Medlem i

12 years 10 months
Indholdselementer

Gelatinøs transformation (GT) af knoglemarven er et relativt sjældent beskrevet fænomen, som kan ses ved en lang række sygdomme og mangeltilstande. Udbredt GT kan påvirke hæmatopoiesen i en grad, der medfører bi- eller pancytopeni.

GT diagnosticeres ved histologisk undersøgelse af en knoglemarvsbiopsi og udgøres af en ekstracellulær aflejring af et amorft materiale, atrofi af marvfedtet og hypoplasi af det hæmatopoietiske væv. Beskrivelsen af denne triade tilskrives Virchow i 1860, mens associationen mellem GT og forskellige kliniske tilstande først blev etableret langt senere.

GT ses ikke kun i udviklingslande, hvor mangeltilstande og alvorlige kroniske infektioner, der medfører katabol tilstand som f.eks. hiv/aids, er hyppigere, men også i den vestlige verden. Her findes GT oftest hos patienter med anorexia nervosa (AN) og som følge af ekstremt dårlig ernæringstilstand ved maligne sygdomme. Fundet af GT hos yngre mænd, som dyrker overdreven træning og indtager en ekstremt reguleret kost, er en ny klinisk problemstilling, som vi vil belyse i det følgende.

FOREKOMST OG PATOFYSIOLOGI

GT er et sjældent rapporteret fund og er oftest kun beskrevet kasuistisk eller opgjort i mindre studier, hvorfor incidensen er usikker og varierende. I det til dato største studie, som udgik fra Tyskland, fandt man 158 tilfælde blandt 80.000 knoglemarvsbiopsier, som blev foretaget i perioden 1989-1998, svarende til en incidens på 0,2% af alle knoglemarvsbiopsier [1]. I gruppen af unge voksne fandtes en højere incidens på 0,5%, og i denne gruppe var GT oftest associeret med enten svære infektioner eller kronisk underernæring. I et studie fra Indien fandt man blandt 1.498 knoglemarvs-aspirationer 65 med tegn på GT [2] og dermed en noget større incidens, hvilket formentligt kan forklares med en højere forekomst af kroniske infektioner. Kønsratioen mellem mænd og kvinder er opgjort til mellem 2:1 og 3:2 [1, 2].

I litteraturen er GT beskrevet at være associeret med en lang række forskellige sygdomme som f.eks. malabsorptionstilstande, hæmatologiske og solide cancere, infektionssygdomme, kronisk hjertesvigt og autoimmune tilstande oftest i kombination med enten kronisk dårlig ernæringstilstand, kronisk katabol tilstand eller et større vægttab. Depletering af kroppens energidepoter synes at indgå i de fleste tilfælde af GT, og et større vægttab eller kakeksi fandtes i den tyske opgørelse hos 78% af de patienter, for hvem der fandtes oplysninger om vægt [1].

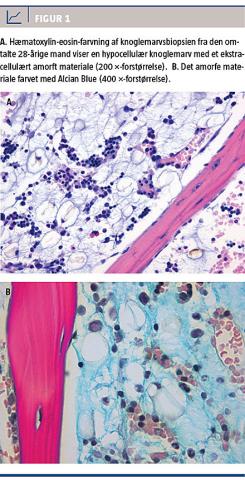
Histologisk er GT karakteriseret ved akkumulation af en amorf ekstracellulær grundsubstans i knoglemarven med atrofi af fedtvævet og hypoplasi af det hæmatopoietiske væv (Figur 1A). Det gelatinøse materiale kan farves med Alcian Blue ved pH 2,5 (Figur 1B) og med periodic acid-Schiff (PAS), men efter behandling med hyaluronidase farves det ikke, da det består af sure mukopolysakkarider (hyaluronsyre) [3, 4].

Disse aflejringer af mukopolysakkarider forekommer også i den normale knoglemarv, hvor de dog kun udgør en mindre bestanddel. Mukopolysakkariderne har en lavere energitilstand end knoglemarvens normale komponenter og den primære teori, mobiliseringsteorien, er derfor, at atrofien af fedtvævet og GT sker som kompensation for en mobilisering af knoglemarvsfedtet for at imødekomme kroppens energibehov [4, 5].

