Medlem i

12 years 10 months
Indholdselementer

Brystsmerter og mistanke om iskæmisk hjertesygdom (IHS) fylder meget på de danske hjerteafdelinger og akutmodtagelser. Ofte bliver der efter udelukkelse af akut sygdom ønsket en ambulant udredning pga. risikofaktorer og uafklarede symptomer. IHS er hyppigst forårsaget af koronar aterosklerose, der kan føre til stenose med kompromitteret myokardieperfusion. Disse stenoser kan visualiseres direkte ved hjerte-CT, som i løbet af de seneste ti år har vundet indpas som den foretrukne metode til udredning for kronisk IHS, ligesom der er tilkommet en lang række nye indikationer. I artiklen gennemgås udvikling og klinisk brug af hjerte-CT i Danmark.

Sidebar placering
Venstrestillet
Hovedbudskaber
  • Hjerte-CT er blevet den hyppigst anvendte billeddiagnostiske undersøgelse ved uafklarede brystsmerter/åndenød.

  • Patientens prognose er god ved normal hjerte-CT.

  • Teknologisk udvikling og kliniske studier har ført til, at hjerte-CT anvendes på et stigende antal indikationer.

Ombryd tekst
0
Brødtekst
  • Hjerte-CT er blevet den hyppigst anvendte billeddiagnostiske undersøgelse ved uafklarede brystsmerter/åndenød.

  • Patientens prognose er god ved normal hjerte-CT.

  • Teknologisk udvikling og kliniske studier har ført til, at hjerte-CT anvendes på et stigende antal indikationer.

UDVIKLING AF HJERTE-CT

De første CT-kontrastskanninger af koronararterier blev lavet før årtusindskiftet [1], og i årene herefter fandt man i videnskabelige studier god overensstemmelse mellem koronar aterosklerose bestemt ved multidetektor-hjerte-CT og invasiv koronarangiografi (KAG). I Danmark klassificerede Sundhedsstyrelsen i 2006 hjerte-CT som en udviklingsfunktion [2]. Denne klassifikation indikerede, at væsentlige forhold for hjerte-CT’s anvendelsesområde endnu ikke var fuldstændigt afklarede – bl.a. indikationer, forudsætninger, organisering m.m. Udviklingsfunktionen var underlagt krav om rapportering af kvalitetsdata i form af stråledosis, antal undersøgelser, bivirkninger og skanningsresultater til Sundhedsstyrelsen for at sikre ensartet kvalitet. CT blev dengang oftest udført på 64-slice-skannere, hvor CT-detektorerne roterede flere gange rundt om patienten i en spiral, før undersøgelsen var gennemført. Pga. den begrænsede tidsopløsning var billedartefakter relativt hyppige, hvilket kunne gøre det svært at tolke skanningerne. Hastig teknologisk udvikling gjorde det muligt at dække hele hjertet ved en enkelt rotation [3], ligesom efterbehandlingen af CT-billederne – såkaldt billedrekonstruktion – også er blevet væsentligt mere avanceret, hvilket medvirker til markant bedre billedkvalitet. Disse og andre teknologiske fremskridt var med til at reducere stråledosis væsentligt, og PROTECTION-studiet viste, at stråledosis blev reduceret til ca. en fjerdedel fra 2007 til 2017 [4, 5].

Hjerte-CT vandt således hurtigt indpas i Danmark til udredning af patienter med formodet stabil angina pectoris, hvilket i mange år var den eneste indikation. I perioden 2011-2016 skete der en tredobling af antallet af hjerte-CT’er i Danmark (Figur 1), alt imens anvendelsen af myokardiescintigrafi og specielt arbejds-ekg tilsvarende aftog [6]. Årsagen til det øgede antal skanninger var endvidere at finde i fordelene ved hjerte-CT frem for de nævnte traditionelle metoder; man kunne nu visualisere den koronare aterosklerose, og koronararterierne kunne bedømmes mht. anatomisk stenosegrad analogt med KAG. Videnskabelige arbejder bl.a. fra Danmark viste, at hjerte-CT gav bedre resultater end arbejds-ekg, myokardiescintigrafi og hjerte-MR-skanning, ikke mindst mht. højere negativ prædiktiv værdi [7-11].

