Medlem i

12 years 10 months
Indholdselementer
Billede
Sidebar placering
Venstrestillet


Fulminant fedtemboli-syndrom (FES) er en sjælden tilstand, der er vanskelig at diagnosticere, og hvor understøttende behandling er den eneste mulighed. Tidlig diagnostik og behandling er afgørende for prognosen.

I denne sygehistorie havde plasmaferesebehandling god effekt.

SYGEHISTORIE

En 37-årig kvinde, der havde hypertensio arterialis og adipositas, blev modtaget på Traumecenteret på Aalborg Sygehus efter at have fået et nedstyrtet tag over underbenene. Patienten blev af ambulancepersonalet fundet vågen og klar med åbne bilaterale crusfrakturer. På traumestuen var patienten vågen, men let påvirket af morfika, der var givet af ambulancepersonalet. Hun blev beskrevet som stabil med hensyn til luftveje, vejrtrækning og cirkulation.

En traumecomputertomografi (CT) viste, at der var en ustabil L1-fraktur, mens røntgen af thorax og bækken ikke viste nogen patologiske fund. En røntgenundersøgelse af underekstremiteterne viste bilaterale midtskaft-crusfrakturer, Gustillo Anderson type IIIa.

Der blev foretaget akut operation med indsættelse af reamede marvsøm forudgået af kirurgiske débridement og skylning med pulse lavage i marvkanal og bløddele.

Det peroperative forløb var præget af behov for stort ilttilskud og hæmodynamisk instabilitet, specielt ved vending fra ryg- til sideleje. Ved ankomsten på intensivafdelingen var patienten tiltagende ustabil, og hun havde behov for ilt og vasopression i form af noradrenalin.

Et røntgenbillede af thorax viste nytilkomne bilaterale vattede infiltrater, hvilket var foreneligt med adult respiratory distress syndrome . Patienten var for ustabil til, at der kunne foretages yderligere diagnostik i form af CT.

Dagen efter havde patienten et stigende behov for noradrenalin og behov for inspiratorisk iltfraktion på 100%. Der blev tillagt dobutamin, hvorved hun blev mere hæmodynamisk stabil. Hun fik petekkier på thorax med udbredelse til abdomen og overekstremiteterne.

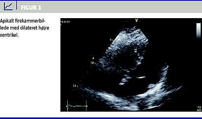
Der blev foretaget focus assessed transthoracic echocardiograph y (Figur 1 ), som viste en dilateret højre ventrikel med kompression af venstre ventrikel. På mistanke om central lungeembolus blev der påbegyndt højdosis antitrombotisk behandling med intravenøst givet injektion af dalteparin 200 IE/kg.

På tredjedagen blev der observeret makroskopiske fedtperler i blod udtaget fra en arteriekanyle. Herved fik man mistanken om FES, og på fjerdedagen blev der med eklatant effekt påbegyndt plasmaferesebehandling efter konference med Center for Hæmofili og Trombose, Aarhus Universitetshospital, Skejby. Inotropikabehandlingen kunne ophøre på femtedagen.

I efterforløbet fik patienten en pneumoni og pneumothorax med behov for drænanlæggelse. Hun blev udskrevet fra intensivafdelingen på fjortendedagen og blev efterfølgende fuldstændigt restitueret.

DISKUSSION

Fedtemboli blev første gang beskrevet af Zenker i 1862 [1]. Der har været nogen uklarhed om diagnostikken af FES, og der findes flere forskellige anvendte definitioner, hvorfor incidensen varierer i litteraturen [1]. Den mest anvendte definition er den, som Gurd & Wilson har foreslået. Diagnosen stilles enten ved to af følgende major symptomer: respirationsinsufficiens, petekkier og cerebral påvirkning eller ved et major symptom og fire af følgende minor symptomer: febrilia, takykardi, ikterus, anuri/oliguri, retinapåvirkning, fedt i urin eller saliva, uforklarligt fald i hæmatokrit- eller trombocytværdier og fedtmakroglobulinæmi [1].

Risikofaktorer for udvikling af FES er: hankøn, alder 10-39 år, hypovolæmi, kardiopulmonal sygdom, multiple frakturer, bilaterale femurfrakturer, fraktur af underekstremiteterne, traumatiske frakturer, samtidig lungeskade, indsættelse intramedullære marvsøm efter femurfraktur og bilaterale frakturer [1].

