Medlem i

12 years 10 months
Indholdselementer
Billede
Sidebar placering
Venstrestillet


Epiteloid trofoblasttumor (ETT) er en meget sjælden gestationel trofoblastderiveret malign tumor. I 1998 opstillede Shih og Kurman de patologiske karakteristika for denne tumor, og i alt 90 tilfælde er beskrevet i litteraturen [1]. Diagnosen udgør en diagnostisk udfordring for patologen, da den er sjælden og har en lang række differentialdiagnoser. Diagnosen stilles mikroskopisk ved at sammenholde morfologi med immunhistokemiske reaktioner. Den korrekte diagnose er vigtig, da ETT primært behandles kirurgisk i modsætning til invasiv mola og choriokarcinom, der primært behandles med kemoterapi [2].

Sygehistorie

Her beskrives en sygehistorie herunder diagnostiske kriterier og differentialdiagnostiske overvejelser.

En 47-årig kvinde henvistes efter ni måneder med blodigt/vandigt udflåd. Herudover havde patienten kraftige, uregelmæssige menstruationer samt tryksymptomer i form af pollakisuri. Den gynækologiske anamnese omfattede en provokeret abort og to normale fødsler. Seneste graviditet forekom 14 år før henvisningstidspunktet. Kvinden havde aldrig modtaget hormonbehandling. Som led i udredningen blev der foretaget diagnostisk cervix og corpus abrasio. Skrabene var identiske:

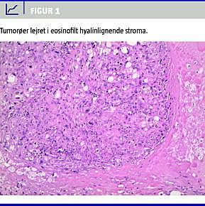
På blodig baggrund fandtes talrige vævsflager, der bestod af et eosinofilt hyalinlignende stroma med infiltration af tumorceller, der var lejret i strenge og små reder (Figur 1 ). Tumorcellerne var relativt ensartede med dårligt defineret cytoplasma og store nukleoleholdige kerner. Der var ingen uddifferentiering af tumor. Der fandtes en proliferationsrate på 10%.

Supplerende immunhistokemisk farvning viste en positiv reaktion for pancytokeratin, cytokeratin (CK) 7, CK18, placental alkalinefosfatase (PLAP), cluster of differentiation (CD) 10, inhibin og epitelial membranantigen (EMA). Der var negativ reaktion for CK20, carcinoembryonic antigen (CEA), humant choriongonadotropin (HCG), synaptophysin, chromogranin, S100 protein, actin, desmin eller alfaføtoprotein.

Ved at sammenholde morfologien og de immunhistokemiske resultater blev diagnosen ETT stillet. Det præcise udgangspunkt i uterus kunne ikke vurderes.

Øvrige undersøgelser: plasma (P)-HCG 2,9 IU/l (negativ), P-alfaføtoprotein 1,7 kIU/l. Inhibin a og b lavt i normalområdet, henholdsvis 22 pg/ml og < 20 pg/ml. Ultralydsskanning af abdomen og røntgen af thorax var uden tegn på disseminering.

Der blev foretaget total hysterektomi, venstresidig salpingoooforektomi samt peritoneale biopsier. Uterus var gennemvokset i den cervikokorporale overgang. Venstre adnex var adhærent til uterus' bagvæg. Højre adnex var upåfaldende og blev efterladt. Der fandtes ingen ascites, og der var ikke mistanke om spredning til andre organer. Operationen var makroskopisk radikal.

Endelig mikroskopi bekræftede ETT i corpus og cervix. De makroskopiske tumormål var 9 × 6 × 4 cm. Der var spredning til højre cervikale parametrium, venstre ovarium og venstre peritubare bindevæv.

Peritoneale biopsier og skyllevæske var uden malignitet.

På opfordring fra Onkologisk Afdeling blev operationspræparatet sendt til revision på Histopatologisk Afdeling, Charing Cross Hospital, England, hvor diagnosen blev bekræftet.

På grund af gennemvækst af uterus modtog patienten adjuverende kemoterapi i form af tre serier etoposid/cisplatin. Behandlingen blev afsluttet juni i 2008, og patienten har været recidivfri siden.

ETT kan være vanskelig at skelne fra en række andre trofoblast- og ikketrofoblastderiverede tumorer. Flere differentialdiagnoser blev overvejet: Plancental site trophoblastic tumor, ved hvilken tumorcellerne er lejret mellem bundter af myometriemuskulatur og negative ved farvning med PLAP. Plancental site nodule, men her ses elementerne mikroskopisk, og de er veldefinerede. Choriokarcinom, der indeholder celler både fra cytotrofoblast og syncytiotrofoblast, og tumor er hyppigt hæmoragisk med høj proliferationsrate og positiv reaktion for HCG.