Sidebar placering
Venstrestillet
Billede
Sidebar placering
Venstrestillet

HJERTE-CT-OPTAGELSEN

Forud for skanningen tages der stilling til eventuelle kontraindikationer som kontrastallergi, nedsat nyrefunktion og graviditet samt til valg af optimal skanneprotokol i forhold til indikation og brug af medicin, der reducerer pulsen (oftest betablokker) for at optimere billedkvaliteten. Mhp. udvidelse af koronararterierne gives der sublingval nitroglycerinspray umiddelbart før proceduren. Der laves oftest både en nonkontrastskanning og en skanning med intravenøst givet jodholdig kontrastvæske. Typisk skannes 2-3 patienter pr. time. De hyppigste bivirkninger er kortvarig varmefornemmelse, svimmelhed eller kvalme. Billedrekonstruktionen varetages af en radiograf og tager få minutter. Hjertets struktur, klapper og koronararterier beskrives af en kardiolog, og ekstrakardielle forhold, herunder medskannede lungesegmenter, beskrives af en radiolog. Patienten informeres enten mundtligt af kardiologen om kardielle fund umiddelbart efter undersøgelsen eller skriftligt i løbet af nogle dage til få uger med samtidig stillingtagen til diagnostiske og behandlingsmæssige tiltag.

Kvaliteten af hjerte-CT-billederne afhænger af veluddannet personale og korrekt visitation baseret på symptomer, risikofaktorer og tidligere testresultater samt de ovenfor beskrevne relative kontraindikationer og forhold som arytmi, svær overvægt og manglende evne til kooperation [12]. Ved meget høj grad af forkalkning reduceres specificiteten for eksakt vurdering af stenosegrad.

KLINISK BRUG

Sidebar placering
Venstrestillet
Billede
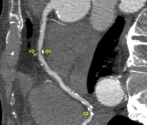
Den primære indikation for hjerte-CT er evaluering af koronare stenoser (mellem de øverste pile) forårsaget af åreforkalkning. Her ses både kalcificerede (hvide, nederste pil), ikkekalcificerede (mørke, venstre øverste pil) og blandede (højre venstre pil) plaques. Denne patient blev henvist direkte til invasiv koronarangiografi og blev revaskulariseret.
Caption
Den primære indikation for hjerte-CT er evaluering af koronare stenoser (mellem de øverste pile) forårsaget af åreforkalkning. Her ses både kalcificerede (hvide, nederste pil), ikkekalcificerede (mørke, venstre øverste pil) og blandede (højre venstre pil) plaques. Denne patient blev henvist direkte til invasiv koronarangiografi og blev revaskulariseret.
Sidebar placering
Venstrestillet

Hjerte-CT er i Dansk Cardiologisk Selskabs nationale behandlingsvejledning 2020 og European Society of Cardiology’s guidelines on chronic coronary syndromes 2019 anbefalet til udredning af patienter med formodet stabil angina pectoris [13-15] og er i Danmark blevet den hyppigst anvendte metode. Mere end 80% af patienterne afklares ved hjerte-CT uden behov for yderligere undersøgelser. Hvis man ved hjerte-CT får mistanke om obstruktiv stenose, kan patienten enten sendes direkte til KAG, eller man kan lave supplerende funktionsundersøgelse med positronemissionstomografi (PET), single photon-emissions-CT (SPECT) eller MR-skanning. Supplerende CT-baseret funktionsundersøgelse (FFRCT) ved mistanke om betydende stenoser synes også at kunne medvirke til at øge revaskulariseringsraten ved efterfølgende KAG [16-20]. Metoden anvendes på flere danske hospitaler, men er relativt bekostelig. Arbejds-ekg er ikke længere anbefalet som led i udredningen for kronisk IHS i Danmark.

Anbefalingerne er begrundet i, at hjerte-CT har en høj negativ prædiktiv værdi og dermed giver stor sikkerhed for, at patienter med obstruktive koronare stenoser ikke overses, samt at man med hjerte-CT kan visualisere koronar aterosklerose direkte. På baggrund heraf kan man iværksætte medicinsk behandling hos patienter med nonobstruktiv koronararteriesygdom [21] og supplere med perfusionsundersøgelse eller FFRCT eller henvise patienter med høj mistanke om obstruktive stenoser, direkte til KAG mhp. stillingtagen til revaskularisering [12, 14]. Ved aterosklerose uden signifikante stenoser ordineres statin samt eventuelt acetylsalicylsyre og antianginøs behandling. Som led i undersøgelsen analyseres også de medskannede ekstrakardielle strukturer. Det kan føre til fund, der giver behov for yderligere diagnostisk udredning, og som i nogle tilfælde kan vise sig at være alvorlige, f.eks. lungekræft.