Sidebar placering
Venstrestillet
Billede
Sidebar placering
Venstrestillet

DIAGNOSE, BEHANDLING OG FORLØB

Ved GT findes ofte bi- eller pancytopeni med først en normocytær og normokron anæmi, dernæst leukopeni primært i form af neutropeni og til sidst trombocytopeni. Graden af anæmi, det totale antal leukocytter
og/eller trombocytter er dog ikke korreleret med udbredelsen af GT [1].

Diagnosen GT kan kun stilles på baggrund af en knoglemarvsbiopsi, og den tages oftest som led i udredningen af bi- eller pancytopeni ved mistanke om alvorlig sygdom. Som en del af udredningen foretages en grundig klinisk undersøgelse, en biokemisk undersøgelse med fuldt hæmatologisk, metabolisk og endokrint panel samt virusserologi for hepatitis og hiv. Hvilke øvrige parakliniske undersøgelser, inklusive evt. billeddiagnostik, der skal foretages, vil være afhængigt af de differentialdiagnostiske overvejelser.

Eksperimentelt har man kunnet inducere makroskopisk GT og pancytopeni hos kaniner ved underfodring til et vægttab på mere end 40% over adskillige måneder [5], og ved vægtøgning over tre måneder normaliseredes knoglemarven fuldt. GT betragtes derfor som en potentielt fuldt reversibel tilstand, og prognosen synes god mht. forbedring af de hæmatologiske parametre, såfremt den tilgrundliggende årsag kan behandles.

Det kan dog i praksis være svært at opnå fuld reversibilitet af GT, da de tilgrundliggende sygdomstilstande ofte er kroniske eller psykiske, hvor en tilstrækkelig grad af behandling kan være svær at opnå. Opfølgning af GT hver 3.-6. måned vil være rimelig, da normalisering af knoglemarven og hæmatopoiesen tager tid. En lettere grad af anæmi synes at kunne persistere over flere år trods bedring i de øvrige parametre.

EN NY KLINISK PRÆSENTATION

Allerede i 1990 rapporterede Jensen & Anagnostaki
for første gang om fundet af GT hos en 29-årig i øvrigt rask mand med et BMI på 18,6 kg/m2 [6]. Han havde
i længere tid frivilligt haft et insufficient kalorieindtag
i kombination med fysisk krævende sportsudøvelse
(triatlon) og er den først beskrevne person, der havde fået GT på denne baggrund. Siden har vi beskrevet en 32-årig mand, som havde et BMI på 23,7 kg/m2 og i 2012 blev udredt på mistanke om nefrotisk syndrom, hvorved man som tilfældigt fund fandt pancytopeni [7]. Patienten fik foretaget en knoglemarvsbiopsi, som viste udbredt GT. Da der ved grundig udredning ikke fandtes holdepunkt for anden sygdom, blev dette tolket som værende en følge af mange timers daglig træning over længere tid og et relativt kalorieunderskud.

I 2011 fandt vi GT hos en 28-årig mand, som var henvist pga. bicytopeni. Han havde et BMI på 18 kg/m2 efter et større vægttab, men var i øvrigt somatisk rask. Han havde et ekstremt kontrolleret spisemønster og trænede excessivt.

I 2012 fik vi henvist en 29-årig mand med bicytopeni. Han havde haft et mindre vægttab på 3 kg og havde et BMI på 17,3 kg/m2. En knoglemarvsbiopsi
viste GT, og han havde kontrollerede spisevaner samt udførte overdreven træning. Biokemisk fandtes der tegn på påvirkning af flere af de endokrine akser som følge af underernæring og overtræning. Patienten blev senere diagnosticeret med AN.

Hos de patienter, vi har fulgt (diagnosticerede i 2011 og 2012), har der i opfølgningsperioden været nogen bedring af deres hæmatologiske parametre i de tilfælde, hvor de var været motiverede for ændringer i kost- og motionsvaner.

Alle de beskrevne patienter (Tabel 1) havde en grad af vægttab, og mens et større vægttab hyppigt findes hos patienter med GT, er et mindre vægttab og et normalt eller nærnormalt BMI sjældent beskrevet som værende associeret med GT. Fælles for patienterne var også, at de alle havde trænet overdrevent og haft regulerede kostvaner, og man kan have mistanke om, at de har været relativt kalorieinsuffciente og dermed i en katabol tilstand.

