Medlem i

12 years 10 months
Indholdselementer
Billede
Sidebar placering
Venstrestillet


Forekomsten af fedme er stigende [1], og antallet af vægtreducerende kirurgiske indgreb stiger år for år. Der udføres nu over 1.000 indgreb om året i Danmark, hyppigst i form af laparoskopisk gastrisk bypass [2].

I denne artikel beskrives to tilfælde af gastric blow out , som er en komplikation, der er særegen for denne type kirurgi, og som bør kendes også på de kirurgiske afdelinger, der ikke udfører fedmekirurgi.

Sygehistorier

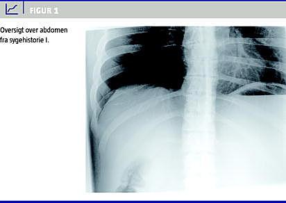
I. En 28-årig mand, som et år tidligere har fået foretaget laparoskopisk gastrisk bypass, blev indlagt akut. Han har i fire dage haft kvalme, opkastningsfornemmelser og intermitterende abdominale smerter. Ved indlæggelsen var der konstante smerter, som var lokaliseret til øvre abdomen. I hele perioden var der normal tarmfunktion. Abdomen var spændt og øm, men uden peritoneal reaktion. Oversigt over abdomen tolkedes primært som normalt (Figur 1 ). Kontrastindgift viste fri og hurtig passage af kontrasten. Patientens tilstand forværredes den følgende time med tiltagende smerter, takykardi og påskyndet respiration. Der var normalt blodtryk, og temperaturen måltes til 35,1 °C (aksiltemperatur). Der foretoges derefter akut operation med fund af svært dilateret ventrikel, flere liter blakket væske intraperitonealt, som kom fra den udshuntede del af ventriklen, hvor der er opstået lækage ved stapler- rækken på grund af en stenose i det ileopankreatiske ben ved jejunojejunostomien. Der anlagdes en gastrostomi, og et stenotisk jejunumstykke på fem cm recesseredes, og afslutningsvis anlagdes der en ny jejunojejunostomi. Der blev givet firestof-antibiotika for sepsistilstanden, og de første dage var patienten på intensiv afdeling. Patienten rettede sig hurtigt, og det postoperative forløb herefter var ukompliceret. Gastrostomisonden seponeredes efter fire uger.

II. En 32-årig kvinde indlagdes akut to måneder efter laparoskopisk gastrisk bypass. Hun klagede over pludseligt opståede stærke abdominalsmerter især lokaliseret til øvre abdomen. Abdomen fandtes udspilet opadtil, ømt men uden defence . Der fandtes at være indikation for akut operation med fund af udspilet ventrikel, sparsom væske i abdomen fra utæt stapler- række i ventriklen på grund af stenose ved jejunojejunostomien. Der anlagdes en gastrostomi, og det stenotiske segment af det bileopancreatiske ben recesseredes, hvorefter der anlagdes en ny jejunojejunostomi. Det postoperative forløb var ukompliceret. Gastrostomisonden seponeredes efter otte uger, da kontrastindgift viste tæt stapler- række.

Diskussion

Ved gastrisk bypass deles ventriklen i to. Den øverste del af ventriklen anastomoseres til jejunum, idet jejunum deles ca. 75 cm fra Treitz' ligament, og den anale del af jejunum føres op til pouchen antekolisk og antegastrisk. Dette alimentære ben forenes med det bileopankreatiske ben ca. 100 cm nede. Resten af tyndtarmen ned til terminale ileum benævnes »fællesbenet« (common limb ). Tidlige procedurespecifikke komplikationer er specielt anastomoselækage og blødning. Sene alvorlige kirurgiske komplikationer til gastrisk bypass er især ulcus svarende til gastrojejunostomien, interne hernier samt stenose svarende til gastrojejunostomien eller jejunojejunostomien. Stenose i det alimentære ben kan sædvanligvis behandles konservativt, men stenose i det bileopankreatiske ben udgør et særligt problem. Komplikationen opstår i 0,07-0,9% tilfælde [3, 4]. Tilstanden kan udvikles akut, men der vil typisk være en udvikling af symptomer over nogle dage med tiltagende ubehag, fornemmelse af kvalme og trang til opkastning, som dog på grund af den ændrede anatomi ikke kan lade sig gøre. Ved tiltagende udspiling af ventriklen på grund af det hæmmede afløb kommer der manglende gennemblødning og efterhånden iskæmi i ventrikelvæggen, ventrikelindholdet bliver purulent, der kan udvikles pankreatitis og intrahepatisk stase med kolangitis og sepsis. Ved røntgenoversigt over abdomen kan der ses en udspilet ventrikel, en diagnose som i Sygehistorie I blev overset. Bedste diagnostiske tiltag er akut computertomografi. I sygehistorie I forekom der en drastisk forværring af patientens tilstand på mindre end en time, hvilket understreger vigtigheden af akut undersøgelse og behandling. Hvis diagnosen stilles tidligt i forløbet, kan der anlægges en ultralydsvejledt gastrostomisonde. Herefter kan man i rolig fase recessere stenosen og anlægge en ny jejunojejunostomi. Hvis patienten når at få gastric blow-out , er behandlingen laparotomi eller laparoskopi med anlæggelse af gastrostomi og udførelse af en ny jejunojejunostomi. De septiske komplikationer er potentielt livstruende, og dødsfald til denne komplikation er beskrevet [4].


