Medlem i

13 years 1 month
Indholdselementer

Gravide med akutte abdominalsmerter er en klinisk udfordring. Primært er det vanskeligt at afgøre, om smerterne er relateret til graviditeten som ved præ-eklampsi, placentaløsning og uterusruptur eller
skyldes sygdom i andre abdominalorganer som ved blindtarmsbetændelse, galde- og nyrestensanfald
[1]. Fysiologiske og anatomiske ændringer hos den gravide kan give et anderledes sygdomsbillede, og diagnostikken vanskeliggøres, da de diagnostiske muligheder som CT og eksplorativ laparotomi er begrænsede af hensyn til fosterets sikkerhed [2].

Vi beskriver en sjælden, men potentielt livstruende tilstand hos en gravid kvinde med akut opståede abdominalsmerter.

SYGEHISTORIE

En 37-årig førstegangsfødende i graviditetsuge 37 + 5 blev henvist til fødemodtagelsen af en jordemoder på mistanke om præeklampsi. Kvinden var gravid efter fjerde forsøg med in vitro-fertilisation (IVF)-behandling. Hun var generelt sund og rask, og årsagen til parrets infertilitet var ukendt. Hun havde ikke endometriose eller anden gynækologisk lidelse. Ved ankomsten var hun svært smerteforpint og akut påvirket. Klinisk var abdomen spændt og uterus toniseret. Der var normal fosterhjertelyd og initialt blodtryk, puls og hæmoglobinniveau var normale. På mistanke om partiel placentaløsning besluttede man at stile mod vaginal forløsning, hvorfor der blev foretaget hindesprængning og udtømt klart fostervand. Efterfølgende blev uterus mindre toniseret, og smerterne aftog. Otte timer efter indlæggelsen fødte kvinden vaginalt en velskabt pige. Blødningen under fødslen blev skønnet til at være 200 ml.

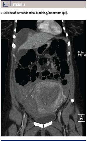
Tolv timer efter fødslen fik kvinden kraftige smerter fra epigastriet og diffust i nedre abdomen. Blodtrykket var 156/102 mmHg og pulsen 70 slag/min. Symptomerne blev tolket som efterveer, og tilstanden blev set an. Efter yderligere 12 timer blev den vagthavende læge tilkaldt pga. fortsat kraftige smerter. Kvinden var nu klinisk påvirket med et blodtryk på 80/50 mmHg og en puls 110 slag/min. En transabdominal ultralydskanning gav ikke mistanke om igangværende blødning, og mængden af vaginal blødning var tilladelig. Blodtrykket rettede sig hurtig med væskebehandling, men smerterne forværredes over de næste timer. Hæmoglobinniveauet var faldet fra 7,2 til 3,8 mmol/l. På mistanke om intraabdominal blødning blev der udført CT af abdomen, hvorved man fandt store mængder fri væske, specielt i højre side af abdomen, samt pleuraekssudat (Figur 1).

Sidebar placering
Venstrestillet
Billede
Sidebar placering
Venstrestillet

Der blev foretaget akut eksplorativ laparotomi, hvor man fandt et stort hæmatom i højre parametrium og blødning fra en sidegren af arteria uterina i højre side. Der blev opnået hæmostase ved ligering af det blødende kar, og det totale blodtab blev skønnet til seks liter. I efterforløbet blev kvinden behandlet for paralytisk ileus, pleuraekssudat og hypertension og rettede sig hurtigt. Mor og barn blev udskrevet i velbefindende til ambulant kontrol 14 dage efter fødslen.

