Medlem i

12 years 10 months
Indholdselementer
Billede
Sidebar placering
Venstrestillet


Septisk shock forårsaget af Mycobacterium tuberculosis er sjælden og forbundet med en høj mortalitet. Her beskrives et tilfælde, hvor patienten overlevede det akutte forløb på intensiv afdeling.

Sygehistorie

En 49-årig boligløs mand, mangeårig alkoholmisbruger, blev indlagt akut med diagnosen pneumoni efter 10-12 dages an-amnese med almen sygdomsfornemmelse, dyspnø og produktiv hoste. Ved indlæggelsen var patienten vågen og klar, miseriespræget. Temperatur 39,2°C, C-reaktivt protein 252 mg pr. l, leukocyttal 11,1 × 109 pr. l. En røntgen af thorax viste bilaterale plettede infiltrater. Patienten blev initialt behandlet på stationært sengeafsnit med intravenøs ampicillin/gentamicin på mistanke om bakteriel pneumoni. Dag 4 blev der sendt ekspektorat til undersøgelse for Mycobacterium tuberculosis . Dag 6 ændredes behandlingen til intravenøs cefuroxim/ciprofloxacin pga. manglende klinisk respons. På 7. indlæggelsesdag blev patienten overflyttet til intensiv terapiafsnit pga. respirationsinsufficiens. Han fik efterfølgende akut respiratorisk distress-syndrom (ARDS) og septisk shock. Han blev behandlet med uændrede antibiotika samt respiratorterapi, væskeindgift og vasopressorstoffer. Da den antibiotiske behandling var uden effekt, kontaktede man dag 12 Statens Serum Institut med henblik på opfølgning af mistanken om tuberkulose. Mikroskopi og polymerasekædereaktion af trakealsekret viste M. tuberculosis . Man instituerede 4-stofs antibiotisk behandling med rifampicin, ethambutol, pyrazinamid og isoniazid i ventrikelsonden, hvorved tilstanden hurtigt bedredes, således at vasopressorbehandlingen over de følgende tre dage kunne udtrappes. Herefter var der kun langsom bedring. Først dag 52 var respiratorbehandlingen afsluttet. Dag 54 kunne patienten tilbageflyttes til stamafdelingen i vågen og klar tilstand.

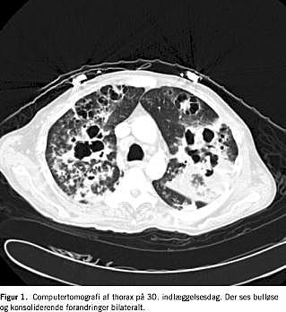
Efterforløbet var præget af respiratoriske komplikationer med bilateral pneumothorax. På dag 87 gik patienten ad mortem. På en computertomografi (CT) af cerebrum, thorax og abdomen foretaget under indlæggelsen sås bulløse og konso-liderende forandringer i begge lunger, ingen CT-påviselige abscesser i abdomen eller centralnervesystemet (Figur 1 ). Gentagne dyrkninger af blod, urin og trakealsekret gav ingen vækst af andre patogener. Hiv-test var negativ. Der blev ikke foretaget obduktion.

Diskussion

M. tuberculosis er den aerobe, syrefaste, stavformede bakterie, der forårsager tuberkulose. Bakterien er forholdsvis lavvirulent, hvorfor infektionen sædvanligvis forbliver latent. Udvikling af aktiv sygdom afhænger af personens immunstatus, navnlig den cellulære immunitet [1]. I Danmark findes infek-tionen især hos indvandrere, som har været massivt eksponeret i hjemlandet. Blandt etniske danskere er der øget prævalens blandt enlige, alkoholiserede mænd og immunsupprimerede personer.

Tuberkulose (TB) viser sig oftest som langsomt voksende caseøse processer i lungerne, evt. med spredning til andre organer. Forløbet er som regel langsomt progredierende. Septisk shock er en yderst sjælden manifestation af sygdommen og er kun kasuistisk beskrevet; if. Michel et al [2] er omkring 20 tilfælde meddelt, alle med dødelig udgang i det akutte stadium.

