Medlem i

12 years 10 months
Indholdselementer

I medgang og modgang hedder det sig, når man siger ja til hinanden. Og for ægteparret i vores sygehistorie kom der en del modgang, da de simultant fik lungeempyem. Man opererer i psykiatrien med betegnelsen folie à deux, der betyder sindssyge hos to. Typisk drejer det sig om, at den ene har vrangforestillinger, som partneren gradvist overtager og herefter kommer til at tro på. Gør det samme sig gældende for lungeempyemer?

SYGEHISTORIE

En 54-årig mand blev indlagt via egen læge obs. pneumoni. Han havde gennem en uge haft forkølelse med gulligt ekspektorat og været højfebril. Han blev sat i
roxithromycinbehandling via egen læge. Ved indlæggelsen blev koncentrationen af C-reaktivt protein målt til 471 nmol/l, og der blev påbegyndt behandling med
intravenøst givet cefuroxim og metronidazol. En røntgenundersøgelse af thorax viste venstresidigt pleuraempyem (Figur 1), hvorfor der blev lagt UL-vejledt pleuradræn, hvorfra der blev udtaget sekret, der blev sendt til dyrkning og resistensbestemmelse. Ved mikroskopi af pleuravæsken sås der mange leukocytter og grampositive diplokokker, men væsken var dyrkningsnegativ. På mistanke om pneumokokempyem justeredes patientens antibiotiske behandling til penicillin. CT af thorax viste en pleural ansamling, der dækkede to tredjedele af venstre lungefelt. Ansamlingen var konsolideret og arrangeret i kamre. Han blev udskrevet på dag 18 til peroral antibiotisk behandling og ambulant kontrol. Der var positiv pneumokokurintest, og behandlingen blev afsluttet på dag 60, hvor han ikke havde haft sequelae eller genindlæggelser.

Sidebar placering
Venstrestillet
Billede
Sidebar placering
Venstrestillet

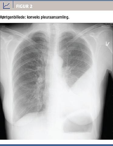
På dag otte blev patientens hustru indlagt med lignende symptomer. Hun kom i antibiotisk behandling med phenoxymethylpenicillin og metronidazol. Man fandt en høj koncentration af C-reaktivt protein på 235 nmol/l og et røntgenverificeret infiltrat på venstre side (Figur 2). Der blev påbegyndt behandling med cefuroxim og metronidazol og anlagt pleuradræn, hvorfra
der kom en purulent, langsomtløbende, træg væske. Patienten kom hurtigt i klinisk bedring og kunne derfor udskrives sammen med sin ægtefælle til peroral antibiotisk behandling. Hun måtte desværre genindlægges efter to uger pga. recidiv af empyem, der dog hurtigt bedredes. Der var positiv polymerasekædereaktion for pneumokokker i pleuravæsken.

Behandlingen blev afsluttet på dag 92, hvor hun ikke havde haft sequelae eller genindlæggelser.

Sidebar placering
Venstrestillet
Billede
Sidebar placering
Venstrestillet

DISKUSSION

Hos patienter med pneumoni kan der i op mod halvdelen af tilfældene udvikles en parapneumonisk effusion, hvoraf empyem er af den mere alvorlige type og defineres som pus eller bakterier i det pleurale hulrum; [1].

De mest typiske bakterier fra empyemer er streptokokker efterfulgt af anaerobe bakterier og stafylokokker [1].

I litteraturen er der fundet to beretninger [2, 3] om clusters af empyem. I den ene er der beskrevet seks børn, hvoraf fem havde bekræftet empyem. Den bakteriologiske årsag til empyem hos fire af børnene var Streptococcus pneumoniae. Pneumokokker er i høj grad transformerbare og undslipper immunsystemet ved både gen- og fænotypetransformation [2].

I den anden beretning er der beskrevet gruppe A-streptokokinfektion hos en mor og hendes fire børn. Alle havde røntgenologisk bekræftede infiltrater og positiv test for S. pyogenes. I beretningen er de potentielle årsager til ophobning af gruppe A-streptokokinfektio-
ner i familier beskrevet som tæt kontakt mellem indekspatienten og familiemedlemmerne, virulensen hos bakterien og modtagelighed hos patienterne. I beretningen havde flere af familiemedlemmerne haft en forudgående virusinfektion, som muligvis havde gjort dem mere modtagelige [3].

Det fremgår ikke af sygehistorien, om ægteparret havde haft en forudgående virusinfektion, men de har naturligvis haft længerevarende tæt kontakt.

Parret havde pådraget sig en pneumokokinfektion. Af litteraturen ses, at risikofaktorer for invasiv pneumokokinfektion er alder (< 2 år, > 65 år), etnicitet, geografisk tilhørsforhold, komorbiditet og daglig gang i institutioner/dagcentre [1].

Efter indførelsen af pneumokokvaccinen er der set en faldende incidens af invasiv pneumokokinfektion hos både børn og voksne, men paradoksalt nok er der sket en øgning i incidensen af empyemer [1]. Dette skyldes formentlig, at visse pneumokokserotyper ikke dækkes af den heptavalente vaccine, og at disse serotyper historisk set har udviklet en større virulens [1]. Der blev ikke udført serotypebestemmelse af bakterierne i sygehistorien, så vi kan ikke sige, hvilken det drejede sig om.

Pneumokokker er transformerbare bakterier med deraf følgende høj virulens. Det uheldige sammenfald i sygehistorien skyldes derfor formentligt langvarig tæt kontakt mellem de to ægtefæller og evt. øget modtagelighed. Relevant antibiotisk behandling og evakuering af den/de pleurale ansamlinger er fortsat nøgleprincipperne i behandlingen af empyem.

Korrespondance: Katrine Johannesen.
E-mail: katrinejohannesen@dadlnet.dk

Antaget: 18. november 2013

Publiceret på Ugeskriftet.dk: 5. maj 2014

Interessekonflikter:

Sidebar placering
Venstrestillet
Article type
Journal
Magazine
Section
References

<h2>LITTERATUR</h2>
<ol type="d">
<li><p>Lisboa T, Waterer G, Lee G. Pleural infection: changing bacteriology and its implications. Respirology 2011;16:598-603.</p></li>
<li><p>George E, Fong J, Narula P. A cluster of childhood empyema cases in Brooklyn. Pediatr Infect Dis J 2008;10:950-1.</p></li>
<li><p>Roy S, Kaplan E, Rodriguez B et al. A family cluster of five cases of group A streptococcal pneumonia. Pediatrics 2003;112:70.</p></li>
</ol>

Woodwing Id
31277
Fil
Conflict of interest
English title
Empyema &agrave; deux
English summary

This is a case of a married couple with a cluster of empyema. Clusters are rarely seen, but have previously been described in children. Reasons for clustering of empyemas include close relationship between patients, increased susceptibility in patients, increased virulence of the bacteria, co-morbidity and age. Drainage and relevant antibiotic treatment remain key therapies.

Authors workplaces

1) Medicinsk Afdeling, Næstved Sygehus
2) Lungemedicinsk Afdeling, Næstved Sygehus

Ugeskr Læger 2014;176:V10130622

Bib ref
Ugeskr Læger 2014;176:V10130622
Article number
V10130622
Authors

Katrine Marie Harries Johannesen1 & Uffe Bødtger2

0 likes