Sidebar placering
Venstrestillet
Billede
Sidebar placering
Venstrestillet

DISKUSSION

Det har været foreslået, at GT svarer til den serøse atrofi af ekstramedullært fedtvæv, der også forekommer ved kakeksi [8]. Disse forandringer har da også været påvist i perikardialt, pankreatisk og adrenalt fedtvæv i autopsimateriale med GT af knoglemarven [4], selvom der ikke er enighed om, at den serøse
atrofi svarer til forandringerne ved GT [3]. Der er ind-til videre ingen opgørelser med måling af fedtprocent hos patienter med GT, hvilket kunne være med til at underbygge mobiliseringsteorien.

Underernæring alene er dog ikke en tilstrækkelig betingelse for udviklingen af GT. I et studie af autopsimateriale fandtes 14 tilfælde af GT, og de blev matchet med en kontrolgruppe med samme sygdomme og grad af vægttab [4]. I kontrolgruppen blev der ikke fundet GT, og dermed forudsættes det, at andre og ukendte faktorer spiller en rolle for GT af knoglemarven.

En sådan mulig medvirkende faktor i udviklingen
af GT hos de beskrevne patienter kunne være overtræningssyndrom (OTS). OTS er et kendt fænomen hos atleter. Ved OTS forstås en ikkefunktionel overbelastning med længerevarende (flere måneder) reduktion af performance med et uhensigtsmæssigt fysiologisk respons (psykologisk, neurologisk, endokrinologisk og immunologisk) og en yderligere stresskomponent, som ikke er forklaret ved anden sygdom [9]. En af de mulige forklaringsmodeller for OTS er cytokinhypotesen, hvor lokal inflammation og et dysreguleret cytokinrespons ved manglende recovery gennem længere tid medfører et systemisk inflammatorisk respons [9]. Systemisk inflammation og et dysreguleret cytokinrespons er påvist at påvirke knoglemarven og erytropoeisen ved flere forskellige sygdomstilstande [10, 11], mens der indtil videre er meget begrænset viden om, hvad der under normale omstændigheder sker med knoglemarven hos mennesker ved almindelig og excessiv træning.

Flere af patienterne havde symptomer, der kunne være forenelige med OTS (Tabel 1) f.eks. træthed og påvirkning af søvnen, mens egentlig kausalitet mellem OTS og GT dog ikke kunne konkluderes på baggrund af det nuværende materiale eller den nuværende viden.

Et andet fællestræk for patienterne var regulerede kostvaner, og den ene af patienterne fik ved senere psykiatrisk udredning diagnosen AN. GT er beskrevet at være associeret med AN, men hvis AN erkendes først, vil man kun sjældent foretage knoglemarvsbiopsi, da det er alment kendt, at anæmi og øvrig hæmatologisk påvirkning ses som konsekvens af svær AN [8, 12] og i øvrigt retter sig ved behandlingen deraf. Der er beskrevet en lineær korrelation mellem de hæmatologiske forandringer ved AN og graden af depletering af den totale fedtmasse [12]. Der findes dog ikke en systematisk undersøgelse med knoglemarvsbiopsier af patienter med AN, så incidensen af GT i denne patientpopulation er ukendt.

En eventuel spiseforstyrrelse skal derfor altid overvejes ved fund af GT hos yngre, ellers raske patienter, og en hurtig behandling af spiseforstyrrelsen kan være nødvendig i lyset af den betydelige hæmatologiske påvirkning.

Spiseforstyrrelser er meget hyppigere hos atleter end i baggrundsbefolkningen [13], og de beskrevne fund af GT pga. overdreven træning og voluntært insufficient kalorieindtag synes bekymrende også set i lyset af den mulige stigning af træningsafhængighed [14]. Om de mange tilfælde af GT hos unge, veltrænede mænd, vi her har beskrevet, er en tilfældig ophobning eller en følge af denne nye tendens, er uvist.

Sidebar placering
Venstrestillet
Billede
Sidebar placering
Venstrestillet

KONKLUSION

GT er en sjælden tilstand, som er associeret med en lang række forskellige sygdomme og en eller anden grad af katabolisme. Flere tilfælde af GT hos yngre mænd, som dyrker excessiv træning og har et voluntært, insufficient kalorieindtag, er et nyt klinisk billede, som muligvis er i stigning pga. samfundstendensen med øget fokus på kost og motion.

