Medlem i

12 years 10 months
Indholdselementer
Billede
Sidebar placering
Venstrestillet


Kronisk pankreatitis medfører ofte problemer som malabsorption, vægttab, smerter og diabetes mellitus [1]. Ud over de nævnte problemer får 3,5-17% af alle patienter med kronisk pankreatitis et pseudoaneurisme, hyppigst i arteria lienalis (40%), arteria gastroduodenale (30%), arteria pancreaticoduodenale (20%), arteriae gastricae (5%) og arteriae hepaticae (2%) [1, 2]. Det er ukendt, hvor ofte disse pseudoaneurismer giver anledning til blødning, men det er klart, at en blødning fra pseudoaneurismerne kan være alvorlig [1]. I denne artikel beskrives diagnostik og behandling af en patient med et pseudoaneurisme i arteria gastroduodenale.

Sygehistorie

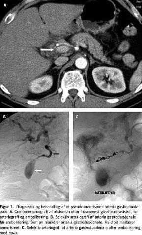
Patienten var en mand født i 1950 og siden april 2001 kendt med alkoholinduceret kronisk pankreatitis. Patientens pan-kreatitis blev kompliceret af dannelse af en pseudocyste ved pancreas, som blev tømt ultralydvejledt tre gange i 2001. Primo januar 2002 havde patienten en et døgn varende episode med melæna og blodtransfusionsbehov. En gastroduodenoskopi viste gastritis og duodenitis, og patienten blev sat i behandling med en protonpumpehæmmer. To uger senere fik han pludselig stærke smerter i den øvre del af abdomen med udstråling til ryggen og op i brystet. Smerterne var væsentligt værre end hans sædvanlige smerter. Ved en objektiv undersøgelse var patienten udtalt øm i epigastriet. Biokemiske undersøgelser viste normale forhold, bortset fra en marginal forhøjet S-amylase og c-reaktiv protein. En computertomografi (CT) viste et pseudoaneurisme i arteria gastroduodenale. Pseudoaneurismet var beliggende i en pancreaspseudocyste (Figur 1A ). Der blev foretaget arteriografi, som viste et 2×3 cm stort pseudoaneurisme i arteria gastroduodenale (Figur 1B). Herefter blev der foretaget superselektiv arteriografi af arteria gastroduodenale, og arterien blev endovaskulært emboliseret med coils både proksimalt og distalt for pseudoaneurismet (Figur 1C). Patientens smerter aftog betydeligt efter emboliseringen, og han blev udskrevet tre dage senere. En kontrol-CT efter en måned viste ingen tegn på recidiv af pseudoaneurismet. Patienten var velbefindende 26 måneder efter behandlingen.

Diskussion

Dannelse af pseudoaneurismer hos patienter med kronisk pankreatitis menes at være forårsaget af en påvirkning af ar-terievæggen af pancreasenzymer [1, 3]. En anden årsag kunne være erosion af nærliggende pseudocyster ind i tilgrænsende blodkar [1, 3]. Selv om det er mindre sandsynligt, kan vi i den omtalte sygehistorie ikke helt udelukke, at pseudoaneurismet er opstået i forbindelse med accidentiel punktur af en arterie ved de ultralydvejledte tømninger af patientens pseudocyste. Abdominal ultralyd og CT er de primære diagnostiske undersøgelser ved mistanke om et pseudoaneurisme [2]. Hos vores patient blev der ikke foretaget CT i forbindelse med tidligere indlæggelser, hvilket betyder, at vi ikke kan bedømme tidspunktet for pseudoaneurismets opståen.

Pseudoaneurismer kan vise sig med smerter, blødning, kolestase og medfølgende ikterus, men de kan også være asymptomatiske [1, 5]. Hos kun 32% af alle patienter kan der føles en pulserende udfyldning [1]. Blødning er den mest alvorlige komplikation ved pseudoaneurismer med en mortalitet på over 90% i ubehandlede tilfælde [1-3]. Hos behandlede patienter er mortaliteten i forbindelse med blødning fra disse pseudoaneurismer beskrevet med en hyppighed på 12,5-37% [1, 3]. Blødning ses hyppigst i pseudoaneurismer fra arteria lienalis [3].

Kirurgi i form af resektion af caput eller cauda pancreatis eller ligatur af arterien har tidligere været den eneste effektive behandlingsmulighed [3]. Nu bliver de fleste pseudoaneurismer primært behandlet med endovaskulær embolisering. Ny blødning efter endovaskulær embolisering af pseudoaneurismer er beskrevet, hvorfor nogle forfattere mener, at kirurgi altid skal udføres hurtigst muligt efter den endovaskulære behandling [2, 4]. Der er dog ikke enighed om dette. I andre studier har man således ikke fundet tegn på reblødning fra pseudoaneurismer efter en gennemsnitlig followuptid på henholdsvis 46 måneder og 21 måneder [3, 5]. Disse forfattere antager derfor endovaskulær embolisering for at være en sikker og effektiv definitiv behandling [3, 5].


Luit Penninga, Kirurgisk Gastroenterologisk Afdeling C, H:S Rigshospitalet, DK-2100 København Ø.
E-mail: luitpenninga@hotmail.com

Antaget: 1. juni 2004

Interessekonflikter: Ingen angivet



Sidebar placering
Venstrestillet
Article type
Journal
Magazine
Section
References

<ol class="Litt-list">
<li>Woods MS, Traverso LW, Kozarek RA et al. Succesful treatment of bleeding pseudoaneurysms of chronic pancreatitis. Pancreas 1995;10:22-30.</li>
<li>de Perrot M, Berney T, Bühler L et al. Management of bleeding pseudoaneurysms in patients with pancreatitis. Br J Surg 1999;86:29-32.</li>
<li>Stambo GW, Hallisey MJ, Gallagher Jr J. Arteriographic embolisation of <span class="Br"><br></span> visceral artery pseudoaneurysms. Ann Vasc Surg 1996;10:476-80.</li>
<li>Boudghene F, L'Hermine C, Bigot JM. Arterial complications of pancreatitis: diagnostic and therapeutic aspects in 104 cases. J Vasc Interv Radiol 1993;4: 551-8.</li>
<li>Kasirajan K, Greenberg RK, Clair D et al. Endovascular management of <span class="Br"><br></span> visceral artery aneurysm. J Endovasc Ther 2001;8:150-5.</li>
</ol>

Woodwing Id
258374
Fil
English summary

Summary Endovascular management of a pseudoaneurysm of the gastroduodenal artery Ugeskr L&aelig;ger 2002;167:1185-1186 A 52-year-old man with chronic pancreatitis and pseudocyst formation had a single episode of gastrointestinal bleeding in 2002. Two weeks later he developed severe upper abdominal pain. Computed tomography (CT) showed a pseudoaneurysm of the gastroduodenal artery. Angiography and transcatheter coil embolization were performed successfully, and the patient was discharged three days later. A control CT showed obliteration of the pseudoaneurysm, and the patient is free of symptoms 26 months after treatment.

Bib ref
Ugeskr Læger 2005;167(10):1185-1186
Authors

Læge Luit Penninga, læge Kåre Gibsholm-Madsen, overlæge John Grønvall Rasmussen & overlæge André Wettergren H:S Rigshospitalet, Kirurgisk Gastroenterologisk Afdeling C og Diagnostisk Radiologisk Klinik

0 likes
Read time
4