Medlem i

12 years 10 months
Indholdselementer
Billede
Sidebar placering
Venstrestillet

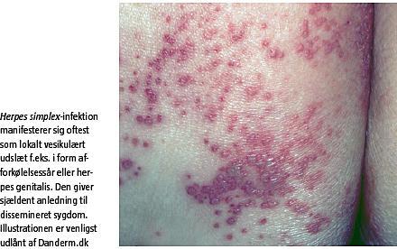
Infektion med herpes simplex-virus (HSV) giver ofte anledning til recidiverende udbrud af smertefulde vesikler på slimhinderne i munden/svælget eller på de ydre genitalier. Der findes to typer HSV: type 1, der oftest angriber mundslimhinden, og type 2, der oftest forårsager udbrud på kønsorganerne. Hos immunsupprimerede patienter kan HSV-infektion udvikle sig til dissemineret sygdom med høj mortalitet [1].

I denne kasuistik beskrives en tidligere rask kvinde på 27 år, som blev indlagt på en gynækologisk afdeling med akut abdomen. Det blev senere påvist, at det drejede sig om HSV-type 2-infektion intraperitonealt.

SYGEHISTORIE

En 27-årig kvinde, der var rask, bortset fra astma, blev henvist fra egen læge til gynækologisk afdeling pga. en uges anamnese med underlivssmerter, der især var lokaliseret i højre side. Smerterne var konstante og tiltagende, og patienten havde mest lindring ved at ligge stille i sengen med bøjede ben. Hun havde kvalme, men normal vandladning og afføring.

Hun var appendektomeret, havde haft en normal graviditet og fødsel fire år før og havde tidligere haft celleforandringer på cervix uteri. Tre uger før henvendelsen var hun ophørt med at tage p-piller.

Objektivt var hun moderat smertepåvirket, men afebril. Der blev foretaget en gynækologisk undersøgelse, og det blev konstateret, at der intet unormal var ved vulva, vagina eller portio. Ved vaginal eksploration var der ømhed især i højre side.

En vaginal ultralydskanning viste en normal uterus med smalt endometrium, venstre ovarium var normalt, højre ovarium var polycystisk og ømt. Der var normalt Doppler-flow fra begge ovarier. Der blev fundet ca. 5 cm fri væske.

Der var negativ graviditetstest. Urindyrkning viste ingen signifikant bakterievækst i øvrigt. Der forelå negative podninger for Chlamydia og Neisseria gonorrhoeae.

Patienten blev indlagt til observation. Man overvejede at foretage diagnostisk laparoskopi, men foretog den ikke. Efter et døgn blev patienten udskrevet til ambulant opfølgning to dage senere.

Ved kontrollen var hun uændret plaget af underlivssmerter og kvalme. Objektivt fandtes uændrede forhold. Der blev ikke foretaget gynækologisk undersøgelse ved denne kontrol. På mistanke om adnextorsion besluttede man at foretage diagnostisk laparoskopi.

Før laparoskopien blev der anbragt en manipulator på uterus, og man fandt udpræget herpeslignende udbrud på cervix uteri.

Ved laparoskopien sås flere vesikler med klart indhold på blæreperitoneum, men der var ingen oplagt inflammation omkring vesiklerne. På mistanke om frisk endometriose eller infektion blev der taget prøver fra vesiklerne til undersøgelse for herpes simplex,Mycoplasma og histologi.

I abdomen i øvrigt fandtes normale forhold.

Patienten blev udskrevet dagen efter med diagnosen herpes genitalis. Pga. det langvarige udbrud fandt man ikke indikation for behandling med aciclovir.

En uge postoperativt forelå svaret fra mikrobiologerne. Vesikelbiopsierne var fundet positive for HSV-2.

DISKUSSION

HSV er store DNA-vira, som oftest smitter over mukoepiteliale overflader. Virus forårsager lokal lytisk infektion og inflammation med vesikulære læsioner, f.eks. forkølelsessår. HSV gemmer sig latent i neuroner, og recidiverende HSV-udbrud ses ved f.eks. stress, graviditet eller immunsuppression. Et intakt cellulært immunrespons er en forudsætning for at kunne bekæmpe sygdommen.

Ved genital herpes-udbrud har ca. 14% af personerne let forhøjede niveauer af leverenzymer [2].

Ud over forholdsvist benigne udtryksformer kan HSV forårsage dissemineret sygdom f.eks. hepatitis eller encefalitis. Dette ses oftest hos immunsupprimerede personer, gravide eller nyfødte, men også immunkompetente kan blive ramt af svær HSV-sygdom.

I litteraturen er der beskrevet 137 tilfælde af akut leversvigt pga. HSV, og af disse var ca. 24% af personerne immunkompetente. Det er uvist, hvorfor nogle raske mennesker pludselig bliver ramt af svær HSV-sygdom. Man formoder, at det kan dreje sig om en ukendt defekt i det cellulære immunrespons eller specielt virulente HSV-stammer.

Dissemineret HSV-infektion er svær at diagnosticere, og mindre end 50% af patienterne har hudlæ-sioner. Prognosen for dissemineret sygdom er alvorlig med en dødelighed på op til 50%.

Diagnosen nås med påvisning af virus-DNA i serum eller vævsbiopsier vha. polymerasekædereak-tionsteknik sammenholdt med det kliniske billede og øvrige laboratorieundersøgelser. Behandlingen er aciclovir givet intravenøst så hurtigt som muligt, evt. allerede fra det tidspunkt, hvor den kliniske mistanke er rejst [3, 4].

Sygehistorien underbygger, at HSV ikke blot bør overvejes ved karakteristiske vesikulære hudlæsioner, men også bør haves in mente ved bl.a. uafklarede mavesmerter.



KORRESPONDANCE:
Lene Durch Madsen, Gynækologisk/obstetrisk Afdeling Y, Aarhus Universitetshospital, Brendstrupgårdsvej 100, 8200 Aarhus N. E-mail: lduchm@hotmail.com

ANTAGET: 21. juni 2012

FØRST PÅ NETTET: 26. november 2012

INTERESSEKONFLIKTER: Hent PDF

src="/LF/images_ufl/ufl_bla.gif">


  1. Berrington W, Jerome K, Cook L et al. Clinical correlates of he rpes dimplex virus viremia among hospitalized adults. Clin Infect Dis 2009;49:1295-301

  2. Riediger C, Sauer P, Matevossian E et al. Herpes simplex virus sepsis and acute liver failure. Clin Transplant 2009;23:37-41.

  1. Farr R, Short S, Weissman D. Fulminant hepatitis during herpes simplex virus infection in apparently immunocompetent adults. Clin Infect Dis 1997;24:1191-4.

  2. Novell J, Blei A, Jovanovic B et al. Herpes simplex virus hepatitis: an analysis of the published literature and institutional. Liver Transplant 2007;13:1428-34.



Sidebar placering
Venstrestillet
Article type
Journal
Magazine
Section
Woodwing Id
239592
Fil
Conflict of interest
Bib ref
Ugeskr Læger 2013;175(19):1348-1349
Authors

Lene Duch Madsen & Birgitta Trolle Gynækologisk/-obstetrisk Afdeling Y, Aarhus Universitetshospital

0 likes