Medlem i

13 years 1 month
Indholdselementer

Angiosarkom i leveren er en sjælden mesenkymal malign tumor og udgør mindre end 2% af de primære levertumorer. Tilstanden rammer hyppigst midaldrende mænd og er associeret til karcinogener som thorotrast, vinylchlorid og radium, mens hæmokromatose og von Recklinghausens sygdom disponerer til sygdommen. Kurativ behandling er vanskelig, da diagnosen ofte stilles sent [1]. Forskellige former for hepatisk angiosarkom er beskrevet ved UL-skanning, CT, MR-skanning og PET-CT [1-4]. Vi præsenterer her et hepatisk angiosarkom, som er differentialdiagnostisk vanskelig.

SYGEHISTORIE

En 47-årig, storrygende mand henvendte sig hos egen læge med abdominalia og vægttab på 10 kg. Undersøgelser viste hepatomegali, anæmi og let forhøjet basisk fosfatase.

En UL-skanning uden kontrast viste en 24 cm stor, lobuleret tumorproces i venstre leverlap. Tumorprocessen indeholdt anekkoiske, cystiske områder og mere solide områder. Der sås kun få blodkar i tumoren ved en power-Doppler-undersøgelse. Der var ingen tegn på cirrose eller fokale processer i leverpar-enkymet i højre leverlap. Efter at have indgivet i.v. kontrast så man ingen øget opladning i de cystiske komponenter. Enkelte af de solide komponenter viste diskret opladning, dog var sikker udvaskning af kontrast vanskelig at afgøre.

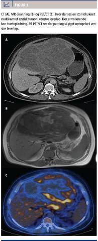
Med henblik på at karakterisere tumoren og visualisere eventuelle ekstrahepatiske fund blev der foretaget standard-CT af thorax og abdomen med i.v. nonionisk kontrast. CT’en viste en multikamret, cystisk, hypodens tumor med diskret opladning i kanten samt forstørrede lymfeknuder i retroperitoneum og porta hepatis. Der var ingen fjernmetastaser.

En flerfaset MR-skanning med 1,5 T-skanner viste en multikamret tumor, der var overvejende cystisk og med septae, men også enkelte solide komponenter. Blandet signal i cysterne tydede på hæmoragi i tumoren. På T1-vægtede billeder havde tumoren lavt signal og på T2-vægtede højt signal. Efter indgift af i.v. kontrast var der stedvist let opladning i kanten og centralt i den tidlige fase, men der var ikke sikker udvaskning i den sene fase.

Ved fluordeoxyglukose-PET-CT var der patologisk øget optagelse mellem de cystiske processer med standardized uptake value maks. 5,7 g/ml og let øget optagelse i enkelte portale lymfeknuder (Figur 1).

Sidebar placering
Venstrestillet
Billede
Sidebar placering
Venstrestillet

Patienten fik foretaget venstresidig hemihepatektomi og kolecystektomi. Patologien viste uregelmæssige øer af maligne celler med uregelmæssige kerner samt proliferation af karlignende strukturer, påvist ved immunhistokemi med immunmarkørerne CD34, CD31 og faktor 8, hvilket var foreneligt med angio-sarkom.

Senere fik patienten gentagne lokalrecidiver og metastasering til knoglerne og var seks et halvt år
efter diagnosen i onkologisk behandling for dette.

DISKUSSION

Det kan være vanskeligt at stille diagnosen ved billeddiagnostik, da hepatisk angiosarkom og atypisk hæm-angiom har visse fælles karakteristika, og bioptering kan være risikabel pga. blødningsrisiko og tumor-seeding.

På UL-skanning med kontrast har hæmangiomer typisk perifer kontrastopladning i den arterielle fase og centripetal kontrastfyldning i den portale/sene fase. Ved hepatisk angiosarkom har man tidligere set perifer kontrastopladning, kaotisk central vaskularisering og fravær af kontrastopladning i den sene fase [2], hvilket muliggør differentiering fra hæmangiom, men hos patienten i sygehistorien viste angiosarkomet ingen kontrastopladning i de cystiske komponenter, mens enkelte af de solide komponenter havde diskret kontrastopladning.