Overtræningssyndrom er et kendt fænomen hos atleter og kan medføre en række uhensigtsmæssige fysiologiske responser heriblandt systemisk inflammation. Dette kan tænkes at påvirke knoglemarven og dermed spille en rolle i udviklingen af GT. Der mangler dog systematiske studier af effekten af både træning og overtræning på knoglemarven samt mere viden om GT og årsagerne hertil.

Korrespondance: Steven Andersen, Hæmatologisk Klinik, Finsencentret, Rigshospitalet, Blegdamsvej 9, 2100 København Ø.
E-mail: stevenarild@gmail.com

Antaget: 13. juni 2014

Publiceret på Ugeskriftet.dk: 15. september 2014

Interessekonflikter:

Sidebar placering
Venstrestillet
Article type
Journal
Magazine
Section
References

<h2>LITTERATUR</h2>
<ol type="d">
<li><p>Bohm J. Gelatinous transformation of the marrow: the spectrum of <br>underlying diseases. Am J Surg Pathol 2000;24:56-65.</p></li>
<li><p>Sen R, Singh S, Singh H et al. Clinical profile in gelatinous bone marrow transformation. J Assoc Physicians India 2003;51:585-8.</p></li>
<li><p>Clarke BE, Brown DJ, Xipell JM. Gelatinous transformation of bone <br>marrow. Pathology 1983;15:85-8.</p></li>
<li><p>Seaman JP, Kjeldsberg CR, Linker A. Gelatinous transformation of the bone marrow. Hum Pathol 1978;9:685-92.</p></li>
<li><p>Tavassoli M, Eastlund DT, Yam LT et al. Gelatinous transformation of the bone marrow in prolonged self-induced starvation. Scand J <br>Haematology 1976;16:311-9.</p></li>
<li><p>Jensen KD, Anagnostaki L. Gelatinøs knoglemarvstransformation. <br>Ugeskr Læger 1990;152:171-2.</p></li>
<li><p>Salomo L, Salomo M, Andersen SA et al. How to exhaust your bone marrow. BMJ Case Rep 2013 Jun 21;2013.</p></li>
<li><p>Cornbleet PJ, Moir RC, Wolf PL. A histochemical study of bone marrow hypoplasia in anorexia nervosa. Virchows Arch A Pathol Anat Histol 1977;23:239-47.</p></li>
<li><p>Kreher JB, Schwartz JB. Overtraining syndrome: a practical guide. Sports Health 2012;4:128-38.</p></li>
<li><p>Means RT Jr, Krantz SB. Progress in understanding the pathogenesis of the anemia of chronic disease. Blood 1992;80:1639-47.</p></li>
<li><p>Farquhar MJ, Bowen DT. Oxidative stress and the myelodysplastic <br>syndromes. Int J Hematol 2003;77:342-50.</p></li>
<li><p>Lambert M, Hubert C, Depresseux G et al. Hematological changes in anorexia nervosa are correlated with total body fat mass depletion. <br>Int J Eat Disord 1997;21:329-334.</p></li>
<li><p>Sundgot-Borgen J, Torstveit MK. Prevalence of eating disorders in elite athletes is higher than in the general population. Clin J Sport Med 2004;14:25-32.</p></li>
<li><p>Lichtenstein M, Støving R. Motion kan blive et misbrug. Ugeskr Læger 2014;176:V06130358.</p></li>
</ol>

Woodwing Id
61271
Fil
Conflict of interest
English title
Gelatinous transformation of the bone marrow caused by excessive physical activity and insufficient calorie intake
English summary

Gelatinous transformation (GT) of the bone marrow is rare and associated with a variety of clinical diseases from malignancy to chronic infection in combination with malnutrition or wasting. A new clinical picture of GT has emerged with excessive physical activity in combination with a voluntary insufficient calorie intake in the young adult male. Overtraining syndrome and systemic inflammation may play a role in the pathogenesis of GT in these patients, but further studies on GT and the effect of training and overtraining on the bone marrow are needed.

Authors workplaces

1) Hæmatologisk Klinik, Rigshospitalet
2) Nefrologisk Klinik, Rigshospitalet
3) Patologiafdelingen, Rigshospitalet

Ugeskr Læger 2014;176:V03140183

Bib ref
Ugeskr Læger 2014;176:V03140183
Article number
V03140183
Authors

Steven A.W. Andersen1, Louise Salomo2, Elisabeth Ralfkiær3 & Lars Kjeldsen1

0 likes