Medlem i

13 years 1 month
Indholdselementer
Billede
Sidebar placering
Venstrestillet


Follikulære dendritiske celler (FDC) er ikkelymfoide celler, som er essentielle for antigenpræsentation i lymfefollikler. Tumorer udgået fra FDC er sjældne, der er publiceret beretning om et begrænset antal tilfælde [1, 2]. Diagnosen stilles på basis af morfologi og immunhistokemiske fund [3], evt. på basis af elektronmikroskopisk undersøgelse. Da denne type cancer aldrig tidligere er beskrevet på dansk, omtales her et tilfælde, og de klinisk-patologiske karakteristika og udfordringerne ved diagnose og behandling diskuteres.

Sygehistorie

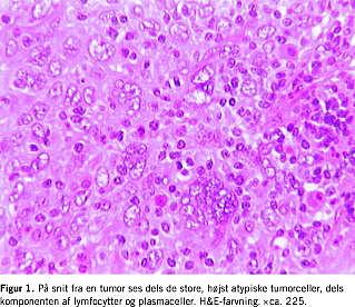
En 30-årig mand blev indlagt med diagnosen tumor intraabdominalis. Ved magnetisk resonans (MR)-skanning og computertomografi (CT) fandt man en 10 × 13 × 20 cm stor tumor i højre side af abdomen, sandsynligvis udgået fra venstre leverlap og med metastasesuspekte forandringer i leveren. Ultralyd (UL)-vejledt biopsi viste en ikkeklassificerbar tumor. Ved en operation fjernedes en 1,6 kg tung, stilket tumor, der var relateret til caput pancreatis. 2-3 metastatiske foci genfandtes i højre leverlap, men kunne ikke fjernes med hemihepatektomi pga. en atrofisk venstre leverlap. Ved mikroskopi blev der fundet en solid, cellerig tumor med tumultarisk cellearrangement, fokalt med et vist fascikulært præg, bestående af en storcellet, udtalt polymorf cellepopulation med mange bizarre kæmpeceller iblandet lymfocytter og plasmaceller (Figur 1 ). Cellekernerne var vesikulære med prominerende nukleoler. Mitosetallet var højt. Immunhistokemisk var tumorcellerne CD21 og CD23 positive. Ved ektronmikroskopi påvistes interdigiterende cytoplasmatiske udløbere med desmosomer. Diagnosen var follikulært dendritcellesarkom. En fornyet CT viste multiple levermetastaser og ingen ekstrahepatiske tumorer. Patienten fik kemoterapi med epirubicin i maksimal dosis; der var behandlingsrepons, men en efterfølgende positronemissionstomografi (PET) afslørede fire små levermetastaser, som blev ekscideret. Ved tremånederskontrol var patienten tumorfri, men efter seks måneder blev der fundet recidiv, og syv metastaser blev behandlet med radiofrekvensablation. Ved nimånederskontrol blev der fundet nyt recidiv i leveren med involvering af alle segmenter, men der var stadig ingen tumorprocesser ekstrahepatisk. På dette tidspunkt, to år efter primæroperationen, var alle behandlingsmuligheder, fraset levertransplantation udtømte. Trods en malign diagnose og trods at erfaring for levertransplantation ved denne sygdom savnedes, fik patienten tilbud om og accepterede en levertransplantation. Det postoperative forløbet var ukompliceret, og patienten blev fuldt restitueret, tilbage i arbejde og uden tegn på recidiv.

Diskussion

FDC-sarkom er et sjældent neoplasme, der først blev beskrevet af Monda et al i 1986 [4]. Hidtil er der rapporteret om ca. 70 tilfælde. FDC-sarkom opstår oftest i lymfeknuder, men ca. en tredjedel er ekstranodale; lokaliseret i milt, lever, pancreas, tyndtarm, tonsiller, mundhule, hud, bløddelsvæv eller mamma [2, 5]. Metastaser findes hyppigst i lymfeknuder, lever og lunger [3]. Selv om sarkomet kan optræde hos personer på alle alderstrin, rammes flest unge voksne [1], kønsfordelingen er ligelig. Eneste formodede prædisponerende faktor er Castlemans disease; 10-20% er relateret hertil, og sædvanligvis til den hyaline vaskulære type.

