Medlem i

12 years 10 months
Indholdselementer

Femurfrakturer hos børn er sjældne. Incidensen i Danmark kendes ikke, men diafysære frakturer er de hyppigste [1]. I Sverige er 1,3% af frakturerne hos børn lårbensbrud [2]. Incidensraten er højest omkring toårsalderen og falder derefter [3]. I England angives en årlig incidens på seks femurfrakturer pr. 100.000 personår for børn i alderen 0-15 år [3]. I nordamerikanske studier angives en betydeligt højere incidens på 19-26 femurfrakturer pr. 100.000 personår for børn under 17 år [1].

Sidebar placering
Venstrestillet
Hovedbudskaber
  • Barnets alder og vægt afgør behandlingsmetoden.

  • Kirurgen skal kunne mestre både nonoperativ og operativ behandling for at sikre det bedst mulige resultat.

  • Vi anbefaler oftere at tage kontakt til et højtspecialiseret center mhp. rådgivning og evt. behandling der.

Ombryd tekst
0
Brødtekst
  • Barnets alder og vægt afgør behandlingsmetoden.

  • Kirurgen skal kunne mestre både nonoperativ og operativ behandling for at sikre det bedst mulige resultat.

  • Vi anbefaler oftere at tage kontakt til et højtspecialiseret center mhp. rådgivning og evt. behandling der.

Kardinalsymptomerne er stærke smerter, manglende evne til at støtte på benet, bløddelshævelse og fejlstilling. Det ses jævnligt, at barnet projicerer smerter fra det proksimale lårbensbrud til knæregionen. Diagnosen stilles ud fra røntgenoptagelser af hele femur i to projektioner. Alle børn med femurfrakturer bør indlægges til videre behandling. Plasterstræk er en god smertebehandling og anbefales anlagt snarest muligt, uanset barnets alder. Det kan være fordelagtigt at give smertestillende og muskelafslappende medicin.

For nuværende er behandlingen i den ortopædkirurgiske specialeplan klassificeret som hovedfunktion. Det betyder, at man på alle danske akutmodtagelser og sygehuse må modtage og behandle disse patienter. Behandlingsmæssigt mangler der i særlig grad konsensus om den nedre alders- og vægtgrænse for at foretage operativ behandling med intern fiksation. Desuden mangler der også konsensus om den nedre grænse for at behandle med rigide låste marvsøm.

Femurskaftfrakturer hos børn under et år er associerede til fysisk overgreb i op til 32% af tilfældene [4]. Mistanken om påført skade (NAI) styrkes yderligere ved fund af blå mærker på truncus, ører og nakke. Fund af ribbensbrud, kraniebrud eller intrakranielle hæmatomer har høj prædiktiv værdi for NAI. Fuld afklædning af barnet og dokumentation af fundene er derfor påkrævet. Det anbefales, at alle børn under to år ved mistanke om NAI indlægges til behandling i samarbejde med den lokale pædiatriske afdeling [4-6].

Behandlingsindikation for nonoperativ vs. operativ behandling og målsætning mhp. at genoprette benets længde, akse og rotation afhænger af barnets alder, vægt og frakturtype (Figur 1). Vejledende acceptable fejlstillinger for skaftfraktur fremgår af Tabel 1 [7].

Sidebar placering
Venstrestillet
Billede
Sidebar placering
Venstrestillet
Billede
Sidebar placering
Venstrestillet

NONOPERATIV BEHANDLING AF BØRN OP TIL FEM ÅR

Femurfrakturer kan ses som en sjælden fødselsskade efter både sectio og vaginal forløsning [8]. Ved klinisk mistanke stilles diagnosen ved hjælp af konventionel røntgenoptagelse. Hyppigst er subtrokantære frakturer, hvor det proksimale fragment sidder i fleksion på grund af træk fra m. iliopsoas. Frakturen kan behandles med crepeforbinding eller med en Pavliksele, som holder hofteleddet flekteret og abduceret [9]. Pavlikselen benyttes normalt til behandling af hoftedysplasi hos nyfødte.

