Medlem i

12 years 10 months
Indholdselementer
Billede
Sidebar placering
Venstrestillet


Cerebral ekstravasation af røntgenkontrast og forbigående neurologiske udfald er tidligere beskrevne komplikationer i forbindelse med brug af større mængder intravasalt administreret kontrastmedium [1-3]. I det følgende beskrives en sygehistorie, hvor cerebral kontrastekstravasation (CKE) efter koronararteriografi (KAG) og perkutan koronarintervention (PCI) blev tolket som subaraknoidalblødning (SAH). Vi diskuterer efterfølgende, hvilken betydning det forventes at have for patienten, og hvordan man i praksis kan afklare denne differentialdiagnostiske problemstilling.

SYGEHISTORIE

En 79-årig mand blev indlagt til subakut KAG pga. ustabil angina pectoris. Patienten havde hypertension og hyperkolesterolæmi, men ingen kendt nyresygdom trods forhøjet S-kreatinin (142 mikromol/l) ved indlæggelsen. Der blev udført en teknisk vanskelig PCI med implantation af stent med et forbrug på 500 ml intraarterielt administreret jodholdigt røntgenkontrast (iomeprol 350 mg/ml).

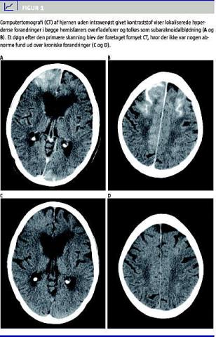
Under og efter proceduren fik patienten motorisk uro, konfusion og nedsat kraft af venstre overekstremitet og forhøjet blodtryk på 210/110 mmHg. Fire timer efter proceduren blev der på mistanke om intracerebral blødning udført akut computertomografi (CT) af cerebrum (CTC) uden brug af intravenøst (i.v.) givet kontraststof (Figur 1 ). Skanningen viste lokaliserede hyperdense forandringer i hjernens overfladefurer i begge hemisfærer samt universelt ødem og blev derfor tolket som en stor SAH. På trods af at det var tale om en tom skanning, var der tydelig kontrastopladning i hjernens kar, hvilket dog ikke blev identificeret primært. Acetylsalicylsyre og clopidogrel blev pauseret, og patienten blev observeret tæt. Inden for samme døgn aftog symptomerne, og der blev udført fornyet CTC uden i.v. kontrast 26 timer efter KAG/PCI. Denne skanning viste ingen tegn på SAH, ødem eller iskæmi, og der blev ikke fundet noget abnormt ud over kroniske forandringer i form af atrofi og leukoariose. Patienten blev udskrevet to døgn senere i habituel tilstand.

DISKUSSION

CKE er kasuistisk beskrevet flere steder i litteraturen, men der er kun foretaget begrænset forskning på området. I et enkelt mindre studie fra Tyskland fandt man cerebral ekstravasation hos tre ud af 30 svært syge intensivpatienter [1].

Der er flere teorier om årsagerne til CKE efter infusion af større mængder røntgenkontraststof. Øget permeabilitet af blod-hjerne-barrieren kan ses ved f.eks. hypoksi eller toksisk påvirkning af hjernen. Den heraf følgende ekstravasation af kontrastvæske tænkes at udløse de neurologiske symptomer. Høj alder og nyrepåvirkning anses også for at være risikofaktorer for CKE [2].

Store koncentrationer af ekstravaseret kontraststof har høj røntgentæthed, hvorfor områder i subaraknoidalrummet med en røntgendensitet på ≥ 100 Hounsfield Units bør give mistanke om CKE, forudsat at man ikke kan udelukke, at der samtidig er en underliggende SAH.

Normalt udføres lumbalpunktur (LP) hos patienter, hvor man har mistanke om SAH og CT-skannings-resultatet er negativt. Diagnosen SAH stilles ved undersøgelse af cerebrospinalvæsken (CSF) for xantokromi ved spektofotometri 6-12 timer efter blødningen [4].

Ved mistanke om CKE kan der med fordel udføres LP, da fravær af xantokromi udelukker SAH. Dette forudsat, at der ikke er klinisk mistanke om forhøjet intrakranielt tryk, og den primært udførte CTC ikke har vist tegn herpå.

Et noninvasivt supplement til CTC og LP er magnetisk resonans (MR)-skanning, hvor en fluid-attenuated inversion recovery -sekvens kan detektere blod i subarakniodalrummet selv ved mindre blødninger. Her supprimeres CSF, og diskrete T2-ændringer ses som et hypertintenst signal. MR-skanning anses for at være lige så sensitiv som CT og kan anvendes til såvel akutte som subakutte tilfælde af SAH [5]. Iomeprol og tilsvarende jodholdige kontraststoffer er ikke signalgivende på en MR-skanning og vil dermed ikke give et falsk positivt resultat.

