Medlem i

12 years 10 months
Indholdselementer

De hyppigste årsager til forhøjet koncentration af immunglobulin (Ig) E) er atopisk/allergisk sygdom og infektion (oftest parasitær).

Sjældnere årsager er bl.a. inflammatorisk sygdom, hæmatologisk sygdom, paraneoplastisk syndrom og primær immundefekt. IgE-koncentration
er dog hverken en sensitiv eller specifik diagnostisk markør for en given sygdom [1]. I det følgende
præsenteres en sygehistorie, hvor en patient med
forhøjet IgE-koncentration viste sig at have lungeemboli (LE).

SYGEHISTORIE

En 52-årig kvinde med kronisk obstruktiv lungesygdom (KOL) og kronisk træthedssyndrom blev indlagt pga. intermitterende feber, nattesved, et utilsigtet vægttab på 12 kg og tiltagende funktionsdyspnø over en måned. Ved ankomsten fandt man blodtryk på 123/84 mmHg, puls på 80 slag/min, respirationsfrekvens på 18/min, iltsaturation på 92% og temperatur på 37,9 °C.

Et elektrokardiogram viste inverterede T-takker i afledningerne II, III og aVF, og en røntgenundersøgelse af thorax viste normale forhold. En lungefunktionsundersøgelse viste forceret eksspiratorisk volumen i første sekund (FEV1) på 36% af forventet, forceret vitalkapacitet (FVC) på 75% af forventet, og et FEV1/FVC-indeks på 40%, hvilket bekræftede patientens KOL-diagnose.

Da patienten havde fire indeboende katte, blev der bestilt P-Ig, som viste forhøjet P-IgE-niveau på 1.482 k(IE)/l (referenceværdi: 0,0-100 k(IE)/l).

Ved den øvrige initiale parakliniske udredning fandt man koncentrationer af eosinofile granulocytter på 0,0 mia./l (referenceværdi: 0,1-0,5 mia./l) og C-reaktivt protein på 40 mg/l (referenceværdi:
< 6 mg/l).

Den lave koncentration af eosinofile granulocytter talte imod infektiøs (parasitær), allergisk eller
inflammatorisk reaktion [1], men for en sikker-
heds skyld udførte man bloddyrkning og fæcesundersøgelse for parasitter, som begge var negative, og hudpriktest, som kun var positiv for husstøv-
mider.

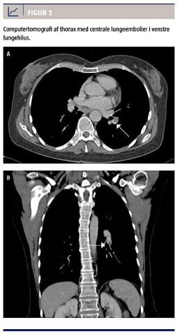
Pga. fortsat manglende diagnostisk afklaring blev der foretaget en computertomografi, som viste centrale LE i venstre lungehilus (Figur 1) og en dyb venøs trombose (DVT) i venstre v. iliaca communis. En ekkokardiografi viste normale forhold. Patienten blev behandlet med dalteparin og warfarin efter vanlige retningslinjer [2], hvorpå man observerede hastigt faldende P-IgE (1.000 k(IE)/l efter fire dages
behandling, 773 k(IE)/l efter ti dage). Der blev ikke givet glukokortikoid i forløbet. Hun blev udskrevet efter i alt 14 dages indlæggelse.

Sidebar placering
Venstrestillet
Billede
Sidebar placering
Venstrestillet

Efterfølgende udredning for malignitet (hæmatologisk- og gynækologisk sygdom, gastrointestinale endoskopier) og koagulopati afslørede fraset et hiatushernie ingen abnormaliteter.

Ved en opfølgende kontrol seks måneder senere var P-IgE-koncentrationen faldet til 354 k(IE)/l. Allergenspecifik IgE var kun positiv for husstøvmider (2,08 k(IE)/l for Dermatophagoides farinae, 2,18 k(IE)/l for D. pteronyssinus (< 0,35 k(IE)/l for begge)). Lungefunktionen var uændret, og der havde ikke været symptomrecidiv.

DISKUSSION

LE kan fremstå diffus og subtil. De enkelte symptomer, kliniske og biokemiske fund har lav diagnostisk sensitivitet og specificitet, og i ca. 30% af tilfældene findes der ingen disponerende faktorer [2, 3]. Blandt disse uspecifikke fund findes forhøjet IgE-koncentration [4].

