Medlem i

12 years 10 months
Indholdselementer
Billede
Sidebar placering
Venstrestillet
Billede
Sidebar placering
Venstrestillet
Billede
Sidebar placering
Venstrestillet


Griscellis syndrom (GS) er en sjælden autosomal recessiv sygdom, der først blev beskrevet af Griscelli i 1978 [1]. Der er hidtil rapporteret om godt 30 tilfælde, hovedsagelig fra Middelhavsområdet. Syndromet omfatter partiel albinisme, der blandt andet manifesterer sig ved et karakteristisk sølvblondt hår, neurologiske symptomer og svær cellulær immundefekt, der ubehandlet er letal. Nedenfor beskrives tre tilfælde af GS set i perioden 1996 til 2000.

Sygehistorier

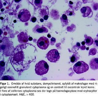
I. En ti måneder gammel pige blev indlagt med recidiverende febrilia, eksantem, progredierende tab af motoriske færdigheder og hyppige generaliserede krampeanfald. Hun var tidligere rask, men havde fra fødslen haft sølvblondt hår. Paraklinisk fandtes der normalt hæmoglobinniveau, let trombocytopeni og neutropeni, let alaninaminotransferaseforhøjelse og normalt C-reaktivt protein. I spinalvæsken fandt man: pleocytose (11 mio./l), forhøjet protein (1,32 g/l) og forhøjet IgG-produktionsindeks (0,84); der var negativ dyrkning og negativ polymerasekædereaktion for diverse vira, inkl. herpes simplex. Ved MR-skanning blev der påvist multiple millimeter til en halv centimeter store afrundede fortætninger i begge cerebellare og cerebrale hemisfærer med kraftig opladning efter i.v.-kontrast. Eeg var svært abnormt, men uden paroksystisk aktivitet. Ultralydskanning viste let splenomegali. Metabolisk udredning viste normale forhold. Undersøgelse af lymfocytsubpopulationer viste nedsat andel af K/NK-celler, normalt antal T-celler, og normal lymfocytstimulationstest. På mistanke om virusinfektion blev patienten behandlet med aciclovir og krampeprofylakse i form af phenytoin, oxcarbazepin og diazepam. Trods dette blev patienten tiltagende bevidsthedspåvirket og hyperton. Behandling med prednisolon (2 mg/kg/døgn) og bredspektrede antibiotika var uden effekt. CT af cerebrum viste i terminalfasen tiltagende infiltrater, og patienten døde 11 måneder gammel. Ved neurosektion blev der påvist udtalte destruktive forandringer overvejende i hvid substans, demyelinisering, mikrogliose stedvis med hæmofagocytose, nekrose, blødning og spredte perivaskulære infiltrater af T-lymfocytter og makrofager. Cortex var spongiøs med tab af neuroner, og leptomeningealt fandtes der leukocytinfiltrater (Figur 1 ).

II. En 14 dage gammel søster til patienten i sygehistorie I, nr. 3 af i alt tre søskende, blev henvist pga. sølvblondt hår. Hun var på henvisningstidspunktet rask og med normale parakliniske fund fraset trombocytose (1.000 mia./l). Hår fra patienten og hendes afdøde søster viste ved mikroskopi karakteristiske pigmentansamlinger i hårskaftet, tydende på GS (Figur 2 ). Hår fra patientens raske søster var derimod normalt med jævn pigmentering uden melaninsøer (Figur 3 ). Hårstråforandringerne er karakteristiske for GS, og diagnosen blev bekræftet ved påvisningen af nedsat NK-celle-aktivitet (trods normal andel af NK-celler), og ved påvisning af compound heterozygoti for to non-sense -mutationer i Rab27a-genet (se nedenfor). På grund af udsigten til et letalt forløb blev patienten seks måneder gammel knoglemarvstransplanteret med marv fra en ubeslægtet donor. Patienten blev rask og udviklede sig normalt.

