppen har eksisteret som hygiejnebeskyttelse siden 1930’erne. I studier har man sammenlignet de forskellige former for beskyttelse og fundet, at menstruationskoppen er ligeværdig med andre former.

Menstruationskoppen er et genanvendeligt og blødt opsamlingsbæger af silikone. Koppen foldes sammen som et C og lægges op i skeden, hvor den må sidde i 4-8 timer. Herefter skal den fjernes, renses og kan atter genoplægges. Koppen kan anvendes i ti år, før den skal udskiftes [1].

Verden over er der indtil nu kun påvist enkelte tilfælde af komplikationer i forbindelse med anvendelse af menstruationskop. I nedenstående sygehistorie beskrives et tilfælde, hvor en ung kvinde havde højresidig hydronefrose, hvilket man antog skyldtes mekanisk kompression af den højresidige urinleder ved anvendelse af menstruationskop.

SYGEHISTORIE

En kvinde på 20 år, nullipara, seksuelt aktiv, sund og rask og uden tidligere indlæggelser henvendte sig i skadestuen pga. pludseligt opståede akutte smerter i maven, især i højre øvre kvadrant. Hun var tydeligt smerteforpint. Blodprøverne var paraklinisk normale, men en urinstikstest viste spor af blod. I første omgang blev tilstanden tolket som et nyrestensanfald, hvorfor patienten blev smertelindret og udskrevet i velbefindende, uden at der blev foretaget billeddiagnostik.

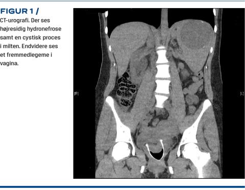
En måned senere henvendte hun sig igen med akkurat samme symptombillede, igen tydeligt smerteforpint, og atter var en urinstikstest positiv for blod. Udredningen blev suppleret med CT-urografi, og denne viste tegn på højresidig hydronefrose samt en cystisk proces i milten. Endelig viste urografien, at der i vagina sad et fremmedlegeme, der tydeligt pressede på højre urinleder (Figur 1). Fremmedlegemet viste sig at være en menstruationskop. Den blev fjernet omgående, hvorefter smerterne aftog kort tid efter. Patienten forblev indlagt til observation natten over og blev udskrevet i velbefindende i habituel tilstand dagen efter.

Sidebar placering
Venstrestillet
Billede
Sidebar placering
Venstrestillet

En kontrolskanning to uger efter viste fuldstændig regression af den tidligere sete højresidige hydronefrose. Patienten blev efterfølgende ambulant viderehenvist mhp. yderligere udredning af cysten.

DISKUSSION

Menstruationskop, vaginalringe og pessarer har været anvendt af kvinder over hele verden i flere årtier. Menstruationskoppen beskrives generelt som et sikkert produkt med minimale bivirkninger. Dog skal man være opmærksom på de mekaniske gener, der kan følge med, og den infektionsrisiko, der opstår pga. et fremmedlegeme i kroppen. Der findes kun få kasuistikker, der beskriver komplikationer i form af hydronefrose ved brug af menstruationskop.

En tjekkisk kasuistik om en 30-årig kvinde med venstresidig hydronefrose, som blev konstateret i forbindelse med anvendelse af menstruationskop [2], og en australsk kasuistik, hvor der berettes om en in situ, dog malroteret vaginalring, hvilket medførte højresidig hydronefrose og urosepsis hos en ældre kvinde [3].

I ovennævnte kasuistikker og hos patienten i sygehistorien aftog symptomerne omgående ved fjernelse af menstruationskoppen/vaginalringen.

I Danmark er der beskrevet tilfælde med displacering af spiral som følge af anvendelse af menstruationskop. Dette er formentligt sket pga. undertryk ved udtagning af koppen eller i tilfælde, hvor kvinden ved fjernelse af koppen ved en fejl har fået fat i spiralsnoren [4].

En af årsagerne til, at menstruationskoppen er blevet populær gennem de senere år, kan være de miljømæssige fordele i forhold til hygiejnebind og tamponer. Studier viser, at en kvinde gennemsnitligt anvender 10.000 hygiejnebind/tamponer i løbet af livet. Desuden udtørres slimhinden i skeden ikke ved brug af menstruationskop, og fjernelse samt oplægning af koppen er beskrevet at være mindre ubehagelig end f.eks. tamponbrug [5].

Det er vigtigt at anvende koppen efter gældende instrukser og at finde den korrekte størrelse. Patienten i sygehistorien kan have anvendt en forkert størrelse og/eller have haft menstruationskoppen siddende på en måde, der har medført hydronefrose sekundært til afklemning af urinlederen, hvilket er en meget sjælden, men potentielt alvorlig bivirkning.

Korrespondance: Thamilini Umaramanan.
E-mail: thami.rama@dadlnet.dk

Antaget: 27. september 2019

Publiceret på Ugeskriftet.dk: 4. november 2019

Interessekonflikter: ingen. Forfatternes ICMJE-formularer er tilgængelige sammen med artiklen på Ugeskriftet.dk

Litteratur: Findes i artiklen publiceret på Ugeskriftet.dk

Sidebar placering
Venstrestillet
Article type
Journal
Magazine
Section
References

LITTERATUR

  1. Stewart K, Powell M, Greer R. An alternative to conventional sanitary protection: would women use a menstrual cup? J Obstet Gynaecol 2009;29:49-52.

  2. North BB, Oldham MJ. Preclinical, clinical, and over-the-counter postmarketing experience with a new vaginal cup: menstrual collection.
    J Womens Health 2011;20:303-11.

  3. https://laegemiddelstyrelsen.dk/da/udstyr/orientering/
    menstruationskop-hos-kvinder-med-spiral (10. jan 2019
    ).

  4. Adedokun BO. Hydronephrosis associated with the use of menstrual cup. Eur Urol Suppl 2017;16:e2865.

  5. Mitchell MA, Bisch S, Arntfeld Set al. A confirmed case of toxic shock syndrome associated with the use of a menstrual cup. Can J Infect Dis Med Microbiol 2015;26:218-20.

Woodwing Id
1
Fil
Conflict of interest
English summary

Thamilini Umaramanan, Karina Hjort-Pedersen, Annette Besenbruch & Jan M. Krzak:

Hydronephrosis caused by a menstrual cup

Ugeskr Læger 2019;181:V04190222

In this case report, a 20-year-old healthy woman contacted the emergency department because of lower abdominal pain radiating to the right flank. She was discharged with analgesics suspecting a kidney stone attack. One month later she contacted the emergency department again with the same symptoms. A CT urography was made showing hydronephrosis on the right side and a menstrual cup in the vagina seemingly compressing the right ostia in the bladder. After removal of the menstrual cup the symptoms disappeared, and the patient was discharged. A control ultrasound scan two weeks later showed full regression of the hydronephrosis.

Authors workplaces

1) Afsnit for Kirurgi, Sygehus Sønderjylland, Aabenraa 2) Afsnit for Urinvejskirurgi, Sygehus Sønderjylland, Sønderborg

Ugeskr Læger 2019;181:V04190222
Bib ref
Ugeskr Læger 2019;181:V04190222
Article number
V04190222
Authors

Thamilini Umaramanan1, Karina Hjort-Pedersen1, Annette Besenbruch2 & Jan M. Krzak1

0 likes