I et enkelt studie [4] med 14 patienter, der havde LE, var S-IgE signifikant højere inden for de første to uger efter stillet diagnose end efter 3-4 uger. Patienterne med de højeste værdier af S-IgE havde DVT. Koncentrationen af eosinofile granulocytter var normal.

Årsagen til den forhøjede IgE-koncentration ved LE er uafklaret. De to foreslåede teorier er hhv. et
immunrespons mod nekrotisk væv (IgE-dannelse i B-lymfocytter induceret af interleukin-4 frigivet fra T-hjælper-celler) og et nonallergisk respons medieret af cirkulerende stoffer såsom pladeaktiverende faktor frigivet fra selve embolus eller relaterede celler, bl.a. mastceller, makrofager og endotelceller [4]. Også ved akut koronarsyndrom og stabil iskæmisk hjertesygdom ses der forhøjet IgE-koncentration, men mekanismen er ikke nødvendigvis den samme [5].

Ved fund af forhøjet IgE-koncentration bør man først og fremmest udelukke infektion og atopisk/allergisk sygdom. Afhængigt af de kliniske og parakliniske fund kan man derefter undersøge for de sjældnere tilstande [1]. Dette inkluderer LE, som bør overvejes trods uspecifikke symptomer og fravær af typiske disponerende faktorer, hvilket er illustreret i nærværende sygehistorie.

KORRESPONDANCE: Manan Pareek, Hjertemedicinsk Afdeling B,
Aarhus Universitetshospital, Brendstrupgårdsvej 100, 8200 Aarhus N.
E-mail: mananpareek@dadlnet.dk

ANTAGET: 17. oktober 2012

FØRST PÅ NETTET: 29. april 2013

INTERESSEKONFLIKTER: Forfatternes ICMJE-formulere er tilgængelige sammen med artiklen på Ugeskriftet.dk

Sidebar placering
Venstrestillet
Article type
Journal
Magazine
Section
References

<h2>LITTERATUR</h2>
<p class="para para_litteratur_1tal">1. Pien GC, Orange JS. Evaluation and clinical interpretation of hypergammaglobulinemia E: differentiating atopy from immunodeficiency. Ann Allergy Asthma Immunol 2008;100:392-5.</p>
<p class="para para_litteratur_1tal">2. Torbicki A, Perrier A, Konstantinides S et al. Guidelines on the diagnosis and management of acute pulmonary embolism: the Task Force for the Diagnosis and Management of Acute Pulmonary Embolism of the European Society of Cardiology (ESC). Eur Heart J 2008;29:2276-315.</p>
<p class="para para_litteratur_1tal">3. Konstantinides S. Clinical practice. N Engl J Med 2008;359:2804-13. </p>
<p class="para para_litteratur_1tal">4. Takekawa H, Miyamoto K, Yamaguchi E et al. Acute rise in serum immunoglobulin E concentration in pulmonary thromboembolism. Chest 1993;104:61-4.</p>
<p class="para para_litteratur_1tal">5. Sinkiewicz W, Błazejewski J, Bujak R et al. Immunoglobulin E as a marker of the atherothrombotic process in patients with acute myocardial infarction. Cardiol J 2007;14:266-73.</p>

Woodwing Id
16655
Conflict of interest
English summary

Increased plasma levels of immunoglobulin E can be due to pulmonary embolismUgeskr Laeger 2013 Apr 29 [Epub ahead of print]Increased plasma levels of immunoglobulin E (IgE) are encountered in various clinical settings, most often infection or atopic/allergic disease. IgE, however, is neither a sensitive, nor a specific marker for any particular disease. We describe a case of a 52-year-old woman presenting with non-specific symptoms and increased plasma IgE levels on admission. Atopy/allergy, infection and malignancy were ruled out, and the only plausible cause remained a pulmonary embolism found incidentally on a computed tomography. The patient&rsquo;s IgE levels rapidly declined after the initiation of anticoagulant therapy.

Article number
V06120314
Authors

Manan Pareek1 & Mette Lundgren Nielsen2

0 likes