Medlem i

12 years 10 months
Indholdselementer

Paragangliomer er højt vaskulariserede tumorer, som udvikles fra neuroendokrine celler [1]. Paragangliomer i hoved-/halsregionen (HHPGL) er hovedsageligt deriveret fra celler i de parasympatiske ganglier og er oftest benigne [1, 2]. I denne artikel gennemgås klinik og ny viden om genetik ved HHPGL. Påvisning af en disponerende mutation kan have betydning for diagnose, prognose og behandling af patienten og for kontrol af patientens slægtninge.

FOREKOMST

Paragangliomer udgør mindre end 0,6% af alle tumorer i hoved-/halsregionen og er sjældne. En samlet incidens for paragangliomer og fæokromocytomer er estimeret til 1/300.000 pr. år [3-8]. HHPGL opstår i alle aldersgrupper, men symptomdebut sker oftest i 30-60-årsalderen. Kvinde:mand-ratioen er 3-4:1 [6].

LOKALISATION OG UDBREDELSE

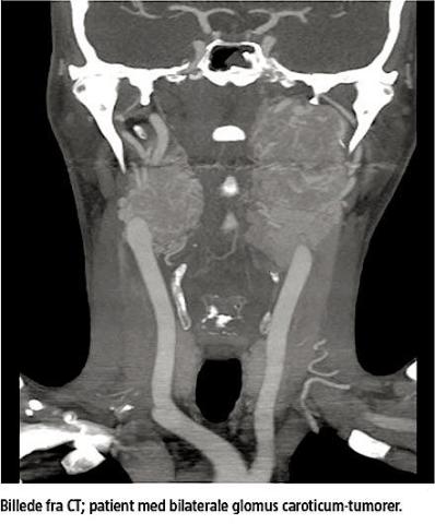
HHPGL navngives efter lokalisation. Glomus caroticum-tumorer udgår fra autonome ganglier ved carotisbifurkaturen, glomus jugulare-tumorer fra celler ved bulbus venae jugularis, glomus tympanicum-
tumorer fra celler i plexus tympanicus og vagusparagangliomer typisk fra det inferiore vagusganglion. Omkring 80% af HHPGL er glomus caroticum-tumorer eller glomus jugulare-tumorer [4, 5]. Ca. en tredjedel af alle glomus jugulare-tumorer breder sig til det intrakraniale rum [4, 9-11].

KLINIK

Symptomerne er varierende og skyldes ofte kompression og infiltration af omkringliggende strukturer [3]. Mange HHPGL forbliver udiagnosticeret i årevis [12, 13]. Ofte ses symptomer som pulsatil tinnitus, kranienerveudfald, dysfagi, Horners syndrom og konduktivt høretab. Typiske objektive fund er en svulst på halsen eller en blålig, pulserende svulst bag trommehinden [4, 9-11]. I modsætning til ved fæokromocytomer og de fleste sympatiske ekstraadrenale paragangliomer ses der kun øget koncentration af katekolaminer i plasma og urin i 1-5% af HHPGL-tilfældene [2-4, 6, 14].

DISPONERENDE FAKTORER

Arvelig mutation i et af flere mulige gener og kronisk hypoksi er de eneste kendte disponerende faktorer [15]. Mutationer i generne, der koder for subunits i eller kofaktorer til det mitokondrielle II-succinatdehydrogenase (SDH)-enzymkompleks forekommer hyppigt hos patienter med HHPGL [4], og det ser ud til, at mutationerne disponerer for en pseudohypoksisk tilstand, som fører til øget angiogenese [16]. Enzymkomplekset spiller en central rolle i Krebs‘ cyklus [17]. Ved arvelig disposition forekommer HHPGL tidligere og er hyppigere multifokale, recidiverende og maligne [11]. SDH-mutationer disponerer også for andre tumorer, herunder fæokromocytom, renalcellekarcinom og gastrointestinale stromale tumorer [17]. I denne artikel fokuseres der på HHPGL, men det må understreges, at et udredningsprogram for patienter med paragangliomer og/eller SDH-mutation altid bør inkludere endokrinologisk udredning for associerede sygdomme. 