Epiteloid glatmuskelcelletumor, der består af glat muskulatur foruden epiteloide områder, og er positiv for muskelcellemarkører som actin og desmin. Planocellulært karcinom der oftest har en negativ reaktion for inhibin og CK18 samt en proliferationsrate > 50% [1, 3-5].

Diskussion

ETT er en malign tumor, der udgår fra den intermediære trofoblast. Debuttidspunktet efter graviditet varierer meget (1-18 år). Henvisningsårsagen er oftest abnorm vaginalblødning. Tumor er i 80% af tilfældene lokaliseret i uterus, mens de resterende 20% har ekstrauterin lokalisation [1].

I litteraturen er der beskrevet tumorstørrelser på mellem 0,5 og 4 cm [1, 3-5]. Den her beskrevne var væsentlig større, 9 cm.

På grund af tumors sjældenhed er data vedrørende behandlingsrespons meget sparsomme. Der findes ingen standardiseret behandling. Den primære behandling vil dog næsten altid være kirurgisk, såfremt tumor er lokaliseret i uterus. Ved disseminering eller ekstrauterin lokalisation kan kemoterapi forsøges, men tumor, der behandlingsmæssigt er blevet sammenlignet med plancental trofoblastisk tumor, er formodentlig langt mindre følsom for kemoterapi end andre trofoblasttumorer som invasiv mola og choriokarcinom [1, 2].

Det anslås, at metastasering og mortalitet forekommer i henholdsvis 25% og 10% af tilfældene [1, 4].


Susanne Eiholm , Skinderskovvej 109, 2730 Herlev. E-mail: s.eiholm@gmail.com

ANTAGET: 21. juli 2010

FØRST PÅ NETTET: 13. september 2010

INTERESSEKONFLIKTER: Ingen


  1. Shih IM, Kurman RJ. Epithelioid trophoblastic tumor: a neoplasm distinct from choriocarcinoma and placental site trophoblastic tumor simulating carcinoma. Am J Surg Pathol 1998;22:1393-403.
  2. Soper J, Creasman WT. Gestational trophoblastic disease. I: Disaia PJ (ed.). Clinical gynecologic oncology. Philidelphia: Mosby Elsevier, 2007:201-33.
  3. Shih IM, Kurman RJ. The pathology of intermediate trophoblastic tumors and tumor-like lesions. Int J Gynecol Pathol 2001;20:31-47.
  4. Hui P, Martel M, Parkash V. Gestational trophoblastic diseases: recent advances in histopathol ogic diagnosis and related genetic aspects. Adv Anat Pathol 2005;12:116-25.
  5. Fadare O, Parkash V, Carcangiu ML et al. Epithelioid trophoblastic tumor: clinicopathological features with an emphasis on uterine cervical involvement. Mod Pathol 2006;19:75-82.


Sidebar placering
Venstrestillet
Article type
Journal
Magazine
Section
References

<ol class="Litt-list">
<li>Shih IM, Kurman RJ. Epithelioid trophoblastic tumor: a neoplasm distinct from choriocarcinoma and placental site trophoblastic tumor simulating carcinoma. Am J Surg Pathol 1998;22:1393-403.</li>
<li>Soper J, Creasman WT. Gestational trophoblastic disease. I: Disaia PJ (ed.). Clinical gynecologic oncology. Philidelphia: Mosby Elsevier, 2007:201-33.</li>
<li>Shih IM, Kurman RJ. The pathology of intermediate trophoblastic tumors and tumor-like lesions. Int J Gynecol Pathol 2001;20:31-47.</li>
<li>Hui P, Martel M, Parkash V. Gestational trophoblastic diseases: recent advances in histopathologic diagnosis and related genetic aspects. Adv Anat Pathol 2005;12:116-25.</li>
<li>Fadare O, Parkash V, Carcangiu ML et al. Epithelioid trophoblastic tumor: clinicopathological features with an emphasis on uterine cervical involvement. Mod Pathol 2006;19:75-82.</li>
</ol>

Woodwing Id
238606
Fil
Bib ref
Ugeskr Læger 2010;172(42):2904-2905
Authors

Susanne Eiholm1, Jill Levin Langhoff1 & Connie Palle2 1) Roskilde Sygehus, Patologiafdelingen, 2) Herlev Hospital, Gynækologisk-obstetrisk Afdeling

0 likes