Medlem i

12 years 10 months
Indholdselementer

Gennem en årrække har antallet af fedmeoperationer været stigende. Halvdelen af alle operationerne foretages hos kvinder i den fertile alder [1]. Den hyppigst anvendte operationsmetode i Danmark er laparoskopisk Roux-en-Y-gastrisk bypass (RYGB) [1].

Graviditet efter RYGB kræver særlig opmærksomhed. Hos den gravide er der risiko for tarmnekrose [1-3], og den hyppigste årsag hertil er intern herniering af tarmen. Symptomerne på intern herniering kan være diskrete med diffuse abdominalsmerter, kvalme og evt. opkastninger og kan ligne almindelige graviditetsgener. Intern herniering opstår hyppigst i tredje trimester og kan have fatale konsekvenser for fosteret [3, 4].

SYGEHISTORIE

En 27-årig kvinde, der efter RYGB i 2009 havde opnået et vægttab på 76 kg, blev planlagt gravid efter
to år. I graviditetsuge 28 + 1 henvendte hun sig med kraftige mavesmerter, lokaliseret i venstre side og i lænden. Smerterne blev beskrevet som turvise med gradvis forværring. Der var opkastninger og tynd
afføring.

Ved UL-skanning fandt man et normalt foster. Biokemisk fandtes normale værdier af zink, selen, B-thiamin, jern, ferritin og folat. En CT med kontrast af abdomen viste intern herniering, og der blev foretaget eksplorativ laparotomi. Her fandtes intern herniering, tarmene blev reponeret, og peritonealdefekterne blev lukket. Kvinden var cirkulatorisk
labil peroperativt, og man påbegyndte bredspektret antibiotikabehandling pga. iskæmisk tarm. Dagen
efter operationen fandtes normale forhold hos fosteret ved UL-skanning. Ved en UL-skanning af fosteret
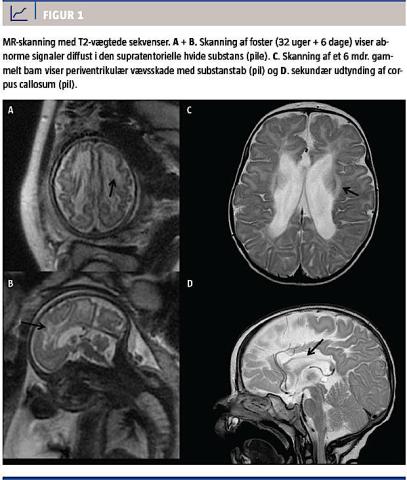
i graviditetsuge 30 + 2 fandtes mistanke om væksthæmning og øget mængde væske cerebralt i de laterale ventrikler. Herefter fulgte et langt forløb med indlæggelser af den gravide kvinde pga. subileus og opkastninger. En MR-skanning i uge 32 + 6 viste diffuse forandringer i den hvide substans periventrikulært i fostrets hjerne (Figur 1). Fødslen blev igangsat i uge 36 + 6 pga. det samlede forløb og mistanken om intrauterin væksthæmning. Fødselsforløbet var ukompliceret, og barnet fik apgarscore 10 efter et minut og efter fem minutter og havde en fødselsvægt på 2.060 g.

Sidebar placering
Venstrestillet
Billede
Sidebar placering
Venstrestillet

Seks måneder gammel blev barnet indlagt pga. tics, skrigeture, manglende hovedkontrol og mistanke om mikrocefali. Man fandt, at barnet havde nedsat bevægelighed i overekstremiteterne, og det greb ikke spontant ud efter ting. En øjenlæge konstaterede, at barnet havde 10% syn på begge øjne. Et EEG viste normale forhold. En MR-skanning af barnets hoved viste et stort ventrikelsystem, glioseforandringer periventrikulært og en meget tynd corpus callosum.

Forandringerne i barnets hjerne var forenelige med asfyktisk skade i fostertilstanden, hvilket kunne forklare barnets symptomer. Barnet havde, da det var 20 måneder gammelt, spastisk tetraplegi.

DISKUSSION

Hyppigheden af intern herniering efter RYGB er 1-5% [3, 4]. Intern herniering forekommer, når det store vægttab resulterer i hurtig reduktion af intraabdominalt fedt, hvilket forstørrer de kirurgiinducerede mesenteriske defekter. Det forstørrede intraabdominale tryk under graviditet øger risikoen for herniering gennem defekterne [3, 4].

