Medlem i

12 years 10 months
Indholdselementer

Fitz-Hugh-Curtis’ syndrom (FHCS) er en komplikation i forbindelse med underlivsinfektion (PID) og giver perihepatitis med smerter under højre kurvatur. Tilstanden er typisk forårsaget af klamydia eller gonorré. Det er uafklaret, om der er tale om en direkte ascenderende, lymfogen eller hæmatogen spredning [1] eller et immunrespons [2]. FHCS kan ses hos begge køn, dog primært hos kvinder [1].

SYGEHISTORIE

En i øvrigt rask 21-årig kvinde blev indlagt pga. febrilia og højresidige abdominal- og flankesmerter. Smerterne havde stået på i 3-4 dage, havde ingen udstråling og blev fremkaldt af bevægelse og dyb inspiration. Objektivt fandt man en temperatur på 39,5 °C og palpationsømhed under højre kurvatur. C-reaktivt protein (CRP)-niveauet var på 120 nmol/l, leukocytniveauet 14,4 mia./l, S- humant choriongonadotropin < 1, og urinstiks var med leuko- og erytrocytter. Lever- og galdetal var normale, og en urindyrkning var uden vækst. En UL-skanning viste normalt leverparenkym, ingen galdestase og upåfaldende nyrer og urinveje.

Ved et gynækologisk tilsyn blev der bemærket pletblødning, som havde stået på i 14 dage, og gulligt udflåd. Objektivt sås en spiral in situ, gulligt fluor vaginalis og minimal rokkeømhed. Ved transvaginal UL-skanning (TVUL) sås to normale ovarier og klos op ad disse på hver side en cystisk solid proces på hhv. 27 × 31 mm og 23 × 25 mm, hvilket gav diagnostiske udfordringer og initialt blev tolket som hydrosalpinges, alternativt abscesser, på trods af ikkeoplagte ultrasoniske tegn herpå. Der blev podet for klamydia og gonorré, målt cancerantigen (CA)-125-niveau og planlagt ambulant kontrol.

På mistanke om pyelonefritis blev patienten behandlet med piperacillin/tazobactam. Infektionstallene faldt, og smerterne aftog gradvist.

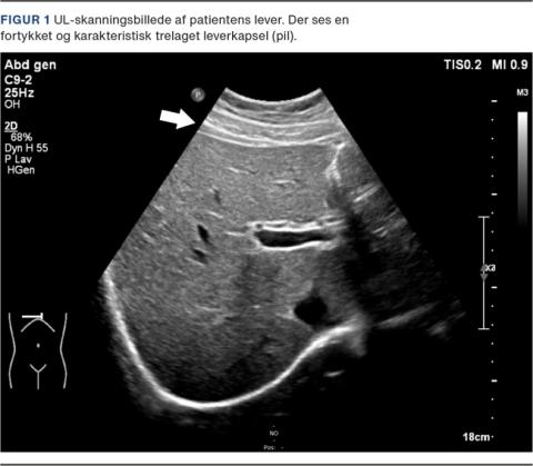
Klamydiapodningen var positiv, og derfor opstod der mistanke om FHCS. Ved en sekundær gennemgang af UL-skanningen af leveren sås en fortykket og tredelt kapsel (Figur 1). CA-125-niveauet var 140 kE/l, hvilket man antog var reaktivt forhøjet.

Sidebar placering
Venstrestillet
Billede
Sidebar placering
Venstrestillet

Patienten fik herefter 1 g azithromycin, spiralen blev fjernet, og hun blev udskrevet med tablet doxycyclin 100 mg × 2 dagligt i ti dage. Atten dage senere var smerterne stort set borte, og der sås ikke længere ovariepatologi på TVUL. Efter en måned var CA-125-niveauet normaliseret. Til kontrol ni uger efter udskrivelsen var patienten i velbefindende, og TVUL var upåfaldende fraset lidt fri væske med skillevæg omkring højre ovarium, hvilket blev tolket som sequelae i form af adhærencer.

DISKUSSION

Vi præsenterer denne sygehistorie for at henlede opmærksomheden på FHCS, der er en diagnose, som er udfordrende at stille, da symptomer og fund ofte er uspecifikke. Forekomsten er ukendt, men anslås at være 4-27% blandt patienter med PID [3].

Diagnosen er primært klinisk og støttes ved udelukkelse af differentialdiagnoser, f.eks. galdesten, og identifikation af patogenet [2].Kardinalsymptomet er smerter under højre kurvatur, og smerterne forværres ved bevægelse og vejrtrækning. Der kan desuden være febrilia og tegn på PID [1].Paraklinisk findes der forhøjet CRP-niveau, typisk under 90 nmol/l, hvorfor det høje CRP-niveau hos patienten i sygehistorien er usædvanligt. Lever-galde-værdier er ved FHCS typisk upåvirkede [2].Ved UL-skanning af leveren kan der ses en fortykket og trelaget leverkapsel [3]. Ved CT med kontrast kan der ses en fortykket og opladende leverkapsel i arteriefasen [1].

