Medlem i

13 years 1 month
Indholdselementer
Billede
Sidebar placering
Venstrestillet


Udviklingen af endovaskulære metoder til behandling af neurokirurgiske sygdomme blev grundlagt for mere end 30 år siden af Serbinenko & Debrun. Metoderne er baseret på den klassiske Seldinger-teknik, hvor adgangen til det arterielle kredsløb opnås ved kateterisation af arteria femoralis. Herfra føres et guide-kateter op i halskarrerne. Igennem dette føres et mikrokateter videre ud til det patologiske område i cerebrum. Metoden udvikles hastigt i disse år med nye mikrokatetre og emboliseringsmaterialer. De endovaskulære metoder anvendes hyppigst i behandlingen af deciderede vaskulære sygdomme, men har også vundet indpas i behandlingen af andre sygdomme.

Vaskulære sygdomme

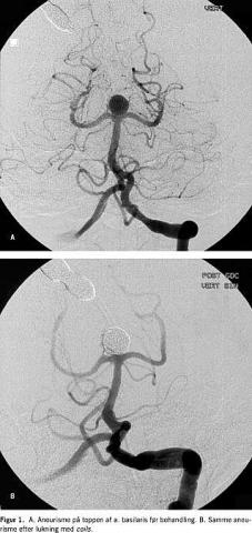
Subaraknoidalblødning fra et bristet cerebralt aneurisme rammer i Danmark årligt ca. 500 personer og viser sig hyppigst ved pludseligt indsættende, voldsom hovedpine. Ca. 30% dør umiddelbart. Ubehandlet vil ca. 50% af de overlevende få en reblødning inden for de første seks måneder. Den bedste metode til at forebygge dette er endovaskulær lukning af aneurismet. Metoden blev introduceret i 1990 af Guido Guglielmi. Gennem et mikrokateter placeret i aneurismet oplægges platinspiraler (coils) til aneurismesækken er fyldt op (Figur 1 ). I International Subarachnoid Aneurysm Trial ((ISAT), som er et randomiseret studie, har man fastslået, at coil- behandling giver signifikant bedre slutresultat end kirurgi i de tilfælde, hvor begge behandlinger er mulige [1]. I dag er flere end 125.000 patienter verden over blevet behandlet med coil, og tiårsresultaterne er tilgængelige [2]. Mindst 75% af alle aneurismer kan lukkes endovaskulært med lav komplikationsfrekvens. Det forventes, at denne del stiger i takt med udviklingen af nye teknikker [3].

Selve subaraknoidalblødningen udløser ofte vasospasmer, som kan medføre så svær cerebral iskæmi, at der opstår cerebrale infarkter. Vasospasmerne behandles traditionelt medicinsk, men i udvalgte tilfælde kan man føre et mikrokateter ud i spastiske kar og dilatere dem med ballon. Behandlingen er effektiv, idet spasmerne ikke gendannes. Metoden kan kun anvendes i de store kar. Perifere spastiske kar åbnes ved intraarteriel infusion af nimodipin eller papaverin. Den kliniske evidens savnes dog fortsat.

Cerebrale og spinale arteriovenøse malformationer (AVM) er sjældne. I Danmark diagnosticeres der årligt ca. 50 nye tilfælde, hyppigst på grund af enten epilepsi, blødning eller fokale neurologiske udfald. Mange AVM kan emboliseres med en vævsklæber ved anvendelse af tynde katetre, som med flowet føres helt ud i AVM. Ved store AVM er der hyppigt flere fødekar, og emboliseringen må gentages, eventuelt i flere seancer med måneders interval. Total embolisering af en AVM er kun muligt i 15-20% af tilfældene, men selv en partiel embolisering er af betydning, da supplerende behandling med operation eller stereotaktisk bestråling derved lettes [4]. Primært intraktable AVM kan således efter embolisering i nogle tilfælde gøres operable eller tilgængelige for bestråling. Risikoen for komplikationer i form lukning af et normalt kar eller provokation af blødning under embolisering er ca. 4-5%. Gevinsten ved embolisering må derfor overvejes nøje i hvert enkelt tilfælde.

I forbindelse med et kranietraume kan der opstå en karotikokavernøs fistel, som er en karfistel mellem a. carotis interna og sinus cavernosus. Det øgede tryk i sinus cavernosus medfører pulserende eksoftalmus, kemosis, smerter og synssvækkelse. Det høje flow gør det muligt endovaskulært at føre et mikrokateter med en afløselig ballon ud i fistlen. Her kan ballonen fyldes med kontrast og frigøres, så den lukker fistlen.

Ved intrakraniel arteriestenoser på grund af arteriosklerose er det i dag muligt i visse tilfælde at placere en stent i stenosen og derved dilatere den. Metoden er ikke fuldt udviklet, idet der savnes tilstrækkeligt fleksible stent, som kan passere de ofte stærkt slyngede halskar.