Udredning baseret på hjerte-CT understøttes af et omfattende randomiseret studie (SCOT-HEART), hvor man påviste, at hjerte-CT sammenlignet med standardudredning alene var hurtigere til afklaring af korrekt diagnose mhp. videreudredning og medicinsk behandling [22] og førte til lavere rater af myokardieinfarkter og kardiovaskulær mortalitet [23]. Resultaterne førte til, at hjerte-CT i de engelske NICE-guidelines blev indført som førstevalg ved udredning af stabil angina pectoris [15]. SCOT-HEART-studiet viste imidlertid også, at antallet af opfølgende KAG-undersøgelser ikke blev signifikant reduceret i gruppen, som fik udført hjerte-CT. Tilsvarende har man i Danmark set et relativt beskedent fald i antallet af KAG-procedurer blandt patienter med stabil angina pectoris (17% reduktion fra 2008 til 2017). I samme periode er revaskulariseringsraten blandt patienter, der er henvist til KAG efter hjerte-CT, steget fra 40% til 44% (Vestdansk Hjertedatabase). Tidligere studier har vist, at hjerte-CT uden koronarsygdom er forbundet med en meget god prognose [24]. Hjerte-CT har siden 2014 været en hovedfunktion på de danske hospitaler. I Danmark udfører man hjerte-CT på 22 centre. Dansk Cardiologisk Selskab har i samarbejde med Sundhedsstyrelsen vedtaget indikatorer, der bl.a. har til formål at optimere praksis for henvisning af patienter til hjerte-CT og videre til invasiv undersøgelse. Som for andre billeddiagnostiske undersøgelser afhænger hjerte-CT’s negative og positive prædiktive værdi i høj grad af sygdomsprævalensen blandt de henviste patienter. Kvalitetsindikatorerne indgår i bestræbelser på at opnå en højere og mere homogen kvalitet i anvendelsen af hjerte-CT på tværs af regionerne.

BEGRÆNSNINGER

Specificiteten ved hjerte-CT er kun moderat god, hvilket vil sige, at koronararteriesygdom kan blive overvurderet ved hjerte-CT i forhold til KAG. Dette er ud over den lavere rumlige opløsning for CT end for KAG primært begrundet i billedartefakter. Høj og specielt uregelmæssig puls/ekstrasystoler kan skabe bevægelsesartefakter, og forkalkninger kan forårsage såkaldte bloomingartefakter, hvor forkalkede plaques fremstår større, end de er [25]. En yderligere begrænsning er, at man med CT ikke kan detektere småkarsygdom, som kræver en vurdering af den absolutte perfusion. Hjerte-CT er en sikker undersøgelsesmodalitet, og der er kun få risici ved metoden: ioniserende stråling (denne er dog nu lavere end ved KAG) [4], kontrasten kan løbe subkutant, og der kan opstå bivirkninger som beskrevet ovenfor eller regulær allergisk kontrastreaktion.

ANDRE INDIKATIONER

Hjerte-CT kan også anvendes hos patienter med akut opståede brystsmerter, efter at akut myokardieinfarkt er afkræftet, ved uafklaret hjertesvigt og forud for hjerteklapkirurgi. Undersøgelsen anbefales ikke som screeningstest hos asymptomatiske patienter og heller ikke hos patienter med kendt IHS og tidligere revaskularisering. Hjerte-CT kan dog anvendes ved mistanke om graftlukning hos bypassopererede patienter.