I et review fra 2012 med 22 gravide kvinder med intern herniering efter RYGB rapporteredes om to maternelle dødsfald og tre føtale dødsfald [3, 4]. Ved litteraturgennemgang fandt vi ingen cases, hvor intern herniering og operation for dette under graviditet havde ført til erkendt hjerneskade hos et levedygtigt foster.

Hos børn af mødre, der har fået foretaget RYGB, er der beskrevet øget risiko for lav fødselsvægt, væksthæmning [1, 2] og risiko for mangeltilstande pga. malabsorption, der induceres hos moderen ved RYGB [1, 2, 5]. Intrakranial blødning hos det nyfødte barn er beskrevet som følge af lavt K-vitaminniveau hos den gravide pga. malabsorption [5]. Som beskrevet medfører RYGB øget risiko for intern herniering, og i tilfælde af intern herniering under graviditet
tillægges risikoen ved CT-diagnostik, anæstesi og
operation.

RYGB-operation sænker risikoen for præeklampsi, gestationel diabetes og hypertension under graviditeten [1, 2], hvilket kan være til gavn for fosteret. Der er beskrevet færre tilfælde af makrosomi hos
nyfødte børn i forhold til børn født af overvægtige mødre, der ikke har fået foretaget RYGB [2]. I et opfølgende studie fandt man en lavere forekomst af overvægt hos børn og unge, der var født af mødre, der havde fået foretaget RYGB, end hos søskende, der var blevet født før RYGB [2].

Graviditet efter RYGB er en risikotilstand, og ved mavesmerter bør man få mistanke om intern herniering og tarmnekrose. Information om risikoen ved RYGB og en senere graviditet bør indgå i vejledningen af overvægtige kvinder i den fertile alder sammen med information om kendte graviditetskomplikationer, som er associeret med svær overvægt.

Korrespondance: Signe Elisabeth Bødker Thim, Børneafdelingen, Regionshospitalet Randers, Skovlyvej 1, 8930 Randers NØ. E-mail: signeand@rm.dk

Antaget: 8. oktober 2013

Publiceret på Ugeskriftet.dk: 3. februar 2014

Interessekonflikter:

Sidebar placering
Venstrestillet
Article type
Journal
Magazine
Section
References

<h2>Litteratur</h2>
<ol type="d">
<li><p>Renault K, Andersen LL, Kjær MM et al. Graviditet efter bariatrisk kirurgi kræver speciel opmærksomhed. Ugeskr Læger 2012;174:1076-9.</p></li>
<li><p>Dalfra MG, Busetto L, Chilelli NC et al. Pregnancy and foetal outcome after bariatric surgery: a review of recent studies. J Matern Fetal Neonatal Med 2012;25:<br>1537-43.</p></li>
<li><p>Leal-Gonzalez R, Garza-Ramos R, Guajardo-Perez H et al. Internal hernias in pregnant women with history of gastric bypass surgery: case series and review of literature. Int J Surg Case Rep 2012;4:44-7.</p></li>
<li><p>Torres-Villalobos GM, Kellogg TA, Leslie DB et al. Small bowel obstruction and internal hernias during pregnancy after gastric bypass surgery. Obes Surg 2009;<br>19:944-50.</p></li>
<li><p>Eerdekens A, Debeer A, van HG et al. Maternal bariatric surgery: adverse outcomes in neonates. Eur J Pediatr 2010;169:191-6.</p></li>
</ol>

Woodwing Id
48262
Fil
Conflict of interest
English title
Foetal brain damage may follow gastric bypass surgery
English summary

Bariatric surgery is performed on an increasing number of women of childbearing age. During pregnancy they have reduced risk of obesity-related complications but increased risk of bariatric surgery-related complications, including internal hernias. We present a case in which a pregnant woman required acute surgery for internal herniation and later gave birth to a child with cerebral palsy. Before performing bariatric surgery in women of childbearing age, thorough information about risks and benefits related to pregnancy should be given. Special medical attention during pregnancy is required.

Authors workplaces

1) Børneafdelingen, Regionshospitalet Randers
2) Gynækologisk-obstetrisk Afdeling Y, Aarhus Universitetshospital
3) MR-Centret, Billeddiagnostisk Afdeling, Aarhus Universitetshospital

Ugeskr Læger 2014;176:V07130431

Bib ref
Ugeskr Læger 2015;177:V07130431
Article number
V07130431
Authors

Signe Elisabeth Bødker Thim1, Per Glud Ovesen2, Anders Straarup Johansen1, Helle Hansen Smedegaard1, Brian Stausbøl-Grøn3 & Kirsten Wisborg1

0 likes