NYERE GENETISK VIDEN

Arvelige mutationer i generne SDHD, SDHC og SDHB, som koder for henholdsvis subunit D, C og B i SDH-enzymkomplekset, er stærkt associeret til HHPGL [4, 17, 18]. Mutationer i generne for neurofibromatose type 1 (NF1), multipel endokrin neoplasi type 2 (RET), von Hippel-Lindaus sygdom (VHL), generne, der koder for subunit A og assembly factor 2 i SDH-enzymkomplekset (SDHA og SDHAF2), genet TMEM127 og genet MAX er sat i forbindelse med paragangliomer, men mutation i disse er kun fundet hos få patienter med HHPGL [4, 17-19]. I Tabel 1 gives et overblik over de forskellige gener, hvori der ses mutation hos patienter med HHPGL, og de syndromer, der er associeret til mutation i disse gener [6, 18].

Sidebar placering
Venstrestillet
Billede
Sidebar placering
Venstrestillet

De tre hyppigst muterede
succinatdehydrogenase-gener:
SDHB, SDHC og SDHD 

Patogen mutation i SDHD medfører en autosomal dominant disposition for paragangliom modificeret med en parent-of-origin-effekt (imprinting), idet sygdommen næsten udelukkende opstår, når mutationen stammer fra faderen [8, 15, 17]. Arvelige patogene mutationer i SDHB- og SDHC-generne nedarves efter dominant autosomal arvegang uden parent-of-origin-effekt [17]. Neumann et al fandt i et studie med 598 patienter en samlet prævalens af mutationer i de tre hyppigst muterede gener på 30,6%, fordelt som angivet i Tabel 1 [18]. Andelen af HHPGL-tilfælde, der kan tilskrives en arvelig disposition, anslås af Drovdlic et al til at være omkring 35% [24]. Størstedelen (87,8%) af de familiære tilfælde af HHPGL er associeret med mutation i SDHD, SDHB eller SDHC [6].

Der er nedsat og aldersafhængig penetrans ved arvelig disposition til paragangliom [3, 25]. Penetransestimater bør anskues med forsigtighed, idet fravær af paragangliom i familieanamnesen kan skyldes både, at den syge er nymutant, og at paragangliom ikke er opdaget hos slægtninge. I et studie af Ricketts et al fandt man, at livstidsrisikoen for HHPGL var signifikant større hos bærere af mutation i SDHD end hos bærere af mutation i SDHB med en estimeret penetrans ved 60 år på omkring henholdsvis 71% og 29% [26]. Andelen af bærere af SDHC-mutation med positiv familieanamnese er lavere end den tilsvarende andel af bærere af SDHB- og SDHD-mutation [18], hvilket tyder på en lavere penetrans for mutationer i dette gen [17].

Hos patienter med mutation i SDHB, SDHC eller SDHD udvikles paragangliom i en signifikant yngre alder end patienter med HHPGL med sporadisk paragangliom [6]. Andelen af bærere af SDHB- eller SDHD-mutation, der får en tumor i ung alder, er
relativ høj. Dette tyder resultaterne i et studie af Burnichon et al på; de fandt, at 21 ud af 242 bærere af SDHB- eller SDHD-mutation fik diagnosticeret paragangliom før 18-årsalderen [27].

Multiple primære tumorer observeres hyppigere hos bærere af SDHD-mutation end hos bærere af SDHB- eller SDHC-mutation [15].

PROGNOSE

Tidlig diagnostik og behandling er afgørende for prognosen [12]. Paragangliomer er langsomtvoksende tumorer, den mediane vækst er 1 mm pr. år. Den mediane tumorfordoblingstid for HHPGL er estimeret til at være 4,2 år [7].