Til de mindre børn benyttes vertikalt galgestræk (Bryants traktion), hvor begge ben ophænges med kontravægt, så barnets baller akkurat løftes fri af underlaget (Figur 1A). Når barnet hænger i strækket, kan der foretages røntgenkontrol, og forkortning samt rotationsfejlstilling kan helt eller delvist korrigeres. Longitudinelt stræk (Hamilton-Russell-traktion) giver mulighed for at færdigbehandle større børn, men dette setup forefindes kun få steder. Hudkomplikationer som sår og irritation er hyppige komplikation i forbindelse med plasterstræk (Figur 2A).

Sidebar placering
Venstrestillet
Billede
Sidebar placering
Venstrestillet

Alternativet til plasterstrækbehandling er anlæggelse af en hoftespica i generel anæstesi (Figur 1A). I Nordamerika har man i en del år med gode resultater behandlet femurfrakturer hos børn med hoftespica frem for strækbehandling [10, 11]. Anlæggelse af en hoftespica kræver specielt lejringsudstyr og kompetent personale, hvorfor behandlingen ofte kun foregår på et børneortopædisk center. Spicabehandling har traditionelt været foretaget efter få dage med strækbehandling i ønsket om at få genskabt længden på frakturen og opnå begyndende heling og stabilitet i frakturen. I nyere studier er det dokumenteret, at man i flere tilfælde kan anlægge spica tidligt (< 48 timer) og dermed reducere indlæggelsestiden [12, 13]. Det er også en praksis, som i stigende omfang benyttes i Danmark.

BEHANDLING AF BØRN I ALDEREN 5-11 ÅR

Den nedre grænse (alder/vægt) for at foretage intern fiksation med fleksible marvsøm kontra nonoperativ behandling er ikke klarlagt. Bedømt ud fra den internationale litteratur er det vores vurdering, at anbefalingen af den nedre grænse for intern fiksation af femurfrakturer hos børn i dag må være 3-5 år [11, 14, 15].

Ved operativ behandling af femurfrakturer hos børn med åbne vækstzoner benyttes der i dag overvejende den ovennævnte teknik med indsættelse af fleksible marvsøm (Figur 1B). Metoden er udviklet ved børnehospitalet i Nancy i Frankrig. Teknikken kræver oplæring i korrekt anvendelse. Mest almindeligt benyttes en retrograd teknik, hvor to fleksible marvsøm indsættes lateralt og medialt fra metafysen (Figur 1B). Ved at forbøje marvsømmene i c-form kan der opnås spredning af sømmene på niveau med frakturen, hvilket medfører trepunktsfiksation. På denne måde kan selv relativt ustabile frakturer stabiliseres [16, 17]. Teknikken kræver erfaring, og hvis man vælger en for lille sømdiameter, eller man ikke opnår tilstrækkelig trepunktsfiksation, er der risiko for frakturskred (Figur 2C). I en del tilfælde er det derudover nødvendigt at foretage åben reponering for at opnå korrekt længde, akse og rotation [18]. Gener i form af smerter og hudproblemer fra de isatte marvsøm forekommer jævnligt (Figur 2B) [19]. Intern fiksation af femurfrakturer hos børn giver dog samlet set et godt klinisk resultat, og børnene kan mobiliseres og hjemsendes hurtigt. Alternativet til fleksible marvsøm er en submuskulær skinne eller ekstern fiksation (Figur 1C).

BEHANDLING AF BØRN FRA 11 ÅR TIL UDVOKSET

Rigide låste marvsøm anvendes tiltagende hyppigt hos større børn og er vores foretrukne behandling, når marvkanalens diameter tillader det (Figur 1D, Figur 2C). En af årsagerne til dette er en stigende komplikationsrate ved anvendelse af fleksible marvsøm hos overvægtige mindre børn eller større børn [20]. Der er dog ingen fast grænse for, hvor store børn der kan behandles med fleksible marvsøm. Det nordamerikanske børneortopædiske selskab sætter den øvre grænse for at benytte fleksible marvsøm hos børn til 50 kg [15]. Desuden er der heller ikke konsensus om den nedre aldersgrænse for brugen af rigide låste marvsøm.