Med MR-skanning kunne man ikke adskille an-giosarkomet fra et atypisk hæmangiom, da den maligne tumor havde lavt signal på T1-vægtede billeder og højt signal på T2-vægtede, hvilket kan ses ved atypiske hæmangiomer, biliære cystadenomer/cystadenokarcinomer og hepatiske angiosarkomer [1]. Størrelsen kunne give mistanke om biliært cystadenom, men der kunne ikke påvises kommunikation med galdevejene, som det kan ses ved biliært cystadenokarcinom. På CT med kontrast er hæmangiomer typisk perifert kontrastopladende og har centripetal fyldning. Dette angiosarkom havde på CT’en cystisk karakter, diskret kontrastopladning og var hypodens. I andre studier har angiosarkomer haft forskellige karakteristiska, både hypodensitet, heterogenitet og perifer kontrastopladning.

Leverspecifik MR-skanning med kontrast og diffusionsvægtet MR-skanning kunne muligvis have hjulpet. Da de kliniske fund ikke tydede på benign proces, blev der foretaget PET-CT. Der foreligger kun sparsom litteratur om brugen af PET-CT på dette område, men undersøgelsen er foreslået som hjælp til denne differentiering [5]. Ved fund af suspekte levertumorer foreslås det, at patienterne henvises til et diagnostisk center.

Korrespondance: Louise Raunkilde, Røntgenafdelingen, Vejle Sygehus, Kabbeltoft 25, 7100 Vejle. E-mail: lraunkilde@gmail.com

Antaget: 19. maj 2014

Publiceret på Ugeskriftet.dk: 18. august 2014

Interessekonflikter: ingen.

Sidebar placering
Venstrestillet
Article type
Journal
Magazine
Section
References

<h2>LITTERATUR</h2>
<ol type="d">
<li><p>Duan XF, Li Q. Primary hepatic angiosarcoma: a retrospective analysis of 6 cases. J Dig Dis 2012;13:381-5.</p></li>
<li><p>Trojan J, Hammerstingl R, Engels K et al. Contrast-enhanced ultrasound in the </p></li>
<li><p>diagnosis of malignant mesenchymal liver tumors. J Clin Ultrasound 2010;38:227-31.</p></li>
<li><p>Maeda T, Tateishi U, Hasegawa T et al. Primary hepatic angiosarcoma on </p></li>
<li><p>coregistered FDG PET and CT images. AJR Am J Roentgenol 2007;188:1615-7.</p></li>
<li><p>Koyama T, Fletcher JG, Johnson CD et al. Primary hepatic angiosarcoma: findings at CT and MR imaging. Radiology 2002;222:667-73.</p></li>
<li><p>Shimada K, Nakamoto Y, Isoda H et al. FDG PET for giant cavernous hemangioma: important clue to differentiate from a malignant vascular tumor in the liver. Clin Nucl Med 2010;35:924-6.</p></li>
</ol>

Woodwing Id
38606
Fil
Conflict of interest
English title
Imaging of hepatic angiosarcoma
English summary

Primary hepatic angiosarcoma (PHA) is a very rare malignant tumour with imaging characteristics that can mimic atypical haemangioma (HA). This is a case report of a 47-year-old male with PHA. Contrast-enhanced ultrasound (CEUS) has shown to be effective in differentiating PHA from HA, CT has more variable findings, in MRI PHA can mimic HA, arteriovenous malformations and cystic metastases, and PET/CT can be used to verify the diagnosis. In this case CEUS was supplied with a contrast CT, MRI and PET/CT. An elevated fluorodeoxyglucose uptake within the left liver lobe was shown on PET/CT.

Authors workplaces

Røntgenafdelingen, Vejle Sygehus, Sygehus Lillebælt

Ugeskr Læger 2014;176:V01140046

Bib ref
Ugeskr Læger 2014;176:V01140046
Article number
V01140046
Authors

Louise Raunkilde, Louise Aarup Brodersen & Søren Rafael Rafaelsen

0 likes