Den primære indikation for hjerte-CT er fortsat noninvasiv evaluering af koronararterierne, og der blev i 2016 udført lidt over 13.000 hjerte-CT’er på indikationen uafklarede brystsmerter/åndenød, hvilket er knap to tredjedele af alle hjerte-CT’er i Danmark. Udover denne primære indikation er der med den teknologiske og kliniske udvikling tilkommet et stigende antal kliniske situationer, hvor hjerte-CT kan bibringe vigtig information (Tabel 1 og Figur 2). Ved invasiv koronarangiografi visualiserer man alene lumen af koronararterierne, hvorimod man med hjerte-CT visualiserer hele hjertets morfologi, hvilket giver mulighed for at evaluere bl.a. plaquekarakteristika [26], kammerstørrelser [27], aorta, aortaklapkalcifikation og funktionelle mål. Hjerte-CT anvendes også i stigende omfang ved endokarditis og som præprocedureevaluering af medfødt hjertesygdom, stentklapimplantation, aurikellukning, ablation, pacemakerelektrodeekstraktion, ved mistanke om koronare anomalier og til postprocedureevaluering bl.a. efter aurikellukning eller indsættelse af en stentklap.

Sidebar placering
Venstrestillet
Billede
Sidebar placering
Venstrestillet
Sidebar placering
Venstrestillet
Billede
Sidebar placering
Venstrestillet

FREMTIDSASPEKTER

Der er udviklet nye værktøjer til at forbedre vurderingen af stenoser ved hjerte-CT (den positive prædiktive værdi). Ud over ovennævnte FFRCT, der karakteriserer koronart flow og anvendes flere steder i Danmark, drejer det sig bl.a. om CT-myokardieperfusionundersøgelse. I et nyligt publiceret randomiseret studie påviste man, at tillæg af en CT-perfusionsundersøgelse reducerede antallet af KAG-undersøgelser og koronare interventioner, uden at antallet af kardiovaskulære hændelser blev øget [28], og dynamisk perfusion testes aktuelt. Hjerte-CT ved non-ST-elevationsinfarkt er for nylig blevet undersøgt og har vist høj negativ prædiktiv værdi [29]. I andre studier undersøger man hjerte-CT udført med meget lave stråledoser og reduceret brug af kontrast. Tekniske fremskridt giver bedre mulighed for at skanne overvægtige og patienter med arytmier. Derudover er der bl.a. forskningsinteresse i potentialet for machine learning ifm. koronarevaluering. Tabel 2 viser nedslag i hjerte-CT’ens historie.

Sidebar placering
Venstrestillet
Billede
Sidebar placering
Venstrestillet

KONKLUSION

Hjerte-CT er gennem det seneste årti blevet etableret i Danmark som den hyppigst anvendte undersøgelse til udredning af stabil angina pectoris og identifikation af patienter, som bør undersøges invasivt mhp. koronar revaskularisering, bl.a. fordi hjerte-CT er noninvasiv og har høj sensitivitet og høj negativ prædiktiv værdi. I både danske og internationale guidelines anbefales hjerte-CT som førstevalg til udredning af hovedparten af patienter, som har stabil angina pectoris og ikke har kendt IHS. Da man med hjerte-CT kan visualisere hele hjertets anatomi, er indikationerne de senere år blevet udvidet til at inkludere bl.a. medfødt hjertesygdom og klapsygdom. Hjerte-CT anvendes også tiltagende hyppigt før og efter invasive kardielle procedurer. Forbedret billedkvalitet, reduceret stråledosis og et højt antal veludførte videnskabelige studier har banet vejen for denne udvikling og etableringen af hjerte-CT i Danmark.



KORRESPONDANCE: Erik Lerkevang Grove. E-mail: erikgrove@dadlnet.dk
ANTAGET: 18. august 2020
PUBLICERET PÅ UGESKRIFTET.DK: 21. september 2020
INTERESSEKONFLIKTER: Forfatternes ICMJE-formularer er tilgængelige sammen med artiklen på Ugeskriftet.dk
LITTERATUR: Findes i artiklen publiceret på Ugeskriftet.dk

Sidebar placering
Venstrestillet
Article type
Journal
Magazine
Section
References

Litteratur

  1. Agatston AS, Janowitz WR, Hildner FJ et al. Quantification of coronary artery calcium using ultrafast computed tomography. J Am Coll Cardiol 1990;15:827-32.

  2. DCS-Cardiac-Imaging-Arbejdsgruppen. National Rapport: Udviklingsfunktion Hjerte CT. Sundhedsstyrelsen, 2013.

  3. Nicol ED, Norgaard BL, Blanke P et al. The future of cardiovascular computed tomography: advanced analytics and clinical insights. JACC Cardiovasc Imaging 2019;12:1058-72.