Ved behandling med låste marvsøm opnås der hurtigt smertefrihed og god rehabilitering [21]. Mange større børn har en marvkanal, der gør det muligt at benytte rigide, antegrade, låste marvsøm. Problemet har dog været at opnå sikker adgang til marvkanalen. Caput femoris har sin egen blodforsyning hos børn. Blodforsyningen udgår fra a. circumflexa femoris medialis [22]. Det er påvist, at entry point i fossa piriformis eller ved toppen af trochanter major påfører børn og unge en ikke ubetydelig risiko for avaskulær nekrose af caput femoris [23]. Der er udviklet nyere pædiatriske marvsøm til et entry point lateralt på trochanter major, hvilket er en mere sikker adgang til marvkanalen hos børn og unge [23]. Vækststandsning af trochanterapofysen er en teoretisk komplikation uden betydende effekt efter otteårsalderen [24].

REMODELLERING OG OVERVÆKSTFÆNOMENET

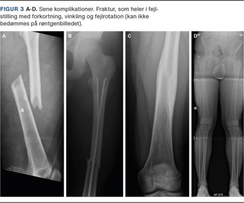
I nyere studier konkluderer man, at overvækst efter intern fiksation af både længdestabile og længdeustabile frakturer er minimal og derfor uden klinisk betydning (Tabel 1) [25, 26]. Det anbefales derfor ligesom i frakturbehandling af voksne at genskabe den anatomiske længde samt mekaniske akser og rotation (Figur 3). Komplikationer (Figur 2 og Figur 3) kan være: 1) akutte: hudproblemer og frakturskred, 2) sene: opheling i fejlstilling, som ikke korrigeres med længdevæksten, vækstforstyrrelser med påvirkning af vækstzonen proksimalt eller distalt i femur og vinkelfejlstillinger, fejlrotation og benlængdeforskel, og 3) sjældne: dyb betændelse, kontrakturer, nonunion, kompartmentsyndrom samt kar- og nerveskader.

Sidebar placering
Venstrestillet
Billede
Sidebar placering
Venstrestillet

FEMURFRAKTURER HOS BØRN MED MULTITRAUME, ÅBNE LÆSIONER OG PROKSIMALE/DISTALE FRAKTURER

Hos multitraumatiserede børn afspejler skaderne energipåvirkningen og skademekanismen. Bløddelsskaderne kan være betydelige, og der er hyppigt tale om frakturer i den proksimale og distale femur. Hjørnestenen i behandlingen er fortsat intern fiksation af frakturerne.

Ved åbne læsioner benyttes de sædvanlige principper for débridement og behandling af eventuelle kar- og nerveskader. I de fleste tilfælde vil frakturen stadig kunne færdigbehandles med intern fiksation. Grænser for at bibeholde rene, men nærmest avitale knoglefragmenter er forskellig hos børn og hos voksne. Disse knoglefragmenter anbefales derfor ikke reseceret ved modtagelse på et perifert sygehus [27]. Håndtering af alle større, åbne frakturer (Gustilo III) er højtspecialiseret behandling, og midlertidig fiksation i gips eller ekstern fiksation tilrådes før overflytning.

Telefonisk kontakt og rådgivning ydes af højtspecialiserede centre, som man kan anmode om inddragelse umiddelbart, dvs. gerne ved modtagelse af patienten.

Proksimale femurfrakturer hos børn er sjældne. Intraartikulære frakturer har en høj komplikationsrate, der omfatter vækststandsning, coxa vara, nonunion og avaskulær nekrose af caput femoris. Hovedprincipperne for behandlingen er akut operation, hvor der sigtes mod dekompression af hofteleddet ved at rømme frakturhæmatomet samt foretage anatomisk reposition og stabil intern fiksation [28, 29].

Distale femurfrakturer opstår ofte hos større børn og hyppigt med baggrund i højenergiskader. Frakturerne inddrager ofte vækstzonen i den distale femur og/eller ledfladerne i knæleddet. På den baggrund vil der i mange tilfælde være behov for behandling med intern fiksation i form af k-tråde, kompressionsskruer eller skinne og skruer. Komplikationsraten er ligesom ved de proksimale femurfrakturer høj.