Årsagen til den sjældne forekomst af septisk shock ved TB er ikke belyst, men både infektionen og det medfølgende immunrespons adskiller sig på en række punkter fra andre bakterielle infektioner. Mycobakterien kan hverken klassificeres som grampositiv eller gramnegativ, og muligvis udskiller den ikke så potente signalmolekyler. Infektionen udspiller sig intracellulært i ikkeaktiverede makrofager, oftest lokaliseret til indkapslede læsioner. Endelig er immunresponset rent T-cellemedieret, dels i form af en delayed type hypersensitivity-reaktion med vævsdestruktion og abscesdannelse, hvorved inficerede makrofager går til grunde, og dels ved aktivering af andre makrofager, som således bliver i stand til at fagocytere og dræbe bakterierne [3]. Man kan forestille sig, at denne immunreaktion er utilbøjelig til at fremkalde et septisk respons. Udbredte vævsnekroser med stort cellehenfald kan have medvirket til, at det skete i dette tilfælde.

Det er aldrig tidligere beskrevet, at en patient har overlevet septisk shock fremkaldt af M. tuberculosis . Tidlig diagnostik og behandling var utvivlsomt afgørende; retrospektivt må det erkendes, at den korrekte behandling kunne have været institueret tidligere, såfremt man straks havde fulgt op på undersøgelsen for M. tuberculosis - der var unægtelig tale om en risikopatient. Det har tidligere været foreslået at påbegynde antituberkuløs terapi alene på klinisk mistanke [4].

Det konkluderes, at tidlig diagnostik og aggressiv behandling - rettet mod den tilgrundliggende årsag - er afgørende for udfaldet af svær tuberkulose. Det er vigtigt at være opmærksom på sygdommen ved pneumoni hos disponerede personer, også i akutte tilfælde med ARDS og septisk shock.


Joakim Cordtz, Hostrups Have 52, 5. th., DK-1954 Frederiksberg C. E-mail: drcordtz@yahoo.dk

Antaget: 5. oktober 2004

Interessekonflikter: Ingen angivet


  1. Raviglione MC, O'Brien RJ. Tuberculosis. I: Harrison's Online. The McGraw-Hill Companies, 2001-2003: kap. 169.
  2. Michel P, Barbier C, Loubière et al. Three cases of septic shock due to tuberculosis without HIV pathology. Intensive Care Med 2002;28:1827-8.
  3. Dannenberg AM. Roles of cytotoxic delayed-type hypersensitivity and macro-phage-activating cell-mediated immunity in the pathogenesis of tuberculosis. Immunobiology 1994;191:46 1-73.
  4. Lim KH, Chong KL. Multiple organ failure and septic shock in disseminated tuberculosis. Singapore Med J 1999;40:176-8.


Sidebar placering
Venstrestillet
Article type
Journal
Magazine
Section
References

<ol class="Litt-list">
<li>Raviglione MC, O'Brien RJ. Tuberculosis. I: Harrison's Online. The McGraw-Hill Companies, 2001-2003: kap. 169.</li>
<li>Michel P, Barbier C, Loubière et al. Three cases of septic shock due to tuberculosis without HIV pathology. Intensive Care Med 2002;28:1827-8.</li>
<li>Dannenberg AM. Roles of cytotoxic delayed-type hypersensitivity and macro-phage-activating cell-mediated immunity in the pathogenesis of tuberculosis. Immunobiology 1994;191:461-73.</li>
<li>Lim KH, Chong KL. Multiple organ failure and septic shock in disseminated tuberculosis. Singapore Med J 1999;40:176-8.</li>
</ol>

Woodwing Id
252846
Fil
English summary

Summary Severe and sudden progress of septic shock related to infection with M. tuberculosis Ugeskr L&aelig;ger 2005;167:2418-2419 Septic shock is an unusual complication of tuberculosis infection. We describe a case of tuberculosis presenting non-specific symptoms of pneumonia deteriorating into ARDS and septic shock. M. tuberculosis was identified in sputum. In repeated standard surveillance cultures, including blood, urine and sputum, no other bacterial agent was found. HIV test was negative. After institution of anti-tuberculous antibiotic treatment and symptomatic therapy including mechanical ventilation and vasopressor/fluid therapy, the patient survived the ICU stay.

Bib ref
Ugeskr Læger 2005;167(22):2418-2419
Authors

Læge Johan Joakim Cordtz, læge Nanna Reiter, overlæge Kjeld A. Jensen & professor Lars Heslet Hjørring Sygehus, Anæstesisektor Nordjylland, 6. Afdeling, og H:S Rigshospitalet, Intensiv Terapiafsnit

0 likes
Read time
5