Malignitet giver ringere prognose. Der findes ingen histopatologiske eller histokemiske kriterier, hvormed man kan fastslå malignitet i HHPGL, og malignitet er defineret ved tilstedeværelsen af metastaser til nonneuroendokrint væv [6, 7, 14]. Malignitet ses hyppigst ved vagusparagangliomer (16-19%), sjældnere ved glomus caroticum-tumorer (6%) og
jugulotympaniske paragangliomer (2-4%) [28]. Metastasering sker oftest til cervikale lymfeknuder, og fjernmetastaser er sjældne, men findes hyppigst i knogler, lever og lunger [6, 7, 13]. Femårsoverlevelsen blandt patienter med maligne HHPGL er i et studie estimeret til 59,5% [28].  

van Hulsteijn et al fandt ved en metaanalyse en prævalens af maligne paragangliomer på 23% (95% konfidens-interval (KI): 16-33) og 3% (95% KI: 1-10) for henholdsvist SDHB- og SDHD-mutationsbærere med paragangliom [1].

DIAGNOSTISKE SKANNINGSMODALITETER

MR-skanning og MR-angiografi er centrale skanningsmodaliteter, som i den initiale diagnostik og opfølgningen af paragangliomer giver brugbare informationer om lokalisation, størrelse, vaskularitet samt relationer til store kar, kraniebasis og dura [6, 8]. Ved jugulotympaniske tumorer er CT velegnet til undersøgelse for indvækst i os temporale [6]. Molekylær billeddannelse med PET eller SPECT, udført som helkropsskanning, kan benyttes som supplement til MR-skanning/CT til påvisning af eventuelle multiple eller metastatiske paragangliomer [8, 17, 29]. Mutationsstatus har også betydning, idet valg af sporstof
(18F-FDG-PET vs. 18F-DOPA-PET) ifølge European Association of Nuclear Medicines nyeste guideline for funktionel billeddannelse af fæokromocytomer og paragangliomer afhænger af, om der er kendt SDHB-mutation. Hvis patienten bærer en mutation i SDHB, anbefales 18F-FDG-PET som supplerende eller primær undersøgelse for at detektere en eventuel torakal eller abdominal udbredelse. Ved fravær af SDHB-mutation, eller når mutationsstatus er ukendt, anbefales 18F-DOPA PET [13].

Sidebar placering
Venstrestillet
Billede
Sidebar placering
Venstrestillet

BEHANDLING

Kirurgisk resektion, embolisering samt konventionel og stereotaktisk strålebehandling er i dag anerkendte behandlingsmuligheder [5]. Wait-and-scan-strategi kan anvendes hos ældre patienter med komorbiditeter eller ved små tumorer [5, 6]. Valg af behandling afhænger af tumortype, og ofte vælges kombinationsbehandling. Komplet kirurgisk resektion er den eneste kurative behandling og er ved glomus jugulare-
tumorer og glomus caroticum-tumorer ofte den foretrukne behandling trods en relativt stor risiko for postoperativ kranienervedysfunktion [1, 4]. Stråleterapi anses for at være palliativ behandling, men anerkendes i stigende grad som en effektiv behandlingsmetode med god lokal tumorkontrol [6, 8, 30].

GENETISK UDREDNING OG RÅDGIVNING

Arvelig disposition til HHPGL bør haves in mente hos alle patienter med paragangliom, men især hos patienter med malignt HHPGL, vagusparagangliom, positiv familieanamnese, tidligere fæokromocytom, multiple HHPGL, eller såfremt tumorfund sker i en ung alder (< 45 år) [8, 18]. Det anbefales, at alle patienter med paragangliom udredes for arvelig disposition [6, 8, 17]. I Danmark foregår dette ved, at patienter med paragangliom henvises til en af landets klinisk genetiske afdelinger, hvor man varetager den genetiske udredning.

