Medlem i

12 years 10 months
Indholdselementer

Øsofagusdivertikler er sjældne og inddeles i erhvervede og medfødte. Epifreniske øsofagusdivertikler (ED) forekommer i den distale tredjedel af øsofagus og oftest på højre side. ED kan medføre et variabelt symptombillede – det hyppigste symptom er dysfagi, men de fleste tilfælde er asymptomatiske [1-3].

Vi præsenterer en sygehistorie med en patient, der blev indlagt med abdominalsmerter, dyspnø og forhøjede infektionsparametre. Som komplikation til hendes hidtil ukendte ED fik hun sepsis og respirationsinsufficiens, der var forårsaget af en fistel fra divertiklet, og abscedering til højre lunge. Denne komplikation er sjælden og er kun beskrevet i begrænset omfang tidligere.

SYGEHISTORIE

En 58-årig, tidligere rask kvinde blev indlagt med smerter i epigastriet, kvalme og opkastninger gennem to dage. Objektivt fandt man palpationsømhed i epigastriet og taledyspnø. Hun var afebril, men biokemisk havde hun forhøjede niveauer af leukocytter på 22,4 × 109/l og C-reaktivt protein på 71 mg/l.

Initialt blev der foretaget ultralydskanning og røntgenoptagelse af thorax på mistanke om hhv. kolecystitis og pneumoni eller pleuritis. Man fandt intet abnormt. Herefter blev der foretaget CT af thorax og abdomen med peroral kontrast, hvorved man fandt et
5 cm stort inflammeret ED med vægfortykkelse, men uden tegn på perforation. Patienten blev sat i intravenøs antibiotikabehandling og blev gastroskoperet, hvorved man fandt en 5 cm stor fibrinbelagt divertikelåbning ca. 35 cm fra tandrækken.

Efter en uge med konservativ behandling blev hun udskrevet i velbefindende og henvist til en specialafdeling med henblik på yderligere udredning.

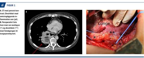
Hun blev genindlagt en uge efter udskrivelse med tiltagende dyspnø, en temperatur på 38,5 °C, stigende infektionstal og trykkende smerter i epigastriet og ryggen. En ny CT af thorax viste progression af væske og inflammation omkring divertiklet (Figur 1A). Patienten blev derfor overflyttet til en specialafdeling, hvor man ved en ny gastroskopi fik mistanke om fisteldannelse til lungeparenkymet. Ved øsofagusskopi med kontrastindhældning i divertiklet under gennemlysning bekræftede man, at der var tale om en øsofagobronkial fistel. Herefter blev der foretaget bronkoskopi, der viste pus i de centrale luftveje fra segment 6 i højre underlap.

Sidebar placering
Venstrestillet
Billede
Sidebar placering
Venstrestillet

Patienten blev efterfølgende septisk, fik respirationsinsufficiens og blev derefter opereret med en højresidig lobektomi af højre underlap samt afstapling af divertiklet i en tværfaglig operation mellem en kirurgisk og en thoraxkirurgisk afdeling (Figur 1B).

Patienten blev udskrevet i velbefindende efter halvanden uge. Hun var til klinisk kontrol i kirurgisk ambulatorium en måned efter operationen og var da fortsat i velbefindende. Hun blev henvist til manometri og kontrolgastroskopi.

DISKUSSION

ED giver ofte ingen eller uspecifikke symptomer og er derfor ofte tilfældige fund. De kan diagnosticeres endoskopisk eller radiologisk med peroral kontrast.

Patofysiologiske faktorer bag udviklingen af ED er muskelsvaghed i øsofagusvæggen og forhøjet intraøsofagealt tryk, ofte på grund af akalasi [4, 5].

Der er ved litteraturgennemgang kun fundet få beskrivelser af tilfælde med ED, der kompliceres af perforation og abscedering til lungeparenkymet. Hos patienten i sygehistorie opstod mistanken, da hun fik tiltagende respirationsinsufficiens og sepsis, og den blev bekræftet med øsofagusskopi og fisulografi via bronkoskopi med røntgenkontrast og efterfølgende operation. Primær udredning med øsofagogastroskopi med fleksibelt endoskop er obligatorisk ved diagnosticeringen af øsofagusdivertikler og eventuel underliggende malignitet [5].

Standardbehandlingen af ED retter sig mod at bedre afløbet fra øsofagus forbi divertiklet. Primært anvendes minimalt invasive metoder såsom dilatationsbehandling og injektioner med botulinum type A-toksin efterfulgt af øsofageal myotomi a.m. Heller, eventuelt kombineret med divertikulotomi [2, 5]. Hos patienten i sygehistorien blev der ikke primært foretaget myotomi, men injektion med botulinum type A-toksin og postoperativ manometrimåling.

Korrespondance: Lærke Louise Reeberg Sass.
E-mail: laerkereebergsass@gmail.com

Antaget: 6. september 2016

Publiceret på Ugeskriftet.dk: 21. november 2016

Interessekonflikter:

Sidebar placering
Venstrestillet
Article type
Journal
Magazine
Section
References

<h2>Litteratur</h2>
<ol type="d">
<li><p>Abdollahimohammad A, Masinaeinezhad N, Firouzkouhi M. Epiphrenic esophageal diverticula. J Res Med Sci 2014;19:795-7.</p></li>
<li><p>Michael H, Fisher RS. Treatment of epiphrenic and mid-esophageal diverticula. Curr Treat Options Gastroenterol 2004;7:41-52.</p></li>
<li><p>Thomas ML, Anthony AA, Fosh BG et al. Oesophageal diverticula. Br J Surg 2001;88:629-42.</p></li>
<li><p>Matsumoto H, Kubota H, Higashida M et al. Esophageal epiphrenic diverticulum associated with diffuse esophageal spasm. Int J Surg Case Rep 2015;13:79-83.</p></li>
<li><p>Beiša V, Kvietkauskas M, Beiša A et al. Laparoscopic approach in the treatment of large epiphrenic esophageal diverticulum. Wideochir Inne Tech Maloinwazyjne 2015;10:584-8.</p></li>
</ol>

Woodwing Id
83899
Fil
Conflict of interest
English title
Epiphrenic oesophageal diverticulum with an oesophago&shy;bronchial fistula resulting in a lung abscess
English summary

Epiphrenic oesophageal diverticula are rare and often asymptomatic. In this case report a 58-year-old woman was diagnosed with an epiphrenic oesophageal diverticulum, which developed an oesophagobronchial fistula leading to a pulmonary abscess in the right lower lobe, septicaemia and acute respiratory failure. The patient underwent right lower lobectomy and the diverticulum was stapled off the oesophagus. The post-operative course was uneventful. This complication is only rarely described previously.

Authors workplaces

1) Organkirurgisk Afdeling Sygehus Sønderjylland Aabenraa
2) Kirurgisk Afdeling A, Odense Universitetshospital
3) Thoraxkirurgisk Afdeling, Odense Universitetshospital

Ugeskr Læger 2016;178:V07160523

Bib ref
Ugeskr Læger 2016;178:V07160523
Article number
V07160523
Authors

Malene Børgager1, Shadi Andos1, Jesper Durup2 & Peter Bjørn Licht3

0 likes