III. En 18 måneder gammel tyrkisk dreng med sølvblondt hår, men i øvrigt naturlig mørk pigmentering. Fra neonatalperioden havde han haft hyppige luftvejsinfektioner og talrige kutane småabscesser med blandt andet pneumokokker, meningokokker og stafylokokker. Ved indlæggelsen var han pneumonisk, højfebril og med generaliseret lymfeknudesvulst. Paraklinisk fandtes let anæmi, neutropeni og trombocytopeni. Der var positiv serologi for Epstein-Barr-virus (EBV) (IgG og IgM). Røntgen af thorax viste diffuse vattede infiltrater, foreneligt med pulmonal EBV-infektion. Bronkoalveolær lavage og bloddyrkning var positiv for candida albicans. Ultralydskanning af abdomen viste udtalt hepatosplenomegali. Udstryg af perifert blod og knoglemarvsundersøgelse viste normale forhold. En lymfeknudebiopsi viste histiocytær hyperplasi og hæmofagocytose. Ved mikroskopi af hud og hårstrå påviste man søer af melanin i et ellers farveløst hår og klumpede ansamlinger af melanin i epitelet. En immundefektudredning viste nedsat NK-celle-aktivitet på trods af let forhøjet andel af NK-celler, nedsat andel af T-lymfocytter, nedsat granulocytkemotaksi og superoxidproduktion. Lymfocytstimulationstest viste normale forhold. Patienten blev sat i behandling med bredspektret antibiotika samt med aciclovir og friskfrossen plasma. På baggrund af ovenstående fund stillede man diagnosen GS i accelereret fase (svær inflammatorisk aktivering), og behandlingen blev suppleret med dexamethason og etopofos for at dæmpe den inflammatoriske aktivitet. Tilstanden bedredes derefter hurtigt, og man kunne gennemføre allogen knoglemarvstransplantation med søskendedonor. Patienten blev derefter rask og udviklede sig normalt.

Diskussion

Man er inden for de seneste år nået langt i forståelsen af den molekylærbiologiske baggrund for GS. Syndromet skyldes defekter i den intracellulære transport af granulae, hvilket påvirker funktionen af en række forskellige celletyper inkl. melanocytter, cytotoksiske T-celler, NK-celler og neuroner.

I melanocytter foregår transporten af melanosomer fra kernen til cellens periferi langs mikrotubuli, mens transporten i cellens periferi foregår langs aktinfilamenter. Et stort antal proteiner er knyttet til disse transportprocesser. Myo5a-genet koder for et protein, der sikrer fastholdelse af melanosomer til aktinfilamenter i cellens periferi. Det sker ved binding til et andet protein (Rab27a-genproduktet), der danner et kompleks med melanosomerne. Defekter i Myo5a og Rab27a medfører en perinukleær ophobning af pigmentgranula, hvilket klinisk manifesterer sig ved partiel albinisme [2, 3].

Rab27a (men ikke Myo5a) spiller en vigtig rolle for immunsystemet, pga. dets betydning for transport og eksocytose af cytotoksiske granulae, inkl. perforin. Mutationer i Rab27a medfører defekt funktion af cytotoksiske CD8+ T-celler og NK-celler og dermed et nedsat cellulært immunrespons over for virusinfektioner, specielt EBV [2, 4].

I nervesystemet har Myo5a (men ikke Rab27a) bet ydning for transporten af vesikler fra det glatte endoplasmatiske reticulum til dendritterne. Mutationer i Myo5a påvirker således signaltransduktionen i neuronerne. Dette er formentlig baggrunden for de neurologiske defekter, der kendetegner patienter med disse mutationer [2].

Der forekommer således to typer af GS, hvoraf den hyppigste (GS-2) har mutationer i Rab27A og en svær cellulær immundefekt. De ovenfor beskrevne patienter havde alle GS-2. Patienter med GS-1, der har mutationer i Myo5a, er immunologisk normale, men har derimod neurologiske forstyrrelser. Fælles for de to typer er partiel albinisme.