Diagnosen er vanskelig at stille, den hviler på morfologi, immunhistokemisk undersøgelse med CD21-, CD23- eller CD35-positivitet og evt. på elektromikroskopi med påvisning af lange cytoplasmatiske processer med mature desmosomer. Værdien af finnålsbiopsi er uafklaret [3]. Recidivraten er fundet at være > 43%, metastaseraten > 24% [3]. Differentialdiagnosen afhænger af lokalisationen og kan inkludere tymom, storcellet lymfom, leiomyomatøs tumor, malignt melanom, gastrointestinal stromal tumor, meningeom, histiocytært sarkom, Langerhans cellehistiocytose og spindlecellekarcinom [1]. Behandlingen er kontroversiel, generelt er resektion med bred margin anbefalet. Hvilken værdi kemoterapi eller strålebehandling har, er ikke klarlagt. Ved aggressiv sygdom bør strålebehandling overvejes. Adjuverende kemoterapi, inkl. cyclophosphamid, doxorubicin, vincristin, prednisolon (CHOP), carboplatin eller adriamycin anbefales af flere [5]. Erkendelse af og rapportering om nye tilfælde er nødvendig for at kunne definere tumorens udvikling mere nøjagtigt. Behandlingen af den her omtalte patient med levertransplantation var teoretisk svagt underbygget, men var sidste mulighed og begrundet dels i manglende sikre oplysninger om dårlig prognose, dels i det lange forløb uden ekstrahepatisk manifestation.


Christian T. Bonde, Afdeling for Plastikkirurgi og Brandsårsbehandling, H:S Rigshospitalet, DK-2100 København Ø.

E-mail: bonde@rh.dk

Antaget: 20. august 2004

Interessekonflikter: Ingen angivet



Sidebar placering
Venstrestillet
Article type
Journal
Magazine
Section
References

<ol class="Litt-list">
<li>Chan JK, Fletcher CD, Nayler SJ et al. Follicular dendritic cell sarcoma. Cancer 1997;79:294-313.</li>
<li>Jaffe ES, Harris NL, Stein H et al, eds. World Health Organization. Classification of tumours pathology &amp; genetics. Lyon: IARC Press, 2001.</li>
<li>Nakashima T, Kuratomi Y, Shiratsuchi H et al. Follicular dendritic cell sarcoma of the neck; a case report and literature review. Aurus Nasus Larynx 2002;29:401-3.</li>
<li>Monda L, Warnke R, Rosai J. A primary lymph node malignancy with features suggestive of dendritic reticulum cell differentiation. Am J Pathol 1986;122: 562-72.</li>
<li>Fonseca R, Yamakawa M, Nakamura S et al. Follicular dendritic cell sarcoma and interdigitating reticulum cell sarcoma: a review. Am J Hematol 1998;59: 161-7.</li>
</ol>

Woodwing Id
254332
Fil
English summary

Summary Follicular dendritic cell sarcomas Ugeskr L&aelig;ger 2005;167: 1969-1970 Follicular dendritic cell (FDC) sarcomas are rare neoplasms arising from antigen-presenting cells in B-lymphofollicles at nodal and extranodal sites. They are difficult to treat since they have a high level of recurrence and metastatic potential. A case of a 30-year-old man with FDC sarcoma arising in the abdomen is presented. Review of the literature provides the most current information for the diagnosis and treatment of this unusual tumour.

Bib ref
Ugeskr Læger 2005;167(18): 1969-1970
Authors

Klinisk assistent Christian T. Bonde, stud.med. Sidse Kringelholt Nielsen, afdelingslæge Anne Mellon Mogensen, professor Preben Kirkegaard & overlæge Allan Rasmussen H:S Rigshospitalet, Mave-tarm-kirurgisk Afdeling C og Patologiafdelingen

0 likes
Read time
4