Medlem i

12 years 10 months
Indholdselementer
Billede
Sidebar placering
Venstrestillet


Total aganglionær tarm ved morbus Hirsch-sprung medfører svært kompromitteret tarmfunktion, der gør barnet afhængigt af parenteral ernæring (PN) for at opnå normal vækst og udvikling. Leverinsufficiens og kartromboser er hyppige og livstruende komplikationer til langvarig PN [1, 2]. Kombineret tyndtarms- og levertransplantation (Tx) kan da være eneste livsreddende mulighed. Denne kasuistik beskriver det første og hidtil eneste danske barn, som har fået foretaget en tyndtarms-Tx.

Kasuistik

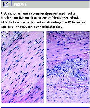
En fuldbåren pige, der var født af raske forældre, viste i de første levedøgn tegn på meconiumileus. Peroperative biopsier fra colon og tyndtarm viste total aganglionær tarm (Figur 1 ), hvilket er foreneligt med morbus Hirschsprung. Der blev anlagt en høj jejunostomi 50 cm distalt for Treitz ligament. Yderligere resektion var nødvendig på grund af pseudoobstruktion, således at patienten endte med 35 cm tyndtarm. Hun blev ernæret med PN i et tunneleret centralt venøst kateter (CVK) og varierende mængder af mad. I forløbet havde pigen flere kateterinfektioner, som nødvendiggjorde skift af CVK. Okkluderede vener gjorde det imidlertid tiltagende svært at finde intravenøs adgang. Alt dette til trods havde pigen en normal fysisk og psykomotorisk udvikling. Familien stod selv for det meste af plejen og blev oplært til at administrere hjemme-PN.

Godt fem år gammel tilkom begyndende leverinsufficiens og som 5,5-årig blev pigen henvist til vurdering på tarmtransplantationscenteret i Birming-ham, England. Pigen havde på daværende tidspunkt tiltagende icterus med serumkoncentration af bilirubin på 400-500 mikromol/l og alanin-aminotransferase på 250 U/l. Ved ultralydsskanning fandtes leveren forstørret til umbilicusniveau, og milten målte 19 cm som tegn på moderat portal hypertension.

Den multiviscerale Tx foregik to måneder senere, efter at man havde fundet en egnet donor. Man transplanterede en reduceret lever (segment to, tre og halvdelen af segment fire), pancreas og 270 cm tyndtarm med anlæggelse af ileostomi. Postoperativt forblev pigen indlagt i fire måneder, hvor man bl.a. behandlede en afstødningsreaktion med høje doser prednisolon. En vedvarende feber var med til at udskyde udskrivelsen, og i efterforløbet fik pigen en Epstein-Barr-virusinfektion, på trods af at hun præoperativt havde immunglobulin G-antistoffer herimod.

Ved udskrivelsen var pigen i trivsel på fuld enteral ernæring, der delvist blev givet i ventrikelsonde om natten. Hun var i immunosuppressiv behandling med prednisolon og tacrolimus, fik infektionsprofylakse (sulfamethoxazol + trimetoprim, amphotericin B, nystatin og acyclovir) samt ursodeoxycholsyre. Ileostomien fungerede med ca. 700 ml tynd afføring dagligt. Ventrikelsonden kunne seponeres cirka ni måneder efter Tx. Der var nu aftagende Cushing-præg, og pigen havde fået en markant forbedret livskvalitet. Ved seneste kontrol 32 måneder efter Tx var pigen fortsat i velbefindende. Hun er stadig i antimykotisk og immunosuppressiv behandling (tacrolimus + prednisolon) og behøver ursodeoxycholsyre, magnesium, og multivitamin. Pigen følges ambulant hver tredje måned, skiftevis på Tx-centeret i Birmingham og på et dansk sygehus.

Diskussion

Langvarig PN-behandling medfører risiko for komplikationer, herunder kateterrelateret sepsis, venøse tromboser og mangel på egnede intravenøse adgange [3]. Ca. 40-60% af børn på langvarig PN udvikler endvidere tarmsvigtsassocieret leversygdom (intestinal failure associated liver disease (IFALD)) [1], med stigende leverenzymer, fibrose og til slut levercirrose. Kombinationen af splenomegali, cirrose og forhøjet serumbilirubin (> 100 mikromol/l) er indikator for kort overlevelse (typisk under et år) [4].

Den primære behandling af tarmsvigt er langvarig PN. Irreversibelt tarmsvigt, progressiv leversygdom og tiltagende kateterproblemer i form af sepsis, tromboser og mangel på egnede vener til CVK er indikation for tarm-Tx.

Tx-kirurgien er under fortsat udvikling. Afhængig af patientens diagnose foretages enten isoleret tyndtarms-Tx, isoleret lever-Tx eller en kombineret lever- og tyndtarms-Tx. Det er muligt at transplantere en del af voksne donorers lever (split graft ) og tarm, hvilket har øget antallet af mulige donorer [1].

De hyppigste postoperative komplikationer er opportunistiske infektioner eller afstødning (akut eller kronisk). Sepsis er den største bidragyder til den postoperative mortalitet. Op mod 80% af de tyndtarmstransplanterede børn kan med tiden undvære PN, enkelte har dog pga. spiseproblemer brug for supplerende sondekost. En nylig opgørelse fra Tx-centret i Birmingham viste en femårsoverlevelse på ca. 70% for tyndtarmstransplanterede børn [4].


Steffen Husby , Børneafdeling H, Odense Universitetshospital, H.C. Andersen Børnehospital, DK-5000 Odense.

E-mail: steffen.husby@ouh.regionsyddanmark.dk

Antaget: 20. august 2009

Først på Nettet: 16. november 2009

Interessekonflikter: Ingen



Sidebar placering
Venstrestillet
Article type
Journal
Magazine
Section
References

<ol class="Litt-list">
<li>Gupte GL, Beath SV, Kelly DA et al. Current issues in the management of intestinal failure. Arch Dis Child 2006;91:259-64.</li>
<li>Goulet O, Ruemmele F. Causes and management of intestinal failure in children. Gastroenterology 2006;130:16-28.</li>
<li>Mehta C, De Giovanni J, Sharif K et al. Stereotactic technique of catheter placement in the stump of the superior vena cava in children with impaired venous -access. J Vasc Interv Radiol 2006;17:2005-9.</li>
<li>Gupte GL, Beath SV, Protheroe S et al. Improved outcome of referrals for intestinal transplantation in the UK. Arch Dis Child 2007;92:147-52.</li>
</ol>

Woodwing Id
238962
Fil
Bib ref
Ugeskr Læger 2010;172(11):886-887
Authors

Kursusreservelæge Lisbeth Marianne Thøstesen, overlæge Lissi Bank Lassen, professor Niels Qvist, overlæge Girish Gupte, England & professor Steffen Husby Odense Universitetshospital, H.C. Andersen Børnehospital, Børneafdeling H

0 likes