Medlem i

12 years 10 months
Indholdselementer

Femurfrakturer hos børn er sjældne. De udgør 2% af samtlige frakturer hos børn og ses hyppigst hos drenge [1]. Frakturerne opstår som regel som følge af højenergitraumer og ses yderst sjældent, inden barnet har lært at gå [2], og da er den hyppigste årsag børnemishandling [3]. Børn med femurfrakturer behandles under indlæggelse. Femurfrakturer detekteres let med røntgenoptagelse og er forbundet med en god prognose.

I sygehistorien problematiseres den sene diagnose af femurfrakturer hos et spædbarn, hvor man havde manglende fokus på bevægeapparatet under den primære undersøgelse. Tidlig erkendelse af frakturen medfører hurtigere behandling og dermed bedre prognose.

SYGEHISTORIE

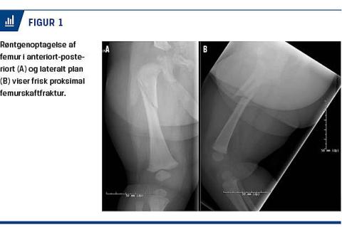
En tre måneder gammel pige blev set primært af egen læge pga. gråd og uro igennem et døgn. Det blev desuden bemærket, at der var irritation i det ene øje, og at hun trak højre ben til sig ved berøring. Pigen og forældrene blev sendt hjem. Dagen derpå kontaktede forældrene vagtlægen, idet hun fortsat var urolig og havde fået feber. Der havde ikke været et erkendt traume. Hun blev indlagt på en børneafdeling på mistanke om urinvejsinfektion. På grund af normale biokemiske forhold og en normal urinprøve blev diagnosen afkræftet. Under indlæggelsen var hun afebril, og der var lagt op til udskrivelse. Det blev dog bemærket, at højre ben føltes varmere og lidt mere spændt end det kontralaterale. Derfor blev der foretaget ultralydskanning af hofterne på mistanke om coxitis simplex. Dette gav mistanke om fraktur i femur. Diagnosen, en frisk femurfraktur, kunne bekræftes ved røntgenoptagelser i to planer (Figur 1A). De sædvanlige ledsagende undersøgelser, herunder undersøgelse af totalskelettet, blev foretaget, og der kunne ikke påvises andre skader. Der blev foretaget underretning, og hun blev overflyttet til en ortopædkirurgisk afdeling med henblik på strækbehandling og anlæggelse af hoftespica. Behandlingen blev afsluttet to uger efterfølgende, hvor en røntgenoptagelse viste helet fraktur med callus (Figur 1B). Konklusivt blev mistanken om battered child syndrome (BCS) afvist.

Sidebar placering
Venstrestillet
Billede
Sidebar placering
Venstrestillet

DISKUSSION

Det kan være vanskeligt at diagnosticere en femurfraktur hos et spædbarn, pga. både barnets manglende sprog og de til tider sparsomme objektive fund. Tiltagende uro eller ubehag ved palpation af en ekstremitet hos spædbørn bør tolkes som smerte. Objektivt findes låret mere spændt, hævet og eventuelt også mere misfarvet end det modsidige. En manglende erkendelse af frakturen tidligt i forløbet kan dislocere frakturen og dermed forringe prognosen.

Diagnosen stilles som regel let ved røntgenoptagelse af femur i to planer (Figur 1A). Indikationen for et røntgenbillede kan dog være sværere at stille, særligt når anamnesen er sparsom. Her er det vigtigt at forstå barnets smertereaktion, f.eks. at det trækker benet til sig, som barnet i sygehistorien gjorde. Desuden bør man være opmærksom på de beskrevne objektive fund. Man skal give sig god tid til at undersøge benene, idet hævelsen kan være lille pga. ekstremitetens lille størrelse. Herudover skal man være særlig opmærksom på palpationen af lårene, idet blødningen fra frakturen, vil medføre spændte lår. Misfarvningen ses ikke altid i den akutte fase.

Ved smertereaktion hos barnet og objektive forandringer bør der tages et røntgenbillede i to planer, også når der ikke er et erkendt traume, og der ikke foreligger anden forklaring. Findes der fraktur, skal barnet henvises til den nærmeste ortopædkirurgiske afdeling, og gerne en af de fem ortopædkirurgiske afdelinger med subspeciale i børn.

Femurfrakturer hos spædbørn er ofte relaterede til BCS [4]. Ved mistanke om BCS skal barnet henvises til den nærmeste pædiatriske afdeling mhp. udredning. Tidlig udredning og erkendelse af disse frakturer er derfor ikke kun essentiel for den bedst mulig prognose, men også med henblik på tidlig indgriben ved BCS, som kun erkendes i 0,1% af tilfældene ved hospitalsbesøg [5]. Det er derfor vigtigt at afsøge bevægeapparatet grundigt for skader hos et spædbarn, der er uroligt uden oplagt årsag.

Korrespondance: Ahmed Abdul-Hussein Abood.
E-mail: aah.abood@clin.au.dk

Antaget: 18. oktober 2017

Publiceret på Ugeskriftet.dk: 5. februar 2018

Interessekonflikter: ingen.

Sidebar placering
Venstrestillet
Article type
Journal
Magazine
Section
References

<h2>LITTERATUR</h2>
<ol type="d">
<li><p>John R, Sharma S, Raj GN et al. Current concepts in paediatric femoral shaft fractures. Open Orthop J 2017;11(suppl 2: M4):353-68. </p></li>
<li><p>Daly KE, Calvert PT. Accidental femoral fracture in infants. Injury 1991;22:337-8. </p></li>
<li><p>Blakemore LC, Loder RT, Hensinger RN. Role of intentional abuse in children 1 to 5 years old with isolated femoral shaft fractures. J Pediatr Orthop 1996;16:585-8. </p></li>
<li><p>Coffey C, Haley K, Hayes J et al. The risk of child abuse in infants and toddlers with lower extremity injuries. J Pediatr Surg 2005;40:120-3. </p></li>
<li><p>Villadsen JK, Bersang AB, Thorninger R et al. Skadestuelægers kendskab til battered child syndrome er mangelfuldt. Ugeskr Læger 2014;176: V11130644.</p></li>
</ol>

Woodwing Id
107677
Fil
Conflict of interest
English title
Femur shaft fractures in infants should be considered despite no known trauma
English summary

Femur shaft fractures in infants are rare and associated with abuse or fall from heights. The fracture is often easy to recognize on X-ray, however, the determination of the indication can be difficult. It is important to pay attention to pain signals from the extremity and the objective findings, such as a swollen and tight thigh. Early recognition of the fracture is of importance to the prognosis and to detection of possible violence resulting in battered child syndrome. Exploration for injuries of the extremities is of utmost necessity in these cases, despite the absence of trauma in the anamnesis.

Authors workplaces

Børneortopædkirurgisk Afdeling, Aalborg Universitetshospital

Ugeskr Læger 2018;180:V08170619

Bib ref
Ugeskr Læger 2018;180:V08170619
Article number
V08170619
Authors

Ahmed Abdul-Hussein Abood, Jens Svendsson & Søren Harving

0 likes