Medlem i

12 years 10 months
Indholdselementer
Billede
Sidebar placering
Venstrestillet


Sygehistorie

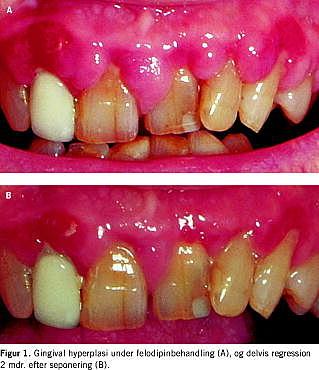
En 69-årig mand, der havde haft hypertension i tyve år og type 2-diabetes i syv år, klagede over hævet og irriteret tandkød 7 mdr. efter påbegyndt felodipinbehandling. Objektivt sås dårlig mundhygiejne, parodontitis marginalis profunda samt erytematøs og fibrotisk gingivalhyperplasi (Figur 1A ). Patienten havde nefropati med creatinin på 140 μmol/l og U-albumin/creatinin-ratio på 40 mg/mmol. Der var ingen diabetiske øjenbaggrundsforandringer. Diabetesreguleringen var god med HbA1c på 6,7%. Patienten var i antihypertensivbehandling med felodipin 10 mg, candesartan 16 mg, metoprolol 200 mg og furosemid 80 mg. Desuden blev der givet simvastatin, allopurinol, kaliumklorid, magnyl, calciumkarbonat, D-vitamin og insulin. Felodipin blev erstattet med prazocin, hvorefter den gingivale hyperplasi delvist regredierede over de følgende 2 mdr. (Figur 1B ). Patienten blev tilbudt parodontosebehandling og fjernelse af den persisterende hyperplasi i regio 7,6+.

Kommentar

Gingival hyperplasi kan bl.a. ses ved akut myeloid leukæmi og graviditet. Medicininduceret gingival hyperplasi er meget velkendt ved behandling med fenytoin og ciclosporin. Fænomenet er også en velbeskrevet bivirkning ved behandling med calciumantagonister [1], om end kendskabet hertil næppe er udbredt, bl.a. fremgår det ikke af Lægemiddelkataloget eller Lægeforeningens Lægemiddelfortegnelse. Bivirkningen er især set ved brug af dihydropyridin calciumantagonister og her oftest beskrevet ved nifedipin [2], men den er også registreret for verapamil og diltiazem [3]. Mekanismen er måske knyttet til nedsat kollagenaseaktivitet [3, 4].

I populationsbaserede undersøgelser har man vist en hyppighed af gingival hyperplasi på 6% ved nifedipinbehandling, 1,7% ved amlodipinbehandling og 2,2% ved diltiazembehandling. Bivirkningen sås tre gange hyppigere hos mænd end hos kvinder [5]. I 11-års-perioden 1991-2001 har Lægemiddelstyrelsen i alt er registreret 26 tilfælde af gingival hyperplasi som bivirkning ved behandling med calciumantagonister (amlodipin 16 tilfælde, felodipin seks tilfælde og nifedipin fire tilfælde). Til sammenligning er der i samme periode registreret 20 tilfælde af perifert ødem og 87 tilfælde af udslæt forårsaget af calciumantagonister. Gingival hyperplasi er således den næsthyppigste rapportede bivirkning ved behandling med calciumantagonister. Formentlig er såvel gingivalhyperplasi og perifert ødem stærkt underrapporterede, om end af forskellige årsager (relativ ukendt contra meget kendt bivirkning).

Medicininduceret gingivalhyperplasi er en generende, men ved seponering potentielt reversibel bivirkning, der kan give anledning til differentialdiagnostiske problemer og hyppige tandlægebesøg. Graden af hyperplasi er relateret til såvel patientens prædisposition som graden af mundhygiejne og kan således til en vis grad elimineres ved aktiv parodontal profylakse [2]. Bivirkningen er for felodipin nævnt i såvel indlægssedler som i producenternes Medicinhåndbog for patienter, men er ikke nævnt begge steder for amlodipin og nifedipins vedkommende. Der opfordres til indrapportering til Lægemiddelstyrelsen. Desuden bør gingivalhyperplasi som bivirkning ved behandling med calciumantagonister fremover omtales konsekvent også i Lægemiddelkataloget og Lægemiddelfortegnelsen.


Klavs Würgler Hansen, Medicinsk Afdeling, Silkeborg Centralsygehus, DK-8600 Silkeborg. E-mail: makwh@sc.aaa.dk

Antaget: 10. juni 2004

Interessekonflikter: Ingen angivet



Sidebar placering
Venstrestillet
Article type
Journal
Magazine
Section
References

<ol class="Litt-list">
<li>Schiødt M. Mundhulens sygdomme. I: Lorentzen I, Bendixen G, Hansen NE, eds. Medicinsk Kompendium. 15. udgave. København: Nyt Nordisk Forlag Arnold Busck, 1999:1474-90.</li>
<li>Neville BW, Damm DD, Allen CM et al. Oral and maxillofacial pathology. Philadelphia: WB Saunders Company, 1995:129-32.</li>
<li>Young PC, Turiansky GW, Sau P et al. Felodipine-induced gingival hyperplasia. Cutis 1998;62:41-3.</li>
<li>Lombardi T, Fiore-Donno G, Belser U et al. Felodipine-induced gingival hyperplasia: a clinical and histologic study. J Oral Pathol Med 1991;20:89-92.</li>
<li>Ellis JS, Seymor RA, Steele JG, et al. Prevalence of gingival overgrowth induced by calcium channel blockers: a community study. J Periodontol 1999; 70:63-7.</li>
</ol>

Woodwing Id
270476
Fil
English summary

Summary Gingival hyperplasia and calcium antagonists Ugeskr L&aelig;ger 2004;166:3828-3829 A photo-documented case of gingival hyperplasia induced by felodipine and its partial regression after two months of withdrawal is presented.

Bib ref
Ugeskr Læger 2004;166(43):3828-3829
Authors

Afdelingslæge Klavs Würgler Hansen, tandlæge Charlotte Gregersen & tandlæge Lone Lenk-Hansen Århus Universitetshospital, Århus Sygehus, Medicinsk afdeling C, og Århus Universitet, Odontologisk Institut, Afdelingen for Kæbekirurgi og Oral Patologi

0 likes
Read time
3