Udredningsarbejdet inkluderer anamnese, relevante kliniske og parakliniske undersøgelser (i det omfang disse ikke allerede er gennemført, f.eks. på en endokrinologisk afdeling), optegning af et stamtræ og mutationsscreening af patienten og/eller en afficeret slægtning. Ved mutationsscreening søger man efter en arvelig patogen mutation. I dag benyttes oftest massesekventering, hvorved man undersøger flere gener samtidigt. Resultatet sammenholdes altid med anamnese og familieanamnese.

I familier, hvor man finder en patogen mutation, tilbydes de enkelte ikkeafficerede familiemedlemmer prædiktiv testning for mutationen. På baggrund af resultatet kan man give en mere nøjagtig vurdering af de raske familiemedlemmers risiko for at få paragangliom eller en anden tumor. En sådan prædiktiv testning foretages kun forudgået af genetisk rådgivning.

ETISKE OVERVEJELSER

Massesekventering med undersøgelse af flere gener kan tilvejebringe store mængder af information, der ikke umiddelbart er relevant for det aktuelle problem. Det er derfor vigtigt, at man inden udredningen påbegyndes, orienterer og rådgiver patienten om processens omfang og eventuelle konsekvenser. Patienten skal også orienteres om, at man samtidigt med at få oplysninger om egen risiko indirekte vil få oplysninger om slægtninges risiko. Derfor råder den kliniske genetiker personer, der gennemgår genetisk udredning, til at de informerer deres slægtninge tidligt i forløbet. Dette giver slægtningene mulighed for at tilkendegive, om de ønsker at kende resultaterne af familieudredningen. Med i de etiske overvejelser må man endvidere have de sociale og psykiske virkninger, som forløbet kan have for patienter med SDH-mutation.

En vigtig overvejelse vedrørende prædiktiv gentestning af slægtninge er, hvor tidligt man finder
indikation for at genteste og klinisk tumorscreene slægtninge for paragangliom. Enkelte tilfælde af paragangliomer er fundet hos børn under ti år [8, 20]. Hos de yngste finder man oftest mutation i SDHB, men mutation i SDHD forekommer også [15, 20]. Myssiorek et al anbefaler, at man starter kontrolundersøgelserne af børn med SDHB- eller SDHD-mutation allerede i tiårsalderen [7].

Sidebar placering
Venstrestillet
Billede
Sidebar placering
Venstrestillet

KONKLUSION

HHPGL er oftest benigne tumorer, men de kan have alvorlige følger relateret til kranienervedefekter og tumors masseeffekt. Nogle få procent er maligne og kan metastasere. Mutationer i gener, der disponerer for HHPGL, disponerer også for andre typer tumorer.

Funktionel billeddiagnostik vil i mange tilfælde være relevant ved et primært fund af HHPGL for at afklare, om der findes metastaser eller multiple tumorer. Algoritmen for valg af skanningsmodalitet bør udvikles fremover, og SDH-mutationsstatus kan være afgørende for valget.

Vi mener, at det er rimeligt at antage, at tidligere behandling kan resultere i reduktion af behandlingskomplikationer, morbiditet og mortalitet. I forhold til dette er genetisk udredning essentiel.

Vi foreslår, at man tilbyder alle patienter med paragangliom genetisk udredning og rådgivning, og at man tilbyder livslangt kontrolforløb, inklusive regelmæssig MR-skanning. Slægtninge med væsentligt øget risiko bør tilbydes det samme. Risikovurderingen foretages i samarbejde med en klinisk genetiker.

Dansk epidemiologisk forskning på området tilrådes. Der bør udfærdiges nationale kliniske retningslinjer for genetisk udredning af patienter med paragangliom og deres slægtninge.

Korrespondance: Signe Bergliot Nielsen, Katrinebergvej 61, 1. tv., 8200
Aarhus N. E-mail: signe_nielsen_86@yahoo.dk

Antaget: 10. april 2014

Interessekonflikter: ingen.