Hvis man har mistanke om SAH, bør CTC altid foretages uden kontrast mhp. bedst mulig visualisering af frisk blod. Såfremt der allerede er givet kontrast i anden sammenhæng, såsom ved KAG, må man iagttage særlig forsigtighed ved tolkningen af undersøgelsen og evt. foretage yderligere diagnostik, som skitseret ovenfor.

CKE efter KAG/PCI er en ufarlig og reversibel tilstand, der kan fejltolkes som SAH. Det er vigtigt, at såvel klinikere som radiologer både kender til fænomenet og ved, hvorledes der kan opnås differentialdiagnostisk afklaring. Hermed undgås potentielt skadelige procedurer og forsinkelse af relevant medicinsk behandling.

src="/LF/images_ufl/ufl_bla.gif">
Laura Katrine Buskov , Billeddiagnostisk Afdeling, Gentofte Hospital, Niels Andersens Vej 65, 2900 Hellerup. E-mail: laurabuskov@hotmail.com

ANTAGET: 14. september 2011

FØRST PÅ NETTET: 31. oktober 2011

INTERESSEKONFLIKTER: Forfatternes ICMJE-formularer er tilgængelige sammen med artiklen på Ugeskriftet.dk

TAKSIGELSER: Anders Fogh Christensen og Jens Kellberg Nielsen , Røntgenafdelingen, Bispebjerg Hospital, takkes for råd og vejledning.


  1. Bretscheider T, Troidl N, Strotzer M et al. Extravasation of contrast media in brain parenchyma and cerebrospinal fluid space after CT or DSA of thorax or abdomen. Rofo 2001;173:497-501.
  2. Engellandt K, Haupt S, Laniado M. Extravasation of contrast medium after coronary angiography simulates subarachnoid hemorrhage. Rofo 2006;178:443-4.
  3. Canovas D, Perendreu J, Rovira A et al. Extravasation of contrast medium after carotid stent with brain infarction symptoms. Neurologia 2007;22:187-90.
  4. van Gijn J, Rinkel GJ. Subarachnoid haemorrhage: diagnosis, causes and management. Brain 2001;124:249-78.
  5. Noguchi K, Ogawa T, Inugami A et al. Acute subarachnoid hemorrhage: MR imaging with fluid-attenuated inversion recovery pulse sequences. Radiology 1995;196:773-7.


Sidebar placering
Venstrestillet
Article type
Journal
Magazine
Section
References

<ol class="Litt-list">
<li>Bretscheider T, Troidl N, Strotzer M et al. Extravasation of contrast media in brain parenchyma and cerebrospinal fluid space after CT or DSA of thorax or abdomen. Rofo 2001;173:497-501.</li>
<li>Engellandt K, Haupt S, Laniado M. Extravasation of contrast medium after coronary angiography simulates subarachnoid hemorrhage. Rofo 2006;178:443-4.</li>
<li>Canovas D, Perendreu J, Rovira A et al. Extravasation of contrast medium after carotid stent with brain infarction symptoms. Neurologia 2007;22:187-90.</li>
<li>van Gijn J, Rinkel GJ. Subarachnoid haemorrhage: diagnosis, causes and management. Brain 2001;124:249-78.</li>
<li>Noguchi K, Ogawa T, Inugami A et al. Acute subarachnoid hemorrhage: MR imaging with fluid-attenuated inversion recovery pulse sequences. Radiology 1995;196:773-7.</li>
</ol>

Woodwing Id
258177
Fil
Conflict of interest
English summary

Summary Extravasation of contrast following coronary angiography can be misinterpretated as subarachnoid haemorrhage Ugeskr L&aelig;ger 2012;174(17):1163-1164 Brain parenchymal extravasation of contrast has been described after infusion of larger amounts of iodinated X-ray contrast agent. We describe a case in which a patient after infusion of 500 ml iomeprole 350 mg/ml developed neurological symptoms and a subsequent cerebral computed tomography (CT) scan was interpreted as subarachnoid haemorrhage. The patient was fully recovered within 48 hours, and a follow-up CT scan 26 hours later showed no signs of haemorrhage. In patients with sudden onset of neurological symptoms after infusion of large quantities of contrast media and a CT scan showing signs of subarachnoid haemorrhage, spinal puncture or magnetic resonance imaging should be considered prior to interventional procedures in order to verify the diagnosis.

Bib ref
Ugeskr Læger 2012;174(17):1163-1164
Authors

Laura Katrine Buskov1, Nicolai Kaltoft1 & Carsten Toftager Larsen2 1) Billeddiagnostisk Afdeling, Gentofte Hospital, og 2) Kardiologisk Afdeling, Roskilde Sygehus

0 likes
Read time
5