KONKLUSION

Femurfrakturer hos børn er en relativt sjælden skade. Langt hen ad vejen dikterer barnets alder og vægt den mest egnede behandling. Internationalt observeres en stigende tendens til operativ behandling af læsionerne hos de mindste børn [12, 30]. Det er essentielt, at behandlingsteamet kan varetage både nonoperativ og operativ behandling for at sikre det bedst mulige valg. Den radiologiske udredning ved mistanke om NAI, større åbne frakturer (Gustilo III) og flere af behandlingsprincipperne, herunder brug af stabile børnemarvsøm, er jf. specialeplan højtspecialiserede funktioner, som ikke forefindes på perifere sygehuse. Vi advokerer for øget kontakt til højtspecialiserede afdelinger med henblik på yderligere optimering af behandlingsforløbene.



Korrespondance Martin Gottliebsen. E-mail: martin.gottliebsen@gmail.com
Antaget 19. april 2021
Publiceret på ugeskriftet.dk 24. maj 2021
Interessekonflikter ingen. Forfatternes ICMJE-formularer er tilgængelige sammen med artiklen på ugeskriftet.dk
Referencer findes i artiklen publiceret på ugeskriftet.dk
Artikelreference Ugeskr Læger 2021;183:V11200840

Sidebar placering
Venstrestillet
Article type
Journal
Section
References

Referencer

  1. Rewers A, Hedegaard H, Lezotte D et al. Childhood femur fractures, associated injuries, and sociodemographic risk factors: a population-based study. Pediatrics 2005;115:e543-e552.

  2. Bergman E, Lempesis V, Nilsson JÅ et al. Time trends in pediatric fractures in a Swedish city from 1950 to 2016. Acta Orthop 2020;91:598-604.

  3. Talbot C, Davis N, Majid I et al. Fractures of the femoral shaft in children: national epidemiology and treatment trends in England following activation of major trauma networks. Bone Joint J 2018;100-B:109-18.

  4. Leaman LA, Hennrikus WL, Bresnahan JJ. Identifying non-accidental fractures in children aged <2 years. J Child Orthop 2016;10:335-41.

  5. Fysisk vold mod børn. http://paediatri.dk/images/dokumenter/vejl_2015/Fysisk_vold_mod_boern (15. okt 2020).

  6. Martinkevich P, Larsen LL, Græsholt-Knudsen T et al. Physical child abuse demands increased awareness during health and socioeconomic crises like COVID-19. Acta Orthop 2020;91:527-33.

  7. Waters PM, Skaggs DL, Flynn JM et al. Rockwood and Wilkins fractures in children. 9th ed. Lippincott Williams & Wilkins, 2019.

  8. Rehm A, Promod P, Ogilvy-Stuart A. Neonatal birth fractures: a retrospective tertiary maternity hospital review. J Obstet Gynaecol 2020;40:485-90.

  9. Rush JK, Kelly DM, Sawyer JR et al. Treatment of pediatric femur fractures with the Pavlik harness: multiyear clinical and radiographic outcomes. J Pediatr Orthop 2013;33:614-7.

  10. Buehler KC, Thompson JD, Sponseller PD et al. A prospective study of early spica casting outcomes in the treatment of femoral shaft fractures in children. J Pediatr Orthop 1995;15:30-5.

  11. Flynn JM, Luedtke LM, Ganley TJ et al. Comparison of titanium elastic nails with traction and a spica cast to treat femoral fractures in children. J Bone Joint Surg Am 2004;86:770-7.

  12. Lewis RB, Hariri O, Elliott ME et al. Financial analysis of closed femur fractures in 3- to 6-year-olds treated with immediate spica casting versus intramedullary fixation. J Pediatr Orthop 2019;39:e114-9.

  13. Younis MH, Mahmoud K, Kawas A, Ibrahim T. Early versus late hip spica casting for paediatric femoral shaft fractures. J Pediatr Orthop 2019;28:122-6.

  14. Rapp M, Kaiser MM, Grauel F et al. Femoral shaft fractures in young children (<5 years of age): operative and non-operative treatments in clinical practice. Eur J Trauma Emerg Surg 2016;42:719-24.

  15. Femur fracture. POSNA. https://posna.org/Physician-Education/Study-Guide/Femur-Fracture (13. maj 2020).

  16. Ligier JN, Metaizeau JP, Prévot J, Lascombes P. Elastic stable intramedullary nailing of femoral shaft fractures in children. J Bone Joint Surg Br 1988;70:74-7.