Sidebar placering
Venstrestillet
Article type
Journal
Magazine
Section
References

<h2>Litteratur</h2>
<ol type="d">
<li><p>van Hulsteijn LT, Dekkers OM, Hes FJ et al. Risk of malignant paraganglioma in SDHB-mutation and SDHD-mutation carriers: a systematic review and meta-analysis. J Med Genet 2012;49:768-76.</p></li>
<li><p>Jimenez C, Cote G, Arnold A et al. Should patients with apparently sporadic pheochromocytomas or paragangliomas be screened for hereditary syndromes? J Clin Endocrinol Metab 2006;91:2851-8.</p></li>
<li><p>Kirmani SYW. Hereditary paraganglioma-pheochromocytoma syndromes. <br>I: Pagon RA, Adam MP, Bird TD, red. GeneReviews. Seattle: University of Washington, Seattle, 1993-2013.</p></li>
<li><p>Offergeld C, Brase C, Yaremchuk S et al. Head and neck paragangliomas: clinical and molecular genetic classification. Clinics (Sao Paulo) 2012;67(suppl 1):19-28.</p></li>
<li><p>Destito D, Bucolo S, Florio A et al. Management of head and neck paragangliomas: a series of 9 cases and review of the literature. Ear Nose Throat J 2012;91:366-75.</p></li>
<li><p>Boedeker CC. Paragangliomas and paraganglioma syndromes. GMS Curr Top Otorhinolaryngol Head Neck Surg 2011;10:doc03.</p></li>
<li><p>Lee JH, Barich F, Karnell LH et al. National Cancer Data Base report on malignant paragangliomas of the head and neck. Cancer 2002;94:730-7.</p></li>
<li><p>Myssiorek D, Ferlito A, Silver CE et al. Screening for familial paragangliomas. Oral Oncol 2008;44:532-7.</p></li>
<li><p>Fayad JN, Keles B, Brackmann DE. Jugular foramen tumors: clinical characteristics and treatment outcomes. Otol Neurotol 2010;31:299-305.</p></li>
<li><p>Al-Mefty O, Teixeira A. Complex tumors of the glomus jugulare: criteria, treatment, and outcome. J Neurosurg 2002;97:1356-66.</p></li>
<li><p>Suarez C, Rodrigo JP, Bodeker CC et al. Jugular and vagal paragangliomas: <br>systematic study of management with surgery and radiotherapy. Head Neck 2013;35:1195-204.</p></li>
<li><p>Miederer M, Fottner C, Rossmann H et al. High incidence of extraadrenal paraganglioma in families with SDHx syndromes detected by functional imaging with [(18)F]fluorodihydroxyphenylalanine PET. Eur J Nucl Med Mol Imaging 2013;40:889-96.</p></li>
<li><p>Taieb D, Timmers HJ, Hindie E et al. EANM 2012 guidelines for radionuclide imaging of phaeochromocytoma and paraganglioma. Eur J Nucl Med Mol <br>Imaging 2012;39:1977-95.</p></li>
<li><p>Chen H, Sippel RS, O‘Dorisio MS et al. The North American Neuroendocrine Tumor Society consensus guideline for the diagnosis and management of neuroendocrine tumors: pheochromocytoma, paraganglioma, and medullary thyroid cancer. Pancreas 2010;39:775-83.</p></li>
<li><p>Pasini B, Stratakis CA. SDH mutations in tumorigenesis and inherited endocrine tumours: lesson from the phaeochromocytoma-paraganglioma syndromes. <br>J Intern Med 2009;266:19-42.</p></li>
<li><p>Burnichon N, Brière J, Libé R et al. SDHA is a tumor suppressor gene causing <br>paraganglioma. Hum Mol Genet 2010;19:3011-20.</p></li>
<li><p>Boedeker CC, Hensen EF, Neumann HP et al. Genetics of hereditary head and neck paragangliomas. Head Neck 2014;36:907-16.</p></li>
<li><p>Neumann HP, Erlic Z, Boedeker CC et al. Clinical predictors for germline mutations in head and neck paraganglioma patients: cost reduction strategy in genetic diagnostic process as fall-out. Cancer Res 2009;69:3650-6.</p></li>