Den endelige diagnose stilles laparoskopisk, hvor man kan se »violinstrenge«, som er fibrøse strøg mellem leverkapslen og abdominalvæggen.Laparoskopi foretages kun, hvis symptomerne persisterer trods antibiotisk behandling, så diagnosen kan endeligt bekræftes. I behandlingsøjemed kan der foretages adhæsiolyse [1].

Hos patienten i sygehistorien var der forhøjet CA-125-niveau og cystiske processer i tæt relation til ovarierne. Lignende er beskrevet i en tidligere case, hvor man initialt havde mistanke om malignitet, men ved eksplorativ laparotomi fandt man bl.a. perihepatiske adhærencer, og histologien viste svær kronisk lymfocytær peritonitis. Denne patient blev asymptomatisk efter antibiotikabehandling [4].

Behandling af FHCS er som ved PID [1]. Klamydiaforårsaget salpingitis behandles med doxycyclin i 14 dage, eventuelt i kombination med metronidazol. Således er den initiale dosis azithromycin, som blev givet til patienten i denne sygehistorie, ikke anbefalet [5]. Ved svære grader af PID anbefales ifølge Lægehåndbogen bredspektret intravenøs antibiotisk behandling under indlæggelse. De fleste bliver symptomfri på denne behandling. Ved persisterende symptomer kan laparoskopisk adhæsiolyse overvejes [1].

Komplikationer i forbindelse med FHCS er persisterende smerter, abdominale adhærencer, ileus, infertilitet og ekstrauterin graviditet [1].



Korrespondance Rebecca Skov. E-mail: rebecca.andrea.conradsen.skov@regionh.dk; rebeccaskov1993@gmail.com
Antaget 17. december 2020
Publiceret på ugeskriftet.dk 8. februar 2021
Interessekonflikter ingen. Forfatternes ICMJE-formularer er tilgængelige sammen med artiklen på ugeskriftet.dk
Taksigelser Maciej Stepniewski, Radiologisk Afdeling, Nykøbing F Sygehus, takkes for gennemgang og beskrivelse af patientens UL-skanning. Jeannet Lauenborg, Gynækologisk og Obstetrisk Afdeling, Nykøbing F Sygehus, takkes for gennemlæsning af manuskript og faglig sparring.
Referencer findes i artiklen publiceret på ugeskriftet.dk
Artikelreference Ugeskr Læger 2021;183:V09200661

Sidebar placering
Venstrestillet
Article type
Journal
Magazine
Section
References

Referencer

  1. Basit H, Pop A, Malik A, Sharma S. Fitz-Hugh-Curtis syndrome. Statpearls Publishing, 2020.

  2. You JS, Kim MJ, Chung HS et al. Clinical features of Fitz-Hugh-Curtis syndrome in the emergency department. Yonsei Med J 2012;53:753-8.

  3. Moon YH, Kim JH, Jeong WJ, Park SY. Ultrasonographic findings in Fitz-Hugh-Curtis syndrome: a thickened or three-layer hepatic capsule. Yeungnam Univ J Med 2018;35:127-9.

  4. Ugianskiene A. Klamydiainfektion med stor mængde ascites simulerende ovariecancer. Ugeskr Læger 2013;175:963-5.

  5. Anbefalinger om forebyggelse, diagnose og behandling af seksuelt overførbare infektioner. Sundhedsstyrelsen, 2015.

Woodwing Id
39619
Fil
Conflict of interest
English title
Fitz-Hugh-Curtis syndrome can give pain under the right upper quadrant
English summary

Rebecca Skov & Selma Schreiber

Ugeskr Læger 2021;183:V09200661

Fitz-Hugh-Curtis syndrome is a complication to pelvic inflammatory disease causing perihepatitis as described in this case report. A 21-year-old woman was admitted to the hospital due to pain under the right upper quadrant and febrility. Gallstones and pyelonephritis were ruled out. The Chlamydia test came back positive, and the patient had an elevated cancer antigen 125-level. She was suspected to have Fitz-Hugh-Curtis syndrome. On a second look on the ultrasound scan of the liver the capsule was seen to have a characteristic three-layered appearance. The patient was treated with doxycycline. On follow-up she was asymptomatic, and the laboratory parameters were normalised.

Authors workplaces

1) Intern Medicinsk Afdeling, Nykøbing F. Sygehus, 2) Gynækologisk og Obstetrisk Afdeling, Nykøbing F. Sygehus,

Ugeskr Læger 2021;183:V09200661

Bib ref
Ugeskr Læger 2021;183:V09200661
Article number
V09200661
Authors

Rebecca Skov1 & Selma Schreiber2

0 likes