DISKUSSION

I sygehistorien beskrives en tilsyneladende sund og rask IVF-gravid førstegangsfødende med akutte mavesmerter. Initialt lignede det kliniske billede en partiel placentaløsning og blev behandlet sådan. Først efter fødslen, da kvinden blev akut påvirket, blev den rette diagnostik og behandling iværksat. Blødningen var sandsynligvis begyndt, inden hun ankom til fødemodtagelsen, men blev formentlig begrænset af trykket fra den gravide uterus og tiltog først i takt med uterus’ sammentrækning efter fødslen. Spontan ruptur af de uterine kar i graviditeten, under eller efter fødslen er en sjælden tilstand, der primært er kasuistisk beskrevet. De typiske symptomer er pludseligt opståede mavesmerter, vigende blodtryk, stigende puls og fald i hæmoglobinniveau uden vaginal blødning [3-5]. Der findes ingen kendte årsager til spontan ruptur af a. uterina, hverken anatomiske forandringer eller patologiske tilstande. Endometriose er dog beskrevet som en mulig årsag [5]. I tilfældet i sygehistorien var der ikke set endometrioseelementer ved laparotomien, men dette var også vanskeliggjort af den intraabdominale blødning. Derfor kan det
ikke udelukkes, at kvinden havde endometriose, der resulterede i karrupturen. Gravide, som er IVF-be-handlede, har en let øget risiko for dårligt fødselsudkomme i forhold til gravide efter naturlig befrugtning, dette skyldes formentlig ukendte faktorer hos det infertile par [6]. Om dette var medvirkende til ruptur i denne sygehistorie er uvist.

Ved akutte mavesmerter og fald i hæmoglobin-niveauet hos en gravid, der ikke har vaginalblødning, bør intraabdominal blødning udelukkes. Samtidig bør det erindres, at fertilitetspatienter udgør en særlig risikogruppe pga. ukendte reproduktionsnedsættende faktorer hos kvinden.

Korrespondance: Fjóla Jónsdóttir, Gynækologisk/obstetrisk Afdeling, Hvidovre Hospital, Kettegård Allé 30, 2650 Hvidovre. E-mail: fjolaj@gmail.com

Antaget: 10. januar 2014

Publiceret på Ugeskriftet.dk: 31. marts 2014

Interessekonflikter:

Taksigelse: Vi takker Ilija Ban, Hvidovre Hospital, for tegning.

Sidebar placering
Venstrestillet
Article type
Journal
Magazine
Section
References

<h2>Litteratur </h2>
<ol type="d">
<li><p>Cappell MS, Friedel D. Abdominal pain during pregnancy. Gastroenterol Clin North Am 2003;32:1-58.</p></li>
<li><p>Kennedy A. Assessment of acute abdominal pain in the pregnant patient. Semin Ultrasound CT MR 2000;21:64-77.</p></li>
<li><p>Aziz U, Kulkarni A, Kulkarni A et al. Spontaneous rupture of the uterine vessels in pregnancy. Obstet Gynecol 2004;103:1089-91.</p></li>
<li><p>Duhan N, Sangwan N, Rajotia N et al. Spontaneous uterine artery rupture at <br>delivery. J Obstet Gynecol India 2012;63:72-3.</p></li>
<li><p>Brosens I, Fusi L, Brosens JJ. Endometriosis is a risk factor for spontaneous hemoperitoneum during pregnancy. Fertil Steril 2009;92:1243-5.</p></li>
<li><p>Pinborg A, Wennerholm UB, Romundstad LB et al. Why do singletons conceived after assisted reproduction technology have adverse perinatal outcome? Hum Reprod Update 2013;19:87-104.</p></li>
</ol>

Woodwing Id
28988
Images
1113066801.jpg
Fil
Conflict of interest
English title
A pregnant woman with spontaneous rupture of the uterine artery
English summary

Pregnant women with acute abdominal pain are a clinical challenge. We present a rare but potential life-threatening condition of a pregnant woman with acute abdominal pain. The woman was in gestational week 37 with severe abdominal pain and was admitted to the labour ward. She became haemo-dynamic instable 24 hours after vaginal delivery, and emergency laparotomi revealed a spontaneous rupture of the right uterine artery. Spontaneous rupture of the uterine artery is rare but should be considered as a possible cause of acute abdominal pain in pregnant women.

Authors workplaces

Gynækologisk/obstetrisk Afdeling, Hvidovre Hospital

Ugeskr Læger 2014;176:V11130668

Bib ref
Ugeskr Læger 2014;176:V11130668
Article number
V11130668
Authors

Fjóla Jónsdóttir, Anja Pinborg & Charlotte Wilken-Jensen

0 likes