Medlem i

13 years 1 month
Indholdselementer

Pituitær apopleksi er en sjælden og potentielt livstruende tilstand forårsaget af blødning eller infarcering
i hypofysen. Pituitær apopleksi kan være første tegn på hypofysetumorer, og klassiske symptomer er tordenskraldshovedpine, synstab og oftalmoplegi – hertil kommer varierende grader af hypofyseinsufficiens.

SYGEHISTORIE

En tidligere rask 25-årig mand vågnede med intens bifrontal hovedpine, kvalme, opkastning og fotofobi. Trods smertestillende behandling forværredes hovedpinen, hvorfor han blev indlagt på akutmodtagelsen på mistanke om migræne subsidiært intrakranial blødning.

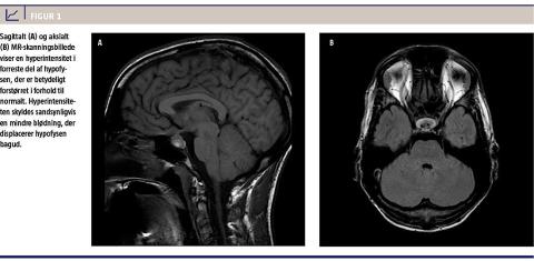
Somatisk og neurologisk undersøgelse ved indlæggelsen viste normale forhold. Hovedpinen viste sig at være refraktær for gængse analgetika. Blodprøvescreening, CT af cerebrum og lumbalpunktur inkl. undersøgelse for xantokromi viste ligeledes normale forhold. Patienten blev overflyttet til en neurologisk afdeling, hvor man ved MR-skanning af cerebrum påviste en mindre hyperintensitet i hypofysen (Figur 1) – denne tolkedes som fedtaflejring, evt. en mindre blødning eller infarcering. MR-angiografi viste normale intrakraniale kar. Efter én uges indlæggelse blev patienten udskrevet i habitualtilstand til kontrolskanning tre måneder senere.

Sidebar placering
Venstrestillet
Billede
Sidebar placering
Venstrestillet

Fjorten dage senere henvendte patienten sig hos egen læge med træthed, svimmelhed og impotens samt hyppig vandladning med kvittering af store mængder klar urin og et stort væskeindtag. Somatisk fandt man hypotension og partielt venstresidigt Horners syndrom med miosis og ptose, hvorfor han blev indlagt på akutmodtagelsen på mistanke om hypopituitarisme udløst af pituitær apopleksi.

Biokemisk påvistes kortisolmangel med en plasmaværdi på < 6 nmol/l med stigning til 22 nmol/l, efter at der var blevet udført en synactentest; niveauet af P-adrenokortikotropt hormon var < 5 pmol/l. Herudover fandt man niveauer af P-thyroideastimulerende hormon på < 0,01 mIE/l, P-T4 på 10,6 pmol/l og p-T3 på 6,1 pmol/l. P-værdierne for luteiniserende hormon og follikelstimulerende hormon var normale, mens der blev fundet hypoprolaktinæmi (P-prolaktinniveau på 26 mIE/l). Elektrolytstatussen var bemærkelsesværdig upåvirket med såvel natrium- som kaliumniveau i normalområdet.

Symptomerne bedredes efter påbegyndelse af behandling med hydrokortison og desmopressin; sidenhen suppleredes der med levothyroxin og somatropin. Patienten blev efterfølgende kontrolleret på en endokrinologisk afdeling og blev fulgt med blodprøvekontroller og serielle MR-skanninger.

DISKUSSION

Patienten i sygehistorien har sandsynligvis haft en pituitær apopleksi med blødning eller infarcering i et ikkehormonproducerende hypofyseadenom og efterfølgende hypopituitarisme som følge af delvis destruktion af hypofysen.

Den kliniske manifestation af pituitær apopleksi er forskelligartet; oftest ses svær frontal eller retrobulbær hovedpine, synstab og ekstern oftalmoplegi ledsaget af kvalme og opkastninger – hertil kommer varierende grader af hypopituitarisme [1-5]. Kombination af hovedpine og oftalmoplegi bør medføre screening for pituitær apopleksi (Tabel 1).

Sidebar placering
Venstrestillet
Billede
Sidebar placering
Venstrestillet

Hovedpine, kvalme og opkastninger antages at skyldes stræk af meningeale mekanoreceptorer som følge af ekspanderende blødning eller infarktødem; ledsagesymptomerne afhænger af ekspansionsretningen [1, 3].