<li><p>Neumann HP, Sullivan M, Winter A et al. Germline mutations of the TMEM127 gene in patients with paraganglioma of head and neck and extraadrenal abdominal sites. J Clin Endocrinol Metab 2011;96:E1279-82.</p></li>
<li><p>Burnichon N, Abermil N, Buffet A et al. The genetics of paragangliomas. Eur Ann Otorhinolaryngol Head Neck Dis 2012;129:315-8.</p></li>
<li><p>Bayley JP, Kunst HP, Cascon A et al. SDHAF2 mutations in familial and sporadic paraganglioma and phaeochromocytoma. Lancet Oncol 2010;11:366-72.</p></li>
<li><p>Hao HX, Khalimonchuk O, Schraders M et al. SDH5, a gene required for flavination of succinate dehydrogenase, is mutated in paraganglioma. Science 2009;325:1139-42.</p></li>
<li><p>Burnichon N, Cascon A, Schiavi F et al. MAX mutations cause hereditary and sporadic pheochromocytoma and paraganglioma. Clin Cancer Res 2012;18:2828-37.</p></li>
<li><p>Drovdlic CM, Myers EN, Peters JA et al. Proportion of heritable paraganglioma cases and associated clinical characteristics. Laryngoscope 2001;111:1822-7.</p></li>
<li><p>Benn DE, Gimenez-Roqueplo AP, Reilly JR et al. Clinical presentation and penetrance of pheochromocytoma/paraganglioma syndromes. J Clin Endocrinol <br>Metab 2006;91:827-36.</p></li>
<li><p>Ricketts CJ, Forman JR, Rattenberry E et al. Tumor risks and genotype-phenotype-proteotype analysis in 358 patients with germline mutations in SDHB and SDHD. Hum Mutat 2010;31:41-51.</p></li>
<li><p>Burnichon N, Rohmer V, Amar L et al. The succinate dehydrogenase genetic <br>testing in a large prospective series of patients with paragangliomas. J Clin <br>Endocrinol Metab 2009;94:2817-27.</p></li>
<li><p>Lee JH, Barich F, Karnell LH et al. National Cancer Data Base report on malignant paragangliomas of the head and neck. Cancer 2002;94:730-7.</p></li>
<li><p>King KS, Chen CC, Alexopoulos DK et al. Functional imaging of SDHx-related head and neck paragangliomas: comparison of 18F-fluorodihydroxyphenylalanine, 18F-fluorodopamine, 18F-fluoro-2-deoxy-D-glucose PET, 123I-metaiodobenzylguanidine scintigraphy, and 111In-pentetreotide scintigraphy. J Clin <br>Endocrinol Metab 2011;96:2779-85.</p></li>
<li><p>Suarez C, Rodrigo JP, Mendenhall WM et al. Carotid body paragangliomas: a systematic study on management with surgery and radiotherapy. Eur Arch <br>Otorhinolaryngol 2014;271:23-34.</p></li>
</ol>

Woodwing Id
42317
Fil
Conflict of interest
English title
Head and neck paragangliomas
English summary

Head and neck paragangliomas (HNPGs) are rare tumours of neural crest origin that are benign in the majority of cases. In this article HNPGs are outlined with emphasis on genetic predisposition, diagnostics and counselling. The literature on HNPGs identified using PubMed is reviewed. Several susceptibility genes have been identified and hereditary mutations are detectable in 30% of the patients with HNPGs. Genetic analyses, guided by the family history and clinical findings, should be offered to all patients with HNPGs and at risk relatives.

Authors workplaces

1) Øre-næse-hals-afdeling H, Aarhus Universitetshospital
2) Klinisk Genetisk Afdeling og Institut for Biomedicin, Aarhus Universitetshospital

Ugeskr Læger 2014;176:V12130724

Bib ref
Ugeskr Læger 2014;176:V12130724
Article number
V12130724
Authors

Signe Bergliot Nielsen1, Lone Sunde2 & Troels Bundgaard1

0 likes