De endovaskulære metoder vil muligvis også kunne anvendes i behandlingen af cerebrale tromboser. Et trombolytisk middel kan via mikrokatetre injiceres direkte i den tromboserede arterie. En sådan direkte arteriel trombolyse er mere effektiv end traditionel systemisk trombolyse administreret intravenøst. Ulempen ved den direkte metode er, at den tager længere tid og er mere invasiv. Trods flere store studier (NINDS, ECASS, PROACT) er det uafklaret, om behandlingen skal være intraarteriel eller intravenøs [5].

Andre procedurer

Ved embolisering af meningeomer og andre rigt vaskulariserede tumorer vil det ofte være muligt at lukke den del af forsyningen, som kommer fra a. carotis externa. Herved lettes operationen, og det peroperative blodtab reduceres betydeligt. Der anvendes polyvinylalkoholpartikler (PVA) med en diameter på 50-300 μm. Kateterspidsen placeres så tæt som muligt på tumoren, og partiklerne føres med blodstrømmen ind i tumorens kapillærnet, som lukkes.

Ved planlægning af operation af tumorer, der er i tæt relation til store cerebrale kar, kan det være af interesse at vide, om patienten tåler aflukning af karret. For at teste dette placeres et mikrokateter med en ballon i karret, og ballonen inflateres. Herefter testes patienten klinisk, og med Doppler-ultralyd måles flow i de cerebrale kar. Hvis aflukning i 30 minutter tåles, kan karret lukkes.

Venøs kateterisation af sinus petrosus inferior anvendes til opsamling af blodprøver fra begge sider af hypofysen for at fastslå sidelokalisationen af en hormonproducerende mikrotumor (morbus Cushing).

Status i udlandet

Endovaskulær behandling af intrakranielle sygdomme har gennem 1990'erne fastslået deres betydning som en naturlig del af det neurokirurgiske behandlingstilbud. Coil- behandling af cerebrale aneurismer er efter ISAT-rapporten den foretrukne metode på de førende neurokirurgiske afdelinger i Europa. Udviklingen har af fagpolitiske grunde været lidt mere træg i USA.

Status i Danmark

Man begyndte med coil- behandling af cerebrale aneurismer i 1994 på Odense Universitetshospital, hvor mere end 650 patienter er blevet behandlet. Behandlingen tilbydes i dag også på Århus Sygehus og Amtssygehuset i Glostrup. De øvrige endovaskulære behandlinger er centreret i Odense og Århus.

Man har således i dag fastslået de endovaskulære teknikkers berettigelse. Området er placeret mellem neurokirurgi og neuroradiologi. Succesen er derfor afhængig af et nært samarbejde mellem disse to specialer.



Korrespondance: Jørgen Nepper-Rasmussen, Røntgendiagnostisk Afdeling, Odense Universitetshospital, DK-5000 Odense C.
E-mail: joergen.nepper-rasmussen@ouh.fyns-amt.dk

Antaget: 26. januar 2004

Interessekonflikter: Ingen angivet



Sidebar placering
Venstrestillet
Article type
Journal
Magazine
Section
References

<ol class="Litt-list">
<li>International Subarachnoid Aneurysm Trial (ISAT) Collaborative Group. International Subarachnoid Aneurysm Trial (ISAT) of neurosurgical clipping versus endovascular coiling in 2143 patients with ruptured intracranial aneurysms: <span class="Br"><br></span> a randomised trial. Lancet 2002;360:1267-74.</li>
<li>Murayama Y, Nien YL, Duckwiller G et al. Guglielmi detachable coil embolization of cerebral aneurysms: 11 years' experience. J Neurosurg 2003;98: 959-66.</li>
<li>Gruber A, Richling B. Aneurysms. I: Byrne J, ed. Interventional neuroradiology. Oxford: Oxford University Press, 2002:95-136.</li>
<li>Wikholm G, Pellettieri L, Karlson B. Treatment of arteriovenous malformation of the brain. I: Byrne J, ed. Interventional neuroradiology. Oxford: Oxford University Press, 2002:137-53.</li>
<li>Devuyst G, Bogousslavsky J. Recent progress in drug treatment for acute ischemic stroke. cerebrovasc dis 2001;11(suppl 1):71-9.</li>
</ol>

Woodwing Id
274817
Fil
Bib ref
Ugeskr Læger 2004;166(09):
Authors

Overlæge Hans Jørgen Nepper-Rasmussen & overlæge Frank Børgesen Gårskjær Odense Universitetshospital, Røntgendiagnostisk Afdeling og Neurokirurgisk Afdeling

0 likes
Read time
5