  4. Stocker TJ, Deseive S, Leipsic J et al. Reduction in radiation exposure in cardiovascular computed tomography imaging: results from the PROspective multicenter registry on radiation dose estimates of cardiac CT angiography in daily practice in 2017 (PROTECTION VI). Eur Heart J 2018;39:3715-23.

  5. Stocker TJ, Leipsic J, Hadamitzky M et al. Application of low tube potentials in CCTA: results from The PROTECTION VI Study. JACC Cardiovasc Imaging 2020;13:425-34.

  6. von Kappelgaard LM, Toftlund SA, Davidsen M et al. Dansk Hjerteregister – Årsberetning 2017. Dansk Hjerteregister, 2017.

  7. Ovrehus KA, Jensen JK, Mickley HF et al. Comparison of usefulness of exercise testing versus coronary computed tomographic angiography for evaluation of patients suspected of having coronary artery disease. Am J Cardiol 2010;105:773-9.

  8. Douglas PS, Hoffmann U, Patel MR et al. Outcomes of anatomical versus functional testing for coronary artery disease. N Engl J Med 2015;372:1291-300.

  9. Linde JJ, Hove JD, Sørgaard M et al. Long-term clinical impact of coronary CT angiography in patients with recent acute-onset chest pain: the randomized controlled CATCH trial. JACC Cardiovasc Imaging 2015;8:1404-13.

  10. Sand NPR, Veien KT, Nielsen SS et al. Prospective comparison of FFR derived from coronary CT angiography with SPECT perfusion imaging in stable coronary artery disease: The ReASSESS study. JACC Cardiovasc Imaging 2018;11:1640-50.

  11. Nissen L, Winther S, Westra J et al. Diagnosing coronary artery disease after a positive coronary computed tomography angiography: the Dan-NICAD open label, parallel, head to head, randomized controlled diagnostic accuracy trial of cardiovascular magnetic resonance and myocardial perfusion scintigraphy. Eur Heart J Cardiovasc Imaging 2018;19:369-77.

  12. Abdulla J, Bøttcher M, DeKnegt M et al. Hjerte-CT – et holdningspapir fra Dansk Cardiologisk Selskab. Dansk Cardiolologisk Selskab, 2017:1-7.

  13. Knuuti J, Wijns W, Saraste A et al. 2019 ESC Guidelines for the diagnosis and management of chronic coronary syndromes. Eur Heart J 2020;41:407-77.

  14. Fuchs A, Aagaard C, Grove EL et al. Dansk Cardiologisk Selskabs Nationale Behandlingsvejledning: kap. 3, stabil iskæmisk hjertesygdom. www.nbv.cardio.dk/ihs 2020 (4. jun 2020).

  15. Moss AJ, Williams MC, Newby DE et al. The updated NICE guidelines: cardiac CT as the first-line test for coronary artery disease. Curr Cardiovasc Imaging Rep 2017;10:15.

  16. Jensen JM, Bøtker HE, Mathiassen ON et al. Computed tomography derived fractional flow reserve testing in stable patients with typical angina pectoris: influence on downstream rate of invasive coronary angiography. Eur Heart J Cardiovasc Imaging 2018;19:405-14.

  17. Norgaard BL, Leipsic J, Gaur S et al. Diagnostic performance of noninvasive fractional flow reserve derived from coronary computed tomography angiography in suspected coronary artery disease: the NXT trial (analysis of coronary blood flow using CT angiography: next steps). J Am Coll Cardiol 2014;63:1145-55.

  18. Douglas PS, Pontone G, Hlatky MA et al. Clinical outcomes of fractional flow reserve by computed tomographic angiography-guided diagnostic strategies vs. usual care in patients with suspected coronary artery disease: the prospective longitudinal trial of FFR(CT): outcome and resource impacts study. Eur Heart J 2015;36:3359-67.

  19. Nørgaard BL, Terkelsen CJ, Mathiassen ON et al. Coronary CT angiographic and flow reserve-guided management of patients with stable ischemic heart disease. J Am Coll Cardiol 2018;72:2123-34.