  17. Siddiqui AA, Abousamra O, Compton E et al. Titanium elastic nails are a safe and effective treatment for length unstable pediatric femur fractures. J Pediatr Orthop 2020;40:e560-5.

  18. Heffernan MJ, Shelton W, Song B et al. Predictors of open reduction in pediatric femur fractures treated with flexible nails. J Pediatr Orthop 2020;40:e566-e571.

  19. Memeo A, Panuccio E, D’Amato RD et al. Retrospective, multicenter evaluation of complications in the treatment of diaphyseal femur fractures in pediatric patients. Injury 2019;50(suppl 4):S60-3.

  20. Momaya A, Baker D, Gilbert S, Ponce B. Risk factors for complications and readmission after operative fixation of pediatric femur fractures. J Child Orthop 2015;9:307-11.

  21. Reynolds RAK, Legakis JE, Thomas R et al. Intramedullary nails for pediatric diaphyseal femur fractures in older, heavier children: early results. J Child Orthop 2012;6:181-8.

  22. Gautier E, Ganz K, Krügel N et al. Anatomy of the medial femoral circumflex artery and its surgical implications. J Bone Joint Surg Br 2000;82:679-83.

  23. MacNeil JAM, Francis A, El-Hawary R. A systematic review of rigid, locked, intramedullary nail insertion sites and avascular necrosis of the femoral head in the skeletally immature. J Pediatr Orthop 2011;31:377-80.

  24. Gage JR, Cary JM. The effects of trochanteric epiphyseodesis on growth of the proximal end of the femur following necrosis of the capital femoral epiphysis. J Bone Joint Surg Am 1980;62:785–94.

  25. Dai CQ, Yang J, Guo XS, Sun LJ. Risk factors for limb overgrowth after the application of titanium elastic nailing in the treatment of pediatric femoral fracture. J Orthop Sci Off 2015;20:844-8.

  26. Park KH, Park BK, Oh CW et al. Overgrowth of the femur after internal fixation in children with femoral shaft fracture-a multicenter study. J Orthop Trauma 2020;34:e90-5.

  27. Rölfing J, Bue M, Kiil B, Petruskevicius P. Resect or retain bone fragments in children and teenagers with severe open fractures? JBJS Case Connect 2020;10:e20.00390.

  28. Anari JB, Sankar W, Hosseinzadeh P, Baldwin KD. Proximal femur fractures in children: enigmatic injuries. Instr Course Lect 2019;68:443-52.

  29. Sankar WN, Mehlman CT. The community orthopaedic surgeon taking trauma call: pediatric femoral neck fracture pearls and pitfalls. J Orthop Trauma 2019;33(suppl 8):S22-6.

  30. Gordon JE, Anderson JT, Schoenecker PL et al. Treatment of femoral fractures in children aged two to six. Bone Joint J 2020;102-B:1056-61.

Woodwing Id
46926
Fil
Conflict of interest
English title
Paediatric femoral fractures
English summary

Martin Gottliebsen, Bjarne Møller-Madsen, Lise Langeland Larsen & Jan Duedal Rölfing

Ugeskr Læger 2021;183:V11200840

Femoral fractures in children are not common injuries, and the treating physicians should master non-operative and operative treatment options. Non-accidental injury is frequently seen in children below two years of age. In this review, we describe a range of techniques for treatment of the injuries, and the current treatment trends and matters of discussion are early spica casting, age and weight guidance for use of flexible and rigid intramedullary nails. We advocate early consultation with a tertiary care centre for guidance and planning of the best treatment modality.

Authors workplaces

1) Ortopædkirurgi, Aarhus Universitetshospital, 2) Danish Paediatric Orthopaedic Research, 3) Institut for Klinisk Medicin, Health, Aarhus Universitet

Ugeskr Læger 2021;183:V11200840

Bib ref
UgeskrLæger 2021;183:V11200840
Article number
V11200840
Authors

Martin Gottliebsen1, 2, Bjarne Møller-Madsen1, 2, 3, Lise Langeland Larsen1, 2 & Jan Duedal Rölfing1, 2, 3

0 likes