Både reamet og ureamet marvsømningsteknik er vist at forøge det intramedullære tryk i femurkanalen og dermed forårsage fedtemboli [3, 5], og incidensen angives at være på 1-5% [1, 3]. Hvilken osteosyntesemetode, der vælges, bør afhænge af en samlet vurdering, hvor flere faktorer som frakturtype, øvrige skader og patientens generelle tilstand indgår.

Tidlig diagnose og understøttende behandling er afgørende for prognosen [1]. Brug af kortikosteroider anbefales ikke [1, 2].

Patienten blev afgørende bedre efter behandling med plasmaferese. Det er muligt, at en tidligere påbegyndelse af plasmaferesebehandling kunne have reduceret den kritiske periode med organsvigt yderligere.

KONKLUSION

Fedtembolisyndrom er en livstruende sygdom, hvor tidlig diagnostik er altafgørende. I vores sygehistorie skete der en afgørende forbedring i patientens tilstand efter påbegyndelse af plasmaferese, og det kan have en plads i den fremtidige behandling, men der mangler studier, som underbygger dette.

src="/LF/images_ufl/ufl_bla.gif">
Jesper Gilberg Schriver , Anæstesien, Region Nordjylland, 4. afdeling, Hobrovej 18-22, 9000 Aalborg. E-mail: jesper.schriver@rn.dk

Antaget: 3. august 2011

Først på nettet: 26. september 2011

Interessekonflikter: ingen

Taksigelse: Bodil Steen Rasmussen takkes for revision af manuskriptet.


  1. Akhtar S. Fat embolism. Anesthesiol Clin 2009;27:533-50.
  2. Bederman SS, Bhandari M, Mckee MD et al. Do corticosteroids reduce the risk of fat embolism syndrome in patients with long-bone fractures? A meta-analysis. Can J Surg 2009;52:386-93.
  3. Giannoudis, Tzioupis C, Pape H-C. Fat embolism: the reaming controversy. Injury 2006;37:S50-S8.
  4. Patil N, Hemant W. Morbidity and mortality of simultaneous bilateral total knee arthroplasty. Orthopedics 2008;31:780-9.
  5. White T, Petrisor BA, Bhandari M. Pr evention of fat embolism syndrome. Injury 2006;37S:59-67. Erratum in Injury 2007;38:1224.


Sidebar placering
Venstrestillet
Article type
Journal
Magazine
Section
References

<ol class="Litt-list">
<li>Akhtar S. Fat embolism. Anesthesiol Clin 2009;27:533-50.</li>
<li>Bederman SS, Bhandari M, Mckee MD et al. Do corticosteroids reduce the risk of fat embolism syndrome in patients with long-bone fractures? A meta-analysis. Can J Surg 2009;52:386-93.</li>
<li>Giannoudis, Tzioupis C, Pape H-C. Fat embolism: the reaming controversy. Injury 2006;37:S50-S8.</li>
<li>Patil N, Hemant W. Morbidity and mortality of simultaneous bilateral total knee arthroplasty. Orthopedics 2008;31:780-9.</li>
<li>White T, Petrisor BA, Bhandari M. Prevention of fat embolism syndrome. Injury 2006;37S:59-67. Erratum in Injury 2007;38:1224.</li>
</ol>

Woodwing Id
263957
Fil
Conflict of interest
English summary

Summary Good effect of plasmapheresis in fat embolism syndrome following bilateral fracture of tibia Ugeskr L&aelig;ger 2012;174(10):653-654 Fat embolism syndrome is a life-treatening condition, and early diagnosis and supportive treatment is important. In this case report plasmapheresis seemed to be of great importance.

Bib ref
Ugeskr Læger 2012;174(10):653-654
Authors

Jesper Gilberg Schriver1, Maria Rodrigues Schriver2 & Charlotte Buch Gøthgen3 1) Anæstesien, Region Nordjylland, 4. afdeling, Aarhus Universitetshospital, Aalborg Sygehus, 2) Medicinsk Afdeling, Sygehus Thy/Mors, og 3) Hoved- Orto- Hjertecenter, Ortopædkirurgisk Afdeling, Aarhus Universitetshospital, Aalborg Sygehus

0 likes
Read time
5