  20. Norgaard BL, Gormsen LC, Botker HE et al. Myocardial perfusion imaging versus computed tomography angiography-derived fractional flow reserve testing in stable patients with intermediate-range coronary lesions: influence on downstream diagnostic workflows and invasive angiography findings. J Am Heart Assoc 2017;6:e005587.

  21. Chow BJ, Small G, Yam Y et al. Prognostic and therapeutic implications of statin and aspirin therapy in individuals with nonobstructive coronary artery disease: results from the CONFIRM (COronary CT Angiography EvaluatioN For Clinical Outcomes: An InteRnational Multicenter registry) registry. Arterioscler Thromb Vasc Biol 2015;35:981-9.

  22. SCOT-HEART investigators. CT coronary angiography in patients with suspected angina due to coronary heart disease (SCOT-HEART): an open-label, parallel-group, multicentre trial. Lancet 2015;385:2383-91.

  23. SCOT-HEART investigators, Newby DE, Adamson PD et al. Coronary CT angiography and 5-year risk of myocardial infarction. N Engl J Med 2018;379:924-33.

  24. Kristensen TS, Kofoed KF, Kuhl JT et al. Prognostic implications of nonobstructive coronary plaques in patients with non-ST-segment elevation myocardial infarction: a multidetector computed tomography study. J Am Coll Cardiol 2011;58:502-9.

  25. Arbab-Zadeh A. What will it take to retire invasive coronary angiography? JACC Cardiovasc Imaging 2016;9:565-7.

  26. de Knegt MC, Linde JJ, Fuchs A et al. Relationship between patient presentation and morphology of coronary atherosclerosis by quantitative multidetector computed tomography. Eur Heart J Cardiovasc Imaging 2019;20:1221-30.

  27. Fuchs A, Mejdahl MR, Kuhl JT et al. Normal values of left ventricular mass and cardiac chamber volumes assessed by 320-detector computed tomography angiography in the Copenhagen General Population Study. Eur Heart J Cardiovasc Imaging 2016;17:1009-17.

  28. Sørgaard MH, Linde JJ, Kuhl JT et al. Value of myocardial perfusion assessment with coronary computed tomography angiography in patients with recent acute-onset chest pain. JACC Cardiovasc Imaging 2018;11:1611-21.

  29. Linde JJ, Kelbæk H, Hansen TF et al. Coronary CT angiography in patients with non-ST-segment elevation acute coronary syndrome. J Am Coll Cardiol 2020;75:453-63.

Woodwing Id
30213
Fil
Conflict of interest
English title
Cardiac CT
English summary

Andreas Fuchs, Morten Bøttcher, Lone Deibjerg Kristensen, Jesper James Linde, Christina Byrne, Tomas Zaremba & Erik Lerkevang Grove

Ugeskr Læger 2020;182:V12190679

Cardiac CT has become a frequently used diagnostic modality in Denmark, especially for the evaluation of coronary artery disease indicated by angina pectoris/dyspnoea. Indications have recently expanded to include evaluation of valvular heart disease, pre- and post-procedural evaluation related to several invasive procedures as well as some congenital and pediatric cardiac conditions. As described in this review, improved image quality and reduced radiation, owing to technological advances as well as a high number of well-performed scientific studies, have paved the way for this development.

Authors workplaces

1) Hjertecenteret, Rigshospitalet, 2) Hjertemedicinsk Afdeling, Nordsjællands Hospital, Hillerød, 3) Hjertesygdomme, Herning Sygehus, 4) Kardiologisk Afdeling, Sydvestjysk Sygehus, Esbjerg, 5) Hjertemedicinsk Klinik, Center for Hjerte-, Kar-, Lunge- og Infektionssygdomme, Rigshospitalet, 6) Kardiologisk Afdeling, Bispebjerg Hospital, 7) Kardiologisk Afdeling, Aalborg Universitetshospital, 8) Hjertesygdomme, Aarhus Universitetshospital, 9) Institut for Klinisk Medicin, Health, Aarhus Universitet

Ugeskr Læger 2020;182:V12190679

Bib ref
UgeskrLæger2020;182:V12190679
Article number
V12190679
Authors

Andreas Fuchs1, 2, Morten Bøttcher3, Lone Deibjerg Kristensen4, Jesper James Linde5, Christina Byrne6, Tomas Zaremba7 & Erik Lerkevang Grove8, 9

0 likes