Medlem i

13 years 1 month
Indholdselementer

Tuberkulose er en infektionssygdom, som er forårsaget af Mycobacterium tuberculosis (TB), der oftest afficerer lungerne [1]. Ifølge WHO blev der i 2013 konstateret ni millioner nye tilfælde, og 1,5 millioner døde af sygdommen [2]. I 2012 var der i Danmark 391 nye tilfælde af tuberkulose [1].

Resistent TB er en stigende byrde for sundhedsvæsenet i de højendemiske lande [3], men også i Dan-
mark bør man være opmærksom på denne udfordring. Her var der i 2010 fem patienter, som havde monoresistent TB [4]. Multidrug-resistant TB (MDR-TB) blev i 2012 konstateret i et tilfælde i Danmark. Extensively drug-resistant TB (XDR-TB) beskrives sporadisk i flere lande og er første gang konstateret i Danmark i 2013 [5]. Vi beskriver det første tilfælde af XDR-TB i Dan-
mark.

SYGEHISTORIE

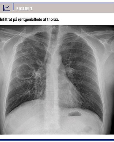
I august 2013 blev en 40-årig russisk mand henvist
til lungemedicinsk udredning pga. hoste, nattesved, feber samt infiltrat på røntgenbilledet af thorax
(Figur 1). Patienten var nogle måneder forinden ankommet som flygtning til Danmark. Han havde i en periode siddet fængslet i hjemlandet. Patienten forklarede, at han i 2011 havde været i behandling for tuberkulose og nu igen følte sig syg. De nærmere forhold ved den tidligere behandling var patienten noget tilbageholdende med på trods af relevant tolk.

Sidebar placering
Venstrestillet
Billede
Sidebar placering
Venstrestillet

Objektivt fremstod patienten som en klassisk tuberkulosepatient: kronisk nedsat almentilstand, feber, vægttab, hoste, bilyde på højre lunge og infiltrat på røntgen af thorax. Paraklinisk sås der let forhøjede infektionstal (C-reaktivt protein-niveau 19 mmol/l og leukocyttal 9,33 × 109/l). Ved mikroskopi af ekspektorat påvistes mange syrefaste stave.

På dette grundlag påbegyndtes standard antituberkuløs behandling. Ved 14-dageskontrol var patienten komplient til behandlingen, og bivirkningerne heraf var begrænsede til kvalme. Ved enmånedskontrollen mødte patienten tilfældigt en russisktalende læge, og den fulde anamnese kom frem. Patienten havde langvarigt været i behandling i Rusland med flere andenlinjemidler (bl.a. kanamycin). På dette tidspunkt var der stadig ikke svar på TB-dyrknin-
gen eller resistensbestemmelsen. På mistanke om MDR-TB blev patienten omgående indlagt på en højtspecialiseret afdeling, hvor man overtog den videre behandling. Patienten kom sig og blev smittefri.

Resistensbestemmelsen viste resistens for isoniazid, rifampicin, ethambutol, moxifloxacin, amikacin, ofloxacin, rifabutin, capreomycin, ethionamid, linezolid, kanamycin og paraaminosalisylsyre, men følsomhed for cycloserin og pyrazinamid. Foreløbig var den genotypiske resistensbestemmelse udført på isolat. Den viste resistensmutationer for rifampicin, isoniazid, quinoloner, aminoglycosider og ethambutol.

På baggrund af disse fund klassificeredes tilfældet som XDR-TB.

DISKUSSION

I sygehistorien beskrives, hvorledes en flygtning kan være flere måneder i Danmark med klassiske tuberkulosesymptomer, uden at dette medfører nærmere undersøgelse. Det er sandsynligt, at forskelle i kul-
tur og sprog bidrog hertil. Manglende oplysninger i anamnesen og sen kontakt til sundhedssystemet skyldtes i høj grad patientens betænkeligheder ved at anmode om hjælp. Ydermere tydeliggør sygehistorien, at man bør være mere bevidst om resistent TB. Særligt bør man have en strategi for patienter fra højendemiske områder (Centralasien og Østeuropa [6]) der kan have tuberkulose. Disse patiener bør systematisk undersøges med den hurtigere og tilgængelige polymerasekædeundersøgelse for resistens, som Statens Serum Institut har foretaget siden 2008 [7].

Med denne kasuistik ønsker vi at skabe fokus på, at resistent TB findes i Danmark. Denne nye viden samt flygtningesituationen i verden gør det relevant også her i Danmark at have en strategi for opsporing af patienter med resistent TB.

Korrespondance: Malene Søby Christophersen, Medicinsk Afdeling, Vejle
Sygehus, Sygehus Lillebælt, Kabbeltoft 25, 7100 Vejle.
E-mail: fru.christophersen@gmail.com

Antaget: 28. januar 2015

Publiceret på Ugeskriftet.dk: 20. april 2015

Interessekonflikter:

Taksigelser: Røntgenafdelingen på Vejle Sygehus takkes for røntgenbilledet.

Sidebar placering
Venstrestillet
Article type
Journal
Magazine
Section
References

<h2>Litteratur</h2>
<ol type="d">
<li><p>www.ssi.dk/service/sygdomsleksikon/t/tuberkulose.aspx (2. jan 2015). </p></li>
<li><p>www.who.int/mediacentre/factsheets/fs104/en/ (2. jan 2015).</p></li>
<li><p>Dheda K, Theron G, Peter JG et al. TB drug resistance in high-incidence countries.I: Lange C, Migliori B, red. Tuberculosis.Sheffield: European Respiratory Society, 2012. </p></li>
<li><p>Kliiman K, Günther G, Altraja A. TB drug resistance in low-incidence countries. I: Lange C, Migliori B, red. Tuberculosis.Sheffield: European Respiratory Society, 2012. </p></li>
<li><p>J. Limardo. TB incidence increasing in Denmark. 31. jan 2014, VNdaily.</p></li>
<li><p>D’Ambrosio L, Spanevelo A, Centis R. Epidemiology of TB. I: Lange C, Migliori GB, red. Tuberculosis. Sheffield: European Respiratory Society, 2012;58:14-24.</p></li>
<li><p>www.ssi.dk/Aktuelt/Nyhedsbreve/DIAGNOSTIK-NYT/2009/Januar%202009%20nr%2… (2. jan 2015).</p></li>
</ol>

Woodwing Id
53474
Fil
Conflict of interest
English title
First case of extensively drug-resistant tuberculosis in Denmark
English summary

In 2013 the first case of extensively drug-resistant tuberculosis was observed in Denmark. A 40-year-old male immigrant had previously been treated with several different antibiotics in his native country Russia. Because of earlier imprisonment in Russia and the fear of reincarceration he did not fully inform the Danish authorities about his disease and treatment. Therefore, he was initially treated with first-line drugs. Once the whole truth emerged and the result of the resistance test was available he was admitted to a highly specialized unit for further treatment.

Authors workplaces

Medicinsk Afdeling, Vejle Sygehus, Sygehus Lillebælt
National Reference-laboratorium for TB- og Mykobakterier, Statens Serum Institut

Ugeskr Læger 2015;177:V11140587

Bib ref
Ugeskr Læger 2015;177:V11140587
Article number
V11140587
Authors

Malene Søby Christophersen1, Erik Svensson2 & Steffen Helmer Kristensen1

0 likes