Ayoe Sabrina Torrens , Godthåbsvej 101, st. tv., DK-2000 Frederiksberg. E-mail: s_torrens@hotmail.com

Antaget: 8. marts 2009

Interessekonflikter: Ingen


  1. Kirurgisk behandling af svær overvægt - en medicinsk teknologivurdering. Medicinsk Teknologivurdering, 2007;9(3). København: Sundhedsstyrelsen, Enhed for Medicinsk Teknologivurdering, 2007.
  2. Hvolris LE, Naver L. Moderne laparoskopisk adipositaskirurgi. Månedsskrift Prakt Lægegern 2007;85:143-50.
  3. Blachar A, Federle MP. Gastrointestinal complications of laparoscopic Roux-en-Y gastric bypass surgery in patients who are morbidly obese: Findings on radiography and CT. AJR 2002;19:1437-1442.
  4. Cho M, Carrodeguas L, Ointo D et al. Diagnosis and management of partial small bowel obstruction after laparoscopic antecolic antegastric Roux-en-Y gastric bypass for morbid obesity. J Am Coll Surg 2006;202:262-8.
  5. Olbers T, Lönroth H, Fagevik-Olsen M et al. Laparoscopic gastric bypass: Development of technique, respiratory function, and long-term outcome. Obes Surg 2003;13:364-70.


Sidebar placering
Venstrestillet
Article type
Journal
Magazine
Section
References

<ol class="Litt-list">
<li>Kirurgisk behandling af svær overvægt - en medicinsk teknologivurdering. Medicinsk Teknologivurdering, 2007;9(3). København: Sundhedsstyrelsen, Enhed for Medicinsk Teknologivurdering, 2007.</li>
<li>Hvolris LE, Naver L. Moderne laparoskopisk adipositaskirurgi. Månedsskrift Prakt Lægegern 2007;85:143-50.</li>
<li>Blachar A, Federle MP. Gastrointestinal complications of laparoscopic Roux-en-Y gastric bypass surgery in patients who are morbidly obese: Findings on radiography and CT. AJR 2002;19:1437-1442.</li>
<li>Cho M, Carrodeguas L, Ointo D et al. Diagnosis and management of partial small bowel obstruction after laparoscopic antecolic antegastric Roux-en-Y gastric bypass for morbid obesity. J Am Coll Surg 2006;202:262-8.</li>
<li>Olbers T, Lönroth H, Fagevik-Olsen M et al. Laparoscopic gastric bypass: Development of technique, respiratory function, and long-term outcome. Obes Surg 2003;13:364-70.</li>
</ol>

Woodwing Id
275086
Fil
English summary

Summary Gastric blow-out: Complication after obesity surgery Ugeskr L&aelig;ger 2009;171(49):3624-3625 Laparoscopic gastric bypass is the most common type of surgery for morbid obesity in Denmark. The most frequent late complications after gastric bypass are ulcer, internal hernia and stenosis. Two cases of stenosis of the bileopancreatic limb with gastric blow-out are described. Urgent diagnosis with computed tomography and acute surgical treatment is vital as the complication can lead to gastric necrosis, pancreatitis, biliary stasis, sepsis and multi-organ failure within a very short time. Prompt contact to specialized surgeons is advocated.

Bib ref
Ugeskr Læger 2009;171(49):3624-3625
Authors

Reservelæge Ayoe Sabrina Torrens, reservelæge Pernille Wolder Born & overlæge Lars Naver Hvidovre Hospital, Gastroenheden, Kirurgisk Sektion

0 likes
Read time
5