GS-2 er klinisk præget af immundefekten, der medfører alvorlige virale infektioner. Tilstanden kompliceres ofte af en letal inflammatorisk aktivering (såkaldt accelereret fase), og mors indtræder hyppigt inden toårsalderen. Den inflammatoriske aktivering manifesterer sig ved hæmofagocytose, der formentligt beror på det frustrane infektionsrespons, typisk udløst af EBV. Tilstanden er klinisk karakteriseret ved hepatosplenomegali, pancytopeni, dissemineret intravaskulær koagulation og leverpåvirkning. Sent i denne fase kan der ses svær neurologisk påvirkning på grund af lymfohistiocytær infiltration i centralnervesystemet [1, 4].

Fundet af partiel albinisme er det kliniske træk, der ofte vil henlede opmærksomheden på GS-2. Diagnosen stilles ved mikroskopi af hår, der viser typiske melaninsøer, og ved fund af nedsat NK-celle-aktivitet, og diagnosen kan bekræftes ved mutationsundersøgelser. Differentialdiagnostisk skal Chédiak-Higashis syndrom overvejes. Denne sygdom er ligeledes karakteriseret ved partiel albinisme og imundefekt, men adskiller sig fra GS-2 ved den genetiske baggrund samt ved forekomsten af karakteristiske inklusionslegemer i granulocytter og monocytter.

Ubehandlet er GS-2 letal, men efter allogen knoglemarvstransplantation angives overlevelsen at være 60-70%. Er sygdommen i accelereret fase skal denne forud for transplantationen bringes i ro med immunosuppression.


Klaus Gottlob Müller, Pædiatrisk Klinik II, H:S Rigshospitalet, DK-2100 København Ø.

Antaget: 4. september 2003

Interessekonflikter: Ingen angivet

Børneafdelingen og Patologiafdelingen på Hillerød Sygehus takkes for samarbejde omkring patientbehandling og fremsendelse af materiale.





Sidebar placering
Venstrestillet
Article type
Journal
Magazine
Section
References

<ol class="Litt-list">
<li>Griscelli C, Durandy A, Guy-Grand D et al. A syndrome associating partial albinism and immunodeficiency. Am J Med 1978;65:691-702.</li>
<li>Seabra MC, Mules EH, Hume AN. Rab GTPases, intracellular traffic and disease. Trends Mol Med 2002;8:23-30.</li>
<li>Hume AN, Collinson LM, Hopkins CR et al. The leaden gene product is required with Rab27a to recruit myosin Va to melanosomes in melanocytes. Traffic 2002;3:193-202.</li>
<li>Schuster F, Stachel DK, Schmid I et al. Griscelli syndrome: report of the first peripheral blood stem cell transplant and the role of mutations in the Rab27a gene as an indication for BMT. Bone Marrow Transplant 2000;28:409-12.</li>
</ol>

Woodwing Id
269560
Fil
English summary

Summary Griscelli syndrome Ugeskr L&aelig;ger 2004;166:600-602 Griscelli syndrome is a rare genetic disorder. The syndrome combines partial albinism, severe immunodeficiency and neurological symptoms. This paper describes three cases seen in the Paediatric Department at Rigshospitalet in Copenhagen.

Bib ref
Ugeskr Læger 2004;166(07):600-602
Authors

Stud.med. Pernille Svenningsen, overlæge Bodil Laub Petersen, cand.scient. Lars P. Ryder, overlæge Helle Broholm, reservelæge Kirsten Juhl Møller-Hansen, kursusreservelæge Jonathan P. Glenthøj, overlæge Carsten J. Heilmann & afdelingslæge Klaus Gottlob Müller H:S Rigshospitalet, Pædiatrisk klinik II, Patologiafdelingen og Vævstypelaboratoriet, og Næstved Centralsygehus, Børneafdelingen

0 likes
Read time
6