Ekspansion superiort med kompression af tractus opticus, chiasma opticum eller n. opticus resulterer i synsfeltsudfald og kræver prompte neurokirurgisk dekompression, hvis synet skal bevares [1-4]. Lateral ekspansion i sinus cavernosus medfører kranienerveudfald; almindeligvis eksterne oftalmoplegier pga. kompression af n. oculomotorius, n. trochlearis og/eller n. abducens – herudover ses ansigtsparæstesier eller trigeminusneuralgier ved kompression af n. trigeminus [1].

Patienten havde et partielt venstresidigt Horners syndrom, der formentlig skyldtes trykpåvirkning af det sympatiske nervepleksus omkring a. carotis interna i sinus cavernosus, idet øjenbevægeligheden var normal [1, 3, 5].

Endokrinologiske komplikationer er hyppige og skyldes overvejende svigtende hormonproduktion i adenohypofysen [1, 3]. Tilstanden er ikke statisk; hel eller delvis remission er beskrevet hos mere end halvdelen af patienterne – op til 80% vil dog have behov for hormonsubstitution [1-4].

Bortfald af produktionen af adrenokortikotropt hormon, der resulterer i hypokortisolæmi, kan give anledning til Addisonkriser, hvis tilstanden ikke tidligt erkendes og behandles [1, 2, 4]. Hypogonado-
trop hypogonadisme ses ved mangel på follikelstimulerende hormon og luteiniserende hormon, mens mangel på thyroideastimulerende hormon følges af hypotyroidisme, der ligeledes kan være behandlingskrævende [1, 2].

Neurohypofysens hormonfrigørelse er sjældent påvirket [1]. Dette var dog tilfældet hos sygehistoriens patient, der havde fået diabetes insipidus som følge af svigtende vasopressinfrigørelse formentlig pga. posterior displacering af hypofysen med kinkning af hypofysestilken.

Korrespondance: Søren Bruno Elmgreen, Neurofysiologisk Afdeling,
Aarhus Universitetshospital, Nørrebrogade 44, 8000 Aarhus C.
E-mail: brunonus@dadlnet.dk

Antaget: 30. maj 2013

Publiceret på Ugeskriftet.dk:

Interessekonflikter: Forfatterens ICMJE-formular er tilgængelig sammen med artiklen på Ugeskriftet.dk

Sidebar placering
Venstrestillet
Article type
Journal
Magazine
Section
References

<h2>
<h2>LITTERATUR</h2>
<ol type="d">
<li><p>Reid RL, Quigley ME, Yen SSC. Pituitary apoplexy. Arch Neurol 1985;42:712-9.</p></li>
<li><p>Randeva HS, Schoebel J, Byrne J et al. Classical pituitary apoplexy: clinical features, management and outcome. Clin Endocrinol 1999;51:181-8.</p></li>
<li><p>Murad-Kejbou S, Eggenberger E. Pituitary apoplexy: evaluation, management, and prognosis. Curr Opin Ophthalmol 2009;20:456-61.</p></li>
<li><p>Dodick DW, Wijdicks EFM. Pituitary apoplexy presenting as a thunderclap headache. Neurology 1998;50:1510-1.</p></li>
<li><p>Shin RK, Cucchiara BL, Liebskind DS et al. Pituitary apoplexy causing optic neuropathy and Horner syndrome without ophthalmoplegia. J Neuro-Ophthalmol 2003;23:208-10.</p></li>
</ol>
</h2>

Woodwing Id
48741
Fil
Conflict of interest
English title
A rare case of Horner&lsquo;s syndrome in pituitary apoplexy
English summary

Pituitary apoplexy is a rare but potentially life-threatening condition that is classically comprised of acute-onset severe headache accompanied by nausea and vomiting, visual field disturbances, external ophthalmoplegia, and often hypopituitarism. A case illustrating the highly variable clinical appearance of this condition is presented.

Authors workplaces

Neurofysiologisk Afdeling, Aarhus Universitetshospital

Ugeskr Læger 2015;177:V03130209

Bib ref
Ugeskr Læger 2015;177:V03130209
Article number
V03130209
Authors

Søren Bruno Elmgreen

0 likes